ITGA3 Antibody
-
中文名稱:ITGA3兔多克隆抗體
-
貨號:CSB-PA011866LA01HU
-
規格:¥440
-
圖片:
-
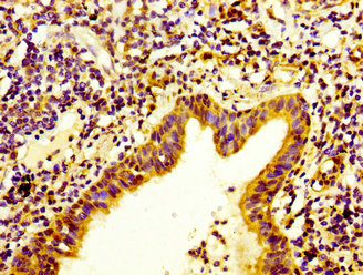
IHC image of CSB-PA011866LA01HU diluted at 1:400 and staining in paraffin-embedded human lung cancer performed on a Leica BondTM system. After dewaxing and hydration, antigen retrieval was mediated by high pressure in a citrate buffer (pH 6.0). Section was blocked with 10% normal goat serum 30min at RT. Then primary antibody (1% BSA) was incubated at 4°C overnight. The primary is detected by a biotinylated secondary antibody and visualized using an HRP conjugated SP system.
-
Immunofluorescence staining of HepG2 cells with CSB-PA011866LA01HU at 1:133, counter-stained with DAPI. The cells were fixed in 4% formaldehyde, permeabilized using 0.2% Triton X-100 and blocked in 10% normal Goat Serum. The cells were then incubated with the antibody overnight at 4°C. The secondary antibody was Alexa Fluor 488-congugated AffiniPure Goat Anti-Rabbit IgG(H+L).
-
-
其他:
產品詳情
-
產品名稱:Rabbit anti-Homo sapiens (Human) ITGA3 Polyclonal antibody
-
Uniprot No.:
-
基因名:
-
別名:AA407068 antibody; Antigen identified by monoclonal antibody J143 antibody; CD49 antigen like family member C antibody; CD49 antigen-like family member C antibody; CD49c antibody; CD49c antigen antibody; FLJ34631 antibody; FLJ34704 antibody; FRP 2 antibody; FRP-2 antibody; FRP2 antibody; Galactoprotein B3 antibody; GAP B3 antibody; GAPB3 antibody; Integrin alpha 3 antibody; Integrin alpha-3 light chain antibody; Integrin, alpha 3 (antigen CD49C, alpha 3 subunit of VLA-3 receptor) antibody; ITA3_HUMAN antibody; ITGA 3 antibody; Itga3 antibody; MSK18 antibody; VCA 2 antibody; VCA2 antibody; Very late activation protein 3 receptor alpha 3 subunit antibody; VL3A antibody; VLA 3 alpha chain antibody; VLA 3 subunit alpha antibody; VLA-3 subunit alpha antibody; VLA3a antibody
-
宿主:Rabbit
-
反應種屬:Human
-
免疫原:Recombinant Human Integrin alpha-3 protein (168-276AA)
-
免疫原種屬:Homo sapiens (Human)
-
標記方式:Non-conjugated
本頁面中的產品,ITGA3 Antibody (CSB-PA011866LA01HU),的標記方式是Non-conjugated。對于ITGA3 Antibody,我們還提供其他標記。見下表:
-
克隆類型:Polyclonal
-
抗體亞型:IgG
-
純化方式:>95%, Protein G purified
-
濃度:It differs from different batches. Please contact us to confirm it.
-
保存緩沖液:Preservative: 0.03% Proclin 300
Constituents: 50% Glycerol, 0.01M PBS, pH 7.4 -
產品提供形式:Liquid
-
應用范圍:ELISA, IHC, IF
-
推薦稀釋比:
Application Recommended Dilution IHC 1:200-1:500 IF 1:50-1:200 -
Protocols:
-
儲存條件:Upon receipt, store at -20°C or -80°C. Avoid repeated freeze.
-
貨期:Basically, we can dispatch the products out in 1-3 working days after receiving your orders. Delivery time maybe differs from different purchasing way or location, please kindly consult your local distributors for specific delivery time.
-
用途:For Research Use Only. Not for use in diagnostic or therapeutic procedures.
相關產品
靶點詳情
-
功能:Integrin alpha-3/beta-1 is a receptor for fibronectin, laminin, collagen, epiligrin, thrombospondin and CSPG4. Integrin alpha-3/beta-1 provides a docking site for FAP (seprase) at invadopodia plasma membranes in a collagen-dependent manner and hence may participate in the adhesion, formation of invadopodia and matrix degradation processes, promoting cell invasion. Alpha-3/beta-1 may mediate with LGALS3 the stimulation by CSPG4 of endothelial cells migration.; (Microbial infection) Integrin ITGA3:ITGB1 may act as a receptor for R.delemar CotH7 in alveolar epithelial cells, which may be an early step in pulmonary mucormycosis disease progression.
-
基因功能參考文獻:
- Bioinformatics analysis identifies ITGA3 as an oncogene in human tongue cancer. PMID: 30128883
- these findings suggest that ITGA3 may play a role as a potential oncogene in intrahepatic cholangiocarcinoma (ICC)and suppression of ITGA3 expression may establish a novel target for guiding the therapy of ICC patients. PMID: 29511671
- ITGA3 mutation is responsible in the development of epidermolysis bullosa. PMID: 26854491
- This study reports a variant of ILNEB syndrome in two siblings differing from the previously reported patients in the lack of nephrotic impairment and survival beyond childhood; they are the first reported compound heterozygous for ITGA3 mutations. PMID: 27717396
- Our study elucidates the molecular mechanisms of miR-101/ITGA3 pathway in regulating nasopharyngeal carcinoma (NPC)metastasis and angiogenesis, and the systemic delivery of miR-101 provides a potent evidence for the development of a novel microRNA-targeting anticancer strategy for NPC patients. PMID: 28102841
- findings identify a novel physiological context for combinatorial integrin signaling, laying the foundation for therapeutic strategies that manipulate alpha9beta1 and/or alpha3beta1 during wound healing PMID: 28416479
- Results showed that ITGA3 was directly regulated by miR-199 family in head and neck squamous cell carcinoma cells (HNSCC). Its knockdown significantly inhibited cancer cell migration and invasion by HNSCC cells. PMID: 28612520
- our studies clearly provide evidence that aberrant expression of sFRP2 can contribute to the invasive and metastatic potential for osteosarcoma. PMID: 27821163
- High ITGA3 expression is associated with bladder cancer. PMID: 28324890
- Competition binding and infection experiments and biochemical assays pointed out alphaVbeta1 and alpha3beta1 to be of importance for human adenovirus-37 infection of corneal tissue. PMID: 27974569
- The results suggested that podocyte detachment during early stage of diabetic nephropathy is mediated through upregulation of alpha3beta1-integrin. PMID: 27340677
- Expression of the alpha3-Integrin splice variants in the brain PMID: 26788840
- the role of the CD151-alpha3beta1 complex in carcinoma progression is context dependent, and may depend on the mode of tumor cell invasion. PMID: 26418968
- In high grade DCIS, when stratified according to the HER2 status, in the HER2-negative subgroup, CD151 assessed in combination with alpha3beta1 was significantly correlated with prognosis. PMID: 26464707
- Data show that CD151 protein (CD151)-alpha3beta1 integrin complexes cooperated with epidermal growth factor receptor (EGFR) to drive tumor cell motility. PMID: 26377974
- CTGF blocks integrin alpha3beta1-dependent adhesion of cancer cells. PMID: 24985492
- based on the interaction motifs in Sdc1 and Sdc4, called synstatins (SSTN210-240 and SSTN87-131) competitively displace the receptor tyrosine kinase and alpha3beta1 integrin from the syndecan with an IC50 of 100-300 nm PMID: 26350464
- studies suggest that the presence and spacing of the RGD and synergy sites modulate integrin alpha3beta1 binding to Fn PMID: 26318455
- ITGA3 translocation to the plasma membrane suppressed by hypoxia through inhibition of glycosylation facilitated cell invasion in A431. PMID: 25078904
- our study demonstrates that CD151-alpha3beta1 integrin complexes regulate ovarian tumor growth by repressing Slug-mediated epithelial to mesenchymal transition and Wnt signaling PMID: 25356755
- ITGA3, ITGA6, ITGB3,ITGB4 and ITGB5 are associated with GC susceptibility (rs2675), ITGA3, ITGA6, ITGB3, ITGB4 and ITGB5 are associated with gastric cancer susceptibility tumor stage and lymphatic metastasis in Chinese Han population PMID: 25472585
- NOX4 is highly predictive of relapse in stage II left-side colon cancer, whereas integrin alpha 3 beta 1 (ITGA3) is predictive of relapse in stage II right-side colon cancer. PMID: 25096929
- integrin-alpha3 mutation confers major renal developmental defects PMID: 24621570
- Findings show that alpha3 integrin is essentially involved in head and neck squamous cell carcinoma (HNSCC) cell radioresistance. PMID: 25497870
- COX2 and alpha3 are correlated in invasive ductal carcinoma independently of hormone receptor status or other clinicopathologic features, supporting the hypothesis that integrin alpha3beta1 is a determinant of COX2 expression in human breast cancer. PMID: 24950714
- Integrin alpha3beta1 mediates regulation of COX2 mRNA stability in human breast cancer cells. PMID: 24434582
- endothelial integrin alpha3beta1 stabilizes tumor/endothelial cell adhesion and induces the formation of macromolecular signaling complex activating several major signaling pathways in endothelial cells. PMID: 24675526
- ITGA3 gene polymorphism is associated with with susceptibility of osteosarcoma. PMID: 24381140
- Two types of metastatic trait were found in OSCC: locoregional dissemination, which was reflected by high-ITGA3/CD9, and distant metastasis through hematogenous dissemination, uniquely distinguished by high-ITGB4/JUP. PMID: 24006899
- The interaction between ephrin-As, Eph receptors and integrin alpha3 is plausibly important for the crosstalk between Eph and integrin signalling pathways at the membrane protrusions and in the migration of brain cancer cells. PMID: 23686814
- High integrin alpha 3 expression is associated with malignant pleural mesothelioma. PMID: 24084442
- study concluded that ITGA3 is a potential molecular marker for cells undergoing enhanced epithelial-mesenchymal transition as well as for cancer cells with aggressive phenotypes; integrin alpha3 likely plays a crucial role in the progression of both cancer cells and fibroblastic cells in cancer microenvironments PMID: 23786209
- the calf-1 domain is required for the transport of alpha3 from the ER to the Golgi apparatus to maintain the integrity of epithelial tissues, and hence the impairment of the calf-1 domain by the R628P mutation leads to severe diseases of the kidneys, lungs, and skin. PMID: 24220332
- Suggest that fibronectin fine tunes LM332-mediated migration by boosting bronchiolar cell adhesion to substrate via integrin alpha3beta1 integrin. PMID: 23590307
- Data indicate that alpha3beta1 and the tetraspanin CD151 directly associate at the front and retracting rear of polarised migrating breast carcinoma cells. PMID: 22986527
- Both CD9/CD81-silenced cells and CD151-silenced cells showed delayed alpha3beta1-dependent cell spreading on laminin-332. PMID: 23613949
- These results showed evidence of Borrelia burgdorferi BB0172 localization in the outer membrane, the orientation of the vWFA domain to the extracellular environment, and its function as a metal ion-dependent integrin-binding protein. PMID: 23687274
- CD151 is positively associated with the invasiveness of HGC, and CD151 or the combination of CD151 and integrin alpha3 is a novel marker for predicting the prognosis of HGC patient. PMID: 23533596
- Integrin alpha3 contributes to the invasive nature of glioma stem-like cell via ERK1/2, which renders integrin alpha3 a prime candidate for anti-invasion therapy for glioblastoma. PMID: 23652300
- Data indicate that Slug siRNA suppressed the TGF-beta1-induced integrin alpha3beta1-mediated cell migration ability of squamous cell carcinoma HSC-4 cells. PMID: 23248240
- Data show that TIMP-2-mediated inhibition of vascular endothelial cell permeability involves an integrin alpha3beta1-Shp-1-cAMP/protein kinase A-dependent vascular endothelial cadherin cytoskeletal association. PMID: 23074279
- Most actinic cheilitis cases showed reduced expression of integrin alpha 3 and superficially invasive squamous cell carcinoma lacked intergrin alpha 3 in the invasive front. PMID: 22917688
- Loss of alpha3 integrin-adenomatous poliposis coli interaction promotes endothelial apoptosis. PMID: 23011394
- These results suggest that Ets-1 is involved in transcriptional activation of the alpha3 integrin gene through its binding to the Ets-consensus sequence at -133 bp PMID: 23094960
- We identified three patients with homozygous mutations in the integrin alpha(3) gene that were associated with disrupted basement-membrane structures and compromised barrier functions in kidney, lung, and skin. PMID: 22512483
- With increased tension cytoskeletal stress fibers develop that contain alphaSMA and alphavbeta3 integrin that replaces alpha2beta1 integrin, consistent with cell switching from collagen to non-collagen proteins interactions. PMID: 21530503
- radiation treatment enhances the migration of meningioma cells with the involvement of alpha3beta1 integrin-mediated signaling via FAK and ERK. PMID: 21455571
- Studies have shown that ITGA3 plays a key role during cortical development, involved in neuronal migration and placement, as well as cortical layering PMID: 21182210
- U937 macrophage responses to the TLR2 ligand, Pam3CSK4, are dependent upon integrin alpha3beta1. PMID: 20877569
- Proliferation activity and malignant grade of meningiomas were increased with decreased expression of integrin-alpha(3), and down-regulation of integrin-alpha(3) mRNA was associated with the invasive biological behaviors in meningiomas. PMID: 19224172
顯示更多
收起更多
-
相關疾病:Interstitial lung disease, nephrotic syndrome, and epidermolysis bullosa, congenital (ILNEB)
-
亞細胞定位:Cell membrane; Single-pass type I membrane protein. Cell membrane; Lipid-anchor. Cell projection, invadopodium membrane; Single-pass type I membrane protein. Cell projection, filopodium membrane; Single-pass type I membrane protein.
-
蛋白家族:Integrin alpha chain family
-
組織特異性:Isoform 1 is widely expressed. Isoform 2 is expressed in brain and heart. In brain, both isoforms are exclusively expressed on vascular smooth muscle cells, whereas in heart isoform 1 is strongly expressed on vascular smooth muscle cells, isoform 2 is det
-
數據庫鏈接:
Most popular with customers
-
-
YWHAB Recombinant Monoclonal Antibody
Applications: ELISA, WB, IHC, IF, FC
Species Reactivity: Human, Mouse, Rat
-
Phospho-YAP1 (S127) Recombinant Monoclonal Antibody
Applications: ELISA, WB, IHC
Species Reactivity: Human
-
-
-
-
-















