IGF2BP3 Antibody
-
中文名稱:IGF2BP3兔多克隆抗體
-
貨號:CSB-PA011092LA01HU
-
規格:¥440
-
圖片:
-
Western Blot
Positive WB detected in: Hela whole cell lysate, K562 whole cell lysate, HEK293 whole cell lysate, Mouse brain tissue
All lanes: IGF2BP3 antibody at 2μg/ml
Secondary
Goat polyclonal to rabbit IgG at 1/50000 dilution
Predicted band size: 64, 22 kDa
Observed band size: 64, 50 kDa -
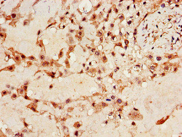
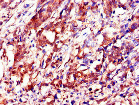
Immunohistochemistry of paraffin-embedded human placenta tissue using CSB-PA011092LA01HU at dilution of 1:100
-
Immunohistochemistry of paraffin-embedded human gastric cancer using CSB-PA011092LA01HU at dilution of 1:100
-
Immunofluorescent analysis of MCF-7 cells using CSB-PA011092LA01HU at dilution of 1:100 and Alexa Fluor 488-congugated AffiniPure Goat Anti-Rabbit IgG(H+L)
-
-
其他:
產品詳情
-
產品名稱:Rabbit anti-Homo sapiens (Human) IGF2BP3 Polyclonal antibody
-
Uniprot No.:
-
基因名:
-
別名:Cancer/testis antigen 98 antibody; CT98 antibody; DKFZp686F1078 antibody; hKOC antibody; IF2B3_HUMAN antibody; IGF II mRNA binding protein 3 antibody; IGF-II mRNA-binding protein 3 antibody; IGF2 mRNA binding protein 3 antibody; IGF2 mRNA-binding protein 3 antibody; IGF2BP3 antibody; IMP 3 antibody; IMP-3 antibody; Insulin like growth factor 2 mRNA binding protein 3 antibody; Insulin-like growth factor 2 mRNA-binding protein 3 antibody; KH domain containing protein overexpressed in cancer antibody; KH domain-containing protein overexpressed in cancer antibody; KOC 1 antibody; KOC1 antibody; VICKZ 3 antibody; VICKZ family member 3 antibody; VICKZ3 antibody
-
宿主:Rabbit
-
反應種屬:Human, Mouse
-
免疫原:Recombinant Human Insulin-like growth factor 2 mRNA-binding protein 3 protein (1-100AA)
-
免疫原種屬:Homo sapiens (Human)
-
標記方式:Non-conjugated
本頁面中的產品,IGF2BP3 Antibody (CSB-PA011092LA01HU),的標記方式是Non-conjugated。對于IGF2BP3 Antibody,我們還提供其他標記。見下表:
-
克隆類型:Polyclonal
-
抗體亞型:IgG
-
純化方式:>95%, Protein G purified
-
濃度:It differs from different batches. Please contact us to confirm it.
-
保存緩沖液:Preservative: 0.03% Proclin 300
Constituents: 50% Glycerol, 0.01M PBS, PH 7.4 -
產品提供形式:Liquid
-
應用范圍:ELISA, WB, IHC, IF
-
推薦稀釋比:
Application Recommended Dilution WB 1:500-1:5000 IHC 1:20-1:200 IF 1:50-1:200 -
Protocols:
-
儲存條件:Upon receipt, store at -20°C or -80°C. Avoid repeated freeze.
-
貨期:Basically, we can dispatch the products out in 1-3 working days after receiving your orders. Delivery time maybe differs from different purchasing way or location, please kindly consult your local distributors for specific delivery time.
-
用途:For Research Use Only. Not for use in diagnostic or therapeutic procedures.
相關產品
靶點詳情
-
功能:RNA-binding factor that may recruit target transcripts to cytoplasmic protein-RNA complexes (mRNPs). This transcript 'caging' into mRNPs allows mRNA transport and transient storage. It also modulates the rate and location at which target transcripts encounter the translational apparatus and shields them from endonuclease attacks or microRNA-mediated degradation. Binds to the 3'-UTR of CD44 mRNA and stabilizes it, hence promotes cell adhesion and invadopodia formation in cancer cells. Binds to beta-actin/ACTB and MYC transcripts. Binds to the 5'-UTR of the insulin-like growth factor 2 (IGF2) mRNAs.
-
基因功能參考文獻:
- Data show that insulin-like growth factor-II mRNA-binding protein 2 and 3 (IMP2/3)-miR-200a-progesterone receptor axis represents a double-negative feedback loop and serves as a new potential therapeutic target for the treatment of Triple-negative breast cancer (TNBC). PMID: 29217458
- THADA fusion is a mechanism of IGF2BP3 activation and IGF1R signaling in thyroid cancer. PMID: 28193878
- High expression of IMP3 in adult mature testicular teratomas supports their malignant nature. PMID: 24605891
- tubal secretory cells with IMP3 signatures showing growth advantage could potentially serve as a latent precancer biomarker for tubal or pelvic serous carcinomas in women. PMID: 25014991
- These results suggested that pancreatic carcinogenesis involves an increased IMP3 mRNA expression, and it may become valuable diagnostic and prognostic markers as well as potential therapeutic targets for pancreatic cancer. PMID: 25183049
- the combination of p16/IMP3 expression was found to improve the discrepant results between cervical cytologic and histologic diagnoses PMID: 23923073
- High IMP3 expression is associated with hepatocellular carcinoma. PMID: 24647926
- Our results strengthen the association of IMP3 with the regulation of epithelial to mesenchymal transition in breast cancers PMID: 25031719
- Post-transcriptional regulation of cyclins D1, D3 and G1 and proliferation of human cancer cells depend on IMP-3 nuclear localization. PMID: 23812426
- IMP3 upregulates HMGA2 mRNA by opposing its interaction with Ago2/let-7. PMID: 24703842
- The results of this study indicate that IMP3 was overexpressed in sacral chordoma and this expression was associated with tumor invasion and recurrence. PMID: 24135846
- IMP3 may be involved in the process and progression of high-grade serous carcinoma of the fallopian tube. PMID: 25038792
- Absence of IMP3 expression is associated with a significantly reduced risk of lymphovascular invasion in pT1 esophageal adenocarcinoma PMID: 24726263
- Diffuse IMP3 expression (>25%) in MAC from patients with gastric adenocarcinoma was associated with shorter survival. PMID: 24457229
- This review focuses on the studies of IMP3 expression in different cancers and emphasizes the potential utility of IMP3 in routine surgical pathology practice. PMID: 24713990
- IMP3 expression was positive in esophageal adenocarcinoma and Barrett's esophagus with high-grade dysplasia. Barrett's esophagus and esophageal squamous epithelium had no IMP3 expression PMID: 25141312
- High IMP3 was associated with metastasis in prostate cancer. PMID: 24615121
- High-grade dysplasia and gastric carcinomas can be distinguished from low-grade dysplasia and inflammatory lesions of the gastric mucosa with a high specificity and good sensitivity using a combination of the immunohistochemical markers IMP3 and p53 PMID: 24966917
- IMP-3 expression is not a useful discriminator between dysplastic nevi and melanoma nor a good prognostic marker in melanoma. PMID: 26403409
- The specificity for IMP3, GLUT-1, and EMA for differentiating malignant mesotheliomas and benign mesothelial proliferations was 100% PMID: 25376377
- expression in preoperative biopsy material predictive of perineural invasion in patients with oral squamous cell carcinoma PMID: 27863864
- IMP3 appears to play an important role in tumor invasion in patients with lung adenocarcinoma and may serve as a useful prognostic biomarker in these patients. PMID: 26608347
- IMP3 represents a biomarker of unfavorable prognosis for clear cell carcinomas of the ovary, even in stage I patients. PMID: 26837693
- results suggest that IMP3 facilitates pancreatic ductal adenocarcinoma progression by enhancing the pro-metastatic behaviour of tumour cells PMID: 25886367
- EGF stimulates IMP-3 expression. PMID: 26386725
- MP3 may play a certain role in hydatidiform moles progression, and it may serve as a prognostic biomarker for this disease. PMID: 27238915
- Testing for a combination of elevated IMP3 and Lin28B levels could further facilitate the identification of a patient subgroup with the worst ovarian cancer prognosis. PMID: 26158423
- we show that SOX2 is a transcriptional target of SLUG. These data establish a novel mechanism of breast tumor initiation involving IMP3 and they provide a rationale for its association with aggressive disease and poor outcome. PMID: 25982283
- This is the first study evaluating the IMP3 immunohistochemical expression in Phyllodes tumor. Its expression correlates with histological grade and could be used in the differential diagnosis of fibroepithelial tumors and in prognostication. PMID: 26353850
- IMP3 is a reliable marker for the diagnosis of colorectal cancer in endoscopic biopsies PMID: 28412210
- Positive expression of IMP3 in spinal giant cell tumor was associated with increased microvessel density and expression of IGF2. PMID: 25740666
- Tissue overexpression of IMP3 might be used as a predictor of advanced disease or lymph node metastasis, and is associated with poorer prognosis in gastric cancers. PMID: 28011483
- IMP-3 has a role in promoting migration and invasion of melanoma cells by modulating the expression of HMGA2 and predicts poor prognosis in melanoma PMID: 25380351
- The role of IMP3 as a marker of poor outcome in gliomas PMID: 25695077
- IMP3 directly interacts with ULBP2 mRNA, leading to ULBP2 transcript destabilization and reduced ULBP2 surface expression and indirectly downregulates MICB with a mechanism functionally distinct from that of ULBP2. PMID: 26982091
- This study demonstrated that Genes overexpressed in Pilomyxoid Astrocytoma vs. Pilocytic Astrocytoma, ranked according to fold-change, included developmental genes H19, DACT2,COL2A1; COL1A1 and IMP3. PMID: 25521223
- Describe chromosome 12p abnormalities and IMP3 expression in prepubertal pure testicular teratomas. PMID: 26826410
- This study aimed to demonstrate the usefulness of mRNA expression levels of IMP3 in brush cytology specimens combined with cytology for the diagnosis of malignant biliary stricture PMID: 27399126
- IMP-3 and its protein partners ILF3/NF90 and PTBP1 bind to the 3'UTRs of the cyclin mRNAs and protect them from the translational repression induced by miRNA-dependent recruitment of AGO2/GW182 complex in human cancer cells. PMID: 27840950
- IMP3 promotes renal cell carcinoma cell migration and invasion by activation of NF-small ka, CyrillicB pathway. PMID: 25919292
- Overexpression of IMP3 and EGFR were significantly associated with shorter periods of metastasis-free and disease-free survival of malignant phyllodes tumor of the breast. PMID: 27137988
- S100P achieved 96.4% sensitivity, 93.3% specificity, 98.2% PPV, 87.5% NPV and 95.8% total accuracy, while IMP3 achieved 91.2% sensitivity, 86.7% specificity, 96.2% PPV, 72.2% NPV and 90.3% total accuracy for pancreatic ductal adenocarcinoma (PDA).Both markers were sensitive and specific for diagnosis of PDA. PMID: 27839709
- CK5/6, IMP3 and TTF1 immunostaining appears to be useful to improve the accuracy of cytological diagnoses between reactive mesothelial cells, metastatic adenocarcinoma of lung and non-lung origin in pleural effusion PMID: 25337222
- Our study clearly demonstrated differentiation-dependent expression of IMP3 in chondrosarcoma, and suggests IMP3 as a novel marker for differentiating problematic cases of enchondroma from well-differentiated chondrosarcomas PMID: 26948096
- It was concluded that IMP3 and nucleophosmin cannot be a routine diagnostic marker for discrimination of papillary carcinomas and benign lesions. IMP3 positive staining was scarce in IMP3 positive papillary carcinomas although specifity of IMP3 is 100% PMID: 25389240
- MP3 expression in biopsy specimens could be used to predict lymph node metastasis and TNM stage in colorectal cancer patients PMID: 26617820
- IGF2BP3 influences a malignancy-associated RNA regulon by modulating miRNA-mRNA interactions. PMID: 27210763
- IGF2BP3 as a human ontogenic master switch that restricts megakaryocyte development by modulating a lineage-specific P-TEFb activation mechanism. PMID: 28481226
- Results suggest that IGF2BP3 promotes eIF4E-mediated translational activation through the reduction of EIF4E-BP2 via mRNA degradation, leading to enhanced cell proliferation. PMID: 26522719
- We compressively revealed the oncogenic role of IGF2BP3 in gastric tumorigenesis and confirmed its activation is partly due to the silence of miR-34a. Our findings identified useful prognostic biomarker and provided clinical translational potential. PMID: 28399871
顯示更多
收起更多
-
亞細胞定位:Nucleus. Cytoplasm. Note=Found in lamellipodia of the leading edge, in the perinuclear region, and beneath the plasma membrane. The subcytoplasmic localization is cell specific and regulated by cell contact and growth. Localized at the connecting piece and the tail of the spermatozoa. Colocalized with CD44 mRNA in RNP granules. In response to cellular stress, such as oxidative stress, recruited to stress granules.
-
蛋白家族:RRM IMP/VICKZ family
-
組織特異性:Expressed in fetal liver, fetal lung, fetal kidney, fetal thymus, fetal placenta, fetal follicles of ovary and gonocytes of testis, growing oocytes, spermatogonia and semen (at protein level). Expressed in cervix adenocarcinoma, in testicular, pancreatic
-
數據庫鏈接:
Most popular with customers
-
-
YWHAB Recombinant Monoclonal Antibody
Applications: ELISA, WB, IHC, IF, FC
Species Reactivity: Human, Mouse, Rat
-
-
-
-
-
-















