KCND1 Antibody
-
中文名稱:KCND1兔多克隆抗體
-
貨號:CSB-PA728154
-
規格:¥1100
-
圖片:
-
The image on the left is immunohistochemistry of paraffin-embedded Human colon cancer tissue using CSB-PA728154(KCND1 Antibody) at dilution 1/20, on the right is treated with synthetic peptide. (Original magnification: ×200)
-
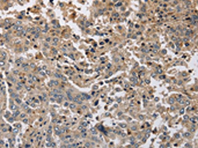
The image on the left is immunohistochemistry of paraffin-embedded Human liver cancer tissue using CSB-PA728154(KCND1 Antibody) at dilution 1/20, on the right is treated with synthetic peptide. (Original magnification: ×200)
-
Gel: 6%SDS-PAGE, Lysate: 40 μg, Lane: Human fetal liver tissue, Primary antibody: CSB-PA728154(KCND1 Antibody) at dilution 1/300, Secondary antibody: Goat anti rabbit IgG at 1/8000 dilution, Exposure time: 5 seconds
-
-
其他:
產品詳情
-
Uniprot No.:
-
基因名:KCND1
-
別名:Kcnd1 antibody; KCND1_HUMAN antibody; Kv4.1 antibody; mShal antibody; OTTHUMP00000025805 antibody; OTTHUMP00000025806 antibody; Potassium voltage gated channel Shal related subfamily member 1 antibody; Potassium voltage gated channel subfamily D member 1 antibody; Potassium voltage-gated channel subfamily D member 1 antibody; Shal type potassium channel antibody; Voltage gated potassium channel Kv4.1 antibody; Voltage gated potassium channel subunit Kv4.1 antibody; Voltage-gated potassium channel subunit Kv4.1 antibody
-
宿主:Rabbit
-
反應種屬:Human
-
免疫原:Synthetic peptide of Human KCND1
-
免疫原種屬:Homo sapiens (Human)
-
標記方式:Non-conjugated
-
抗體亞型:IgG
-
純化方式:Antigen affinity purification
-
濃度:It differs from different batches. Please contact us to confirm it.
-
保存緩沖液:-20°C, pH7.4 PBS, 0.05% NaN3, 40% Glycerol
-
產品提供形式:Liquid
-
應用范圍:ELISA,WB,IHC
-
推薦稀釋比:
Application Recommended Dilution ELISA 1:1000-1:2000 WB 1:200-1:1000 IHC 1:25-1:100 -
Protocols:
-
儲存條件:Upon receipt, store at -20°C or -80°C. Avoid repeated freeze.
-
貨期:Basically, we can dispatch the products out in 1-3 working days after receiving your orders. Delivery time maybe differs from different purchasing way or location, please kindly consult your local distributors for specific delivery time.
-
用途:For Research Use Only. Not for use in diagnostic or therapeutic procedures.
相關產品
靶點詳情
-
功能:Pore-forming (alpha) subunit of voltage-gated rapidly inactivating A-type potassium channels. May contribute to I(To) current in heart and I(Sa) current in neurons. Channel properties are modulated by interactions with other alpha subunits and with regulatory subunits.
-
基因功能參考文獻:
- S-glutathionylation of an auxiliary subunit confers redox sensitivity to Kv4 channel inactivation. PMID: 24675763
- reflected in the immunoblotting data KV4.1 receptors were detected at higher levels of expression in patient with cortical dysplasia with intractable epilepsy. PMID: 25003238
- These results demonstrated that Kv4.1 plays a role in proliferation of tumorigenic human mammary epithelial cells. PMID: 19401188
-
亞細胞定位:Membrane; Multi-pass membrane protein. Cell projection, dendrite.
-
蛋白家族:Potassium channel family, D (Shal) (TC 1.A.1.2) subfamily, Kv4.1/KCND1 sub-subfamily
-
組織特異性:Widely expressed. Highly expressed in brain, in particular in cerebellum and thalamus; detected at lower levels in the other parts of the brain.
-
數據庫鏈接:
Most popular with customers
-
YWHAB Recombinant Monoclonal Antibody
Applications: ELISA, WB, IHC, IF, FC
Species Reactivity: Human, Mouse, Rat
-
Phospho-YAP1 (S127) Recombinant Monoclonal Antibody
Applications: ELISA, WB, IHC
Species Reactivity: Human
-
-
-
-
-
-















