IL21 Antibody
-
中文名稱:IL21兔多克隆抗體
-
貨號:CSB-PA872537ESR1HU
-
規格:¥440
-
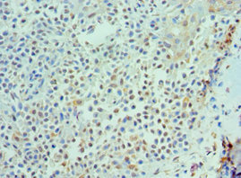
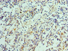
圖片:
-
其他:
產品詳情
-
產品名稱:Rabbit anti-Homo sapiens (Human) IL21 Polyclonal antibody
-
Uniprot No.:
-
基因名:
-
別名:CVID11 antibody; IL 21 antibody; IL-21 antibody; Il21 antibody; IL21_HUMAN antibody; Interleukin 21 antibody; Interleukin-21 antibody; interleukin-21 isoform antibody; Interleukin21 antibody; OTTHUMP00000164088 antibody; Za11 antibody
-
宿主:Rabbit
-
反應種屬:Human
-
免疫原:Recombinant Human Interleukin-21 protein (25-162AA)
-
免疫原種屬:Homo sapiens (Human)
-
標記方式:Non-conjugated
-
克隆類型:Polyclonal
-
抗體亞型:IgG
-
純化方式:Antigen Affinity Purified
-
濃度:It differs from different batches. Please contact us to confirm it.
-
保存緩沖液:PBS with 0.02% sodium azide, 50% glycerol, pH7.3.
-
產品提供形式:Liquid
-
應用范圍:ELISA, IHC
-
推薦稀釋比:
Application Recommended Dilution IHC 1:20-1:200 -
Protocols:
-
儲存條件:Upon receipt, store at -20°C or -80°C. Avoid repeated freeze.
-
貨期:Basically, we can dispatch the products out in 1-3 working days after receiving your orders. Delivery time maybe differs from different purchasing way or location, please kindly consult your local distributors for specific delivery time.
-
用途:For Research Use Only. Not for use in diagnostic or therapeutic procedures.
相關產品
靶點詳情
-
功能:Cytokine with immunoregulatory activity. May promote the transition between innate and adaptive immunity. Induces the production of IgG(1) and IgG(3) in B-cells. Implicated in the generation and maintenance of T follicular helper (Tfh) cells and the formation of germinal-centers. Together with IL6, control the early generation of Tfh cells and are critical for an effective antibody response to acute viral infection. May play a role in proliferation and maturation of natural killer (NK) cells in synergy with IL15. May regulate proliferation of mature B- and T-cells in response to activating stimuli. In synergy with IL15 and IL18 stimulates interferon gamma production in T-cells and NK cells. During T-cell mediated immune response may inhibit dendritic cells (DC) activation and maturation.
-
基因功能參考文獻:
- There was negative correlation between the expression of IL12 and miR21 in the serum of patients with acute myeloid leukemia. PMID: 30106099
- IL-21 can potently induce CD11c(hi)T-bet(+) B cells and promote the differentiation of these cells into Ig-secreting autoreactive plasma cells PMID: 29717110
- IL-21 enhances cartilage inflammation to promote cartilage degradation through the JAK-STAT signaling pathway in the cartilage of Osteonecrosis of Femoral Head patients. PMID: 29247327
- SHP-2 may augment the ERK1/2 activity and cell proliferation activity in IL-21 signaling. PMID: 29503347
- this study shows that Th9 cells promote antitumor immunity via IL-21 PMID: 28918288
- AD patients, especially those with acute lesions, exhibited elevated serum IL-21 levels. Therefore, IL-21 might be associated with the acute aggravation of AD. PMID: 27884624
- Study shows that IL-21 levels were non-specifically elevated across all febrile children, irrespective of Kawasaki disease diagnosis. PMID: 28427414
- These results suggest that cetuximab treatment in combination with IL-21 adjuvant therapy in patients with EGFR-positive pancreatic cancer results in significant NK cell activation, irrespective of KRAS mutation status, and may be a potential therapeutic strategy PMID: 27435400
- serum IL-21 levels at 12 weeks treatment was significantly elevated, which can predict the EVR, and contributes to individualization of antiviral therapy in HBeAg-positive CHB+NAFLD patients. PMID: 26840345
- IL-23 activates gammadelta T cells in early stage PNS, which amplifies the Th17 cell population and leads to kidney injury through the secretion of IL-21. PMID: 29119640
- IL-21 promotes the survival and CTLA-4 expression of Tregs and enhanced the suppressive capacity of Tregs during HIV infection. These results broaden the understanding of HIV pathogenesis and provide critical information for HIV interventions. PMID: 28043029
- IL-21 are important in the pathophysiology of chronic rhinosinusitis with nasal polyposis PMID: 29131072
- Data show that interleukin-21-primed cytotoxic T-cell lymphocytes (CTL) with cytotoxic T-lymphocyte associated protein 4 (CTLA-4) blockade is safe and produces durable clinical responses. PMID: 27269940
- These results indicate that significant increased IL-21 expression present within the adenoma/CRC microenvironment might have a potential predicating significance for survival time in patients with CRC. PMID: 28887120
- IL-21 modulates the effector functions of T, B and NK cells, which not only have key roles in antitumoral and antiviral immunity but also in exerting major effects on inflammatory responses promoting the development of autoimmune diseases. PMID: 26748727
- CCL21/IL21-armed oncolytic adenovirus enhances antitumor activity against TERT-positive tumor cells. PMID: 27157859
- Report efficient retroviral vector transduction of primary human natural killer cells that were stimulated by a combination of IL-2 and engineered K562 cells expressing membrane-bound IL-21 for cancer immunotherapy. PMID: 28802832
- IL21 reduction in osteosarcoma patients due to PD-1 and pd-L1 mediated follicular helper T cells suppression. PMID: 28650673
- this study shows that induction of IL-21 in T follicular helper cells is an indicator of influenza vaccine response in a HIV-infected pediatric cohort PMID: 28130496
- IL-21 levels in rheumatoid arthritis synovial fluid were associated with matrix metalloproteinase (MMP)-1 and MMP-3. PMID: 27733582
- the elevated level of IL-2+ and IL-21+ T cells and a positive correlation between IL-21+ cells with clinical activity index in ulcerative colitis patients may contribute to the pathogenesis of disease. PMID: 28685527
- these results demonstrate a novel function for IL-21 in tuning NK and CD4+ T cell interactions promoting a specific expansion of central memory lymphocytes PMID: 27233967
- Combined IL-21-primed polyclonal CTL plus CTLA4 blockade controls refractory metastatic melanoma in a patient PMID: 27242164
- Our work suggests that IL-21 regulates megakaryocyte development and platelet homeostasis. Thus, IL-21 may link immune responses to physiological or pathological platelet-dependent processes. PMID: 28057742
- expression significantly downregulated in skin and blood of patients with tumor mycosis fungoides PMID: 26825047
- this study shows that Th17/Treg imbalance and increased IL-21 are associated with liver injury in patients with chronic HBV infection PMID: 28259000
- The findings of the current study indicate an association between IL-21+TFH cells and disease activity. IL-21+TFH levels may prove to be a useful marker of disease activity in OA patients. PMID: 28112376
- IL-21 is involved in the pathological development of Intervertebral Disc Degeneration and IL-21 could aggravate IVD degeneration by stimulating TNF-alpha through the STAT signaling pathway PMID: 28233079
- Our findings suggest that the rs12508721T/C and rs2221903A/G polymorphisms of IL-21 gene are associated with the susceptibility of HBV-related hepatocellular carcinoma (HCC) and chronic HBV infection. The genetic variant may in fact cause protection against the HBV-related HCC. PMID: 27122304
- Hepatitis C virus specific IL-21 producing T cells but not IL-17A producing T Cells are associated with hepatitis C viral control in HIV/ hepatitis C virus coinfection. PMID: 27124305
- this study shows that the serum levels of IL-21 are higher in Iranian diabetes type I patients compared to the healthy individuals PMID: 27611173
- We characterized the expressed IL-21 gene from immune tissues of two macropod species, the tammar wallaby (Macropus eugenii), a model macropod, and the closely related endangered bridled nailtail wallaby (Onychogalea fraenata). The open reading frame of macropod IL-21 is 462 nucleotides in length and encodes a 153-mer putative protein that has 46% identity with human IL-21. PMID: 27306193
- The rs2055979 C>A polymorphism of the IL-21 gene is associated with cryptorchidism susceptibility, and the C allele increases the risk of cryptorchidism in a Chinese Han population. PMID: 26990619
- Polymorphisms in IL21 may be associated with sepsis risk PMID: 27295539
- review on IL-21 as is a crucial cytokine associated with pemphigus PMID: 26945832
- There is a strong association between IL2/IL21 rs6822844 variant and susceptibility to rheumatoid arthritis (RA) in the Algerian population; this association is independent from the autoantibodies status of RA patients. PMID: 26917059
- HCV infection increased the frequency of CD4+CXCR5+ T cells and decreased the frequency of CD27+IgG+ B cells. CD4+CXCR5+ T cells activated CD27+IgG+ B cells via the secretion of IL-21. PMID: 26818544
- IL-21 exerts major effects on B-cell activation and differentiation or apoptosis during humoral immune responses, and also affects different subtypes of T cells. (Review) PMID: 26466984
- The results suggest that IL-21 promotes migration and invasion of Rheumatoid arthritis-Fibroblast-like synoviocytes. Therefore, therapeutic strategies targeting IL-21 might be effective for the treatment of Rheumatoid arthritis. PMID: 26646950
- IL-12 induced the generation of IL-21- and IFN-gamma-co-expressing poly-functional CD4+ T cells from human naive CD4+ T cells. PMID: 26566861
- IL-21 expression is promoted by MEKK4 in malignant T cells and is associated with progression risk in cutaneous T-cell lymphoma PMID: 26802931
- Human IL-21+IFN-gamma+CD4+ T cells in nasal polyps are regulated by IL-12. PMID: 26239551
- CD3(+)TCRvbeta11(+) NKT cells from a local site of M. tuberculosis infection produce IL-21, express CXCR5 and CD40L, help B cells to secrete IgG and IgA, and may participate in local immune responses against M. tuberculosis infection. PMID: 26416419
- IL-21 protein was higher in serum and mRNA and protein were higher in disc tissue of patients with lumbar disc herniation compared to controls. PMID: 26742440
- both IL-21 rs907715 and rs2221903 polymorphisms may be associated with systemic lupus erythematosus susceptibility (meta-analysis) PMID: 26345892
- all Ifng+ T cells produced IL-21, but only a small percentage of highly proliferative Ifng+ T cells maintained a T-bethi phenotype PMID: 26646149
- increased production in patients with more severe systemic lupus erythematosus PMID: 26358223
- the minor allele T of both rs6822844 (T vs G, OR = 0.72, 95%CI = 0.67-0.78, P < 0.001) and rs6840978 (T vs C, OR = 0.76, 95%CI = 0.71-0.83, P < 0.001) in IL21 significantly decreased the risk of celiac disease (Meta-Analysis) PMID: 26535636
- the ability of IL21 to modulate gene and miRNA expressions in CD40-activated Chronic Lymphocytic Leukemiacells, was studied. PMID: 26305332
- Loss of IL-21 is considered to lead to atrophied germinal centers in multicentric Castleman's disease. PMID: 26377996
顯示更多
收起更多
-
相關疾病:Immunodeficiency, common variable, 11 (CVID11)
-
亞細胞定位:Secreted.
-
蛋白家族:IL-15/IL-21 family
-
組織特異性:Expressed in activated CD4-positive T-cells but not in CD8-positive T-cells, B-cells, or monocytes.
-
數據庫鏈接:
Most popular with customers
-
-
YWHAB Recombinant Monoclonal Antibody
Applications: ELISA, WB, IHC, IF, FC
Species Reactivity: Human, Mouse, Rat
-
Phospho-YAP1 (S127) Recombinant Monoclonal Antibody
Applications: ELISA, WB, IHC
Species Reactivity: Human
-
-
-
-
-















