HSD17B12 Antibody
-
中文名稱:HSD17B12兔多克隆抗體
-
貨號:CSB-PA950658
-
規格:¥1100
-
圖片:
-
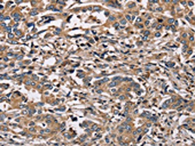
The image on the left is immunohistochemistry of paraffin-embedded Human cervical cancer tissue using CSB-PA950658(HSD17B12 Antibody) at dilution 1/30, on the right is treated with fusion protein. (Original magnification: ×200)
-
The image on the left is immunohistochemistry of paraffin-embedded Human liver cancer tissue using CSB-PA950658(HSD17B12 Antibody) at dilution 1/30, on the right is treated with fusion protein. (Original magnification: ×200)
-
Gel: 8%SDS-PAGE, Lysate: 40 μg, Lane 1-3: A375 cells, hela cells, A172 cells, Primary antibody: CSB-PA950658(HSD17B12 Antibody) at dilution 1/570, Secondary antibody: Goat anti rabbit IgG at 1/8000 dilution, Exposure time: 30 seconds
-
-
其他:
產品詳情
-
Uniprot No.:
-
基因名:HSD17B12
-
別名:HSD17B12; SDR12C1; Very-long-chain 3-oxoacyl-CoA reductase; 17-beta-hydroxysteroid dehydrogenase 12; 17-beta-HSD 12; 3-ketoacyl-CoA reductase; KAR; Estradiol 17-beta-dehydrogenase 12; Short chain dehydrogenase/reductase family 12C member 1
-
宿主:Rabbit
-
反應種屬:Human,Mouse,Rat
-
免疫原:Fusion protein of Human HSD17B12
-
免疫原種屬:Homo sapiens (Human)
-
標記方式:Non-conjugated
-
抗體亞型:IgG
-
純化方式:Antigen affinity purification
-
濃度:It differs from different batches. Please contact us to confirm it.
-
保存緩沖液:-20°C, pH7.4 PBS, 0.05% NaN3, 40% Glycerol
-
產品提供形式:Liquid
-
應用范圍:ELISA,WB,IHC
-
推薦稀釋比:
Application Recommended Dilution ELISA 1:1000-1:2000 WB 1:200-1:1000 IHC 1:50-1:200 -
Protocols:
-
儲存條件:Upon receipt, store at -20°C or -80°C. Avoid repeated freeze.
-
貨期:Basically, we can dispatch the products out in 1-3 working days after receiving your orders. Delivery time maybe differs from different purchasing way or location, please kindly consult your local distributors for specific delivery time.
-
用途:For Research Use Only. Not for use in diagnostic or therapeutic procedures.
相關產品
靶點詳情
-
功能:Catalyzes the second of the four reactions of the long-chain fatty acids elongation cycle. This endoplasmic reticulum-bound enzymatic process, allows the addition of two carbons to the chain of long- and very long-chain fatty acids/VLCFAs per cycle. This enzyme has a 3-ketoacyl-CoA reductase activity, reducing 3-ketoacyl-CoA to 3-hydroxyacyl-CoA, within each cycle of fatty acid elongation. Thereby, it may participate in the production of VLCFAs of different chain lengths that are involved in multiple biological processes as precursors of membrane lipids and lipid mediators. May also catalyze the transformation of estrone (E1) into estradiol (E2) and play a role in estrogen formation.
-
基因功能參考文獻:
- The expression of HSD17B12 increased along with the severity of ovarian cancer, and the expression mimicked COX-2 expression and intensity. This further suggests the involvement of HSD17B12 in AA production, and its coexpression with COX-2 indicates a role for the enzyme in the increased prostaglandin production during ovarian cancer progression. PMID: 29324448
- Significant associations have been found between CpG sites and patient sex, including DNA methylation in CASP6, a gene that may respond to estradiol treatment, and in HSD17B12, which encodes a sex steroid hormone. PMID: 24058506
- These evidences were suggestive of a 46,XY DSD due to 17betaHSD3 deficiency. An homozygous mutation (IVS3 -1 G>C or c.326-1G>C) of the 17betaHSD3 gene was discovered. PMID: 23435447
- HSD17B12 overexpression is shown to be a marker of poor survival in patients with ovarian cancer; expression in the tumor and function of this enzyme facilitates ovarian cancer progression. PMID: 22903146
- High HSD17B12 expression is associated with neoplasms. PMID: 21409596
- 17beta-HSD12 is the major estrogenic 17beta-HSD responsible for the conversion of E1 to E2 in women. PMID: 16166196
- Location of 17beta-hydroxysteroid dehydrogenase type 12 through the human body. PMID: 16621523
- 17beta-HSD12 is not \related to intratumoral estradiol biosynthesis in human breast carcinoma, but is correlated with production of very long chain fatty acids and tumor progresssion. PMID: 19190350
- determined the activity and expression levels of known estrogenic 17beta-HSDs, namely types 1, 7 and 12 17beta-HSD in preadipocytes before and after differentiation into mature adipocytes PMID: 19429442
- There is no difference in catalytic properties between variants of 17beta-HSD types 7 and 12 and wild-type enzymes, while variants p.Glu77Gly and p.Lys183Arg in 17beta-HSD type 5 showed a slightly decreased activity. PMID: 19460435
- SREBP-1 represents one of the transcriptional regulators of human 17beta-HSD12. PMID: 19533843
顯示更多
收起更多
-
亞細胞定位:Endoplasmic reticulum membrane; Multi-pass membrane protein.
-
蛋白家族:Short-chain dehydrogenases/reductases (SDR) family, 17-beta-HSD 3 subfamily
-
組織特異性:Expressed in most tissues tested. Highly expressed in the ovary and mammary. Expressed in platelets.
-
數據庫鏈接:
Most popular with customers
-
-
YWHAB Recombinant Monoclonal Antibody
Applications: ELISA, WB, IHC, IF, FC
Species Reactivity: Human, Mouse, Rat
-
Phospho-YAP1 (S127) Recombinant Monoclonal Antibody
Applications: ELISA, WB, IHC
Species Reactivity: Human
-
-
-
-
-















