ID3 Antibody
-
中文名稱:ID3兔多克隆抗體
-
貨號:CSB-PA576712
-
規格:¥1100
-
圖片:
-
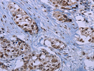
The image on the left is immunohistochemistry of paraffin-embedded Human breast cancer tissue using CSB-PA576712(ID3 Antibody) at dilution 1/40, on the right is treated with synthetic peptide. (Original magnification: ×200)
-
The image on the left is immunohistochemistry of paraffin-embedded Human brain tissue using CSB-PA576712(ID3 Antibody) at dilution 1/40, on the right is treated with synthetic peptide. (Original magnification: ×200)
-
-
其他:
產品詳情
-
Uniprot No.:
-
基因名:
-
別名:1R21 antibody; bHLHb25 antibody; Class B basic helix-loop-helix protein 25 antibody; DNA binding protein inhibitor ID 3 antibody; DNA-binding protein inhibitor ID-3 antibody; HEIR 1 antibody; HEIR1 antibody; Helix loop helix protein HEIR 1 antibody; Helix loop helix protein HEIR1 antibody; Helix-loop-helix protein HEIR-1 antibody; HLH642 antibody; ID 3 antibody; ID like protein inhibitor HLH 1R21 antibody; ID like protein inhibitor HLH 462 antibody; ID-like protein inhibitor HLH 1R21 antibody; ID3 antibody; ID3_HUMAN antibody; Inhibitor of DNA binding 3 antibody; Inhibitor of DNA binding 3 dominant negative helix loop helix protein antibody
-
宿主:Rabbit
-
反應種屬:Human,Mouse,Rat
-
免疫原:Synthetic peptide of Human ID3
-
免疫原種屬:Homo sapiens (Human)
-
標記方式:Non-conjugated
-
抗體亞型:IgG
-
純化方式:Antigen affinity purification
-
濃度:It differs from different batches. Please contact us to confirm it.
-
保存緩沖液:-20°C, pH7.4 PBS, 0.05% NaN3, 40% Glycerol
-
產品提供形式:Liquid
-
應用范圍:ELISA,IHC
-
推薦稀釋比:
Application Recommended Dilution ELISA 1:2000-1:5000 IHC 1:50-1:200 -
Protocols:
-
儲存條件:Upon receipt, store at -20°C or -80°C. Avoid repeated freeze.
-
貨期:Basically, we can dispatch the products out in 1-3 working days after receiving your orders. Delivery time maybe differs from different purchasing way or location, please kindly consult your local distributors for specific delivery time.
-
用途:For Research Use Only. Not for use in diagnostic or therapeutic procedures.
相關產品
靶點詳情
-
功能:Transcriptional regulator (lacking a basic DNA binding domain) which negatively regulates the basic helix-loop-helix (bHLH) transcription factors by forming heterodimers and inhibiting their DNA binding and transcriptional activity. Implicated in regulating a variety of cellular processes, including cellular growth, senescence, differentiation, apoptosis, angiogenesis, and neoplastic transformation. Involved in myogenesis by inhibiting skeletal muscle and cardiac myocyte differentiation and promoting muscle precursor cells proliferation. Inhibits the binding of E2A-containing protein complexes to muscle creatine kinase E-box enhancer. Regulates the circadian clock by repressing the transcriptional activator activity of the CLOCK-ARNTL/BMAL1 heterodimer.
-
基因功能參考文獻:
- This review will discuss the current understanding of ID3 in excess fat accumulation and the potential for Estrogenic Endocrine Disruptors to influence susceptibility to obesity or metabolic disorders via ID3 signaling PMID: 29507860
- Taken together, we found that Id3+ and CTLA-4+ endometrial cells were significantly higher in women with repeated implantation failure and recurrent miscarriage, suggesting the negative roles of these angiogenesis and immune tolerance markers involving in regulating endometrium receptivity. PMID: 28224680
- The interactions between ID3 and the DNA damage mediator protein MDC1 suggest that ID3 participates in the DNA damage signaling pathway to maintain genomic stability. PMID: 29026069
- Immunohistochemical detection of inhibitor of DNA binding 3 mutational variants in mature aggressive B-cell lymphoma. PMID: 26992947
- The results of the present study revealed that overexpression of Id3 may serve as a novel strategy for inhibiting cisplatinsensitive lung cancer. PMID: 27176047
- Upon Id3 transfection, A549 cells displayed decreased migratory and invasive capabilities, however, co-transfection of miRId3 and Id3 into A549 cells reversed the Id3-induced inhibitions of migratory and invasive capabilities. PMID: 26384138
- ID3 has a role in the acquisition of molecular stem cell-like signature in microvascular endothelial cells PMID: 25665868
- our data provide evidence that ID3 may play a critical role in regulating vascular endothelial cell survival and development of microvascular lesions induced by persistent environmental pollutants such as PCB153. PMID: 25090023
- ID3 plays a potential role in the underlying regulatory mechanisms of metabolic health in human obesity. [Review] PMID: 25239768
- Epigenetic changes in ID3, in combination with experiences of maltreatment, may confer risk for depression in children. PMID: 24655651
- Data indicate association of inhibitor of differentiation 3 (ID3) single nucleotide polymorphism rs11574 directly with coronary artery pathology. PMID: 24603695
- Importantly, the distinct ID3 expression patterns in acute leukemias (AL) indicate a specific deregulation of ID3 in the various types of AL and may support subtyping of AL. PMID: 24292846
- the combined immunohistochemical detection of VPREB3 and ID3 is applicable to the routine diagnostic in case of mature aggressive B-cell lymphomas. PMID: 24493312
- ID3 mutations are recurrent events in double-hit B-cell lymphomas. PMID: 24222112
- High ID3 expression is associated with medulloblastoma seeding and is a poor prognostic factor, especially in patients with Group 4 tumors PMID: 23768125
- The findings suggested that cooperation between ID3 inactivation and immunoglobulin-MYC gene translocation is a hallmark of Burkitt lymphomagenesis. PMID: 23143595
- Overexpression of Id3 markedly promoted the proliferation and invasive capacity of MCF-7 cells; however, these effects were significantly suppressed by the overexpression of FHL2. PMID: 22882857
- Overexpression of Id3 triggered apoptosis in A549 lung adenocarcinoma cells, implicating Id3 in negative control of tumor growth. PMID: 22151756
- EGFR-AKT-Smad signaling promotes formation of glioma stem-like cells and tumor angiogenesis by ID3-driven cytokine induction. PMID: 21975932
- The ID3 protein is expressed in prostate cancer, and is elevated with the increase of Gleason score. PMID: 21837949
- the data establish dysregulation of the Id/bHLH axis as an early and sustained feature of ductal pathogenesis PMID: 21498546
- The level of Id-3 protein expression was associated with the malignant potential of gastric tumors. PMID: 20080245
- ID3 plays a role as an apoptosis inducer in response to X-ray irradiation via the regulation of endogenous beta-catenin level. PMID: 21030215
- In serum samples of lung cancer patients, galectin 1-mediated Id3 induces expression of interleukin (IL)-10 in functionally altered signal pathways of monocytes and monocyte-derived dendritic cells. PMID: 21191065
- Results provide novel evidence that Id3 is an atheroprotective factor and link a common SNP in the human ID3 gene to loss of Id3 function and increased carotid intima-media thickness. PMID: 20185798
- nuclear Id protein acts by sequestering pools of transiently diffusing bHLH protein to prevent reassociation with chromatin domains PMID: 12952978
- Fluvastatin did not regulate p21 and p27, but down-regulated Id3 and p53 slightly. PMID: 15370294
- Overexpression of Id3 enhances expression of ICAM-1 and E-selectin, and induces angiogenic processes such as transmigration, matrix metalloproteinase-2 and -9 expression, and tube formation in cultured vascular endothelial cells. PMID: 15494533
- ultraviolet radiation-induced apoptosis of immortalized keratinocytes is at least in part due to Id3 upregulation in these cells PMID: 16449966
- estrogen-induced tube formation in vascular endothelial cells requires the presence of Id3, a member of the helix-loop-helix family of transcriptional factors and estrogen increases Id3 phosphorylation via a redox-dependent process PMID: 18281048
- RhoA/Rho-associated kinase signaling plays positive and negative roles in myogenic differentiation, mediated by MRTF-A/Smad-dependent transcription of the Id3 gene in a differentiation stage-specific manner PMID: 18477564
- There is a mechanism whereby reactive oxygen species upregulation of Id3 relieves repression of bax via E-box-binding factors. PMID: 19054058
- RNA interference demonstrated that Id3 regulates differentiation and cell cycle (increased Neuro-D6 and p21 mRNA) in neuroblastoma cells PMID: 19477940
顯示更多
收起更多
-
亞細胞定位:Nucleus.
-
組織特異性:Expressed abundantly in lung, kidney and adrenal gland, but not in adult brain.
-
數據庫鏈接:
Most popular with customers
-
-
YWHAB Recombinant Monoclonal Antibody
Applications: ELISA, WB, IHC, IF, FC
Species Reactivity: Human, Mouse, Rat
-
Phospho-YAP1 (S127) Recombinant Monoclonal Antibody
Applications: ELISA, WB, IHC
Species Reactivity: Human
-
-
-
-
-















