KCNC3 Antibody
-
中文名稱:KCNC3兔多克隆抗體
-
貨號:CSB-PA621758LA01HU
-
規格:¥440
-
圖片:
-
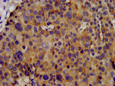
IHC image of CSB-PA621758LA01HU diluted at 1:300 and staining in paraffin-embedded human ovarian cancer performed on a Leica BondTM system. After dewaxing and hydration, antigen retrieval was mediated by high pressure in a citrate buffer (pH 6.0). Section was blocked with 10% normal goat serum 30min at RT. Then primary antibody (1% BSA) was incubated at 4°C overnight. The primary is detected by a biotinylated secondary antibody and visualized using an HRP conjugated SP system.
-
IHC image of CSB-PA621758LA01HU diluted at 1:300 and staining in paraffin-embedded human pancreatic cancer performed on a Leica BondTM system. After dewaxing and hydration, antigen retrieval was mediated by high pressure in a citrate buffer (pH 6.0). Section was blocked with 10% normal goat serum 30min at RT. Then primary antibody (1% BSA) was incubated at 4°C overnight. The primary is detected by a biotinylated secondary antibody and visualized using an HRP conjugated SP system.
-
Immunofluorescence staining of PC-3 cells with CSB-PA621758LA01HU at 1:100, counter-stained with DAPI. The cells were fixed in 4% formaldehyde, permeabilized using 0.2% Triton X-100 and blocked in 10% normal Goat Serum. The cells were then incubated with the antibody overnight at 4°C. The secondary antibody was Alexa Fluor 488-congugated AffiniPure Goat Anti-Rabbit IgG(H+L).
-
-
其他:
產品詳情
-
產品名稱:Rabbit anti-Homo sapiens (Human) KCNC3 Polyclonal antibody
-
Uniprot No.:
-
基因名:KCNC3
-
別名:KCNC3; Potassium voltage-gated channel subfamily C member 3; KSHIIID; Voltage-gated potassium channel subunit Kv3.3
-
宿主:Rabbit
-
反應種屬:Human
-
免疫原:Recombinant Human Potassium voltage-gated channel subfamily C member 3 protein (638-745AA)
-
免疫原種屬:Homo sapiens (Human)
-
標記方式:Non-conjugated
本頁面中的產品,KCNC3 Antibody (CSB-PA621758LA01HU),的標記方式是Non-conjugated。對于KCNC3 Antibody,我們還提供其他標記。見下表:
-
克隆類型:Polyclonal
-
抗體亞型:IgG
-
純化方式:>95%, Protein G purified
-
濃度:It differs from different batches. Please contact us to confirm it.
-
保存緩沖液:Preservative: 0.03% Proclin 300
Constituents: 50% Glycerol, 0.01M PBS, pH 7.4 -
產品提供形式:Liquid
-
應用范圍:ELISA, IHC, IF
-
推薦稀釋比:
Application Recommended Dilution IHC 1:200-1:500 IF 1:50-1:200 -
Protocols:
-
儲存條件:Upon receipt, store at -20°C or -80°C. Avoid repeated freeze.
-
貨期:Basically, we can dispatch the products out in 1-3 working days after receiving your orders. Delivery time maybe differs from different purchasing way or location, please kindly consult your local distributors for specific delivery time.
-
用途:For Research Use Only. Not for use in diagnostic or therapeutic procedures.
相關產品
靶點詳情
-
功能:Voltage-gated potassium channel that plays an important role in the rapid repolarization of fast-firing brain neurons. The channel opens in response to the voltage difference across the membrane, forming a potassium-selective channel through which potassium ions pass in accordance with their electrochemical gradient. The channel displays rapid activation and inactivation kinetics. It plays a role in the regulation of the frequency, shape and duration of action potentials in Purkinje cells. Required for normal survival of cerebellar neurons, probably via its role in regulating the duration and frequency of action potentials that in turn regulate the activity of voltage-gated Ca(2+) channels and cellular Ca(2+) homeostasis. Required for normal motor function. Plays a role in the reorganization of the cortical actin cytoskeleton and the formation of actin veil structures in neuronal growth cones via its interaction with HAX1 and the Arp2/3 complex.
-
基因功能參考文獻:
- Study expanded the genotype-phenotype-pathophysiology repertoire of SCA13 by addition of a causative KCNC3 mutation, p.Pro583_Pro585del, its associated phenotype of profound spasticity, and the decreased inactivation rate of the mutant channel. PMID: 29949095
- results therefore confirm the KCNC3R423H allele as causative for SCA13, through a dominant negative effect on KCNC3WT and links with EGFR that account for dominant inheritance, congenital onset, and disease pathology PMID: 28467418
- This review covers the localization and physiological function of Kv3.3 in the central nervous system and how the normal function of the channel is altered by the disease-causing mutations PMID: 26442672
- Kv3.3 regulates Arp2/3-dependent cortical actin nucleation mediated by Hax-1; resulting cortical actin structures interact with the channel's gating machinery to slow its inactivation rate during sustained membrane depolarizations; a mutation that leads to late-onset spinocerebellar ataxia type 13. PMID: 26997484
- The Kv channels, or at least Kv3.3, appear to be associated with cell differentiation PMID: 26849432
- Functional and in silico analysis identified at least one novel pathogenic mutation in KCNC3 that cause Spinocerebellar ataxia type 13 (SCA13) and two additionally potential ones. PMID: 25756792
- investigated using either targeted next generation sequencing or trio-based exome sequencing and were found to have mutations in three different genes, KCNC3, ITPR1 and SPTBN2 PMID: 25981959
- These results are specific to the KCNC3(R420H) allele and provide new insight into the molecular basis of disease manifestation in SCA13. PMID: 25152487
- Data indicate that an autosomal dominant mutation in the gene encoding Kv3.3 has been identified in a large Filipino kindred manifesting as spinocerebellar ataxia type 13 (SCA13). PMID: 24116147
- no disease-related KCNC3 mutation was identified, suggesting that spinocerebellar ataxia type 13 is a rare form of SCA in mainland China PMID: 23293936
- This study presented the results of a detailed neurological clinical and diagnostic testing on 21 mutation-positive members of a four-generation Filipino family to further define this disease, aiding diagnosis and prognosis. PMID: 23912307
- Data suggest that mutant forms of Kv3.3 (as seem in subjects with spinocerebellar ataxia-13) are unstable, are degraded through proteasomes at faster rates, and can be stabilized by a chemical chaperone. PMID: 23734863
- Kv3.3 gating contributes significantly to an early age of onset in spinocerebellar ataxia type 13 PMID: 22289912
- The KCNC3 mutation casued Spinocerebellar ataxia 13. PMID: 21827913
- The spinocerebellar ataxia type 13 mutation of the KV3.3 gene specifically suppresses the excitability of Kv3.3-expressing, fast-spiking neurons in zebrafish PMID: 21543613
- Mutations in KCNC3 are a rare cause of spinocerebellar ataxia with a frequency of less than 1%. PMID: 21479265
- The p.Arg420His mutation, which results in a nonfunctional channel subunit, was recurrent and associated with late-onset progressive ataxia. PMID: 19953606
- results establish a role for KCNC3 in phenotypes ranging from developmental disorders to adult-onset neurodegeneration and suggest voltage-gated K+ channels as candidates for additional neurodegenerative diseases PMID: 16501573
- Mutations in the voltage-gated potassium channel KCNC3 are causative for spinocerebellar ataxia 13. PMID: 18592334
顯示更多
收起更多
-
相關疾病:Spinocerebellar ataxia 13 (SCA13)
-
亞細胞定位:Cell membrane; Multi-pass membrane protein. Cell junction, synapse, presynaptic cell membrane; Multi-pass membrane protein. Perikaryon. Cell projection, axon. Cell projection, dendrite. Cell projection, dendritic spine membrane; Multi-pass membrane protein. Cytoplasm, cell cortex. Cytoplasm, cytoskeleton.
-
蛋白家族:Potassium channel family, C (Shaw) (TC 1.A.1.2) subfamily, Kv3.3/KCNC3 sub-subfamily
-
數據庫鏈接:
Most popular with customers
-
-
YWHAB Recombinant Monoclonal Antibody
Applications: ELISA, WB, IHC, IF, FC
Species Reactivity: Human, Mouse, Rat
-
Phospho-YAP1 (S127) Recombinant Monoclonal Antibody
Applications: ELISA, WB, IHC
Species Reactivity: Human
-
-
-
-
-















