-
中文名稱:IL12B兔多克隆抗體
-
貨號:CSB-PA011587YA01SH
-
規格:¥440
-
圖片:
-
Western blot
All lanes: Interleukin-12 subunit beta antibody at 14μg/ml + K562 whole cell lysate
Secondary
Goat polyclonal to rabbit IgG at 1/10000 dilution
Predicted band size: 37 kDa
Observed band size: 37 kDa -
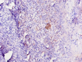
Immunohistochemistry of paraffin-embedded human tonsil tissue using CSB-PA011587YA01SH at dilution of 1:10
-
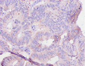
Immunohistochemistry of paraffin-embedded human colon cancer using CSB-PA011587YA01SH at dilution of 1:10
-
-
其他:
產品詳情
-
產品名稱:Rabbit anti-Sheep IL12B Polyclonal antibody
-
Uniprot No.:
-
基因名:
-
別名:IL12B antibody; Interleukin-12 subunit beta antibody; IL-12B antibody; Cytotoxic lymphocyte maturation factor 40 kDa subunit antibody; CLMF p40 antibody; IL-12 subunit p40 antibody
-
宿主:Rabbit
-
反應種屬:Sheep
-
免疫原:Recombinant Sheep Interleukin-12 subunit beta protein (23-327AA)
-
免疫原種屬:Sheep
-
標記方式:Non-conjugated
本頁面中的產品,IL12B Antibody (CSB-PA011587YA01SH),的標記方式是Non-conjugated。對于IL12B Antibody,我們還提供其他標記。見下表:
-
克隆類型:Polyclonal
-
抗體亞型:IgG
-
純化方式:>95%, Protein G purified
-
濃度:It differs from different batches. Please contact us to confirm it.
-
保存緩沖液:Preservative: 0.03% Proclin 300
Constituents: 50% Glycerol, 0.01M PBS, PH 7.4 -
產品提供形式:Liquid
-
應用范圍:ELISA, WB, IHC
-
推薦稀釋比:
Application Recommended Dilution WB 1:500-1:2000 IHC 1:20-1:200 -
Protocols:
-
儲存條件:Upon receipt, store at -20°C or -80°C. Avoid repeated freeze.
-
貨期:Basically, we can dispatch the products out in 1-3 working days after receiving your orders. Delivery time maybe differs from different purchasing way or location, please kindly consult your local distributors for specific delivery time.
-
用途:For Research Use Only. Not for use in diagnostic or therapeutic procedures.
相關產品
靶點詳情
-
功能:Cytokine that can act as a growth factor for activated T and NK cells, enhance the lytic activity of NK/lymphokine-activated killer cells, and stimulate the production of IFN-gamma by resting PBMC.; Associates with IL23A to form the IL-23 interleukin, a heterodimeric cytokine which functions in innate and adaptive immunity. IL-23 may constitute with IL-17 an acute response to infection in peripheral tissues. IL-23 binds to a heterodimeric receptor complex composed of IL12RB1 and IL23R, activates the Jak-Stat signaling cascade, stimulates memory rather than naive T-cells and promotes production of proinflammatory cytokines. IL-23 induces autoimmune inflammation and thus may be responsible for autoimmune inflammatory diseases and may be important for tumorigenesis.
-
基因功能參考文獻:
- The aim of the study was to assess the prognostic significance of Tumor Necrosis Factor-alpha, Interleukin-12(p40), Interleukin-6 and Interleukin 10 levels in cerebrospinal fluid (CSF) in sheep with encephalitic listeriosis. PMID: 25817420
- Local intraocular production of IL-12 p40 (but not IL-4) prolongs corneal graft survival significantly PMID: 16081789
-
亞細胞定位:Secreted.
-
蛋白家族:Type I cytokine receptor family, Type 3 subfamily
-
數據庫鏈接:
KEGG: oas:443472
UniGene: Oar.721
Most popular with customers
-
YWHAB Recombinant Monoclonal Antibody
Applications: ELISA, WB, IHC, IF, FC
Species Reactivity: Human, Mouse, Rat
-
Phospho-YAP1 (S127) Recombinant Monoclonal Antibody
Applications: ELISA, WB, IHC
Species Reactivity: Human
-
-
-
-
-
-















