IQGAP2 Antibody
-
中文名稱:IQGAP2兔多克隆抗體
-
貨號:CSB-PA615701LA01HU
-
規格:¥440
-
圖片:
-
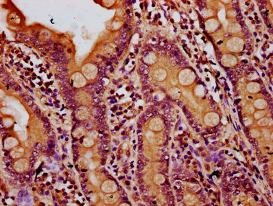
IHC image of CSB-PA615701LA01HU diluted at 1:500 and staining in paraffin-embedded human small intestine tissue performed on a Leica BondTM system. After dewaxing and hydration, antigen retrieval was mediated by high pressure in a citrate buffer (pH 6.0). Section was blocked with 10% normal goat serum 30min at RT. Then primary antibody (1% BSA) was incubated at 4°C overnight. The primary is detected by a biotinylated secondary antibody and visualized using an HRP conjugated SP system.
-
Immunofluorescence staining of HepG2 cells with CSB-PA615701LA01HU at 1:166, counter-stained with DAPI. The cells were fixed in 4% formaldehyde, permeabilized using 0.2% Triton X-100 and blocked in 10% normal Goat Serum. The cells were then incubated with the antibody overnight at 4°C. The secondary antibody was Alexa Fluor 488-congugated AffiniPure Goat Anti-Rabbit IgG(H+L).
-
-
其他:
產品詳情
-
產品名稱:Rabbit anti-Homo sapiens (Human) IQGAP2 Polyclonal antibody
-
Uniprot No.:
-
基因名:
-
別名:IQ motif containing GTPase activating protein 2 antibody; IQGA2_HUMAN antibody; Iqgap2 antibody; Ras GTPase activating-like protein antibody; Ras GTPase-activating-like protein IQGAP2 antibody
-
宿主:Rabbit
-
反應種屬:Human
-
免疫原:Recombinant Human Ras GTPase-activating-like protein IQGAP2 protein (1245-1395AA)
-
免疫原種屬:Homo sapiens (Human)
-
標記方式:Non-conjugated
本頁面中的產品,IQGAP2 Antibody (CSB-PA615701LA01HU),的標記方式是Non-conjugated。對于IQGAP2 Antibody,我們還提供其他標記。見下表:
-
克隆類型:Polyclonal
-
抗體亞型:IgG
-
純化方式:>95%, Protein G purified
-
濃度:It differs from different batches. Please contact us to confirm it.
-
保存緩沖液:Preservative: 0.03% Proclin 300
Constituents: 50% Glycerol, 0.01M PBS, pH 7.4 -
產品提供形式:Liquid
-
應用范圍:ELISA, IHC, IF
-
推薦稀釋比:
Application Recommended Dilution IHC 1:500-1:1000 IF 1:50-1:200 -
Protocols:
-
儲存條件:Upon receipt, store at -20°C or -80°C. Avoid repeated freeze.
-
貨期:Basically, we can dispatch the products out in 1-3 working days after receiving your orders. Delivery time maybe differs from different purchasing way or location, please kindly consult your local distributors for specific delivery time.
-
用途:For Research Use Only. Not for use in diagnostic or therapeutic procedures.
相關產品
靶點詳情
-
功能:Binds to activated CDC42 and RAC1 but does not seem to stimulate their GTPase activity. Associates with calmodulin.
-
基因功能參考文獻:
- IQGAP2 expression correlated positively with survivability, on the contrary, IQGAP3 expression levels correlated inversely with survivability PMID: 29073199
- The structural basis for Cdc42-induced dimerization of IQGAP1 and IQGAP2 has been uncovered. PMID: 27524202
- The most frequently identified and connected to preterm birth genes in the exome library were IGF1, ATM and IQGAP2. PMID: 27163930
- IQGAP2 TagSNP rs457717 (A/G) was not associated with Age-Related Hearing impairment in Han male Chinese population. PMID: 26187738
- Thus, these data identified IQGAP2 as a novel tumor suppressor for ovarian cancer to inhibit cell invasion through regulating Wnt/b-catenin signaling, and provided a new biomarker and potential therapeutic strategy for this disease. PMID: 26549344
- we identified IQGAP2 as a human and zebrafish podocyte gene product that is downregulated in microarray data sets from kidney biopsies of human patients with focal segmental glomerulosclerosis and minimal change nephrotic syndrome. PMID: 26154927
- Data show that IQ motif-containing GTPase-activating protein 2 (IQGAP2) expression is altered in colitis. PMID: 26047140
- IQGAP1, IQGAP2, and IQGAP3 have diverse roles in vertebrate physiology, operating in the kidney, nervous system, cardiovascular system, pancreas, and lung. (Review) PMID: 25722290
- Mammalian IQGAP proteins may play a role in cytokinesis by regulating the localization of key cytokinesis regulatory proteins to the contractile apparatus during mitosis. PMID: 25229330
- Low IQGAP2 expression was associated with hepatocellular carcinoma. PMID: 24998570
- The first IQ-motifs from IQGAP2 and IQGAP3 form transient interactions with calmodulin in the absence of calcium. PMID: 21299499
- observations strongly indicate that IQGAP2 is a surveillance type of tumour suppressor for prostate cancer PMID: 22406297
- increased IQGAP1 and/or decreased IQGAP2 contribute to the pathogenesis of human HCC. PMID: 20977743
- The top-ranked SNP, rs457717 for association with age-related hearing impairment(P-value 3.55 x 10(-7)), was localised in an intron of the IQ motif-containing GTPase-activating-like protein (IQGAP2). PMID: 20068591
- The gene for the putative rac1/cdc42 effector protein IQGAP2 was found in the PAR gene cluster at 5q13, flanked by PAR1 & encompassing PAR3. It functions as a GTP-dependent effector protein in thrombin-induced platelet cytoskeletal reorganization. PMID: 12515716
- silencing of IQGAP2 by promoter methylation may contribute to gastric cancer development. PMID: 17957782
顯示更多
收起更多
-
組織特異性:Isoform 2 expression is enhanced in testis.
-
數據庫鏈接:
Most popular with customers
-
-
YWHAB Recombinant Monoclonal Antibody
Applications: ELISA, WB, IHC, IF, FC
Species Reactivity: Human, Mouse, Rat
-
Phospho-YAP1 (S127) Recombinant Monoclonal Antibody
Applications: ELISA, WB, IHC
Species Reactivity: Human
-
-
-
-
-















