HRH4 Antibody
-
中文名稱:HRH4兔多克隆抗體
-
貨號:CSB-PA887972LA01HU
-
規格:¥440
-
圖片:
-
Western Blot
Positive WB detected in: Mouse liver tissue
All lanes: HRH4 antibody at 4μg/ml
Secondary
Goat polyclonal to rabbit IgG at 1/50000 dilution
Predicted band size: 45, 35 kDa
Observed band size: 45 kDa -
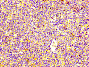
IHC image of CSB-PA887972LA01HU diluted at 1:400 and staining in paraffin-embedded human lymph node tissue performed on a Leica BondTM system. After dewaxing and hydration, antigen retrieval was mediated by high pressure in a citrate buffer (pH 6.0). Section was blocked with 10% normal goat serum 30min at RT. Then primary antibody (1% BSA) was incubated at 4°C overnight. The primary is detected by a biotinylated secondary antibody and visualized using an HRP conjugated SP system.
-
Immunofluorescence staining of MCF-7 cells with CSB-PA887972LA01HU at 1:133, counter-stained with DAPI. The cells were fixed in 4% formaldehyde, permeabilized using 0.2% Triton X-100 and blocked in 10% normal Goat Serum. The cells were then incubated with the antibody overnight at 4°C. The secondary antibody was Alexa Fluor 488-congugated AffiniPure Goat Anti-Rabbit IgG(H+L).
-
-
其他:
產品詳情
-
產品名稱:Rabbit anti-Homo sapiens (Human) HRH4 Polyclonal antibody
-
Uniprot No.:
-
基因名:
-
別名:HRH4; GPCR105; Histamine H4 receptor; H4R; HH4R; AXOR35; G-protein coupled receptor 105; GPRv53; Pfi-013; SP9144
-
宿主:Rabbit
-
反應種屬:Human, Mouse
-
免疫原:Recombinant Human Histamine H4 receptor protein (204-292AA)
-
免疫原種屬:Homo sapiens (Human)
-
標記方式:Non-conjugated
本頁面中的產品,HRH4 Antibody (CSB-PA887972LA01HU),的標記方式是Non-conjugated。對于HRH4 Antibody,我們還提供其他標記。見下表:
-
克隆類型:Polyclonal
-
抗體亞型:IgG
-
純化方式:>95%, Protein G purified
-
濃度:It differs from different batches. Please contact us to confirm it.
-
保存緩沖液:Preservative: 0.03% Proclin 300
Constituents: 50% Glycerol, 0.01M PBS, pH 7.4 -
產品提供形式:Liquid
-
應用范圍:ELISA, WB, IHC, IF
-
推薦稀釋比:
Application Recommended Dilution WB 1:500-1:5000 IHC 1:200-1:500 IF 1:50-1:200 -
Protocols:
-
儲存條件:Upon receipt, store at -20°C or -80°C. Avoid repeated freeze.
-
貨期:Basically, we can dispatch the products out in 1-3 working days after receiving your orders. Delivery time maybe differs from different purchasing way or location, please kindly consult your local distributors for specific delivery time.
-
用途:For Research Use Only. Not for use in diagnostic or therapeutic procedures.
相關產品
靶點詳情
-
功能:The H4 subclass of histamine receptors could mediate the histamine signals in peripheral tissues. Displays a significant level of constitutive activity (spontaneous activity in the absence of agonist).
-
基因功能參考文獻:
- these findings reveal that rs11662595 is a loss-of-function polymorphism that results in dysfunction of HRH4 and attenuates the anti-epithelial-to-mesenchymal transition function of HRH4 in non-small cell lung cancer (NSCLC), which provides a promising biomarker for prognosis and therapy of NSCLC. PMID: 28847511
- Taken together, the silencing of H4R inhibited the H4R mediated Mast cell functions and SAPK/JNK phosphorylation. Furthermore, the H4R activation utilized SAPK/JNK signaling pathway for IL-1beta release in HMC-1 cells PMID: 29863427
- Our novel scientific data provide further indication that histamine, in particular via the H4R, plays a potent role in the pathophysiology of allergic diseases through tight control of Th1-Th2 mediator production favoring Th2 lymphocyte accumulation in inflamed tissues. Our results add to a growing evidence of data suggesting that the H4R may serve as a therapeutic target in allergic diseases. PMID: 29600327
- The expression of H4R was increased in peripheral blood monocytes in rheumatoid arthritis patients. Histamine and Th17 cytokines induced the osteoclast differentiation from monocytes and JNJ7777120 decreased the osteoclastogenesis. PMID: 28446753
- H1R and H4R are useful biomarkers of allergic inflammation on the ocular surface. Most notably, H4R expressed on eosinophils is useful as a biomarker of eosinophilic inflammation of the ocular surface. PMID: 28391980
- Histamine stimulation influences the IL-17 pathway in psoriasis via the fourth histamine receptor subtype, H4R, on CD4+ T cells. PMID: 28592369
- This study suggests that genetic variations within the HRH4 gene might be associated with special clinical features of psoriasis. PMID: 27725312
- Our findings provide evidence that HRH4 rs77485247 and rs77041280 polymorphisms may be associated with the risk of allergic rhinitis (AR) and the efficacy of H1 antihistamines for the treatment of AR patients. PMID: 27888642
- These data imply that the H4R regulates IgE-dependent processes in human basophils and provides a novel function of the H4R preventing an overwhelming immune reaction by engagement of a negative feedback loop. PMID: 26948974
- Pharmacological or genetic modulations of H2 and H4 HRs (H2R and H4R) not only suppressed gefitinib-induced cytostasis and differentiation of AML cells but also blocked EGFR and ERK1/2 inhibition in MDA-MB-231 cells PMID: 27180173
- Histamine H4 receptors could not be identified in five experimental models of the guinea-pig that are suited for the detection of presynaptic inhibitory receptors (hippocampus aorta, atrium, renal cortex and vas deferens) whereas H3 receptors could be shown in the peripheral tissues but not in the hippocampus PMID: 26211976
- Taken together these data demonstrate that compound A and compound L may block H4R-mediated downstream signaling events. PMID: 27807993
- We also found that the activation of H4R caused the release of IL-13 and RANTES on human mast cells.these data demonstrate that the H4R activates divergent signaling pathways to induce cytokine and chemokine production in human mast cells PMID: 27400655
- H4R may be involved in the maintenance of healthy oral mucosa. In oral lichen planus, this maintenance might be impaired by mast cell degranulation and inflammatory cytokines. PMID: 25207698
- Activation of the H4R could induce phosphorylation of ERK. PMID: 26828993
- Suggest roles for HRH4 polymorphisms and ankylosing spondylitis susceptibility. PMID: 26823878
- H4 receptor expression plays a role in pathological vessel leakage associated with choroidal neovascularization PMID: 24787705
- Molecular modelling studies, including molecular dynamic simulations and calculation of Gibbs energy of solvation of hH3R and hH4R, were studied. PMID: 25098339
- Functional H4 receptors increasing (35)S-GTPgammaS binding and/or decreasing noradrenaline release are not found in human, guinea pig or mouse cortex PMID: 25300787
- HRH4 was increased in clinically-isolated syndrome and different stages of multiple sclerosis compared to health control. PMID: 25293806
- No evidence was found for the presence of histamine H4 receptor in monocytes. PMID: 25273276
- In neutrophils, the H4 receptor may block signals emanating from Mac-1-controlling degranulation. Engagement of the H4 receptor by selective agonists blocked Mac-1-dependent activation of p38 MAPK. PMID: 24799603
- The activation of H4R in human mast cells produced not only inflammatory mediators that are associated with allergic reactions but also other inflammatory conditions. PMID: 24934979
- Increased expression of the H4 receptor was observed in HaCaT cells following differentiation. PMID: 24372819
- Histamine through the histamine H4 receptor exhibits a crucial role in breast tumour progression. PMID: 23425150
- Obtained results allow for statement that developed cellular model may be successfully employed in search for new compounds active at histamine H4 receptor PMID: 24432340
- Methyl substitution in histamine homologs offers a way to shift the selectivity in favor of the H4R. PMID: 24493592
- But carriers of one or three copies of HRH1 (5% of individuals), HRH2 (1.1%) and HRH4 genes (0.9%) were also identified. PMID: 24236486
- Data show down-regulation of cyclic adenosine monophosphate (cAMP) was the secondary signalling after H4 receptor activation, which in turn resulting in inactivation of transforming growth factor-beta1(TGF-beta1) pathway. PMID: 24447834
- The inhibitory effects of histamine on reactive oxygen species production in whole blood phagocytes are caused by H2R rather than H4R histamine receptors. PMID: 24530738
- H4R is highly expressed on keratinocytes from patients with atopic dermatitis, and its stimulation induces keratinocyte proliferation. PMID: 23932072
- In this review, we focus on the role of histamine and its receptors in the treatment of Alzheimer's disease. PMID: 23677734
- Copy number variationss of the HRH4 gene are associated with atopic dermatitis in a Chinese population. PMID: 23517361
- Histamine receptor-4-mRNA expression showed a significant increase in caudate nucleus and putamen in Parkinson's disease patients. PMID: 22118942
- Genotypes of HRH4 gene are signi fi cantly associated with the risk and malignant degree of breast cancer in Chinese Han populations. PMID: 23481304
- The efficacy of 31 known hHR ligands to induce Galpha(i) protein signaling and beta-arrestin2 recruitment by the hHR. PMID: 22973061
- Report down-regulation of HRH4 mRNA in synovial tissue from rheumatoid arthritis patients compared to those with osteoarthritis. PMID: 21881994
- Twenty-one SNPs of the HRH4 gene were genotyped in 313 asthmatic patients and 360 controls. Genotype distribution of three SNPs rs17187619, rs527790 and rs487202 differed significantly between patients with or without infection-induced asthma. PMID: 22653292
- study identified novel functional properties in terms of voltage sensitivities and deactivation rates, which differed between the histamine hH3445, hH3365, and H4 receptors PMID: 22885137
- analysis of fragment optimization and analysis of binding kinetics for ligand based design of novel histamine H receptor antagonists PMID: 22153663
- Deletion of HRH4 gene is present in gastric cancer cases and is closely correlated with attenuated gene expression. PMID: 22363581
- fundamental concepts of HR structure modeling and its implementation in drug discovery (review) PMID: 22201741
- histamine H(4) receptor as an attractive target in the treatment of inflammatory and autoimmune disorders PMID: 21741967
- Histamine H4 receptors were found in normal nasal mucosa, and increased significantly in nasal mucosa of allergic rhinitis patients. PMID: 21171298
- our results indicate that the H(4)R is highly expressed on plasmacytoid dendritic cells in psoriasis and influences cytokine production and migration of these cells PMID: 21614010
- These findings suggested a potential role of abnormal HRH4 expression in the progression of CRCs PMID: 21609450
- we describe a possible genetic impact on the expression level of the histamine H4 receptor and summarize the current data regarding the activity of the histamine H4 receptor on the key effector cells in atopic dermatitis PMID: 21104170
- slan-dendritic cells (slanDC) express the H(4) R and its stimulation leads to reduced pro-inflammatory capacity of slanDC PMID: 20722760
- Copy number variations of the human histamine H4 receptor gene are associated with systemic lupus erythematosus PMID: 20618322
- Langerhans cells express a functional H(4)R and point towards a possible pathogenic relevance of the H(4)R in inflammatory and allergic diseases. PMID: 19958313
顯示更多
收起更多
-
亞細胞定位:Cell membrane; Multi-pass membrane protein.
-
蛋白家族:G-protein coupled receptor 1 family
-
組織特異性:Expressed primarily in the bone marrow and eosinophils. Shows preferential distribution in cells of immunological relevance such as T-cells, dendritic cells, monocytes, mast cells, neutrophils. Also expressed in a wide variety of peripheral tissues, inclu
-
數據庫鏈接:
Most popular with customers
-
-
YWHAB Recombinant Monoclonal Antibody
Applications: ELISA, WB, IHC, IF, FC
Species Reactivity: Human, Mouse, Rat
-
Phospho-YAP1 (S127) Recombinant Monoclonal Antibody
Applications: ELISA, WB, IHC
Species Reactivity: Human
-
-
-
-
-















