IL18 Antibody
-
中文名稱:IL18兔多克隆抗體
-
貨號:CSB-PA634259
-
規格:¥1100
-
圖片:
-
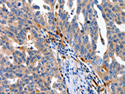
The image on the left is immunohistochemistry of paraffin-embedded Human ovarian cancer tissue using CSB-PA634259(IL18 Antibody) at dilution 1/100, on the right is treated with fusion protein. (Original magnification: ×200)
-
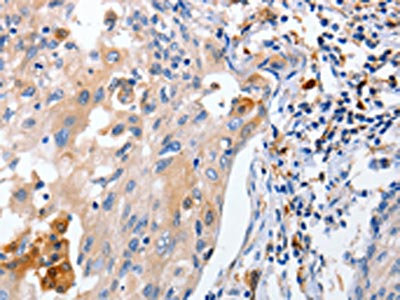
The image on the left is immunohistochemistry of paraffin-embedded Human cervical cancer tissue using CSB-PA634259(IL18 Antibody) at dilution 1/100, on the right is treated with fusion protein. (Original magnification: ×200)
-
Gel: 12%SDS-PAGE, Lysate: 30 μg, Lane: Hela cells, Primary antibody: CSB-PA634259(IL18 Antibody) at dilution 1/1350, Secondary antibody: Goat anti rabbit IgG at 1/8000 dilution, Exposure time: 5 seconds
-
-
其他:
產品詳情
-
Uniprot No.:
-
基因名:
-
別名:Iboctadekin antibody; IFN gamma inducing factor antibody; IFN-gamma-inducing factor antibody; IGIF antibody; IL 1 gamma antibody; IL 18 antibody; IL 1g antibody; IL-1 gamma antibody; IL-18 antibody; IL1 gamma antibody; IL18 antibody; IL18 protein antibody; IL18_HUMAN antibody; IL1F4 antibody; IL1g antibody; IL1gamma antibody; ILIF4 antibody; Interferon gamma inducing factor antibody; Interferon gamma-inducing factor antibody; Interleukin 1 gamma antibody; Interleukin 18 (interferon-gamma-inducing factor) antibody; Interleukin 18 antibody; Interleukin-1 gamma antibody; Interleukin-18 antibody; Interleukin18 antibody; MGC12320 antibody
-
宿主:Rabbit
-
反應種屬:Human
-
免疫原:Fusion protein of Human IL18
-
免疫原種屬:Homo sapiens (Human)
-
標記方式:Non-conjugated
-
抗體亞型:IgG
-
純化方式:Antigen affinity purification
-
濃度:It differs from different batches. Please contact us to confirm it.
-
保存緩沖液:-20°C, pH7.4 PBS, 0.05% NaN3, 40% Glycerol
-
產品提供形式:Liquid
-
應用范圍:ELISA,WB,IHC
-
推薦稀釋比:
Application Recommended Dilution ELISA 1:2000-1:5000 WB 1:1000-1:2000 IHC 1:100-1:200 -
Protocols:
-
儲存條件:Upon receipt, store at -20°C or -80°C. Avoid repeated freeze.
-
貨期:Basically, we can dispatch the products out in 1-3 working days after receiving your orders. Delivery time maybe differs from different purchasing way or location, please kindly consult your local distributors for specific delivery time.
-
用途:For Research Use Only. Not for use in diagnostic or therapeutic procedures.
相關產品
靶點詳情
-
功能:A proinflammatory cytokine primarily involved in polarized T-helper 1 (Th1) cell and natural killer (NK) cell immune responses (Probable). Upon binding to IL18R1 and IL18RAP, forms a signaling ternary complex which activates NF-kappa-B, triggering synthesis of inflammatory mediators. Synergizes with IL12/interleukin-12 to induce IFNG synthesis from T-helper 1 (Th1) cells and natural killer (NK) cells (Probable).
-
基因功能參考文獻:
- The results of the linkage disequilibrium test showed that the -137G/C and -607G/T sites had no linkage disequilibrium in the present study. PMID: 29926984
- SNPs associated with genetically determined high activity of TLR5 among patients with CD and genetically determined high IL-12 and IL-18 levels among patients with UC. PMID: 28139755
- The adipose tissue IL-18R/IL-18 expression is enhanced in obesity which associates with proinflammatory gene signature and insulin resistance in these individuals. PMID: 28508444
- Our study implied that elevated IL-18 expression and downregulation of GAS5 in serums might contribute to insulin resistance in polycystic ovary syndrome patients. PMID: 29648472
- Studied serum level of interleukin 18 (IL18) in HIV and Hepatitis C (HCV) coinfection and monoinfection. Found shown that IL-18 is increased in HIV/HCV coinfection when compared with monoinfection and that this increase is likely due to additive sensing of both viruses. PMID: 27927859
- not associated with obesity in this study PMID: 28634744
- multiple myeloma patients with IL-18 (rs16944) TT had the highest hemoglobin concentration PMID: 30211233
- These results suggest that increased IL-18 secretion from larger numbers of neutrophils elicits mechanical hyperalgesia. PMID: 29353540
- The results of this study suggests that IL-18 rs187238 and rs1946518 SNPs may be the cause of the AA susceptibility. PMID: 29349811
- Studied association of single nucleotide polymorphisms of interleukin-18 (IL 18) and lower extremity deep venous thrombosis in a Chinese population. PMID: 29105174
- PI3K is a signal linker between L-selectin and PSGL-1 in IL-18 transcriptional activation at the promoter level. PMID: 29218606
- IL-18 is a susceptibility gene for the disease in southern Chinese children. PMID: 30059753
- Postoperative serum Cystatin C, IL-18 and Uric acid after 24h were significantly associated with acute kidney injury PMID: 29627485
- IL-18 is elevated in polycystic ovary syndrome patients, even in lean ones, and is correlated with insulin resistance and atherosclerotic cardiovascular risk PMID: 29105530
- HuR plays an important role in the progression of esophageal carcinoma by targeting IL-18. PMID: 28231690
- The IL18 promoter SNP, rs1946518, is a potential risk factor of periodontitis among young Japanese women. PMID: 29129846
- The results of this study suggest that IL18 rs187238 and rs1946518 polymorphisms may be associated with an increased risk of gestational diabetes mellitus as well as with BMI in pregnant women. PMID: 28580570
- This is the first study to demonstrate that higher pre-treatment IL-18 is associated with HBeAg seroconversion in patients with HIV/HBV co-infection after 48 weeks of HBV cART, which suggests a role for the inflammasome in a favorable response to treatment. PMID: 28195558
- Polymorphisms in the IL-18 gene are associated with viral load in Hepatitis B virus . PMID: 30045250
- higher level of IL-18 was observed in the monocyte supernatant of the extremely preterm group during late-onset sepsis PMID: 29042061
- Increased production of IL-18 in the gut-associated lymphoid tissue and peripheral blood of HIV infected patients. PMID: 29672590
- this review discusses IL-18 biological properties and role in disease pathogenesis PMID: 29247988
- IL-18 mRNA expression was increased significantly in chronic myeloid leukemia patients PMID: 29097263
- these results suggest that the HIV-induced IL-18 plays a role in increased intestinal permeability and microbial translocation observed in HIV-infected individuals. PMID: 29601578
- IL-18 gene variants may serve as important biomarkers in predicting the occurrence of nasopharyngeal carcinoma in Asian population. PMID: 29185028
- The association of polymorphisms -137 (rs187238) and -607 (rs1946518) in the interleukin-18 (IL-18) promoter with risk of hepatocellular carcinoma (HCC). PMID: 28000712
- These findings indicate that the IL-18 rs1946518 SNP in the donor liver is a risk factor for developing bacterial infection after liver transplantation. PMID: 29061223
- Serum levels of IL-18 in nephropathic patient significantly rise and Serum levels of IL-18 might be a predictor factor of progression of diabetic nephropathy. PMID: 27663212
- A higher IL-18 immunostaining in stroma of IBC and LABC was observed in comparison with tumor cells, but stromal immunoexpression was similar between IBC and LABC. PMID: 28766916
- IL-18 was increased in lung myeloid cells in severe chronic obstructive pulmonary disease. PMID: 28830544
- a large proportion blood basophils from patients with asthma express IL-18 and IL-18BP. mast cells and basophils are implicated in the pathogenesis of asthma via an IL-18-related mechanism. PMID: 29505668
- On PICU day 1, interleukin-18 predicted acute kidney injury with area under the curve=0.82, but neutrophil gelatinase-associated lipocalin and liver fatty acid binding protein predicted acute kidney injury with area under the curve of less than or equal to 0.69; on PICU day 2, area under the curve was higher. Interleukin-18 and liver fatty acid binding protein on day 1 predicted prolonged acute kidney injury. PMID: 28430754
- Data show that tumor-derived IL-18 induced PD-1 expression on NK cells and is associated with poor prognosis in triple-negative breast cancer. PMID: 28415798
- IL-23, alone and in combination with IL-18 and sRAGE, identified bacterial meningitis with excellent accuracy. Following validation, these markers could aid clinicians in diagnosis of bacterial meningitis and decision-making regarding prolongation of antibiotic therapy PMID: 29394248
- cardiac IL-18 and circulating IL-18 are involved in the pathogenesis of Fabry cardiomyopathy and left ventricular hypertrophy. PMID: 27888626
- Erdr1 is negatively expressed relative to Il-18 in psoriatic lesional skin. PMID: 26990875
- rs187238 was not associated with T1D in the Euro-Brazilian population. PMID: 28973736
- IL-18 (mRNA) in skeletal muscle appears to be involved in the regulation of intramuscular lipid metabolism and hypertriglyceridemia PMID: 29342149
- The evidence for influenza A virus activation via an indirect, IL-18-dependent mechanism indicates that MAIT cells are protective in influenza, and also possibly in any human disease process in which inflammation and IL-18 production occur. PMID: 27543331
- The development of urticaria, asthma, dermatitis, rhinitis, and eosinophilic disorders all have demonstrated correlations to increased IL-18 levels either in the tissue or systemically. IL-18 represents a novel site of immune regulation in not only allergic conditions, but also autoimmune diseases and other instances of aberrant immune functioning. PMID: 27496752
- Results suggest that a common functional IL18 haplotype associated with heightened proinflammatory responses confers susceptibility to stress-related depression and anxiety through effects on threat-related amygdala function, a risk pathway specific to women. PMID: 27430614
- human platelets contain transcripts for the IL-18 gene. They synthesize the cytokine de novo, process and release it upon activation. PMID: 27914933
- abnormal IL-18 expression is induced by genital infection and induces damage to male reproductive capacity, thereby causing male infertility PMID: 26856767
- IL-18 level was found to be significantly elevated in CAD patients compared with control individuals PMID: 28059484
- The serum levels of IL-37, which were correlated with antibody production and the serum levels of total IL-18 and IL-18BP, were elevated in the patients with primary Sjogren's syndrome. PMID: 28057714
- an imbalance in the production of IL-18 and its antagonist (an increase in the production of IL-18 with a decrease, no increase or an insufficient increase in the production of IL-18BP) has been described in many chronic inflammatory diseases in humans. PMID: 26898120
- among systemic sclerosis patients in China, dyspnea was significantly associated with IL-18 -607C/A genotype frequency PMID: 27098064
- We conclude that IL-18 protein and messenger RNA levels are increased in the endometrium of patients with PCOS, and this effect is correlated with body mass index. PMID: 27313119
- Serum IL-18 levels are significantly elevated in depressive patients. PMID: 27455146
- IL-18 cooperates with IL-15 to promote group 3 innate lymphoid cell (ILC3) proliferation and IL-22 production; describe an IL-18-induced, NF-kappaB-mediated mechanism that regulates IL-22 in ILC3s; at steady-state, IL-18 produced by dendritic cells mediates IL-22 production by ILC3s to help maintain normal tissue integrity PMID: 28842466
顯示更多
收起更多
-
亞細胞定位:Cytoplasm. Secreted.
-
蛋白家族:IL-1 family
-
數據庫鏈接:
Most popular with customers
-
-
YWHAB Recombinant Monoclonal Antibody
Applications: ELISA, WB, IHC, IF, FC
Species Reactivity: Human, Mouse, Rat
-
Phospho-YAP1 (S127) Recombinant Monoclonal Antibody
Applications: ELISA, WB, IHC
Species Reactivity: Human
-
-
-
-
-















