IDUA Antibody
-
中文名稱:IDUA兔多克隆抗體
-
貨號:CSB-PA011000LA01HU
-
規格:¥440
-
圖片:
-
IHC image of CSB-PA011000LA01HU diluted at 1:300 and staining in paraffin-embedded human prostate cancer performed on a Leica BondTM system. After dewaxing and hydration, antigen retrieval was mediated by high pressure in a citrate buffer (pH 6.0). Section was blocked with 10% normal goat serum 30min at RT. Then primary antibody (1% BSA) was incubated at 4°C overnight. The primary is detected by a biotinylated secondary antibody and visualized using an HRP conjugated SP system.
-
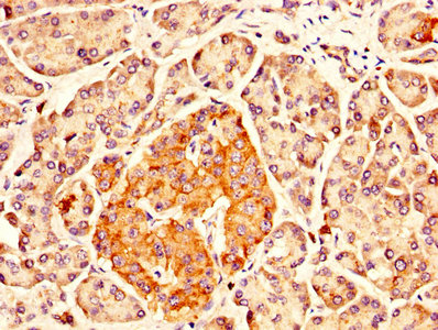
IHC image of CSB-PA011000LA01HU diluted at 1:300 and staining in paraffin-embedded human pancreatic tissue performed on a Leica BondTM system. After dewaxing and hydration, antigen retrieval was mediated by high pressure in a citrate buffer (pH 6.0). Section was blocked with 10% normal goat serum 30min at RT. Then primary antibody (1% BSA) was incubated at 4°C overnight. The primary is detected by a biotinylated secondary antibody and visualized using an HRP conjugated SP system.
-
-
其他:
產品詳情
-
產品名稱:Rabbit anti-Homo sapiens (Human) IDUA Polyclonal antibody
-
Uniprot No.:
-
基因名:
-
別名:IDUA antibody; Alpha-L-iduronidase antibody; EC 3.2.1.76 antibody
-
宿主:Rabbit
-
反應種屬:Human
-
免疫原:Recombinant Human Alpha-L-iduronidase protein (28-653AA)
-
免疫原種屬:Homo sapiens (Human)
-
標記方式:Non-conjugated
本頁面中的產品,IDUA Antibody (CSB-PA011000LA01HU),的標記方式是Non-conjugated。對于IDUA Antibody,我們還提供其他標記。見下表:
-
克隆類型:Polyclonal
-
抗體亞型:IgG
-
純化方式:>95%, Protein G purified
-
濃度:It differs from different batches. Please contact us to confirm it.
-
保存緩沖液:Preservative: 0.03% Proclin 300
Constituents: 50% Glycerol, 0.01M PBS, PH 7.4 -
產品提供形式:Liquid
-
應用范圍:ELISA, IHC
-
推薦稀釋比:
Application Recommended Dilution IHC 1:200-1:500 -
Protocols:
-
儲存條件:Upon receipt, store at -20°C or -80°C. Avoid repeated freeze.
-
貨期:Basically, we can dispatch the products out in 1-3 working days after receiving your orders. Delivery time maybe differs from different purchasing way or location, please kindly consult your local distributors for specific delivery time.
-
用途:For Research Use Only. Not for use in diagnostic or therapeutic procedures.
相關產品
靶點詳情
-
基因功能參考文獻:
- Enzyme activities (acid alpha-glucosidase (GAA), galactocerebrosidase (GALC), glucocerebrosidase (GBA), alpha-galactosidase A (GLA), alpha-iduronidase (IDUA) and sphingomyeline phosphodiesterase-1 (SMPD-1)) were measured on ~43,000 de-identified dried blood spot (DBS) punches, and screen positive samples were submitted for DNA sequencing to obtain genotype confirmation of disease risk PMID: 27238910
- Using lysosomal storage disease mucopolysaccharidosis type I (MPS I) dogs tolerized to human IDUA as neonates, we evaluated intrathecal delivery of an adeno-associated virus serotype 9 vector expressing human IDUA as a therapy for the central nervous system manifestations of MPS PMID: 27386755
- IDUA deletion mutation is associate with with mucopolysaccharidosis type I . PMID: 28604952
- 10 unrelated Korean patients with Mucopolysaccharidosis I, p.L346R and c.704ins5 were most commonly found in Korean patients with Mucopolysaccharidosis I. PMID: 27520059
- Molecular studies results unveiled the predominance of(Pro533Arg) IDUA variation in a series of 13 Algerian patients with Mucopolysaccharidosis Type I presented mainly with an attenuated phenotype. PMID: 27196898
- A new IDUA variant that alters the structure of the signal peptide associated with mucopolysaccharidosis type I is reported. PMID: 25256405
- Amino acid substitutions in alpha-L-iduronidase determine the severity of mucopolysaccharidosis type I. PMID: 24480078
- The alpha-L-iduronidase missense mutation causing L238Q substitution, when paired with a nonsense mutation, is associated with significant, late-onset brain disease. PMID: 24368159
- We conclude that this procedure for determining residual IDUA activity in fibroblasts of MPS I patients may be helpful to predict MPS I phenotype. PMID: 23786846
- The IDUA structures and biochemical analysis of the disease-relevant P533R mutation have enabled us to correlate the effects of mutations in IDUA to clinical phenotypes. PMID: 24036510
- Data show that alpha-l-iduronidase (hIDUA) enzyme activity was highly correlated with the N-glycan attached to N372. PMID: 23959878
- X-ray diffraction analysis of human alpha-L-iduronidase PMID: 23143250
- Transfer of a high level of human alpha-L-iduronidase gene into the central nervous system (CNS) of MPS I mutant mice susceptible to mucopolysaccharidosis (MPS) improves the outcome for MPS when a high level of CNS gene expression is achieved. PMID: 21397026
- A previously unreported IDUA splice site mutation (NG_008103.1:g.21632G>C; NM_000203.3:c.1727+3G>C) causing a Hurler phenotype in a patient heterozygous for the common p.Q70X (NG_008103.1:g.5862C>T) mutation. PMID: 21831683
- This paper, showed a heterogeneous pattern of mutations and polymorphisms in the IDUA gene among Tunisian patients. PMID: 21521498
- this study characterized the underlying IDUA mutations in a group of 102 newly studied European patients, including 37 Italians, whose condition has been clinically and biochemically diagnosed as MPS I. PMID: 21394825
- The identification of two novel alpha-L-iduronidase mutations should facilitate prenatal diagnosis and counseling for MPS I in Tunisia. PMID: 21639919
- study describes monozygotic twins with an attenuated form of mucopolysaccharidosis type I associated with a novel mutation of IDUA, who both showed cervical myelopathy as the initial and cardinal manifestation PMID: 21176924
- This study reports a novel mutation in IDUA, expanding the mutational spectrum for mucopolysaccharidosis type I. PMID: 21364962
- Studies show that mouse Idua-W392X mutation is analogous to the human IDUA-W402X mutation commonly found in MPS I-H patients. PMID: 19751987
- This is the first report of IDUA mutations in Egyptian patients with mucopolysaccharidosis type I. PMID: 19839758
- Results show that leukocyte IDUA from mucopolysaccharidosis I heterozygotes differs from the normal enzyme in terms of optimum pH, Km, Vmax and thermostability at 50 degrees C. PMID: 11825626
- Ninety percent of the MPS I patients in this study were genotyped and revealed 10 recurrent and thirteen novel IDUA gene mutations. PMID: 12559846
- 6 new mutations, c.1087C>T (p.R363C), c.1804T>A (p.F602I), c.793G>C, c.712T>A (p.L238Q), c.1727+2T>A, & c.1269C>G (p.S423R), in a total of 14 different mutations, & 13 polymorphisms , including the new c.246C>G (p.H82Q), were found in 10 MPS I pts. PMID: 15300847
- Model provides insights into why certain point mutations produce misfolded proteins and lead to severe mucopolysaccharidosis I, while other mutations produce proteins with minor structural perturbations and therefore the attenuated form of the disease. PMID: 15862278
- analysis of Alpha-L-Iduronidase mutations in Mucopolysaccharidosis I in Tunisia PMID: 16435195
- Describe a cohort of 14 Hurler-Scheie patients homozygous for the p.Leu490Pro missense mutation in the alpha-L-iduronidase gene. PMID: 17570076
- Analysis of the structural change in alpha-L-iduronidase of the severe mucopolysaccharidosis type I (MPS I) group and that of the attenuated disease, except for a couple of mutations, can help to predict the clinical outcome of MPS I. PMID: 18340403
- Mutations in the 130 C-terminal amino acids lead to clinical manifestations of Mucopolysaccharidosis type I , which indicates a functional importance of the C-terminus of the IDUA protein. PMID: 19396826
顯示更多
收起更多
-
相關疾病:Mucopolysaccharidosis 1H (MPS1H); Mucopolysaccharidosis 1H/S (MPS1H/S); Mucopolysaccharidosis 1S (MPS1S)
-
亞細胞定位:Lysosome.
-
蛋白家族:Glycosyl hydrolase 39 family
-
組織特異性:Ubiquitous.
-
數據庫鏈接:
Most popular with customers
-
-
YWHAB Recombinant Monoclonal Antibody
Applications: ELISA, WB, IHC, IF, FC
Species Reactivity: Human, Mouse, Rat
-
Phospho-YAP1 (S127) Recombinant Monoclonal Antibody
Applications: ELISA, WB, IHC
Species Reactivity: Human
-
-
-
-
-















