HVCN1 Antibody
-
中文名稱:HVCN1兔多克隆抗體
-
貨號:CSB-PA846602ESR1HU
-
規格:¥440
-
圖片:
-
Western blot
All lanes: HVCN1 antibody at 1.17µg/ml + Raji whole cell lysate
Secondary
Goat polyclonal to rabbit IgG at 1/10000 dilution
Predicted band size: 32, 28, 30 kDa
Observed band size: 32 kDa -
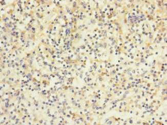
Immunohistochemistry of paraffin-embedded human tonsil tissue using CSB-PA846602ESR1HU at dilution of 1:100
-
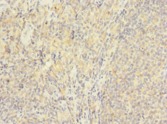
Immunohistochemistry of paraffin-embedded human spleen tissue using CSB-PA846602ESR1HU at dilution of 1:100
-
-
其他:
產品詳情
-
產品名稱:Rabbit anti-Homo sapiens (Human) HVCN1 Polyclonal antibody
-
Uniprot No.:
-
基因名:HVCN1
-
別名:HVCN1; VSOP; UNQ578/PRO1140; Voltage-gated hydrogen channel 1; Hydrogen voltage-gated channel 1; HV1; Voltage sensor domain-only protein
-
宿主:Rabbit
-
反應種屬:Human
-
免疫原:Recombinant Human Voltage-gated hydrogen channel 1 protein (1-100AA)
-
免疫原種屬:Homo sapiens (Human)
-
標記方式:Non-conjugated
-
克隆類型:Polyclonal
-
抗體亞型:IgG
-
純化方式:Antigen Affinity Purified
-
濃度:It differs from different batches. Please contact us to confirm it.
-
保存緩沖液:PBS with 0.02% sodium azide, 50% glycerol, pH7.3.
-
產品提供形式:Liquid
-
應用范圍:ELISA, WB, IHC
-
推薦稀釋比:
Application Recommended Dilution WB 1:1000-1:5000 IHC 1:20-1:200 -
Protocols:
-
儲存條件:Upon receipt, store at -20°C or -80°C. Avoid repeated freeze.
-
貨期:Basically, we can dispatch the products out in 1-3 working days after receiving your orders. Delivery time maybe differs from different purchasing way or location, please kindly consult your local distributors for specific delivery time.
-
用途:For Research Use Only. Not for use in diagnostic or therapeutic procedures.
相關產品
靶點詳情
-
功能:Mediates the voltage-dependent proton permeability of excitable membranes. Forms a proton-selective channel through which protons may pass in accordance with their electrochemical gradient. Proton efflux, accompanied by membrane depolarization, facilitates acute production of reactive oxygen species in phagocytosis.
-
基因功能參考文獻:
- The authors now report that R1H mutation is sufficient to reconstitute resting-state H(+) 'shuttle' conductance in Hv1 without abrogating the intrinsic 'aqueous' H(+) conductance. PMID: 27572256
- We suggest that cleavage and heterodimerization of Hv1 represents an adaptation to the specific requirements of pH control in sperm. PMID: 27859356
- Inhibition of Hv1 channels by Zn(2+). PMID: 28013412
- CREBBP mutations were associated with inferior progression-free survival (PFS), whereas mutations in previously unreported HVCN1, a voltage-gated proton channel-encoding gene and B-cell receptor signaling modulator, were associated with improved PFS. PMID: 28064239
- Trp207 is crucial for slow channel opening, highly temperature-dependent gating kinetics, proton selectivity, and DeltapH-dependent gating. PMID: 26458876
- Our data demonstrated that the expression of Hv1 in pancreatic islet beta-cells regulates insulin secretion through regulating Ca(2+) homeostasis. PMID: 26559003
- The main properties of the voltage-gated proton channel (HV1) are described in this review, along with what is known about how the channel protein structure accomplishes its functions. [review] PMID: 25964989
- Hv1 activity displays hysteresis PMID: 25296308
- A shorter isoform of HVCN1 with enhanced gating is specifically enriched in malignant B cells. PMID: 25425665
- Divalent metal binding causes a conformational change in human the Hv1 c-terminal domain. PMID: 24867409
- analysis of of the C-terminal domain of voltage-gated proton channel HV1 and the thermodynamic characteristics of Zn(2) binding to this domain PMID: 25446125
- Salt bridge networks and the hydrophobic plug function as the gate in Hv1 channels; outward movement of the fourth transmembrane segment leads to the opening of this gate. PMID: 24379371
- Results suggest that Hv1 may be used as a potential biomarker for diagnosis and prognosis of colorectal carcinoma, and a potential target for anticancer drugs in colorectal cancer therapy. PMID: 23940591
- inhibition of Hv1 activity via Zn(2+) ions can effectively retard the cancer growth and suppress the cancer metastasis by the decrease of proton extrusion and the down-regulation of gelatinase activity PMID: 23891691
- In the Hv1 voltage-gated channel a highly conserved phenylalanine is found in the charge transfer center. PMID: 23352164
- Two conformational changes are detected in Hv1 channels that are involved in channel opening. PMID: 23352165
- inhibition of Hv1 function via knockdown of Hv1 expression can effectively retard cancer growth PMID: 22367212
- Hv1 channels maintain a physiological membrane potential during the respiratory burst of neutrophils by providing a compensating charge for the electrons transferred by NOX2 from NADPH to superoxide. PMID: 22056415
- Hv1-dependent reactive oxygen species production is responsible for a substantial fraction of brain damage at early time points after ischemic stroke. PMID: 22388960
- Interactions with two of the S4 arginines and the formation of a well defined hydrophobic gap in the center of the Hv1 are key to the formation of a robust water wire. PMID: 21843503
- identification of aspartate 112 as a crucial component of the selectivity filter of H(V)1 PMID: 22020278
- these results strongly suggest that Hv1 regulates breast cancer intracellular pH and exacerbates the migratory ability of metastatic cells. PMID: 21821008
- Data demonstrated that a massive reduction in H(v)1 expression can limit the Nox2 mediated superoxide production of PLB-985 granulocytes. PMID: 21124855
- The HVCN1 H(+) channel mediates pH-regulated acid secretion by the airway epithelium. Apical HVCN1 represents a mechanism to acidify an alkaline airway surface liquid. PMID: 20548053
- Report on the interaction of HV1 proton channel protomers during ion channel gating. PMID: 20676047
- HVCN1 not only modulates signaling from the B-cell receptor following B-cell activation and histamine release from basophils, but also mediates pH-dependent activation of spermatozoa, as well as acid secretion by tracheal epithelium. [Review] PMID: 20961760
- Molecular dynamics simulations revealed water molecules in the central crevice of Hv1 model structures but not in homologous voltage-sensor domain (VSD) structures. PMID: 20543828
- In the 2.0 A structure of the C-terminal domain, the two monomers form a dimer via a parallel alpha-helical coiled-coil, in which one chloride ion binds with the Neta atom of Arg(264). PMID: 20147290
- Identification of Thr29 as a critical phosphorylation site that activates the human proton channel Hvcn1 in leukocytes PMID: 20037153
- Since Hv1 specifically mediates proton efflux, it is likely to be the long-sought molecule that controls male fertility by mediating intracellular alkalinization of human sperm PMID: 20144758
- Hv1 channels truncated just downstream of R2 in the S4 segment retain most channel properties. PMID: 20018719
- data presented here identify H(v)1 as a long-sought voltage-gated H+ channel and establish H(v)1 as the founding member of a family of mammalian VSD proteins PMID: 16554753
- We cloned a new B cell-specific tetraspanning (BTS) membrane molecule PMID: 17948262
- Hv1 forms a dimer in the membrane;its regions that are close to the dimer interface were defined. PMID: 18509058
- The Hv1 channel voltage sensor domain by itself supports H(+) flux. PMID: 19233200
- The C-terminal domain of the human voltage-gated proton channel Hv1 (C-Hv1) was overexpressed in Escherichia coli, purified and crystallized using the hanging-drop vapour-diffusion method. PMID: 19255483
顯示更多
收起更多
-
亞細胞定位:Membrane; Multi-pass membrane protein. Cell membrane; Multi-pass membrane protein. Note=Detected mainly at intracellular membranes upon overexpression in HeLa cells (PuMed:20147290), but not in other cell types.
-
蛋白家族:Hydrogen channel family
-
組織特異性:Enriched in immune tissues, such as lymph nodes, B-lymphocytes, monocytes and spleen.
-
數據庫鏈接:
Most popular with customers
-
-
YWHAB Recombinant Monoclonal Antibody
Applications: ELISA, WB, IHC, IF, FC
Species Reactivity: Human, Mouse, Rat
-
Phospho-YAP1 (S127) Recombinant Monoclonal Antibody
Applications: ELISA, WB, IHC
Species Reactivity: Human
-
-
-
-
-















