HHIP Antibody
-
中文名稱:HHIP兔多克隆抗體
-
貨號:CSB-PA850419LA01HU
-
規格:¥440
-
圖片:
-
Western Blot
Positive WB detected in: K562 whole cell lysate
All lanes: HHIP antibody at 1:2000
Secondary
Goat polyclonal to rabbit IgG at 1/50000 dilution
Predicted band size: 79, 37 kDa
Observed band size: 79 kDa -
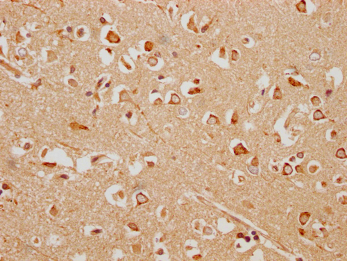
IHC image of CSB-PA850419LA01HU diluted at 1:200 and staining in paraffin-embedded human brain tissue performed on a Leica BondTM system. After dewaxing and hydration, antigen retrieval was mediated by high pressure in a citrate buffer (pH 6.0). Section was blocked with 10% normal goat serum 30min at RT. Then primary antibody (1% BSA) was incubated at 4°C overnight. The primary is detected by a Goat anti-rabbit polymer IgG labeled by HRP and visualized using 0.05% DAB.
-
-
其他:
產品詳情
-
產品名稱:Rabbit anti-Homo sapiens (Human) HHIP Polyclonal antibody
-
Uniprot No.:
-
基因名:
-
別名:Hedgehog-interacting protein (HHIP) (HIP), HHIP, HIP
-
宿主:Rabbit
-
反應種屬:Human
-
免疫原:Recombinant Human Hedgehog-interacting protein (183-424aa)
-
免疫原種屬:Homo sapiens (Human)
-
標記方式:Non-conjugated
本頁面中的產品,HHIP Antibody (CSB-PA850419LA01HU),的標記方式是Non-conjugated。對于HHIP Antibody,我們還提供其他標記。見下表:
-
克隆類型:Polyclonal
-
抗體亞型:IgG
-
純化方式:>95%, Protein G purified
-
濃度:It differs from different batches. Please contact us to confirm it.
-
保存緩沖液:Preservative: 0.03% Proclin 300
Constituents: 50% Glycerol, 0.01M PBS, pH 7.4 -
產品提供形式:Liquid
-
應用范圍:ELISA, WB, IHC
-
推薦稀釋比:
Application Recommended Dilution WB 1:1000-1:5000 IHC 1:100-1:500 -
Protocols:
-
儲存條件:Upon receipt, store at -20°C or -80°C. Avoid repeated freeze.
-
貨期:Basically, we can dispatch the products out in 1-3 working days after receiving your orders. Delivery time maybe differs from different purchasing way or location, please kindly consult your local distributors for specific delivery time.
-
用途:For Research Use Only. Not for use in diagnostic or therapeutic procedures.
相關產品
靶點詳情
-
功能:Modulates hedgehog signaling in several cell types including brain and lung through direct interaction with members of the hedgehog family.
-
基因功能參考文獻:
- The rate of methylation of ZIC1, ZIC4, HHIP, and DACT2 in tumors was very high, while methylation of CXXC4 was low to moderate in OSCC and LSCC. PMID: 27553089
- Genetic variants in HHIP were related with FEV1/FVC in Chronic Obstructive Pulmonary Disease (COPD). Significant relationships between risk alleles and risk genotypes and FEV1/FVC in COPD were also identified. PMID: 28929109
- HHIP underexpression is associated with lung adenocarcinoma. PMID: 27015549
- HHIP plays a role in lung branching development, and reduced levels of HHIP ultimately result in lung hypoplasia. PMID: 27845578
- Single nucleotide polymorphism in HHIP gene is associated with chronic obstructive pulmonary disease. PMID: 28939338
- loss of AT2 R is associated with podocyte loss/dysfunction and is mediated, at least in part, via augmented ectopic hedgehog interacting protein expression in podocytes PMID: 28722118
- this study shows that HHIP confers a risk for airway obstruction in general that is not driven exclusively by cigarette smoking, which is the main risk factor for chronic obstructive pulmonary disease PMID: 27612410
- Results showed that smoking and HHIP variant rs7654947 were associated with chronic obstructive pulmonary disease (COPD)development and lung function decline. Moreover, we found that cigarette smoking and gene susceptibility have cooperative effects on COPD risk and lung function decline PMID: 28640141
- This work supports a feasible vicious cycle in which EMPs generated during endothelial injury, in turn, aggravate endothelial damage by carrying HHIP into target ECs, contributing to the continuously deteriorating endothelial damage in the development of aGVHD. EMPs harboring HHIP would represent a potential therapeutic target for aGVHD. PMID: 27009877
- HHIP expression and Gli1 expression were independent prognostic factors in glioblastoma. PMID: 26482617
- HHIP - candidate gene for Chronic Obstructive Pulmonary Disease identified by Genome-wide association studies. PMID: 26527870
- Shh-mediated degradation of Hhip allows cell autonomous and non-cell autonomous Shh signaling. PMID: 25215859
- HHIP might be a diagnostic or prognostic marker in glioma and help to the detection of these tumors in early stages of disease. PMID: 25416442
- HHIP is located within genes previously associated with chronic obstructive pulmonary disease susceptibility. PMID: 25006744
- Genetic variants in HHIP are associated with FEV1 in subjects with chronic obstructive pulmonary disease. PMID: 23731023
- The data demonstrated that loss of expression of HHIP and PTCH is associated with the methylation of gene promoters PMID: 23440386
- We show that GPC3, an hepatocellular carcinoma biomarker and Hh mediator, regulates human stellate cell viability by regulating Hh signaling. PMID: 24439425
- Data indicate that the Shh signaling transduction is facilitated by binding of Shh to its receptor protein, Ptch, and show the complex structure of Shh-Hhip. PMID: 23935859
- our study suggests that the HHIP gene may be involved in COPD susceptibility in Chinese Han population. PMID: 23994291
- HHIP, HDAC4, NCR3 and RARB polymorphisms may have a role in impaired lung function that begins in early life PMID: 23456936
- Identification of potential HHIP targets of gene expression regulation in chronic obstructive pulmonary disease. PMID: 23459001
- These data suggest that activated Hedgehog signalling contributes to the biology of human fetal rhabdomyomas. PMID: 23780909
- Results suggest involvement of the Hedgehog pathway in CPHD and that both SHH and HHIP are investigated as a second screening in CPHD, after mutations in the classical CPHD genes have been ruled out. PMID: 22897141
- no correlation between hedgehog activity and SHH, Gli1 and Patched1 mRNA levels was observed. other mechanisms aside from transcriptional regulation of these factors are responsible for hedgehog activity in tumor cells derived from GBM. PMID: 22406999
- GDC-0449 treatment is pharmacodynamically effective as evidenced by paracrine Hedgehog signaling inhibition and results in prostate cancer cell proliferation reduction. PMID: 22457212
- Low HHIP expression is associated with chronic obstructive pulmonary disease. PMID: 22140090
- Resveratrol inhibits proliferation and induces apoptosis through the hedgehog signaling pathway in pancreatic cancer cells.( PMID: 22301921
- Mutation of the hedgehog signaling patwhway play a key role in the development of basal cell carrcinomas. PMID: 20800318
- results suggest the possibility of epigenetic regulation of HHIP in medulloblastoma PMID: 20853133
- We found that HIP, PDGFRalpha, SMO and Su(Fu) gene highly expressed in the primary esophageal squamous cell carcinomas PMID: 21210262
- A subset of normal lung function genes, including HHIP, FAM13A, and PTCH1, together predict lung function abnormalities, a measure of severity in white and African American subjects with asthma. PMID: 21397937
- the GG genotype of the rs 1489759 HHIP single-nucleotide polymorphism (SNP) and the CC genotype of the rs 2202507 GYPA SNP confers a ''protective'' effect on COPD (OR 0.59, p50.006 for HHIP and OR50.65, p50.006 for GYPA) and lung cancer. PMID: 21119205
- The HHIP locus was associated with the systemic components of COPD and with the frequency of COPD exacerbations. PMID: 20656943
- Genetic variation near the Hip gene was significantly associated with risk of COPD, depending on the number of pack-years of smoking. PMID: 19996190
- These results suggest that reduced expression of HIP, a naturally occurring Hh pathway antagonist, in tumor neo-vasculature may contribute to increased Hh signaling within the tumor and possibly promote angiogenesis. PMID: 15294024
- The different pattern of expression and abnormal localization in the diseased pancreas suggest that the enhanced activation of hedgehog signaling in in pancreatic cancer and pancreatic duct carcinoma. PMID: 15754313
- Aberrant methylation of the Human Hedgehog interacting protein is associated with pancreatic neoplasms PMID: 15970691
- The down-regulation of HHIP transcription is due to DNA hypermethylation and/or loss of heterozygoty in hepatocellular carcinoma. PMID: 18559595
- Genome-wide significant association of the HHIP locus with lung function. The CHRNA 3/5 and the HHIP loci make a significant contribution to the risk of COPD. PMID: 19300482
- Results propose a role for Hedgehog-interacting protein as a structural decoy receptor for vertebrate Hedgehog. PMID: 19561609
- Results describe a series of crystal structures for the human Hedgehog-interacting protein ectodomain and Desert hedgehog (DHH) in isolation, as well as HHIP in complex with DHH (HHIP-DHH) and Sonic hedgehog (Shh) (HHIP-Shh), with and without Ca2+. PMID: 19561611
- show in mice and in human cartilage explants that pharmacological or genetic inhibition of Hh signaling reduces the severity of osteoarthritis and that RUNX2 potentially mediates this process by regulating ADAMTS5 expression PMID: 19915594
顯示更多
收起更多
-
亞細胞定位:Cell membrane; Peripheral membrane protein. Secreted. Note=The last 22 C-terminal amino acids may participate in cell membrane attachment.; [Isoform 2]: Cytoplasm.
-
蛋白家族:HHIP family
-
組織特異性:Widely expressed in fetal and adult tissues. Highest expression in adult heart, liver and pancreas, and in fetal kidney.
-
數據庫鏈接:
Most popular with customers
-
-
YWHAB Recombinant Monoclonal Antibody
Applications: ELISA, WB, IHC, IF, FC
Species Reactivity: Human, Mouse, Rat
-
Phospho-YAP1 (S127) Recombinant Monoclonal Antibody
Applications: ELISA, WB, IHC
Species Reactivity: Human
-
-
-
-
-















