IRF3 Antibody
-
中文名稱:IRF3兔多克隆抗體
-
貨號:CSB-PA283183
-
規格:¥1100
-
圖片:
-
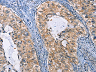
The image on the left is immunohistochemistry of paraffin-embedded Human liver cancer tissue using CSB-PA283183(IRF3 Antibody) at dilution 1/30, on the right is treated with fusion protein. (Original magnification: ×200)
-
The image on the left is immunohistochemistry of paraffin-embedded Human cervical cancer tissue using CSB-PA283183(IRF3 Antibody) at dilution 1/30, on the right is treated with fusion protein. (Original magnification: ×200)
-
Gel: 10%SDS-PAGE, Lysate: 40 μg, Lane: Jurkat cells, Primary antibody: CSB-PA283183(IRF3 Antibody) at dilution 1/260, Secondary antibody: Goat anti rabbit IgG at 1/8000 dilution, Exposure time: 10 seconds
-
-
其他:
產品詳情
-
Uniprot No.:
-
基因名:
-
別名:IIAE7 antibody; Interferon regulatory factor 3 antibody; IRF 3 antibody; IRF-3 antibody; IRF3 antibody; IRF3_HUMAN antibody; MGC94729 antibody
-
宿主:Rabbit
-
反應種屬:Human
-
免疫原:Fusion protein of Human IRF3
-
免疫原種屬:Homo sapiens (Human)
-
標記方式:Non-conjugated
-
抗體亞型:IgG
-
純化方式:Antigen affinity purification
-
濃度:It differs from different batches. Please contact us to confirm it.
-
保存緩沖液:-20°C, pH7.4 PBS, 0.05% NaN3, 40% Glycerol
-
產品提供形式:Liquid
-
應用范圍:ELISA,WB,IHC
-
推薦稀釋比:
Application Recommended Dilution ELISA 1:1000-1:2000 WB 1:200-1:1000 IHC 1:25-1:100 -
Protocols:
-
儲存條件:Upon receipt, store at -20°C or -80°C. Avoid repeated freeze.
-
貨期:Basically, we can dispatch the products out in 1-3 working days after receiving your orders. Delivery time maybe differs from different purchasing way or location, please kindly consult your local distributors for specific delivery time.
-
用途:For Research Use Only. Not for use in diagnostic or therapeutic procedures.
相關產品
靶點詳情
-
功能:Key transcriptional regulator of type I interferon (IFN)-dependent immune responses which plays a critical role in the innate immune response against DNA and RNA viruses. Regulates the transcription of type I IFN genes (IFN-alpha and IFN-beta) and IFN-stimulated genes (ISG) by binding to an interferon-stimulated response element (ISRE) in their promoters. Acts as a more potent activator of the IFN-beta (IFNB) gene than the IFN-alpha (IFNA) gene and plays a critical role in both the early and late phases of the IFNA/B gene induction. Found in an inactive form in the cytoplasm of uninfected cells and following viral infection, double-stranded RNA (dsRNA), or toll-like receptor (TLR) signaling, is phosphorylated by IKBKE and TBK1 kinases. This induces a conformational change, leading to its dimerization and nuclear localization and association with CREB binding protein (CREBBP) to form dsRNA-activated factor 1 (DRAF1), a complex which activates the transcription of the type I IFN and ISG genes. Can activate distinct gene expression programs in macrophages and can induce significant apoptosis in primary macrophages. In response to Sendai virus infection, is recruited by TOMM70:HSP90AA1 to mitochondrion and forms an apoptosis complex TOMM70:HSP90AA1:IRF3:BAX inducing apoptosis. Key transcription factor regulating the IFN response during SARS-CoV-2 infection.
-
基因功能參考文獻:
- Reduced GATA-1 could be responsible for the upregulation of IRF-3 in lung adenocarcinoma cells through binding with a specific domain of IRF-3 promoter. PMID: 28566697
- STING-IRF3 pathway promotes hepatocyte injury and dysfunction by inducing inflammation and apoptosis and by disturbing glucose and lipid metabolism. PMID: 29106945
- beta-catenin interacted with IRF3 and blocked its nuclear translocation. PMID: 30004146
- Upregulation of endogenous SAMHD1 expression is attributed to the phosphorylation and nuclear translocation of IRF3. PMID: 27411355
- In this work, the authors found that differences in type 1 interferon production by T1 and T3 reoviruses correlate with differential IRF3 activation. PMID: 29437975
- Proteins 8b and 8ab of severe acute respiratory syndrome coronavirus physically interact with IRF3 and in induced degradation of IRF3 in a ubiquitin-proteasome-dependent manner. PMID: 29294448
- Our results highlight the importance of IRF3 and type-I IFNs signaling for the pro-apoptotic effects induced by RA and synthetic dsRNA in breast cancer cells. PMID: 28409399
- In the current study, we studied the role of MITA (Mediator of IRF3 Activation), a regulator of innate immunity, in the regulation of autophagy and its implication in cell death of breast cancer cells. Here, we report that MITA inhibits the fusion of autophagosome with lysosome as evident from different autophagy flux assays PMID: 28366813
- New research suggests that altering a subset of extracellular matrix factors, including interferon regulatory factor (IRF)3 and casein kinase (CK)2, may decrease the migratory potential of these aggressive tumors. PMID: 28774478
- IRF-3 gene polymorphisms were associated with the susceptibility and prognosis of CLL, it can be used as an auxiliary index for clinical detection of CLL. PMID: 27348780
- Clarithromycin acts a crucial modulator of the innate immune response, particularly IFN production, by modulating IRF-3 dimerization and subsequent translocation to the nucleus of airway epithelial cells. PMID: 27468646
- c-Cbl negatively regulates IFN-beta signaling and cellular antiviral response by promoting IRF3 ubiquitination and degradation. PMID: 27503123
- data describe an unappreciated role for EAP30 in IRF3-dependent innate antiviral response in the nucleus. PMID: 29084253
- IRF-3 is an important regulator of ORMDL3 induction following RSV infection by binding directly to the promoter of ORMDL3 PMID: 28336364
- above findings suggest that ATG5-ATG12 positively regulate anti-viral NF-kappaB and IRF3 signaling during FMDV infection, thereby limiting FMDV proliferation. FMDV has evolved mechanisms to counteract the antiviral function of ATG5-ATG12, via degradation of them by viral protein 3C(pro). PMID: 28102839
- NEMO-IKKbeta Are Essential for IRF3 and NF-kappaB Activation in the cGAS-STING Pathway PMID: 28939760
- these data suggest that HNSs, an antagonist of host innate immunity, interacts with TBK1 and thereby hinders the association of TBK1 with its substrate IRF3, thus blocking IRF3 activation and transcriptional induction of the cellular antiviral responses. PMID: 28848048
- IRF3 is a major transcriptional regulator of adipose inflammation and is involved in maintaining systemic glucose and energy homeostasis PMID: 27400129
- this study shows that IRF-3-mediated apoptosis of virus-infected cells could be an effective antiviral mechanism, without expression of the interferon-stimulated genes PMID: 27178468
- Data in this study show that cFLIPL inhibits IFN regulatory factor 3 (IRF3), a transcription factor central for IFN-beta and IFN-stimulated gene expression. PMID: 27342840
- 1,8-cineole potentiates the antiviral activity of IRF3 in addition to its inhibitory effect on proinflammatory NF-kappaB signaling in an ex vivo model of rhinosinusitis. PMID: 27129189
- TBK1 complexes required for the phosphorylation of IRF3 and the production of interferon-beta have been identified. PMID: 28159912
- RIG-I-like receptor-induced IRF3 mediated pathway of apoptosis (RIPA): a new antiviral pathway PMID: 27815826
- cGAs recognizes bacterial/viral DNA, and is a strong activator of STING that can further activate IRF3 and subsequent type I interferon production. (Review) PMID: 27696330
- IRF3 overexpression in Acute myeloid leukemia (AML) promotes cell growth and survival, and miR-155 is involved, indicating that IRF3 may be a potential new biomarker and therapeutic target for AML. PMID: 27530922
- down-regulation of IRF3 inhibited the proliferation and extracellular matrix expression in keloid fibroblasts. PMID: 28192879
- rotavirus NSP1 (nonstructural protein 1) employs a pLxIS motif to target IRF-3 for degradation, but phosphorylation of NSP1 is not required for its activity. These results suggest a concerted mechanism for the recruitment and activation of IRF-3 that can be subverted by viral proteins to evade innate immune responses. PMID: 27302953
- Highly pathogenic Porcine reproductive and respiratory syndrome virus modulates Interferon-beta expression mainly through attenuating IRF-3 phosphorylation. PMID: 27314873
- Data suggest that molecular chaperone GRP78 contributes to toll-like receptor-3 (TLR3)-mediated, interferon regulatory factor 3 protein (IRF3)-dependent innate immune response to hepatitis C virus (HCV) in hepatocytes. PMID: 27129228
- Findings suggest a common and conserved mechanism through which highly pathogenic MERS-CoV and SARS-CoV harness their M proteins to suppress type I IFN expression at the level of TBK1-dependent phosphorylation and activation of IRF3 resulting in evasion of the host innate antiviral response. PMID: 27094905
- observations suggest IRF3 may function as a novel regulator to modulate TGF-beta1-induced LX-2 proliferation, at least in part, via AKT signaling pathway PMID: 26611114
- FAF1 plays a novel role in negatively regulating virus-induced IFN-beta production and the antiviral response by inhibiting the translocation of active, phosphorylated IRF3 from the cytosol to the nucleus PMID: 26811330
- the LxxLL motifs of IRF3 binds within the hydrophobic pocket of E6, precluding Ser-patch phosphorylation, necessary for IRF3 activation and interferon induction. PMID: 26289783
- the suppression of type I IFN production by HTLV-1 Tax through interaction with and inhibition of TBK1 kinase that phosphorylates IRF3 PMID: 26819312
- The authors found that Ca(2+) signaling associated with membrane perturbation and recognition of incoming viral genomes by cytosolic nucleic acid receptors are required to activate IRF3 in response to Sendai virus and human cytomegalovirus. PMID: 26719279
- Study identifies crosstalk between PTEN and IRF3 in tumor suppression and innate immunity. PMID: 26692175
- Viral infection induced DAPK1-IRF7 and DAPK1-IRF3 interactions and overexpression of DAPK1 enhanced virus-induced activation of the interferon-stimulated response element (ISRE) and IFN-beta promoters and the expression of the IFNB1 gene. PMID: 24531619
- TEL-AML1 fusion protein blocks B-cell differentiation and downregulates the IRF3-IFNalpha/beta pathway by modulating expression and phosphorylation of IRF3 in human primary hematopoietic precursor cells. PMID: 25893288
- The expression levels of IRF3 were not different between CHB patients and healthy controls. PMID: 26058929
- results revealed a new paradigm in which the antiviral host factor, IRF3, plays a cell-intrinsic pro-parasitic role. PMID: 25811886
- The results of this study suggested that IRF3 is likely a risk gene for schizophrenia, at least in Caucasians. PMID: 25843157
- induction of miR-576-3p by IRF3 triggers a feedback mechanism to reduce interferon expression and set an antiviral response threshold to likely avoid excessive inflammation PMID: 25232931
- The present study indicated that HSPD1 interacted with IRF3 and it contributed to the induction of IFN-beta. PMID: 25506707
- The identification of IRF3 deficiency in HSE provides the first description of a defect in an IFN-regulating transcription factor conferring increased susceptibility to a viral infection in the CNS in humans. PMID: 26216125
- The data show that SARS coronavirus PLpro also inhibits IRF3 activation at a step after phosphorylation and that this inhibition is dependent on the de-ubiquitination (DUB) activity of PLpro. PMID: 25481026
- The presence of TLR3 and IRF-3 in both human normal and PCa clinical samples, potentially envisaging poly I:C-based therapy for PCa. PMID: 25444175
- study demonstrates HSV-2 US1 inhibits production of IFN-beta by suppressing activation of IFN-beta promoter by interfering with the association of nuclear IRF-3 with IRF-3-responsive domain of the the IFN-beta promoter PMID: 25712217
- Our results demonstrate for the first time that IRF3 and IRF7 are both involved in inducing TLR4-dependent IFN-beta expression in response to HSV-2 in its primary infected genital epithelial cells PMID: 24722640
- Collectively, this study characterizes a novel protein complex, Tom70/Hsp90/IRF3/Bax, that is important for Sendai virus-induced apoptosis. PMID: 25609812
- stable activation during respiratory syncytial virus infection requires both RIG-1 and MDA5 PMID: 24800889
顯示更多
收起更多
-
相關疾病:Herpes simplex encephalitis 7 (HSE7)
-
亞細胞定位:Cytoplasm. Nucleus. Mitochondrion.
-
蛋白家族:IRF family
-
組織特異性:Expressed constitutively in a variety of tissues.
-
數據庫鏈接:
Most popular with customers
-
-
YWHAB Recombinant Monoclonal Antibody
Applications: ELISA, WB, IHC, IF, FC
Species Reactivity: Human, Mouse, Rat
-
Phospho-YAP1 (S127) Recombinant Monoclonal Antibody
Applications: ELISA, WB, IHC
Species Reactivity: Human
-
-
-
-
-















