HMGCS2 Antibody
-
中文名稱:HMGCS2兔多克隆抗體
-
貨號:CSB-PA187322
-
規格:¥1100
-
圖片:
-
The image on the left is immunohistochemistry of paraffin-embedded Human gastic cancer tissue using CSB-PA187322(HMGCS2 Antibody) at dilution 1/40, on the right is treated with synthetic peptide. (Original magnification: ×200)
-
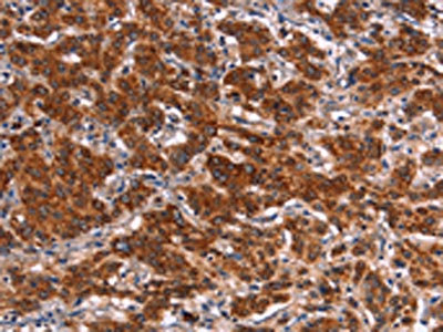
The image on the left is immunohistochemistry of paraffin-embedded Human liver cancer tissue using CSB-PA187322(HMGCS2 Antibody) at dilution 1/40, on the right is treated with synthetic peptide. (Original magnification: ×200)
-
Gel: 8%SDS-PAGE, Lysate: 40 μg, Lane: Human fetal liver tissue, Primary antibody: CSB-PA187322(HMGCS2 Antibody) at dilution 1/300, Secondary antibody: Goat anti rabbit IgG at 1/8000 dilution, Exposure time: 30 seconds
-
-
其他:
產品詳情
-
Uniprot No.:
-
基因名:
-
別名:3 hydroxy 3 methylglutaryl Coenzyme A synthase 2 (mitochondrial) antibody; 3 hydroxy 3 methylglutaryl Coenzyme A synthase 2 antibody; 3 hydroxy 3 methylglutaryl coenzyme A synthase antibody; 3-hydroxy-3-methylglutaryl coenzyme A synthase antibody; HMCS2_HUMAN antibody; HMG CoA synthase antibody; HMG-CoA synthase antibody; HMGCS 2 antibody; HMGCS2 antibody; Hydroxymethylglutaryl CoA synthase antibody; Hydroxymethylglutaryl CoA synthase mitochondrial antibody; Hydroxymethylglutaryl-CoA synthase antibody; mitochondrial antibody
-
宿主:Rabbit
-
反應種屬:Human
-
免疫原:Synthetic peptide of Human HMGCS2
-
免疫原種屬:Homo sapiens (Human)
-
標記方式:Non-conjugated
-
抗體亞型:IgG
-
純化方式:Antigen affinity purification
-
濃度:It differs from different batches. Please contact us to confirm it.
-
保存緩沖液:-20°C, pH7.4 PBS, 0.05% NaN3, 40% Glycerol
-
產品提供形式:Liquid
-
應用范圍:ELISA,WB,IHC
-
推薦稀釋比:
Application Recommended Dilution ELISA 1:1000-1:2000 WB 1:200-1:1000 IHC 1:50-1:200 -
Protocols:
-
儲存條件:Upon receipt, store at -20°C or -80°C. Avoid repeated freeze.
-
貨期:Basically, we can dispatch the products out in 1-3 working days after receiving your orders. Delivery time maybe differs from different purchasing way or location, please kindly consult your local distributors for specific delivery time.
-
用途:For Research Use Only. Not for use in diagnostic or therapeutic procedures.
相關產品
靶點詳情
-
功能:Catalyzes the first irreversible step in ketogenesis, condensing acetyl-CoA to acetoacetyl-CoA to form HMG-CoA, which is converted by HMG-CoA reductase (HMGCR) into mevalonate.
-
基因功能參考文獻:
- several nutrients as well as specific nutritional related hormonal conditions are able to affect significantly HMGCS2 gene expression. PMID: 28888048
- miR-107-mediated decrease of HMGCS2 indicates poor outcomes and promotes cell migration in hepatocellular carcinoma PMID: 28867541
- this studies demonstrate that HMGCS2 functions as a transcriptional factor that binds to peroxisome proliferator-activated receptor alpha (PPARalpha), resulting in Src expression and activation in a metabolically independent manner PMID: 27816970
- HMGCS2 shares with ketone bodies common features in autophagic clearance of APP, suggesting that ketone bodies play an important role in HMGCS2 regulation of the autophagy. PMID: 28320515
- High expression of either HSD17B2 or HMGCS2 predicted poor susceptibility of rectal cancer to preoperative chemoradiotherapy. PMID: 25929810
- FABP7 and HMGCS2 may have roles in apocrine differentiation categorizing apocrine carcinoma of the breast PMID: 25389781
- In Fe-S cluster-deficient muscles, results show a dramatic up-regulation of the ketogenic enzyme HMGCS2 and the secreted protein FGF21 (fibroblast growth factor 21). PMID: 23943793
- Human HMGCS2 regulates mitochondrial fatty acid oxidation and FGF21 expression PMID: 21502324
- Ketogenesis is an undesirable metabolic characteristic of the proliferating cell, which is down-regulated through c-Myc-mediated repression of the key metabolic gene HMGCS2. PMID: 16940161
顯示更多
收起更多
-
相關疾病:3-hydroxy-3-methylglutaryl-CoA synthase-2 deficiency (HMGCS2D)
-
亞細胞定位:Mitochondrion.
-
蛋白家族:HMG-CoA synthase family
-
組織特異性:Expression in liver is 200-fold higher than in any other tissue. Low expression in colon, kidney, testis, and pancreas. Very low expression in heart and skeletal muscle. Not detected in brain.; [Isoform 3]: Highest expression detected in heart and skeleta
-
數據庫鏈接:
Most popular with customers
-
-
YWHAB Recombinant Monoclonal Antibody
Applications: ELISA, WB, IHC, IF, FC
Species Reactivity: Human, Mouse, Rat
-
Phospho-YAP1 (S127) Recombinant Monoclonal Antibody
Applications: ELISA, WB, IHC
Species Reactivity: Human
-
-
-
-
-















