IL2RA Antibody
-
中文名稱:IL2RA兔多克隆抗體
-
貨號:CSB-PA013952
-
規格:¥1100
-
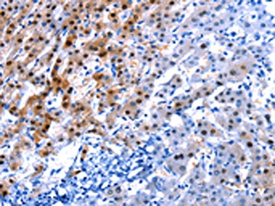
圖片:
-
其他:
產品詳情
-
Uniprot No.:
-
基因名:
-
別名:IL2RA; Interleukin-2 receptor subunit alpha; IL-2 receptor subunit alpha; IL-2-RA; IL-2R subunit alpha; IL2-RA; TAC antigen; p55; CD antigen CD25
-
宿主:Rabbit
-
反應種屬:Human,Mouse,Rat
-
免疫原:Synthetic peptide of Human IL2RA
-
免疫原種屬:Homo sapiens (Human)
-
標記方式:Non-conjugated
-
抗體亞型:IgG
-
純化方式:Antigen affinity purification
-
濃度:It differs from different batches. Please contact us to confirm it.
-
保存緩沖液:-20°C, pH7.4 PBS, 0.05% NaN3, 40% Glycerol
-
產品提供形式:Liquid
-
應用范圍:ELISA,IHC
-
推薦稀釋比:
Application Recommended Dilution ELISA 1:1000-1:10000 IHC 1:25-1:100 -
Protocols:
-
儲存條件:Upon receipt, store at -20°C or -80°C. Avoid repeated freeze.
-
貨期:Basically, we can dispatch the products out in 1-3 working days after receiving your orders. Delivery time maybe differs from different purchasing way or location, please kindly consult your local distributors for specific delivery time.
-
用途:For Research Use Only. Not for use in diagnostic or therapeutic procedures.
相關產品
靶點詳情
-
功能:Receptor for interleukin-2. The receptor is involved in the regulation of immune tolerance by controlling regulatory T cells (TREGs) activity. TREGs suppress the activation and expansion of autoreactive T-cells.
-
基因功能參考文獻:
- Results are in line with the hypothesis that in the early phase of ALS, neuroprotective helper T cells infiltrate in the affected areas in the lumbar spinal cord. This was reflected in higher peripheral percentage of CD4(+) helper T cells and higher expression of FOXP3 and IL-2Ralpha. PMID: 29574662
- a significant association was found between IL2RA SNP and susceptibility to alopecia areata in Iranian cohort PMID: 29979892
- The gene polymorphisms at the loci of IL2RA rs2104286 and rs12722489 are closely associated with susceptibility to MS in the Chinese. PMID: 30352019
- Higher frequency of IL2RA SNP could not be detected among multiple sclerosis patients. The difference of frequencies was statistically insignificant between groups, probably, due to low power of analysis and inadequate sample size. PMID: 29141792
- Our meta-analysis suggests that the rs2104286 A allele is associated with increased MS risk in both Caucasians and Asians, whereas the rs12722489 C allele is associated with elevated MS risk in Caucasians but not in Asians. PMID: 29648897
- sIL-2R could be a promising new marker for determining inflammatory disease activity in CRPS. PMID: 28634419
- Relationship between soluble CD25 and gene expression in healthy individuals and patients with multiple sclerosis. PMID: 28511943
- Increased serum level of soluble interleukin-2 receptor is associated with a worse response of metastatic clear cell renal cell carcinoma to interferon alpha and sequential VEGF-targeting therapy. PMID: 28545581
- Data show that interleukin-2 receptor alpha, tumor necrosis factor receptor 1, serum STimulation-2 (IL1RL1 gene product), and regenerating islet-derived 3-alpha were significantly associated with non-relapse mortality. PMID: 28126963
- High IL2RA expression is associated with CRLF2-rearranged acute lymphoblastic leukemia. PMID: 28866095
- Inhibits CD25 translation through regulation of the LKB1-AMPK-mTOR pathway to suppress T cells. PMID: 28230853
- Among patients with a low pretreatment sIL-2R level who exhibited a positive response to R-CHOP, the posttreatment sIL-2R level may help to identify those with a poor prognosis. PMID: 28413914
- The findings not only confirm the predictive power of CD25 expression for Philadelphia chromosome translocation (Ph)+ but also demonstrate that CD25 expression is associated with RD (a biomarker correlated with prognosis) in Ph- patients. The latter finding is likely associated with underlying molecular abnormalities, including Ph-like genotype. PMID: 28430957
- Through GWAS, we found that emotion dysregulation is associated at genome-wide level significance in a sex-specific manner, with a SNP in IL2RA in men. PMID: 27643478
- it has been shown that CD25 serves as a negative growth regulator of Chronic myeloid leukemia leukemic stem cells. PMID: 28457753
- Decidual stromal cells affect IL-2 production and IL-2R expression and signaling. PMID: 27651429
- The single nucleotide variant rs12722489 determines differential ERalpha binding and enhancer properties of an IL2RA intronic region. PMID: 28234966
- CDK6-mediated suppression of CD25 is required for initiation of T-ALL by activated Notch1 PMID: 26707936
- CD4(+) CD25(+) GARP(+) Treg cells are defective in dilated cardiomyopathy patients and GARP seems to be a better molecular definition of the regulatory phenotype. PMID: 28207945
- Studies indicate many potential uses of soluble interleukin-2 receptor measurement in the diagnosis and treatment of hemophagocytic syndromes. PMID: 28497365
- Data suggest that differential methylation of the IL2RA promoter in T cells could be an important pathogenic mechanism in multiple sclerosis. PMID: 28077880
- Sustained STAT5 transcription factor (STAT5) phosphorylation is necessary to induce long-term interleukin 2 receptor subunit alpha (CD25) expression in T lymphocytes. PMID: 27936140
- Gastric adenocarcinoma patients present with increased PD-1(+) lymphocytes and CD4(+)CD25(+)FOXP3(+) regulatory T cells in the peripheral blood. PMID: 28031121
- The serum concentration of soluble IL2 receptor are increased in patients with Kawasaki disease. (Review) PMID: 28081636
- CD25 is an independent prognostic factor in elderly AML patients. Alternative therapies for CD25-positive elderly AML patients are needed. PMID: 28097942
- The study demonstrated Increased level of CD25 in patients with active vitilligo. PMID: 27556155
- CD45RA distinguishes CD4+CD25+CD127-/low TSDR demethylated regulatory T cell subpopulations with differential stability and susceptibility to tacrolimus-mediated immunosuppression. PMID: 28118317
- Combination with anti-programmed cell death protein-1 (PD-1) antibodies promoted complete tumor rejection, indicating the relevance of CD25 antigen as a therapeutic target and promising substrate for future combination approaches in immune-oncology. PMID: 28410988
- A compensatory mechanism of IL-7-mediated homeostatic proliferation can restore the inhibitory network of CD24+Foxp3+Treg cell after anti-CD25 induction therapy in islet allotransplantation. PMID: 27306531
- (99) Tc-methylene diphosphonate may improve the activity of RA through upregulating the frequency of peripheral gammadelta T cells and CD4(+) CD25(+) Foxp3(+) Tregs as well as affecting the serum cytokine environment by increasing TGF-beta and decreasing TNF-alpha and IL-6. PMID: 24467668
- IL-2Ra Interleukin-2 receptor antagonists (IL-2Ra) reduces the risk on new-onset diabetes after transplantation (NODAT) in liver transplant recipients. PMID: 26588180
- The percentages of CD8(+)CD25(+)FoxP3(brigh) Tregs correlate with mean peak expiratory flow. PMID: 25921629
- Efficiently downregulated the percentages of CD4+CD25+Foxp3+ regulator T (Treg) cells. PMID: 27431260
- introduce the combined use of CD25 and properly strati fi ed CD135 values as alternatives to testing for the FLT3-ITD mutation PMID: 27087256
- this study shows that PTPN22 genetic polymorphisms play role in predisposition of type 1 diabetes mellitus in Egyptian children PMID: 27288719
- dissected the first intron of the IL2RA gene and selected several single nucleotide polymorphisms (SNPs) that may influence the regulation of the IL2RA gene in cell types relevant to autoimmune pathology PMID: 27876533
- Its levels correlate to disease stage, assess response to therapy and are predictive of recurrence or better survival. We suggest, therefore, using sIL-2R as a reliable prognostic marker in HNC patients as a single marker, or in a combined panel of biomarkers. PMID: 27466555
- CD25 had an adverse prognostic impact on these patients, and this poor prognosis may not be overcome, even with transplant. Patients with AML with residual CD25-positive blasts at the time of transplant may require additional therapy before or after transplant to improve survival. PMID: 26422713
- IL2RA and TAGAP are novel vitamin D target genes. The vitamin D response is observed in samples from both the multiple sclerosis (MS) patients and controls, and is not dependent on the genotype of MS-associated SNPs in the respective genes. PMID: 26765264
- Anti-CD25 recombinant immunotoxin LMB-2 had phase I activity limited by immunogenicity and rapid growth. PMID: 26350263
- Enhanced pretreatment CD25 expression on CD4+ T cells was associated with decreased survival rate of acute myeloid leukemia patients. PMID: 26721345
- A decrease of CD4(+) CD25(+) CD127(low) FoxP3(+) regulatory T cells with impaired suppressive function had been found in untreated ulcerative colitis patients. PMID: 26333292
- Data show that an ultra-high level of serum serum soluble interleukin-2 receptor (sIL-2R) at diagnosis is a significant poor prognostic biomarker for angioimmunoblastic T-cell lymphoma (AITL). PMID: 25563559
- The rs2104286 G allele in IL2RA is present at higher frequencies in neuromyelitis optica patients than in healthy controls within a Southern Han Chinese population. PMID: 24257225
- Our results suggest that the CD34/CD25/CD123/CD99(+) LAIP is strictly associated with FLT3-ITD-positive cells. PMID: 25957287
- Interleukin-2 Receptor alpha-Chain (CD25) Expression Predicts a Poor Prognosis in Acute Myeloid Leukemia PMID: 26375984
- Data show that interleukin 2 receptor subunit alpha (IL2RA)-single nucleotide polymorphism rs2104286 and serum sIL2Ralpha-level associated with rheumatoid arthritis (RA)-persistence. PMID: 26350950
- CD4+CD45RO+CD25-/lowCD127+: CD4+CD45RO+CD25hiCD127-/low ratio in peripheral blood indicates heart transplant recipients at risk for cardiac allograft vasculopathy. PMID: 25539460
- analysis of sIL-2R levels in sarcoidosis patients with renal insufficiency PMID: 25745051
- all five single nucleotide polymorphisms in the IL2RA gene are risk factors for type 1 diabetes risk. PMID: 26249556
顯示更多
收起更多
-
相關疾病:Diabetes mellitus, insulin-dependent, 10 (IDDM10); Immunodeficiency 41 with lymphoproliferation and autoimmunity (IMD41)
-
亞細胞定位:Membrane; Single-pass type I membrane protein.
-
數據庫鏈接:
Most popular with customers
-
-
YWHAB Recombinant Monoclonal Antibody
Applications: ELISA, WB, IHC, IF, FC
Species Reactivity: Human, Mouse, Rat
-
Phospho-YAP1 (S127) Recombinant Monoclonal Antibody
Applications: ELISA, WB, IHC
Species Reactivity: Human
-
-
-
-
-















