IL27 Antibody
-
中文名稱:IL27兔多克隆抗體
-
貨號:CSB-PA127030
-
規格:¥1100
-
圖片:
-
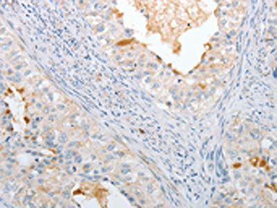
The image on the left is immunohistochemistry of paraffin-embedded Human liver cancer tissue using CSB-PA127030(IL27 Antibody) at dilution 1/15, on the right is treated with fusion protein. (Original magnification: ×200)
-
The image on the left is immunohistochemistry of paraffin-embedded Human cervical cancer tissue using CSB-PA127030(IL27 Antibody) at dilution 1/15, on the right is treated with fusion protein. (Original magnification: ×200)
-
-
其他:
產品詳情
-
Uniprot No.:
-
基因名:
-
別名:EBI3 antibody; IL 27 antibody; IL 27 p28 subunit antibody; IL 27A antibody; IL 30 antibody; IL-27 subunit alpha antibody; IL-27-A antibody; IL27 antibody; IL27-A antibody; IL27A antibody; IL27A_HUMAN antibody; IL27p28 antibody; IL30 antibody; Interleukin 27 antibody; Interleukin 27 subunit alpha antibody; Interleukin 27; 28-KD subunit antibody; Interleukin 30 antibody; Interleukin-27 subunit alpha antibody; p28 antibody
-
宿主:Rabbit
-
反應種屬:Human
-
免疫原:Fusion protein of Human IL27
-
免疫原種屬:Homo sapiens (Human)
-
標記方式:Non-conjugated
-
抗體亞型:IgG
-
純化方式:Antigen affinity purification
-
濃度:It differs from different batches. Please contact us to confirm it.
-
保存緩沖液:-20°C, pH7.4 PBS, 0.05% NaN3, 40% Glycerol
-
產品提供形式:Liquid
-
應用范圍:ELISA,IHC
-
推薦稀釋比:
Application Recommended Dilution ELISA 1:1000-1:2000 IHC 1:15-1:50 -
Protocols:
-
儲存條件:Upon receipt, store at -20°C or -80°C. Avoid repeated freeze.
-
貨期:Basically, we can dispatch the products out in 1-3 working days after receiving your orders. Delivery time maybe differs from different purchasing way or location, please kindly consult your local distributors for specific delivery time.
-
用途:For Research Use Only. Not for use in diagnostic or therapeutic procedures.
相關產品
靶點詳情
-
功能:Associates with EBI3 to form the IL-27 interleukin, a heterodimeric cytokine which functions in innate immunity. IL-27 has pro- and anti-inflammatory properties, that can regulate T-helper cell development, suppress T-cell proliferation, stimulate cytotoxic T-cell activity, induce isotype switching in B-cells, and that has diverse effects on innate immune cells. Among its target cells are CD4 T-helper cells which can differentiate in type 1 effector cells (TH1), type 2 effector cells (TH2) and IL17 producing helper T-cells (TH17). It drives rapid clonal expansion of naive but not memory CD4 T-cells. It also strongly synergizes with IL-12 to trigger interferon-gamma/IFN-gamma production of naive CD4 T-cells, binds to the cytokine receptor WSX-1/TCCR which appears to be required but not sufficient for IL-27-mediated signal transduction. IL-27 potentiate the early phase of TH1 response and suppress TH2 and TH17 differentiation. It induces the differentiation of TH1 cells via two distinct pathways, p38 MAPK/TBX21- and ICAM1/ITGAL/ERK-dependent pathways. It also induces STAT1, STAT3, STAT4 and STAT5 phosphorylation and activates TBX21/T-Bet via STAT1 with resulting IL12RB2 up-regulation, an event crucial to TH1 cell commitment. It suppresses the expression of GATA3, the inhibitor TH1 cells development. In CD8 T-cells, it activates STATs as well as GZMB. IL-27 reveals to be a potent inhibitor of TH17 cell development and of IL-17 production. Indeed IL27 alone is also able to inhibit the production of IL17 by CD4 and CD8 T-cells. While IL-27 suppressed the development of proinflammatory Th17 cells via STAT1, it inhibits the development of anti-inflammatory inducible regulatory T-cells, iTreg, independently of STAT1. IL-27 has also an effect on cytokine production, it suppresses proinflammatory cytokine production such as IL2, IL4, IL5 and IL6 and activates suppressors of cytokine signaling such as SOCS1 and SOCS3. Apart from suppression of cytokine production, IL-27 also antagonizes the effects of some cytokines such as IL6 through direct effects on T-cells. Another important role of IL-27 is its antitumor activity as well as its antiangiogenic activity with activation of production of antiangiogenic chemokines such as IP-10/CXCL10 and MIG/CXCL9. In vein endothelial cells, it induces IRF1/interferon regulatory factor 1 and increase the expression of MHC class II transactivator/CIITA with resulting up-regulation of major histocompatibility complex class II. IL-27 also demonstrates antiviral activity with inhibitory properties on HIV-1 replication.
-
基因功能參考文獻:
- Over-expression of IL-17 and IL-27 are involved in the pathogenesis of liver damage in children with human cytomegalovrius infection. PMID: 30022757
- Interleukin-27 differentially regulates the expression of seven novel microRNAs. PMID: 29343703
- Patients with tuberculous pleural effusion have an about 26-fold higher chance of being IL-27 test-positive compared to patients with malignant pleural effusion. [meta-analysis] PMID: 29539604
- there was a significant increase in the risk of Kawasaki disease with coronary arterial lesions in children with the rs17855750 (T>G), rs40837 (A>G), rs4740 (G>A), rs4905 (A>G), rs153109 (T>C), and rs26528 (A>G) Single-nucleotide Polymorphisms. PMID: 29973303
- our results showed that SNP rs153109 displayed significant associations with dilated cardiomyopathy in Chinese Han population, whereas no differences in genotype or allele frequencies were found between dilated cardiomyopathy patients and controls at SNP rs17855750. PMID: 29754565
- Human Immunodeficiency virus type-1 myeloid derived suppressor cells inhibit cytomegalovirus inflammation through IL-27 and B7-H4. PMID: 28338007
- IL-27 enhances the potential of reactive oxygen species generation from monocyte-derived macrophages and dendritic cells by induction of p47(phox). PMID: 28240310
- IL-27 has a unique ability to directly act on hematopoietic stem cells and promote their expansion and differentiation into myeloid progenitors in hematologic neoplasms and malaria. (Review) PMID: 29218601
- IL-27 rs153109 and rs17855750 Polymorphisms are associated with Risk and Response to Therapy in Acute Lymphoblastic Leukemia. PMID: 28828696
- IL-27 was down-regulated in the malignant Middle Cerebral Artery Infarction. PMID: 28828208
- IL-27 may be involved in the development of coronary artery lesions in acute Kawasaki disease. PMID: 28108813
- Hepatitis B virus infection can lead to overexpression of interleukin-27 gene in liver transplant patients. PMID: 26925776
- this study indicates that IL-27 secreted by cervical carcinoma cells restricts the angiogenesis in a paracrine manner in the pathogenesis of cervical cancer PMID: 28508429
- IL-27 signaling (IL-27 and its receptor) may be involved in the pathogenesis of HIV infection and immune reconstitution in HIV/AIDS patients who underwent HAART. IL-27 may exert effects through regulating Th1 / Th2 ratio. PMID: 28521720
- This study provides additional evidence that IL-27 may contribute to autoimmune processes in MS patients. PMID: 28738904
- this study shows that IL-27 regulates the adherence, proliferation, and migration of placenta-derived mesenchymal stromal cells and enhances their regulatory effects on Th1 and Th2 subset generations PMID: 28612255
- This study failed to find an association between common variants in the functional region of IL27 and coronary artery disease in a Chinese Han population PMID: 27174010
- Data point out to a broad set of activities shared by IL-27 and IFN-gamma, which are dependent on the common activation of the STAT1 pathway. These data add further explanation to the anti-tumor activity of IL-27 and also to its dual role in immune regulation PMID: 27683036
- The current meta-analysis suggests that IL-27 -964A/G polymorphism might enhance cancer risk. However, large-scale and well-designed studies are still needed to confirm the result of our meta-analysis PMID: 25424605
- this study found elevated expression of IL-27 in human peripheral serum and elevated expression of its specific receptor (wsx-1) on fetal membranes in cases of preterm birth PMID: 28756371
- results indicate that elevated IL-27 strongly correlates with EOS and may provide additional diagnostic value along with PCT. PMID: 27648693
- serum interleukin-27 and interleukin-35 concentrations in patients with Guillain-Barre syndrome PMID: 28167198
- Expression of IL-27 in the serum was markedly increased in patients with sepsis-induced myocardial dysfunction compared with that in controls. PMID: 27525353
- IL-27 significantly inhibited the M2 macrophages polarization and dampened the proliferation, migration and metastasis of pancreatic cancer cells and as well enhanced the efficacy of gemcitabine. PMID: 26868086
- IL-27 increased NLRP3 inflammasome activation in monocytes with enhanced release of IL-1 beta. PMID: 29176764
- this study shows that interleukin 27 is up-regulated in patients with active inflammatory bowel disease PMID: 27221243
- IL-27 polymorphisms might play a protective role for the development of ulcerative colitis in the Mexican population PMID: 26905929
- IL-27 stimulation activated STAT1 and STAT3 in HeLa and T98G cells, suggesting that IL-27 engages the STAT1/3 pathway, which then leads to the upregulation of IL-6, IP-10, and MIG PMID: 27617644
- IL-27 and IL-37 limit the induction of particular T cell subsets along with cytokine responses in S. stercoralis infections, which suggest the importance of IL-27 and IL-37 in immune modulation in a chronic helminth infection. PMID: 28874444
- IL-27 is a pivotal regulator in endometriotic immune tolerance by triggering Th17 cells to produce IL-10. PMID: 28300844
- Significantly increased papillary thyroid carcinoma risk was also associated with rs17855750 GT and GT/GG genotypes. PMID: 27929666
- HIV and Tat inhibit LPS-induced IL-27 production in human macrophages via distinct mechanisms: Tat through the inhibition of cIAP-1-TRAF-6 and subsequent inhibition of PI3K and p38 MAPKs, whereas HIV through the inhibition of p38 MAPK activation. PMID: 28698313
- IL27 recapitulates IFN-gamma responses in hepatocellular carcinoma cells, but is inhibited by IL6-type cytokines. PMID: 27939431
- These findings provide new evidence that IL-27 plays an important role in the proinflammatory capacity of monocytes and macrophages via enhancing IL-1beta secretion levels triggered by dual LPS-ATP stimulation. PMID: 28377398
- IL-27 enhanced the cytotoxicity and suppressed the proliferation of ovarian cancer cells PMID: 27639718
- the sIL-6R/p28 fusion protein (FP) upregulated IFN-lambda1 expression by increasing the binding abilities of c-Fos and activating transcription factor 1 to the IFN-lambda1 promoter via the p38 MAPK signaling pathway; results demonstrate the important role of sIL-6R/p28 FP in mediating virus-induced type III IFN production. PMID: 27527594
- These results identify IL-27 and its specific receptor IL27RA as a critical immune axis for the antiviral immune response and as robust correlates of viral load and proviral reservoir size in mononuclear leukocytes in HIV infection. PMID: 28592538
- IL30 regulates breast cancer cell viability, migration, and gene expression to promote breast cancer growth and progression and its impact on patient outcome. PMID: 27550449
- serum IL-27 levels were significantly higher in stage III EV71-infected hand, foot, and mouth disease patients with early cardiopulmonary failure and strong correlation with CRP levels; IL27p28 polymorphisms (rs153109, rs17855750, and rs181206) did not influence IL-27 production, and these three SNPs were not associated with EV71 infection risk and clinical stage PMID: 27403033
- these results suggest that IL-27 might predominantly play a protective role in the pathogenesis of psoriasis through abrogating Th17 differentiation. PMID: 27939414
- our data suggest a previously unrecognized role for IL-27 in regulating epithelial cell proliferation and antiviral host defense during the normal wound healing response. PMID: 28132857
- An association between the IL-27 single nucleotide polymorphism (SNP) rs153109 and Atrial Fibrillation was found in Chinese Han population. The G allele and GG genotype of rs153109 were associated with increased AF risk (odds ratio [OR]: 1.35, 95% confidence intervals [CI]=1.06-1.71, p=0.02 and OR: 1.66, 95% CI=1.03-2.65, p=0.03 in the recessive genetic model, respectively) PMID: 28055231
- Study demonstrated that levels of circulating serum IL-27 were elevated in rheumatoid arthritis (RA) patients and were positively correlated with RA disease activity. Moreover, these concentrations decreased after effective immunosuppressant treatment suggesting its involvement in the pathogenesis of RA. PMID: 27869736
- Data indicate that the genetic variant rs153109 in the 5' upstream region of interleukin 27 (IL-27) is significantly associated with ulcerative colitis (UC) in Chinese Han individuals. PMID: 28069403
- this study shows that the serum levels of IL-27 are lower in Iranian diabetes type I patients compared to the healthy individuals PMID: 27611173
- our findings showed a relationship between the IL-27 2905T/G genotype variant and the decreased susceptibility for developing cervical cancer. The IL-27 2905T/G genotype variant also modified the survival time in cervical cancer patients. PMID: 26662568
- an IL-27/Stat3 axis induces expression of programmed cell death 1 ligands (PD-L1/2) on infiltrating macrophages in lymphoma PMID: 27564404
- Interleukin-27 rs 153109 Single Nucleotide Polymorphism is associated with responses to therapy in Hepatitis C. PMID: 27221901
- this study shows that IL-27 gene polymorphism is genetic risk factor for systemic lupus erythematosus in the Polish population, and that it predicts disease phenotype PMID: 27059274
- Data indicate that the CC genotype of interleukin 27 (IL-27) single nucleotide polymorphism rs153109 was significantly more prevalent in pre-eclampsia (PE) cases than controls. PMID: 26971578
顯示更多
收起更多
-
亞細胞定位:Secreted. Note=Does not seem to be secreted without coexpression of EBI3.
-
蛋白家族:IL-6 superfamily
-
組織特異性:Expressed in monocytes and in placenta.
-
數據庫鏈接:
Most popular with customers
-
-
YWHAB Recombinant Monoclonal Antibody
Applications: ELISA, WB, IHC, IF, FC
Species Reactivity: Human, Mouse, Rat
-
-
-
-
-
-















