HAVCR1 Antibody
-
中文名稱:HAVCR1兔多克隆抗體
-
貨號:CSB-PA09995A0Rb
-
規格:¥440
-
圖片:
-
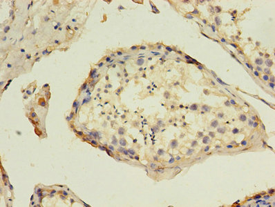
Immunohistochemistry of paraffin-embedded human testis tissue using CSB-PA09995A0Rb at dilution of 1:100
-
Western Blot
Positive WB detected in: Mouse liver tissue, Mouse brain tissue, Mouse thymus tissue
All lanes: HAVCR1 antibody at 4µg/ml
Secondary
Goat polyclonal to rabbit IgG at 1/50000 dilution
Predicted band size: 39 kDa
Observed band size: 39 kDa
-
-
其他:
產品詳情
-
產品描述:
The recombinant human Hepatitis A virus cellular receptor 1 protein (21-290aa) was used to immunize a rabbit. The rabbit serum was protein G affinity-purified to obtain a polyclonal antibody with few impurities. Its purity is measured up to 95%.
This rabbit anti-human HAVCR1 polyclonal antibody is reactive with human and mouse HAVCR1 protein. Its quality and functionality have been verified in the ELISA, WB, and IHC assays. This antibody can be employed to detect and localize the HAVCR1 protein in the process of exploring the function of the HAVCR1 protein.
-
產品名稱:Rabbit anti-Homo sapiens (Human) HAVCR1 Polyclonal antibody
-
Uniprot No.:
-
基因名:
-
別名:CD365 antibody; HAVCR 1 antibody; HAVCR antibody; HAVcr-1 antibody; Havcr1 antibody; Hepatitis A virus cellular receptor 1 antibody; Kidney injury molecule 1 antibody; KIM 1 antibody; KIM-1 antibody; T cell immunoglobin domain and mucin domain protein 1 antibody; T cell immunoglobulin mucin family member 1 antibody; T cell immunoglobulin mucin receptor 1 antibody; T-cell immunoglobulin and mucin domain-containing protein 1 antibody; T-cell membrane protein 1 antibody; TIM antibody; TIM-1 antibody; TIM1 antibody; TIMD 1 antibody; TIMD-1 antibody; TIMD1 antibody; TIMD1_HUMAN antibody
-
宿主:Rabbit
-
反應種屬:Human, Mouse
-
免疫原:Recombinant Human Hepatitis A virus cellular receptor 1 protein (21-290AA)
-
免疫原種屬:Homo sapiens (Human)
-
標記方式:Non-conjugated
本頁面中的產品,HAVCR1 Antibody (CSB-PA09995A0Rb),的標記方式是Non-conjugated。對于HAVCR1 Antibody,我們還提供其他標記。見下表:
-
克隆類型:Polyclonal
-
抗體亞型:IgG
-
純化方式:>95%, Protein G purified
-
濃度:It differs from different batches. Please contact us to confirm it.
-
保存緩沖液:Preservative: 0.03% Proclin 300
Constituents: 50% Glycerol, 0.01M PBS, PH 7.4 -
產品提供形式:Liquid
-
應用范圍:ELISA, WB, IHC
-
推薦稀釋比:
Application Recommended Dilution WB 1:500-1:5000 IHC 1:20-1:200 -
Protocols:
-
儲存條件:Upon receipt, store at -20°C or -80°C. Avoid repeated freeze.
-
貨期:Basically, we can dispatch the products out in 1-3 working days after receiving your orders. Delivery time maybe differs from different purchasing way or location, please kindly consult your local distributors for specific delivery time.
-
用途:For Research Use Only. Not for use in diagnostic or therapeutic procedures.
相關產品
靶點詳情
-
功能:May play a role in T-helper cell development and the regulation of asthma and allergic diseases. Receptor for TIMD4. May play a role in kidney injury and repair.; (Microbial infection) Acts as a receptor for Hepatitis A virus.; (Microbial infection) Acts as a receptor for Ebolavirus and Marburg virus by binding exposed phosphatidyl-serine at the surface of virion membrane. Serves as a dual receptor for Ebolavirus by also interacting with envelope glycoprotein GP.; (Microbial infection) Acts as a receptor for Dengue virus by binding exposed phosphatidyl-serine at the surface of virion membrane.; (Microbial infection) Acts as a receptor for Zika virus by binding to envelope protein E.
-
基因功能參考文獻:
- neither the inflammatory biomarker calprotectin, nor the tubular biomarkers NGAL and KIM-1, provide robust prognostic information on the loss of renal function in a heterogeneous CKD population. All of them, however, are candidate prognostic biomarkers in primarily inflammatory renal diseases. PMID: 30078006
- High KIM1 expression is associated with Clear Cell Renal Cell Carcinoma. PMID: 29295730
- Human oligodendrocytes undergo apoptosis when exposed to Sema4A and take up H-ferritin for meeting iron requirements and that these functions are mediated via the Tim-1 receptor. H-ferritin can block Sema4A-mediated cytotoxicity. Sema4A is detectable in the CSF of multiple sclerosis patients and HIV-seropositive persons and can induce oligodendrocyte cell death. PMID: 29457657
- Elevated plasma NT-proBNP and KIM-1 in patients with stage 5 chronic kidney disease (CKD5) undergoing maintenance hemodialysis (HD) and HF (+) (heart failure)CKD5-HD patients suggest that natriuretic peptides and KIM-1 may contribute to the pathogenesis of HF in CKD5-HD patients. PMID: 28990414
- These findings suggest that the TIMD4-HAVCR1 variants may be the genetic risk factors for coronary heart disease and ischemic strok PMID: 29208769
- These studies provide evidence that, in the absence of a functional alpha-dystroglycan, TIM-1 mediates the entry of Lassa virus pseudoviral particles through interactions of virions with the IgV PtdSer-binding pocket of TIM-1. PMID: 29875238
- total flavone of Desmodium styracifolium inhibited HK-2 cell apoptosis and autophagy by regulating KIM-1 via p38/MAPK pathway. PMID: 29071538
- Polymorphism +4259A>C in exon 3 of the TIM-3 gene is associated with susceptibility to multiple sclerosis but polymorphism -1637C>T in the promoter region of TIM-1 is not. PMID: 29141799
- High KIM1 expression is associated with decreased proximal tubular epithelial cell function. PMID: 29045706
- findings show that TIM1 is not an essential cellular receptor for hepatitis A virus entry into cultured cells PMID: 28874468
- Urinary excretion of KIM-1 correlates with blood lead levels better than other traditional renal injury biomarkers, including N-acetyl-beta-(D)-glucosaminidase, alpha1-microglobulin, and beta2-microglobulin. PMID: 27966578
- promising results were obtained for circulating KIM-1 prediction of renal outcomes in type 1 diabetes--{REVIEW} PMID: 27771693
- data show that in addition to the phospholipid-binding function of HAVCR1, the enhancement of HCV infection involves other determinants in the IgV domain of HAVCR1. These findings expand the repertoire of molecules that HCV uses for cell entry, adding to the already complex mechanism of HCV infection and pathogenesis. PMID: 29321304
- Review/Meta-analysis: suggest that TIM-1-416G[C single nucleotide polymorphism is associated with the risk of asthma for the Asian ethnicity in the codominant (G/G vs. G/C) and dominant (G/G vs. G/C + C/C) genetic models. PMID: 28434117
- Urinary NGAL is a good predictor of mortality in established pediatric acute kidney injury (AKI) of heterogeneous etiology and outperforms calprotectin and KIM-1. Urinary calprotectin and KIM-1 predict renal replacement therapy requirement in pediatric AKI. PMID: 28409285
- A panel consisting of IGFBP1, KIM1, GCLC and GSTM1 genes could be used in combination for early screening of CKDu, whereas these genes in addition with FN1, IGFBP3 and KLK1 could be used to monitor progression of CKDu. The regulation of these genes has to be studied on larger populations to validate their efficiency for further clinical use. PMID: 28103909
- Quantification of TIM-3 and KIM-1 mRNA expressions, along with KIM-1 protein measurements in urine and blood could be employed as promising tools for noninvasive diagnosis of allograft dysfunction. PMID: 28757398
- Report detection of drug-induced acute kidney injury in humans by combining the sensitivity of urinary KIM-1 along with urinary miR-21, -200c, and -423. PMID: 27122240
- measurement of urinary and renal KIM-1 level may be helpful to evaluate severity of renal pathological damage and prognosis in adult Henoch-Schonlein purpura patients with nephritis PMID: 29122357
- Urine KIM-1 level in acute kidney injury patients was significantly higher than that in the healthy controls. PMID: 28212617
- PCNSL is characterized by frequent Tim-1 expression, and its soluble form in CSF may become a useful biomarker for PCNSL. PMID: 27709813
- TIM-1 is a unique marker for the identification of a human IL-10(+) Breg subpopulation which is partially superimposed with transitional B cells PMID: 28103916
- in the current meta-analysis, based on ten prospective studies involving 29366 participants, we evaluated the role of urinary tubular injury markers (NGAL, KIM-1 and NAG) in predicting clinical outcomes including CKD stage 3, end stage renal disease and mortality. PMID: 27907168
- Urinary KIM-1 levels in the acute kidney injury (AKI) preterm infant group were not significantly higher than in no-AKI group on day of life 1, 3 and 7. PMID: 27020372
- We conclude that KIM-1 might serve as a sensitive biomarker to screen children for kidney damage induced by environmental toxic agents, such as chromium and arsenic PMID: 27431456
- These results suggest that a 6-amino acid deletion polymorphism in the mucin domain of TIM-1 protects from HIV-1 infection with a recessive effect. PMID: 27652980
- The present study shows that serum and urine levels of NGAL and KIM-1 are higher in patients with acute kidney injury than in those without acute kidney injury, and that serum NGAL and the presence of chronic kidney disease are significant predictors of acute kidney injury in scrub typhus. PMID: 28419138
- KIM-1 increases albumin endocytosis in renal tubule epithelial cells. PMID: 26332568
- preliminary data indicates that KIM-1 expression may be associated with stage in Wilms Tumor PMID: 27562389
- Urinary KIM-1 and NAG levels were positively correlated. PMID: 27272162
- TLR2, Tim1, Tim3, TNF-alpha, IgE and EOS play a role in Mycoplasma pneumoniae Pneumonia-related wheezing in children. PMID: 27185658
- The results of our study showed that there is no significant association between TIM-1 5383-5397ins/del and Multiple sclerosis (MS) (P = 0.38); however, the frequency of CT genotype of TIM-3 -1541C>T in patient group was significantly higher than the control group, and there was a significant association between CT genotype and MS PMID: 27091308
- Study emphasizes a strong association of the tubular biomarker KIM-1 with chronic kidney disease progression in chronic heart failure and suggests usefulness as cardiorenal marker. PMID: 26422793
- KIM-1 expression also enhances ERK MAPK activation, and the modulatory effect of KIM-1 on cellular repair process is likely mediated via ERK MAPK signaling pathway. PMID: 27084535
- KIM-1 may mediate high glucose-induced autophagy and apoptosis in renal tubular epithelial cells. PMID: 27310004
- Study suggests that TIM1 -416G>C and -1454G>A single nucleotide polymorphisms are associated with dilated cardiomyopathy susceptibility and prognosis in this Han Chinese population. PMID: 27818477
- elevated baseline plasma KIM-1 strongly associated with risk of early progressive renal decline in type 1 diabetes PMID: 26509588
- Urinary KIM-1 levels increased significantly in patients with contrast-induced nephropathy. PMID: 26474236
- Data show that kidney injury molecule (KIM)-1 and neutrophil gelatinase-associated lipocalin (NGAL), were significantly elevated in welding workers post-exposure. PMID: 26673824
- High NGAL and KIM-1 levels may indicate early diabetic kidney injury; however, we did not observe any relationship between these markers and diabetic indices PMID: 26393328
- Kidney injury molecule-1 and neutrophil gelatinase-associated lipocalin excretion rates correlated with excretion rates of other tubular damage markers and predicted outcome in patients with idiopathic membranous nephropathy PMID: 25762211
- The aim of this review article is to summarize the literature data concerning KIM-1 as a potential novel marker in the early diagnosis and prediction of clinical outcome of certain cardiovascular diseases. PMID: 26697493
- Activation of TIM1 by exposing the cells to TIM4 significantly increased the frequency of apoptotic colon cancer cells. The expression of FasL was increased in the cancer cells after treating by TIM4. PMID: 26921445
- Urine KIM1 level was higher in kidney stone patients before lithotripsy than in healthy controls. PMID: 26407192
- Urinary levels of NGAL are more sensitive than uKIM-1 and uL-FABP levels in predicting renal scarring in vesicoureteral reflux. PMID: 26324091
- TIM-1 ligands increase the amount of cell surface protein, preventing its traffic to the immune synapse PMID: 26332704
- Urinary KIM-1 measured 24 h after the start of drug infusion has the potential to detect early AKI in pediatric patients treated with MTX or platinum-class drugs PMID: 26248472
- Urinary KIM-1 is a significant predictor of death in extremely low-birth-weight neonates. PMID: 26107391
- Urinary KIM1 is significantly higher in patients with clear cell renal carcinoma than in controls. Urinary KIM1 decreases after nephrectomy in clear cell renal carcinoma patients. PMID: 27295912
- decreased serum TIM-1 and TIM-3 levels and association of TIM-3 with nephritis suggest their possible role in the development and pathogenesis of systemic lupus erythematosus. PMID: 27049082
顯示更多
收起更多
-
亞細胞定位:Membrane; Single-pass type I membrane protein.
-
蛋白家族:Immunoglobulin superfamily, TIM family
-
組織特異性:Widely expressed, with highest levels in kidney and testis. Expressed by activated CD4+ T-cells during the development of helper T-cells responses.
-
數據庫鏈接:
Most popular with customers
-
-
YWHAB Recombinant Monoclonal Antibody
Applications: ELISA, WB, IHC, IF, FC
Species Reactivity: Human, Mouse, Rat
-
-
-
-
-
-















