IGFBP4 Antibody
-
中文名稱:IGFBP4兔多克隆抗體
-
貨號:CSB-PA250918
-
規格:¥1100
-
圖片:
-
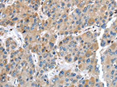
The image on the left is immunohistochemistry of paraffin-embedded Human liver cancer tissue using CSB-PA250918(IGFBP4 Antibody) at dilution 1/35, on the right is treated with fusion protein. (Original magnification: ×200)
-
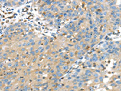
The image on the left is immunohistochemistry of paraffin-embedded Human breast cancer tissue using CSB-PA250918(IGFBP4 Antibody) at dilution 1/35, on the right is treated with fusion protein. (Original magnification: ×200)
-
-
其他:
產品詳情
-
Uniprot No.:
-
基因名:IGFBP4
-
別名:AI875747 antibody; BP 4 antibody; BP4 antibody; Deb2 antibody; HT29 IGFBP antibody; IBP 4 antibody; IBP-4 antibody; IBP4 antibody; IBP4_HUMAN antibody; IGF binding protein 4 antibody; IGF-binding protein 4 antibody; IGF-BP4 antibody; IGFBP 4 antibody; IGFBP-4 antibody; IGFBP4 antibody; Insulin Like Growth Factor Binding Protein 4 antibody; Insulin-like growth factor-binding protein 4 antibody
-
宿主:Rabbit
-
反應種屬:Human,Mouse,Rat
-
免疫原:Fusion protein of Human IGFBP4
-
免疫原種屬:Homo sapiens (Human)
-
標記方式:Non-conjugated
-
抗體亞型:IgG
-
純化方式:Antigen affinity purification
-
濃度:It differs from different batches. Please contact us to confirm it.
-
保存緩沖液:-20°C, pH7.4 PBS, 0.05% NaN3, 40% Glycerol
-
產品提供形式:Liquid
-
應用范圍:ELISA,IHC
-
推薦稀釋比:
Application Recommended Dilution ELISA 1:2000-1:5000 IHC 1:25-1:100 -
Protocols:
-
儲存條件:Upon receipt, store at -20°C or -80°C. Avoid repeated freeze.
-
貨期:Basically, we can dispatch the products out in 1-3 working days after receiving your orders. Delivery time maybe differs from different purchasing way or location, please kindly consult your local distributors for specific delivery time.
-
用途:For Research Use Only. Not for use in diagnostic or therapeutic procedures.
相關產品
靶點詳情
-
功能:IGF-binding proteins prolong the half-life of the IGFs and have been shown to either inhibit or stimulate the growth promoting effects of the IGFs on cell culture. They alter the interaction of IGFs with their cell surface receptors.
-
基因功能參考文獻:
- The authors also identified single-nucleotide polymorphisms in NRP2 and IGFBP4 loci that increase and reduce risk of lichen planus in hepatitis C virus-infected patients, respectively. PMID: 28065765
- the results of this study raise the possibility that human mesenchymal stem cells actions involve a negative-regulatory mechanism that suppresses Treg proliferation by releasing IGFBP-4 PMID: 28724578
- IGFBP-4 maybe act as a potential negative regulator in the progression of lung cancer through downregulation of COX-2. PMID: 28150906
- Patients with type 2 Diabetes Mellitus had lower serum concentrations of IGFBP-4 compared to controls. PMID: 28179448
- Data show that insulin-like growth factor binding protein-4 (IGFBP-4) was significantly elevated in lupus nephritis, particularly those with renal pathology chronicity changes. PMID: 27019456
- The present study provides the first evidence that apoptosis inhibitor of macrophages binds to IGFBP2, 3 and 4. PMID: 26135353
- Data show that co-transfection with cDNA encoding stanniocalcin-1 abrogates the proteolytic activity of pregnancy-associated plasma protein-A (PAPP-A) toward IGF-binding protein 4 (IGFBP-4). PMID: 26195635
- PLasma IGFBP-4 levels are not acutely altered following myocardial infarction treated with heparin and percutaneous coronary intervention. PMID: 25489725
- High IGFBP-4 fragment levels were associated with increased all-cause and cardiovascular mortality rates in T1D patients with and without diabetic nephropathy. PMID: 26046968
- Data indicate co-localization of insulin-like growth factor binding proteins IGFBP-4, IGFBP-5 in the syncytiotrophoblast layer of first trimester placental villi as early as 5 weeks of gestational age. PMID: 25475528
- IGF-1/IGFbp4 signaling regulated the post-developmental adipose tissue expansion. PMID: 24778188
- Despite the relation of CT-IGFBP4 to a more severe coronary artery disease, CT- and NT-IGFBP4, in contrast to our report based on total PAPP-A, failed to predict any long-term outcomes in patients with stable cardiovascular disease. PMID: 24201068
- these findings demonstrate an oncogenic property for IBP in promoting the metastatic potential of breast cancer cells. PMID: 23975422
- PAPP-A and IGFBP-4 gene expression (microarray analysis) was significantly upregulated in IL-1beta- or TNF-alpha-exposed cells. PMID: 24060054
- IGFBP-4 modulates the efficiency of estrogen-triggered activation of the Akt/PKB signaling pathway which has been associated with growth factor/ ERalpha cross-talks. PMID: 23499909
- Epigenetic silencing of UCHL1 and IGFBP4 in giant cell tumors may be important for malignant transformation of the cells PMID: 23603559
- IGFBP-4 was by far the most predominant IGFBP by immunoassay PMID: 23079385
- role of IGFBP-4 in regulating IGF bioavailability and provide new clues for the prevention and treatment of FGR (Fetal growth restriction). PMID: 22689691
- IGF1 haplotypes are associated with genetic susceptibility to high myopia in Chinese adults, whereas IGFBP3 and IGFBP4 are unlikely to be important in the genetic predisposition to high myopia PMID: 22332214
- The resistance of VEGF-stimulated angiogenesis to IGFBP-4 inhibition appears to depend on sustained activation of p38 MAPK as blocking its activity restored the anti-angiogenic effects of IGFBP-4 on VEGF-induced blood vessel growth in vivo PMID: 22134921
- This study demonistrated that IGFBP4 was significantly decreased in skeletal muscel in patient with amyotrophic lateral sclerosis. PMID: 22246875
- circulating IGFBP-4 levels are not influenced by secondary hyperparathyroidism in vitamin D deficiency rickets PMID: 21274331
- This is a first report documenting that IGFBP-4 expression in RCC activates cell growth, metastasis, Wnt/beta-catenin signaling and may be involved in RCC metastasis. PMID: 21207373
- These findings suggest that the expression of IGFBP-4 in adenocarcinoma cells in vivo is downregulated by epigenetic silencing in association with tumor differentiation, resulting in disruption of the mechanism of IGFBP-4-mediated growth inhibition. PMID: 21166939
- enterocyte HT-29 cell differentiation correlates with an increase in IGFBP-4 levels PMID: 12163000
- results are the first evidence of IGF-independent IGFBP-4 actions on granulosa cell steroidogenesis PMID: 12193384
- role in sequestration of insulin-like growth factor-1 and consequent impairment of insulin-like growth factor-1 action in skeletal tissue PMID: 12733722
- A novel SP3 binding site was identified in the promoter of IGFBP4. PMID: 14767471
- IGFBP-4 proteolysis and local regulation of IGF availability may be altered in malignant ovarian epithelial cells PMID: 15146551
- Data suggested that growth factor- and cytokine-mediated changes in IGFBP abundance regulate postnatal fibroblast cell. proliferation PMID: 15204833
- IGFBP-4 is a novel dB-cAMP-induced anti-angiogenic and anti-tumorigenic mediator that may be a promising candidate for glioblastoma therapy. PMID: 16586492
- Overexpression of IGFBP-4 in vivo has been reported to decrease the growth of prostate cancer and altered expression of IGFBP-4 in vivo in colon and other cancers needs to be explored as locally available IGFs appear to stimulate mitogenesis. (review) PMID: 16685432
- local increased collagen synthesis was preceded by an elevation of local concentration of IGFBP-4, suggesting that IGFBP-4 may have a key role in the IGF-axis effect on the human collagen synthesis in vivo PMID: 16973813
- the IGF system may have a limited role in the pathogenesis of GCT with PAPP-A subserving a function other than IGFBP-4 proteolysis PMID: 17177834
- Ratios between IGFBPs and IGF (insulin-like growth factors), different IGFBPs, sequential proteolytic cleavage of IGFBPs, and association of activating proteinases are key elements in the regulation of IGF receptor stimulation. PMID: 17312271
- IGFBP-4 may have a role in increasing necrosis and apoptosis, but in decreasing mitosis PMID: 17824980
- conclusion: decreased IGFBP-4 tumor expression might be a step in the progression from primary to metastatic melanoma; data lend support to a recently-described novel tumor suppressor role of secreting IGFBPs in melanoma PMID: 19025658
- IGFBP4, which can inhibit IGF action, also increased during in-vitro decidualization of cultured human ESCs. PMID: 19038974
顯示更多
收起更多
-
亞細胞定位:Secreted.
-
數據庫鏈接:
Most popular with customers
-
-
YWHAB Recombinant Monoclonal Antibody
Applications: ELISA, WB, IHC, IF, FC
Species Reactivity: Human, Mouse, Rat
-
Phospho-YAP1 (S127) Recombinant Monoclonal Antibody
Applications: ELISA, WB, IHC
Species Reactivity: Human
-
-
-
-
-















