IL12RB1 Antibody
-
中文名稱:IL12RB1兔多克隆抗體
-
貨號:CSB-PA292651
-
規格:¥1100
-
圖片:
-
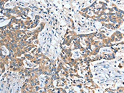
The image on the left is immunohistochemistry of paraffin-embedded Human esophagus cancer tissue using CSB-PA292651(IL12RB1 Antibody) at dilution 1/20, on the right is treated with fusion protein. (Original magnification: ×200)
-
The image on the left is immunohistochemistry of paraffin-embedded Human lung cancer tissue using CSB-PA292651(IL12RB1 Antibody) at dilution 1/20, on the right is treated with fusion protein. (Original magnification: ×200)
-
-
其他:
產品詳情
-
Uniprot No.:
-
基因名:
-
別名:IL12RB1; IL12R; IL12RB; Interleukin-12 receptor subunit beta-1; IL-12 receptor subunit beta-1; IL-12R subunit beta-1; IL-12R-beta-1; IL-12RB1; IL-12 receptor beta component; CD antigen CD212
-
宿主:Rabbit
-
反應種屬:Human
-
免疫原:Fusion protein of Human IL12RB1
-
免疫原種屬:Homo sapiens (Human)
-
標記方式:Non-conjugated
-
抗體亞型:IgG
-
純化方式:Antigen affinity purification
-
濃度:It differs from different batches. Please contact us to confirm it.
-
保存緩沖液:-20°C, pH7.4 PBS, 0.05% NaN3, 40% Glycerol
-
產品提供形式:Liquid
-
應用范圍:ELISA,IHC
-
推薦稀釋比:
Application Recommended Dilution ELISA 1:1000-1:2000 IHC 1:15-1:50 -
Protocols:
-
儲存條件:Upon receipt, store at -20°C or -80°C. Avoid repeated freeze.
-
貨期:Basically, we can dispatch the products out in 1-3 working days after receiving your orders. Delivery time maybe differs from different purchasing way or location, please kindly consult your local distributors for specific delivery time.
-
用途:For Research Use Only. Not for use in diagnostic or therapeutic procedures.
相關產品
靶點詳情
-
功能:Functions as an interleukin receptor which binds interleukin-12 with low affinity and is involved in IL12 transduction. Associated with IL12RB2 it forms a functional, high affinity receptor for IL12. Associates also with IL23R to form the interleukin-23 receptor which functions in IL23 signal transduction probably through activation of the Jak-Stat signaling cascade.
-
基因功能參考文獻:
- A novel IL12RB1 N-terminal signal peptide stop-gain loss-of-function homozygous genotype connects three unrelated Brazilian kindreds with IL-12Rbeta1 deficiency with varying severity and early-onset age mainly regarding susceptibility to Mycobacteria, Histoplasma, and Salmonella infections through the paradoxical diminished cell-surface expression of an impaired IL-12Rbeta1 polypeptide. PMID: 28450854
- To our knowledge, this is the third patient with Mendelian susceptibility to mycobacterial disease due to IL-12Rbeta1 deficiency complicated with enteropathy and hypogammaglobulinemia and the first case of this disease to be described in Colombia. PMID: 28865061
- Th17 cells expressed consistent high levels of the IL-12Rbeta1 subunit, which appeared a better predictor of responsiveness to IL-23 than the expression of the IL-23R subunit. PMID: 27645493
- Truncated IL12rbeta1/Fc is a novel fusion protein for specific binding multiple forms of p40 subunit to exert potent anti-inflammatory effects. PMID: 26384304
- the introduction of RNA-DNA differences into an individual's IL12RB1 mRNA repertoire is a novel determinant of IL12/23 sensitivity. PMID: 26621740
- we describe cosegregation of a heterozygous germline defect in IL12RB1 and gastric cancer development in a family with IL-12Rbeta1 deficiency PMID: 25467645
- individual variability in IL12RB1 function is introduced at the epigenetic, genomic polymorphism, and mRNA splicing levels [review] PMID: 25516297
- Early coupled up-regulation of IL12RB1 in CD8+ central memory and effector T cells result in better clinical outcomes in liver transplant recipients. PMID: 25603847
- Strong association of rs438421 in the IL-12Rbeta1 gene with Allergic rhinitis in Chinese was demonstrated . The GG genotype of rs438421 was validated as stimulus factors to AR, while the AG genotype of rs438421 was confirmed as protective factors to AR. PMID: 24997981
- The IL-23/IL-23R/IL-12Rbeta1 complex formation does not follow the classical "site I-II-III" architectural paradigm. PMID: 25371211
- IL-12Rbeta1 expression on the cell surface was negligible or absent. PMID: 23952477
- SNP rs2305743 in IL12RB1 was associated with systemic sclerosis. PMID: 25199642
- A review of the molecular genetics of all known IL12RB1 mutations and variants. PMID: 23864330
- IL12Rbeta1 expression is lacking on CD8+ T and natural killer (NK) cell surface in a 33-year-old patient with Mycobacterium tilburgii infection. PMID: 24114017
- Results suggest a relationship between certain TNF-alpha and IL12B polymorphisms and the short-term response to anti-TNF-alpha drugs. PMID: 23662788
- Although SNPs of the IL12RB1 gene do not seem to convey some genetic predisposition for hidradenitis suppurativa, they impact considerably on the clinical phenotype of the disease. PMID: 23557799
- IL12RB1 is located on autosomal chromosome 19 at location 19p13.1 and comprises exons 1-9, 9b, and 10-17. IL12RB1 isoform 2 is distinct from isoform 1 and is derived from alternate 3' exon inclusion. PMID: 23024274
- IL12RB1 polymorphisms may affect IL-12 and IL-23 binding and downstream effects, which are critical cytokines in the cell-mediated immune response to measles vaccine. PMID: 22504412
- Our data suggest that the effect of breast-feeding on food sensitization (FS) was modified by SNPs in the IL12RB1, TLR9, and TSLP genes both individually and jointly. PMID: 21689850
- first cases in Mexico of patients with BCG disease traced to a mutation in the IL12RB1 gene, with a fatal outcome PMID: 20171917
- autosomal recessive IL12Rbeta1 deficiency who suffered from sepsis attributable to Klebsiella pneumoniae. PMID: 20855390
- Coupled regulation of interleukin-12 receptor beta-1 of CD8+ central memory and CCR7-negative PMID: 20345976
- rs438421 (IVS12+1266T/C) SNP and the haplotype CCA (rs375947, rs438421, and rs1870063) significantly associated with atopic dermatitis PMID: 20060272
- A splice acceptor mutation affecting exon 15 of the IL-12R beta 1 subunit gene results in complete loss of surface expression of this subunit, and impairment of memory CD4 T cells with Th1 effector function. PMID: 12496448
- Severe Mycobacterium bovis BCG infections in a large series of novel IL-12 receptor beta1 deficient patients and evidence for the existence of partial IL-12 receptor beta1 deficiency. PMID: 12594833
- These data suggest that the R214-T365-R378 allele, i.e., variation in IL12RB1, contribute to tuberculosis susceptibility in the Japanese population. PMID: 12596048
- impact of amino acid variations on the three-dimensional structure of the IL-12Rbeta1 protein PMID: 12671732
- surface expression of nonfunctional IL-12Rbeta1 is related to an IL12RB1 mutation PMID: 15178580
- IL12RB1 polymorphisms might influence the risk of development of pulmonary tuberculosis in adults PMID: 15243935
- Interleukin-12 receptor beta 1 codon 378 gene polymorphism is not correlated with endometriosis development. PMID: 16084898
- In individuals with the -111T/T genotype, reduced IL-12Rbeta1 expression may lead to increased Th2 cytokine production in the skin and contribute to the development of Atopic dermatitis and other subsequent allergic diseases. PMID: 16159888
- Genetic variants of IL12RB1, at least in part, confer genetic susceptibility to TB, and are associated with the progression of the disease, in Japanese. PMID: 17284226
- IL12B promoter heterozygosity was associated with protection from tuberculosis in BCG-vaccinated individuals, supporting the role that IL-23, of which IL12B encodes a subunit, plays in generation of memory T cells PMID: 17392024
- A twofold increase in the percentage of CD4-resting T cells expressing IL-12Rbeta1 and IL-18Ralpha from HIV-1-infected patients; deregulation of the IL-12 and IL-18 pathways may play a role in the immunopathogenesis of HIV-1 infection. PMID: 17403771
- data indicate that genetic variants of IL12RB1confer genetic susceptibility to SARS infection, but not necessary associated with the progression of the disease in Chinese population PMID: 18478121
- IL-12Rbeta1 gene polymorphisms do not appear to be responsible for host susceptibility to nontuberculous mycobacterial lung disease in a Korean population. PMID: 18493823
- IL-12Rbeta1- and STAT-3--dependent signals play a key role in the differentiation and/or expansion of human IL-17-producing T cell populations in vivo. PMID: 18591412
- analysis of a known (c.1623_1624delGCinsTT) and a novel mutation (c.65_68delCTGC of exon2) of the Interleukin-12 Receptor-beta1 gene in a patient with a fatal case of relapsing cervical lymphadenopathy due to Mycobacterium avium [case report] PMID: 18940359
- A common haplotype spanning 1.45-3.51Mb was shared by all chromosomes carrying mutation 1623_1624delinsTT, an IL12RB1 mutation, which results in Mendelian Susceptibility to Mycobacterial Diseases; mutation was not detected on 100 control chromosomes. PMID: 19460324
- novel nonsense mutation in exon 4 results in protein deficiency and increased susceptibility to bacterial infections PMID: 19839503
顯示更多
收起更多
-
相關疾病:Immunodeficiency 30 (IMD30)
-
亞細胞定位:Membrane; Single-pass type I membrane protein.
-
蛋白家族:Type I cytokine receptor family, Type 2 subfamily
-
數據庫鏈接:
Most popular with customers
-
-
YWHAB Recombinant Monoclonal Antibody
Applications: ELISA, WB, IHC, IF, FC
Species Reactivity: Human, Mouse, Rat
-
Phospho-YAP1 (S127) Recombinant Monoclonal Antibody
Applications: ELISA, WB, IHC
Species Reactivity: Human
-
-
-
-
-















