INHBC Antibody
-
中文名稱:INHBC兔多克隆抗體
-
貨號:CSB-PA971390
-
規格:¥1100
-
圖片:
-
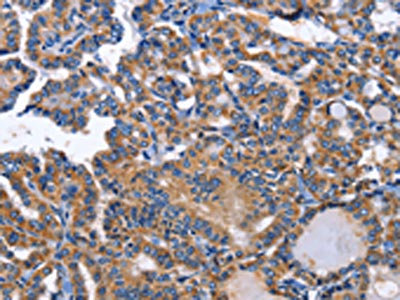
The image on the left is immunohistochemistry of paraffin-embedded Human thyroid cancer tissue using CSB-PA971390(INHBC Antibody) at dilution 1/50, on the right is treated with fusion protein. (Original magnification: ×200)
-
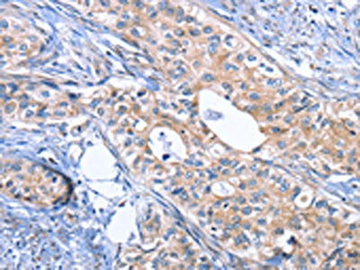
The image on the left is immunohistochemistry of paraffin-embedded Human cervical cancer tissue using CSB-PA971390(INHBC Antibody) at dilution 1/50, on the right is treated with fusion protein. (Original magnification: ×200)
-
Gel: 10%SDS-PAGE, Lysate: 40 μg, Lane 1-4: 293T cells, hepG2 cells, hela cells, A549 cells, Primary antibody: CSB-PA971390(INHBC Antibody) at dilution 1/550, Secondary antibody: Goat anti rabbit IgG at 1/8000 dilution, Exposure time: 1 minute
-
-
其他:
產品詳情
-
Uniprot No.:
-
基因名:
-
別名:Activin beta C chain antibody; Activin beta-C chain antibody; IHBC antibody; Inhbc antibody; INHBC_HUMAN antibody; Inhibin beta C chain antibody; Inhibin, beta C antibody
-
宿主:Rabbit
-
反應種屬:Human,Mouse,Rat
-
免疫原:Fusion protein of Human INHBC
-
免疫原種屬:Homo sapiens (Human)
-
標記方式:Non-conjugated
-
抗體亞型:IgG
-
純化方式:Antigen affinity purification
-
濃度:It differs from different batches. Please contact us to confirm it.
-
保存緩沖液:-20°C, pH7.4 PBS, 0.05% NaN3, 40% Glycerol
-
產品提供形式:Liquid
-
應用范圍:ELISA,WB,IHC
-
推薦稀釋比:
Application Recommended Dilution ELISA 1:1000-1:5000 WB 1:500-1:2000 IHC 1:50-1:200 -
Protocols:
-
儲存條件:Upon receipt, store at -20°C or -80°C. Avoid repeated freeze.
-
貨期:Basically, we can dispatch the products out in 1-3 working days after receiving your orders. Delivery time maybe differs from different purchasing way or location, please kindly consult your local distributors for specific delivery time.
-
用途:For Research Use Only. Not for use in diagnostic or therapeutic procedures.
相關產品
靶點詳情
-
功能:Inhibins and activins inhibit and activate, respectively, the secretion of follitropin by the pituitary gland. Inhibins/activins are involved in regulating a number of diverse functions such as hypothalamic and pituitary hormone secretion, gonadal hormone secretion, germ cell development and maturation, erythroid differentiation, insulin secretion, nerve cell survival, embryonic axial development or bone growth, depending on their subunit composition. Inhibins appear to oppose the functions of activins.
-
基因功能參考文獻:
- Study shows an up-regulation of activin-C in aggressive prostate cancer only, suggesting that activin-C may play a role in the advanced stages of the disease. PMID: 28116672
- The inhibin-betaC subunit is down-regulated, while inhibin-betaE is up-regulated by interferon-beta1a in Ishikawa carcinoma cell line. PMID: 23580013
- Single Nucleotide Polymorphisms in INHBC gene is associated with brain metastasis in non-small-cell lung cancer PMID: 23284751
- Activin-beta(C) is a regulator of activin-A. Activin-beta(C) is able to abolish cachexia and modulate reproductive tumour development in inhibin alpha-subunit knockout mice (alpha-KO) mice. PMID: 23180294
- inhibin-betaC in normal and pathological placental tissue was demonstrated, although no differences in staining intensity could be observed. Functional role of novel inhibin-betaC subunit in normal and pathological human placenta is still quite unclear. PMID: 21117833
- in endometrial cancer tissue demonstrated a significant association with hemangiosis although without any impact on the patients' survival PMID: 20683603
- differential expression pattern of the betaC- and betaE-subunits in normal human endometrial tissue suggests that they function in endometrial maturation and blastocyst implantation. PMID: 21092084
- the novel inhibin/activin-betaC subunit is expressed in human endometrioid adenocarcinomas and in the human endometrial carcinoma cell line HEC-1a PMID: 20952735
- Meta-analysis and genome-wide association study of gene-disease association. (HuGE Navigator) PMID: 20884846
- Expression of the inhibin betaC and betaE subunits was demonstrated at the protein level and at the transcriptional level in normal human endometrial tissue and in the Ishikawa human endometrial carcinoma cell line. PMID: 20012305
- Expression of inhibin beta C was detected in the human chorionic carcinoma cell lines JEG and BeWoand also in human placenta. PMID: 20458061
- Role for the activin betaC-subunit as a regulatory mechanism to reduce activin A secretion via intracellular heterodimerization. PMID: 12960042
- activin betaC subunit may exert its effect as inhibin C PMID: 16627954
顯示更多
收起更多
-
亞細胞定位:Secreted.
-
蛋白家族:TGF-beta family
-
組織特異性:Expressed in benign prostatic hyperplasia.
-
數據庫鏈接:
Most popular with customers
-
-
YWHAB Recombinant Monoclonal Antibody
Applications: ELISA, WB, IHC, IF, FC
Species Reactivity: Human, Mouse, Rat
-
Phospho-YAP1 (S127) Recombinant Monoclonal Antibody
Applications: ELISA, WB, IHC
Species Reactivity: Human
-
-
-
-
-















