HTRA2 Antibody
-
中文名稱:HTRA2兔多克隆抗體
-
貨號:CSB-PA010902EA01HU
-
規格:¥440
-
圖片:
-
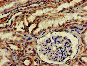
IHC image of CSB-PA010902EA01HU diluted at 1:200 and staining in paraffin-embedded human kidney tissue performed on a Leica BondTM system. After dewaxing and hydration, antigen retrieval was mediated by high pressure in a citrate buffer (pH 6.0). Section was blocked with 10% normal goat serum 30min at RT. Then primary antibody (1% BSA) was incubated at 4°C overnight. The primary is detected by a biotinylated secondary antibody and visualized using an HRP conjugated SP system.
-
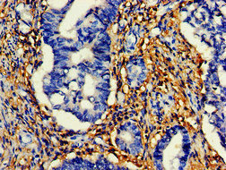
IHC image of CSB-PA010902EA01HU diluted at 1:200 and staining in paraffin-embedded human colon cancer performed on a Leica BondTM system. After dewaxing and hydration, antigen retrieval was mediated by high pressure in a citrate buffer (pH 6.0). Section was blocked with 10% normal goat serum 30min at RT. Then primary antibody (1% BSA) was incubated at 4°C overnight. The primary is detected by a biotinylated secondary antibody and visualized using an HRP conjugated SP system.
-
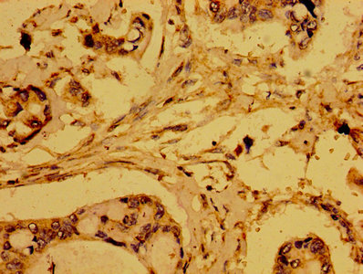
Immunohistochemistry of paraffin-embedded human pancreatic cancer using CSB-PA010902EA01HU at dilution of 1:100
-
Immunoprecipitating HTRA2 in MCF-7 whole cell lysate
Lane 1: Rabbit control IgG (1µg) instead of CSB-PA010902EA01HU in MCF-7 whole cell lysate. For western blotting, a HRP-conjugated Protein G antibody was used as the secondary antibody (1/2000)
Lane 2: CSB-PA010902EA01HU (8µg) + MCF-7 whole cell lysate (500µg)
Lane 3: MCF-7 whole cell lysate (20µg) -
Western Blot
Positive WB detected in: Hela whole cell lysate, HEK293 whole cell lysate, MCF-7 whole cell lysate, Jurkat whole cell lysate, HepG2 whole cell lysate, Raji whole cell lysate, HT29 whole cell lysate, HL60 whole cell lysate, K562 whole cell lysate
All lanes: HTRA2 antibody at 1:2000
Secondary
Goat polyclonal to rabbit IgG at 1/50000 dilution
Predicted band size: 39, 49, 47, 40 kDa
Observed band size: 39 kDa
-
-
其他:
產品詳情
-
產品名稱:Rabbit anti-Homo sapiens (Human) HTRA2 Polyclonal antibody
-
Uniprot No.:
-
基因名:
-
別名:HTRA2; OMI; PRSS25; Serine protease HTRA2, mitochondrial; High temperature requirement protein A2; HtrA2; Omi stress-regulated endoprotease; Serine protease 25; Serine proteinase OMI
-
宿主:Rabbit
-
反應種屬:Human
-
免疫原:Recombinant Human Serine protease HTRA2, mitochondrial protein (334-458AA)
-
免疫原種屬:Homo sapiens (Human)
-
標記方式:Non-conjugated
本頁面中的產品,HTRA2 Antibody (CSB-PA010902EA01HU),的標記方式是Non-conjugated。對于HTRA2 Antibody,我們還提供其他標記。見下表:
-
克隆類型:Polyclonal
-
抗體亞型:IgG
-
純化方式:>95%, Protein G purified
-
濃度:It differs from different batches. Please contact us to confirm it.
-
保存緩沖液:Preservative: 0.03% Proclin 300
Constituents: 50% Glycerol, 0.01M PBS, pH 7.4 -
產品提供形式:Liquid
-
應用范圍:ELISA, WB, IHC, IP
-
推薦稀釋比:
Application Recommended Dilution WB 1:500-1:5000 IHC 1:20-1:200 IP 1:200-1:2000 -
Protocols:
-
儲存條件:Upon receipt, store at -20°C or -80°C. Avoid repeated freeze.
-
貨期:Basically, we can dispatch the products out in 1-3 working days after receiving your orders. Delivery time maybe differs from different purchasing way or location, please kindly consult your local distributors for specific delivery time.
-
用途:For Research Use Only. Not for use in diagnostic or therapeutic procedures.
相關產品
靶點詳情
-
功能:Serine protease that shows proteolytic activity against a non-specific substrate beta-casein. Promotes or induces cell death either by direct binding to and inhibition of BIRC proteins (also called inhibitor of apoptosis proteins, IAPs), leading to an increase in caspase activity, or by a BIRC inhibition-independent, caspase-independent and serine protease activity-dependent mechanism. Cleaves THAP5 and promotes its degradation during apoptosis. Isoform 2 seems to be proteolytically inactive.
-
基因功能參考文獻:
- The association between the change in HtrA2 and proteins associated with LATS1 in ovarian serous cancer cell lines after repeated treatment with cisplatin was evaluated in vitro. In immunohistochemical analysis, repeated cisplatin treatment induced downregulation of HtrA2 protein expression, before and after cisplatin-based chemotherapy in SAC. PMID: 29168038
- STEMI patients with elevated circulating HtrA2 levels were identified as having ischemia-reperfusion injury. PMID: 28602551
- The important functions for HTRA2 in programmed cell death. PMID: 27696117
- A pathogenic role of serine protease HtrA2 in Parkinson's and Alzheimer's diseases has been described. (Review) PMID: 26965693
- The first report of recessive deleterious mutations in HTRA2 in human. Absence of HTRA2/Omi is associated with severe neurodegenerative disorder of infancy, abnormal mitochondria, 3-methylglutaconic aciduria and increased sensitivity to apoptosis. PMID: 27208207
- HTRA2 and ANO3 mutations are not common causes of essential tremor PMID: 27881096
- HtrA2 under stress conditions induces vimentin cleavage in wild-type and SH-SY5Y cells transfected with ABP with the Alzheimer disease-associated Swedish mutation. Interplay between Omi/HtrA2 and vimentin affects mitochondrial distribution in neurons. PMID: 25288153
- The a5 helix of PDZ was involved in both, the intra- and intersubunit changes of interactions and thus seems to play an important role in HtrA2 activation. PMID: 26702898
- study examined the association of HTRA2 p.G399S mutation with essential tremor(ET) and Parkinson disease (PD) in Asians and found that HTRA2 p.G399S is rare and does not appear to play a major role in subjects with coexistent ET and PD nor in those with pure ET or PD phenotype PMID: 25791756
- The NG2 proteoglycan protects oligodendrocyte precursor cells against oxidative stress via interaction with OMI/HtrA2. PMID: 26340347
- Omi/HtrA2 overexpression promotes hepatocellular carcinoma cell apoptosis and the ped/pea-15 expression level causes this difference of the Omi/HtrA2 pro-apoptotic marker in the various hepatocellular carcinoma cell lines PMID: 25484138
- HtrA2 might promote the apoptosis of non-small cell lung cancer cells, and serve as a target for NSCLC's treatment. PMID: 25086674
- Our findings indicate that radiation-inducible gene therapy may have potential to be a more effective and specific therapy for uveal melanoma because the therapeutic gene can be spatially or temporally controlled by exogenous radiation. PMID: 24606398
- HtrA2 expression was a predictor for sensitivity to chemotherapy, and could be a candidate of molecular target in the treatment of high-grade serous ovarian cancers. PMID: 25628093
- results suggest that in some families, HTRA2 p.G399S is responsible for hereditary essential tremor and that homozygotes for this allele develop Parkinson disease PMID: 25422467
- This study shows that PARK13 and PINK1 are subcellular-specific, but dynamic, proteins with a reciprocal molecular relationship. PMID: 24798695
- Rate of HTRA2 sequence variants in Taiwanese Parkinson's disease (PD) is very low; although the HTRA2 R36W variant may contribute to the PD risk in some cases, HTRA2 is not playing a major role in PD pathogenicity PMID: 24337630
- demonstrate a novel N-terminal ligand-mediated triggering of an allosteric switch essential for transforming HtrA2 to a proteolytically competent state in a PDZ-independent yet synergistic activation process PMID: 24698088
- downregulation of Omi/HtrA2 may contribute to the potent anti-atherosclerotic effect of shear stress by preventing endothelial cells from entering apoptosis. PMID: 23123883
- The proteases HtrA2 and UCHL1 regulate TNF-induced necroptosis. PMID: 24090154
- Findings indicate the importance of N-terminal region, oligomerization, and intricate intermolecular PDZ-protease interaction in proper active-site formation, enzyme-substrate complex stabilization, and hence HtrA2 functions. PMID: 23608143
- HTRA2-regulated protein quality control in the intermembrane space of mitochondria is important for the maintenance of mitochondrial homeostasis PMID: 23242108
- platelets have a functional intrinsic apoptotic-signalling pathway including the pro-apoptotic protease Omi/HtrA2 and its target protein XIAP PMID: 23306356
- Results demonstrate that HtrA2 deficiency causes mtDNA damage through ROS generation and mutation, which may lead to mitochondrial dysfunction and consequent triggering of cell death in aging cells. PMID: 23542127
- These studies identified a novel non-canonical selective binding pocket in HtrA2 which initiates signal propagation to the distal active site through a complex allosteric mechanism. PMID: 23457469
- Hepatocellular carcinoma cells may need Omi/HtrA2 expression for apoptosis and Omi/HtrA2 might be an important prognostic marker for primary hepatocellular carcinoma. PMID: 23682386
- Omi/HtrA2 expression is inversely correlated with HIF-1alpha expression in hepatocellular carcinoma. PMID: 22490291
- Identification of a novel anti-apoptotic E3 ubiquitin ligase that ubiquitinates antagonists of inhibitor of apoptosis proteins SMAC, HtrA2, and ARTS. PMID: 23479728
- these results demonstrated that HIF-1alpha suppressed hepatocellular carcinoma cell apoptosis through inhibiting Omi/HtrA2 expression and upregulating Bcl-2 expression to impede Omi/ HtrA2 releasing from the mitochondrion PMID: 23581228
- HtrA2 deficiency in non-neuronal tissues does not cause early lethality, but leads to increased accumulation of mtDNA deletions and premature aging. PMID: 22976834
- study found that the levels of HtrA2 and HtrA3-S were higher in thyroid malignant tumors compared to normal tissues and benign tumors PMID: 22923201
- At a low MOI (=0.01), cytomegalovirus-associated programmed cell death terminates productive infection via a pathway triggered by the mitochondrial serine protease HtrA2/Omi. PMID: 23159167
- HtrA2/Omi exerts a protective function in 6-OHDA-induced cell death by regulating endoplasmic reticulum stress-related proteins. PMID: 22246992
- Low expression of HtrA2 and high expression of WT1 are closely related with occurrence and development of acute leukemia. PMID: 22391154
- HtrA2/Omi, which normally exists in the mitochondria, can cause Matrix metalloproteinase-3 activation in the cytosol under a cell stress condition, which can ultimately lead to demise of dopaminergic neuronal cells PMID: 22265821
- Melatonin inhibited Bax expression and the release of the omi/HtrA2 into the cytoplasm induced by 1 muM rotenone. PMID: 21883444
- HtrA2 and Cdk5 interact in human and mouse cell lines and brain. PMID: 21701498
- In patients of Chinese origin diagnosed with Parkinson's disease (PD), novel variations Of HTRA2 are found: the IVS5+29T>A variant may be a risk factor for PD (P<0.05), while the c.G77A variant might be a pathogenic mutation. PMID: 21338583
- The percentage of mitochondrial dysfunction and apoptosis in cells carrying the HTRA2 Pro143Ala variant was significantly higher than wild-type cells. PMID: 21701785
- These findings suggest that the HtrA2-mediated cleavage of UCH-L1 may play important roles in regulating the fine balance between cell growth and cell death. PMID: 22001920
- Syk drives EBV+ B cell lymphoma survival through PI3K/Akt activation, which prevents the HtrA2-dependent loss of XIAP. Syk, Akt, and XIAP antagonists may present potential new therapeutic strategies for PTLD PMID: 21908615
- Upon IMS stress, overproduction of reactive oxygen species (ROS) and phosphorylation of AKT triggers estrogen receptor (ER) activity, which further upregulates the transcription of the mitochondrial regulator NRF1 and the IMS protease HTRA2. PMID: 21486948
- In the cerebral cortex and hippocampus from patients with Alzheimer's disease, densely accumulated HtrA2/Omi immunoreactivity is scattered, both intracellularly and extracellularly. PMID: 20938363
- HtrA2 was weakly expressed in small lymphocytic lymphoma and in diffuse large b-cell lymphoma. PMID: 21732781
- This largest association study performed revealed no overall strong association of Omi/HtrA2 variants with Parkinson dusease in populations worldwide. PMID: 20036034
- The protective effect of melatonin is likely mediated, in part, by inhibition of peroxynitrate-mediated nitrosative stress, which in turn relieves imbalance of mitochondrial HtrA2-PED signaling and endothelial cell death. PMID: 21198825
- we analyzed the occurrence of the OMI/HTRA2 variants A141S and G399S in Swedish case-control materials for AD and PD and found a weak association of A141S with Alzheimer's disease, but not with Parkinson's disease. PMID: 21163861
- Omi/HtrA2 expression is associated with tumor differentiation, extent of lymph node metastasis, and tumor stage of gastric carcinoma. PMID: 20972909
- Integrin alpha 7 interacts with high temperature requirement A2 (HtrA2) to induce prostate cancer cell death PMID: 20651226
- abnormal accumulations of HtrA2/Omi may occur in several types of motor neuronal inclusions in the anterior horn from sporadic ALS and SOD1-linked familial ALS cases, and that HtrA2/Omi may be associated with the pathogenesis of both types of ALS PMID: 20202124
顯示更多
收起更多
-
相關疾病:3-methylglutaconic aciduria 8 (MGCA8); Parkinson disease 13 (PARK13)
-
亞細胞定位:Mitochondrion intermembrane space. Mitochondrion membrane; Single-pass membrane protein. Note=Predominantly present in the intermembrane space. Released into the cytosol following apoptotic stimuli, such as UV treatment, and stimulation of mitochondria with caspase-8 truncated BID/tBID.
-
蛋白家族:Peptidase S1C family
-
組織特異性:Isoform 1 is ubiquitous. Isoform 2 is expressed predominantly in the kidney, colon and thyroid.
-
數據庫鏈接:
Most popular with customers
-
-
YWHAB Recombinant Monoclonal Antibody
Applications: ELISA, WB, IHC, IF, FC
Species Reactivity: Human, Mouse, Rat
-
Phospho-YAP1 (S127) Recombinant Monoclonal Antibody
Applications: ELISA, WB, IHC
Species Reactivity: Human
-
-
-
-
-















