ITGA11 Antibody
-
中文名稱:ITGA11兔多克隆抗體
-
貨號:CSB-PA108283
-
規格:¥1100
-
圖片:
-
The image on the left is immunohistochemistry of paraffin-embedded Human thyroid cancer tissue using CSB-PA108283(ITGA11 Antibody) at dilution 1/20, on the right is treated with synthetic peptide. (Original magnification: ×200)
-
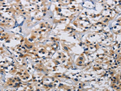
The image on the left is immunohistochemistry of paraffin-embedded Human liver cancer tissue using CSB-PA108283(ITGA11 Antibody) at dilution 1/20, on the right is treated with synthetic peptide. (Original magnification: ×200)
-
-
其他:
產品詳情
-
Uniprot No.:
-
基因名:
-
別名:integrin a11 antibody; Integrin alpha 11 antibody; Integrin alpha-11 antibody; ITA11_HUMAN antibody; ITGA11 antibody
-
宿主:Rabbit
-
反應種屬:Human
-
免疫原:Synthetic peptide of Human ITGA11
-
免疫原種屬:Homo sapiens (Human)
-
標記方式:Non-conjugated
-
抗體亞型:IgG
-
純化方式:Antigen affinity purification
-
濃度:It differs from different batches. Please contact us to confirm it.
-
保存緩沖液:-20°C, pH7.4 PBS, 0.05% NaN3, 40% Glycerol
-
產品提供形式:Liquid
-
應用范圍:ELISA,IHC
-
推薦稀釋比:
Application Recommended Dilution ELISA 1:1000-1:2000 IHC 1:25-1:100 -
Protocols:
-
儲存條件:Upon receipt, store at -20°C or -80°C. Avoid repeated freeze.
-
貨期:Basically, we can dispatch the products out in 1-3 working days after receiving your orders. Delivery time maybe differs from different purchasing way or location, please kindly consult your local distributors for specific delivery time.
-
用途:For Research Use Only. Not for use in diagnostic or therapeutic procedures.
相關產品
靶點詳情
-
功能:Integrin alpha-11/beta-1 is a receptor for collagen.
-
基因功能參考文獻:
- ITGA11 is a highly promising target that is selectively overexpressed in myofibroblasts during fibrotic diseases and regulates myofibroblast differentiation and key phenotypic characteristics. PMID: 29147013
- By employing co-immunoprecipitation and confocal microscopy analysis we showed that integrin alpha11beta1 and protein disulfide isomerase (PDI) create complexes bounded by disulfide bonds. Using surface plasmon resonance we provide biochemical evidence that PDI can interact directly with integrin subunit alpha11. PMID: 29203246
- Using MDR and RF, the overall best classifier of lung cancer status were SNPs rs1799732 (DRD2), rs5744256 (IL-18), rs2306022 (ITGA11) with training accuracy of 0.6592 and a testing accuracy of 0.6572 and a cross-validation consistency of 10/10 with permutation testing P<0.0001 PMID: 27121382
- FGF2 may be redirecting fibroblasts towards an anti-fibrotic phenotype during wound healing by overriding TGFb1 mediated ITGA11 expression. PMID: 26403263
- glycated collagen in the cardiac interstitium triggers an autocrine TGF-beta2 signaling pathway that stimulates alpha11 integrin expression through Smad2/3 binding elements in the alpha11 integrin promoter PMID: 24962729
- Myometrium and uterine fibroids express ITGA11. PMID: 24520080
- Interactions between alpha11 integrins and the Smad-dependent TGF-beta2 signalling may contribute to the formation of pro-fibrotic myofibroblasts and the development of a fibrotic interstitium in diabetic cardiomyopathy. PMID: 22869616
- The disturbance of alpha11beta1 mediated interactions to collagen I results in a tremendous reduction of hMSC numbers owing to mitochondrial leakage accompanied by Bcl-2-associated X protein upregulation. PMID: 21796158
- Data show that the 3 kb alpha11 promoter contains most of the regulatory elements that direct ectomesenchymal and mesodermal fibroblast-specific expression. PMID: 19913614
- Major transcription start site mapped. A core promoter [nt (-)127-(+)25], a potential silencer region [nt (-)400-(-)127] and a potential enhancer region [nt (-)1519-(-)400] identified as important for alpha11 transcription in mesenchymal cells. PMID: 12392762
- the GFOGER sequence in fibrillar collagens is a common recognition motif used by integrins, particularly alpha11beta1 PMID: 12496264
- A new interferon stimulated gene. (Integrin alpha 11) PMID: 16697656
- Through interaction between matrix collagen and stromal fibroblasts, integrin alpha 11 stimulates cancer cell growth. PMID: 17600088
- analysis of a prokaryotic Scl1 collagen sequence motif that mediates binding to human collagen receptors, integrins alpha2beta1 and alpha11beta1 PMID: 18990704
- is a major collagen receptor on human periodontal ligament cells [and plays] a role in collagen lattice remodeling [ITGA11B1] PMID: 19641149
顯示更多
收起更多
-
亞細胞定位:Membrane; Single-pass type I membrane protein.
-
蛋白家族:Integrin alpha chain family
-
組織特異性:According to PubMed:10464311, highest levels of expression in uterus and heart, intermediate levels in skeletal muscle and intermediate to low levels in pancreas, kidney and placenta. According to PubMed:10486209, also found in brain, colon, lung, small i
-
數據庫鏈接:
Most popular with customers
-
YWHAB Recombinant Monoclonal Antibody
Applications: ELISA, WB, IHC, IF, FC
Species Reactivity: Human, Mouse, Rat
-
Phospho-YAP1 (S127) Recombinant Monoclonal Antibody
Applications: ELISA, WB, IHC
Species Reactivity: Human
-
-
-
-
-
-















