Gdf5 Antibody
-
中文名稱:Gdf5兔多克隆抗體
-
貨號:CSB-PA009349LA01MO
-
規格:¥440
-
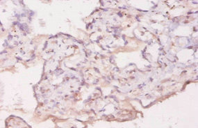
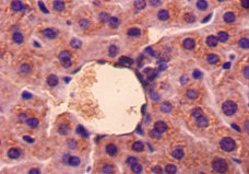
圖片:
-
其他:
產品詳情
-
產品名稱:Rabbit anti-Mus musculus (Mouse) Gdf5 Polyclonal antibody
-
Uniprot No.:
-
基因名:
-
別名:Gdf5 antibody; Bmp14 antibody; Bp antibody; Gdf-5Growth/differentiation factor 5 antibody; GDF-5 antibody; Bone morphogenetic protein 14 antibody; BMP-14 antibody
-
宿主:Rabbit
-
反應種屬:Mouse
-
免疫原:Recombinant Mouse Growth/differentiation factor 5 protein (376-495AA)
-
免疫原種屬:Mus musculus (Mouse)
-
標記方式:Non-conjugated
本頁面中的產品,Gdf5 Antibody (CSB-PA009349LA01MO),的標記方式是Non-conjugated。對于Gdf5 Antibody,我們還提供其他標記。見下表:
-
克隆類型:Polyclonal
-
抗體亞型:IgG
-
純化方式:>95%, Protein G purified
-
濃度:It differs from different batches. Please contact us to confirm it.
-
保存緩沖液:Preservative: 0.03% Proclin 300
Constituents: 50% Glycerol, 0.01M PBS, PH 7.4 -
產品提供形式:Liquid
-
應用范圍:ELISA, IHC
-
推薦稀釋比:
Application Recommended Dilution IHC 1:10-1:100 -
Protocols:
-
儲存條件:Upon receipt, store at -20°C or -80°C. Avoid repeated freeze.
-
貨期:Basically, we can dispatch the products out in 1-3 working days after receiving your orders. Delivery time maybe differs from different purchasing way or location, please kindly consult your local distributors for specific delivery time.
-
用途:For Research Use Only. Not for use in diagnostic or therapeutic procedures.
相關產品
靶點詳情
-
功能:Growth factor involved in bone and cartilage formation. During cartilage development regulates differentiation of chondrogenic tissue through two pathways. Firstly, positively regulates differentiation of chondrogenic tissue through its binding of high affinity with BMPR1B and of less affinity with BMPR1A, leading to induction of SMAD1-SMAD5-SMAD8 complex phosphorylation and then SMAD protein signaling transduction. Secondly, negatively regulates chondrogenic differentiation through its interaction with NOG. Required to prevent excessive muscle loss upon denervation. This function requires SMAD4 and is mediated by phosphorylated SMAD1/5/8. Binds bacterial lipopolysaccharide (LPS) and mediates LPS-induced inflammatory response, including TNF secretion by monocytes.
-
基因功能參考文獻:
- Microarray analysis of satellite cells showed that expression of growth differentiation factor 5 (Gdf5) mRNA was markedly increased in Dnmt3a-KO mice. The DNA methylation level of the Gdf5 promoter was markedly decreased in Dnmt3a-KO satellite cells. PMID: 29146735
- spatiotemporal dynamics of Gdf5 expression may instruct lineage divergence. PMID: 27292641
- he large array of modular enhancers for Gdf5 provide a new foundation for studying the spatial specificity of joint patterning in vertebrates, as well as new candidates for regulatory regions that may also influence osteoarthritis risk in human population PMID: 27902701
- Growth differentiation factor 5 is a novel target-derived factor that promotes sympathetic axon growth and branching and makes a distinctive regional contribution to the establishment of sympathetic innervation. PMID: 26878848
- Dach2 and Hdac9 mediate the effects of muscle activity on muscle reinnervation; Myog and Gdf5 appear to stimulate muscle reinnervation through parallel pathways PMID: 26483211
- Clonal expansion of Gdf5 progenitors contributes to linear growth of the enthesis. PMID: 26141957
- GDF5 might play a critical role in 3T3-L1 preadipocyte differentiation PMID: 25078108
- These results suggest that PI3K/Akt signals play a role in the GDF5-mediated brown adipogenesis through a mechanism related to activation of the Smad pathway. PMID: 24944017
- These results suggest that brown adipogenesis and energy homeostasis are both positively regulated by the GDF5/BMPR/Smad/PGC-1alpha signaling pathway in adipose tissues. PMID: 24062245
- apical and basal dendritic arbours of pyramidal cells throughout the hippocampus were stunted in both homozygous and heterozygous Gdf5 null mutants, indicating that dendrite size and complexity are sensitive to the level of endogenous GDF5 synthesis. PMID: 24173804
- This work implicates SOX11 as a potential regulator of GDF5 expression in joint maintenance and suggests a possible role in the pathogenesis of osteoarthritis PMID: 23356643
- A novel molecular mechanism of a GDF5 mutation affecting chondrogenesis and osteogenesis, is reported. PMID: 21976273
- Data show that revealed notochord cells in Gdf-5-null mice correctly form nuclei pulposi. PMID: 21278629
- Although GDF-5 deficiency did not compromise long-term fracture healing, a delay in cartilage formation and remodeling supports roles for GDF-5 in the early phase of bone repair. PMID: 21590487
- data suggest that decreased GDF5 levels in mice can contribute to osteoarthritis development by different mechanisms including altered loading and subchondral bone changes. PMID: 20805298
- potential target gene of HOXA13 PMID: 20034107
- These observations indicate that GDF-5 regulates differentiation of both dental papilla and follicle during odontogenesis, co-operatively with other growth factors such as BMP-2. PMID: 19909214
- GDF5 deficiency caused a 17% increase in medium diameter (100-225 nm) collagen fibrils in tail tendon, at the expense of larger fibrils. Thus, GDF5 may play a role in tendon homeostasis in mice. PMID: 11913489
- GDF-5-deficient femora were weaker (-31%) and more compliant (-57%) than controls when tested to failure in torsion. PMID: 11996912
- GDF-5 induced cell cycle arrest in the G1 phase before the appearance of apoptosis in mouse B cell hybridoma HS-72 cells PMID: 12464389
- role of single and double mutations in the mouse Gdf6 and Gdf5 genes in multiple joint and skeletal patterning defects PMID: 12606286
- GDF5 regulates expression of connexin 43 promoter in osteoblasts ans embryos PMID: 12881039
- GDF-5 may play an important role in modulating tendon repair. Data are consistent with previously posited roles for GDF-5 in cell recruitment, migration/adhesion, differentiation, proliferation, and angiogenesis. PMID: 12919870
- concordance between the mRNA expression profiles of GDF5 and the gap junction gene, Cx43, in the mouse embryonic limb, spine, and heart, consistent with coordinated functions for these gene products during developmental organogenesis PMID: 14613311
- GDF-5 synergistically enhances de novo bone formation capability of bone marrow mesenchymal cells in hyaluronan composites in rats. PMID: 14661262
- GDF5 has a role in growth of developing joints, including early joint interzones, adult articular cartilage, and the joint capsule PMID: 15492776
- Excessive apoptosis in the absence of GDF5 results in developmental failure of the phalanges. PMID: 15542031
- Deficiency in knockout mice affects biomechanical behavior and ultrastructure of mouse skin. PMID: 16112556
- Results describe 2 mutations in growth and differentiation factor 5 (GDF5) that alter receptor-binding affinities. PMID: 16127465
- Results suggest that CDMP1/GDF5 requires cleavage by two distinct proteolytic enzymes. PMID: 16829522
- Study further highlights a critical role of GDF5 in joint formation and the development of osteoarthritis (OA), and this should serve as a good model for OA. PMID: 17656374
- association of Gdf5-mediated signaling pathways with Trps1 and the phenotypic changes of ATDC5 cells due to over-expression or suppression of Trps1 PMID: 18363966
- Absence of GDF5 does not interfere with lipopolysaccharides toll-like receptor signaling in a mouse model of arthritis. PMID: 19604444
顯示更多
收起更多
-
相關疾病:Defects in Gdf5 are the cause of brachypodism (bp) which alters the length and numbers of bones in the limbs but spares the axial skeleton.
-
亞細胞定位:Secreted. Cell membrane.
-
蛋白家族:TGF-beta family
-
數據庫鏈接:
Most popular with customers
-
-
YWHAB Recombinant Monoclonal Antibody
Applications: ELISA, WB, IHC, IF, FC
Species Reactivity: Human, Mouse, Rat
-
Phospho-YAP1 (S127) Recombinant Monoclonal Antibody
Applications: ELISA, WB, IHC
Species Reactivity: Human
-
-
-
-
-















