GUCA2B Antibody
-
中文名稱:GUCA2B兔多克隆抗體
-
貨號:CSB-PA613693LA01HU
-
規格:¥440
-
圖片:
-
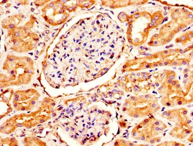
IHC image of CSB-PA613693LA01HU diluted at 1:300 and staining in paraffin-embedded human kidney tissue performed on a Leica BondTM system. After dewaxing and hydration, antigen retrieval was mediated by high pressure in a citrate buffer (pH 6.0). Section was blocked with 10% normal goat serum 30min at RT. Then primary antibody (1% BSA) was incubated at 4°C overnight. The primary is detected by a biotinylated secondary antibody and visualized using an HRP conjugated SP system.
-
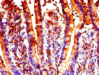
IHC image of CSB-PA613693LA01HU diluted at 1:300 and staining in paraffin-embedded human small intestine tissue performed on a Leica BondTM system. After dewaxing and hydration, antigen retrieval was mediated by high pressure in a citrate buffer (pH 6.0). Section was blocked with 10% normal goat serum 30min at RT. Then primary antibody (1% BSA) was incubated at 4°C overnight. The primary is detected by a biotinylated secondary antibody and visualized using an HRP conjugated SP system.
-
Immunofluorescence staining of HepG2 cells with CSB-PA613693LA01HU at 1:100, counter-stained with DAPI. The cells were fixed in 4% formaldehyde, permeabilized using 0.2% Triton X-100 and blocked in 10% normal Goat Serum. The cells were then incubated with the antibody overnight at 4°C. The secondary antibody was Alexa Fluor 488-congugated AffiniPure Goat Anti-Rabbit IgG(H+L).
-
-
其他:
產品詳情
-
產品名稱:Rabbit anti-Homo sapiens (Human) GUCA2B Polyclonal antibody
-
Uniprot No.:
-
基因名:GUCA2B
-
別名:GUCA2B antibody; GCAP II antibody; GCAP-II antibody; Guanylate cyclase activator 2B (uroguanylin) antibody; Guanylate cyclase activator 2B antibody; Guanylate cyclase C-activating peptide II antibody; GUC2B_HUMAN antibody; GUCA2B antibody; UGN antibody; Uroguanylin antibody
-
宿主:Rabbit
-
反應種屬:Human
-
免疫原:Recombinant Human Guanylate cyclase activator 2B protein (37-112AA)
-
免疫原種屬:Homo sapiens (Human)
-
標記方式:Non-conjugated
本頁面中的產品,GUCA2B Antibody (CSB-PA613693LA01HU),的標記方式是Non-conjugated。對于GUCA2B Antibody,我們還提供其他標記。見下表:
-
克隆類型:Polyclonal
-
抗體亞型:IgG
-
純化方式:>95%, Protein G purified
-
濃度:It differs from different batches. Please contact us to confirm it.
-
保存緩沖液:Preservative: 0.03% Proclin 300
Constituents: 50% Glycerol, 0.01M PBS, PH 7.4 -
產品提供形式:Liquid
-
應用范圍:ELISA, IHC, IF
-
推薦稀釋比:
Application Recommended Dilution IHC 1:200-1:500 IF 1:50-1:200 -
Protocols:
-
儲存條件:Upon receipt, store at -20°C or -80°C. Avoid repeated freeze.
-
貨期:Basically, we can dispatch the products out in 1-3 working days after receiving your orders. Delivery time maybe differs from different purchasing way or location, please kindly consult your local distributors for specific delivery time.
-
用途:For Research Use Only. Not for use in diagnostic or therapeutic procedures.
相關產品
靶點詳情
-
功能:Endogenous activator of intestinal guanylate cyclase. It stimulates this enzyme through the same receptor binding region as the heat-stable enterotoxins. May be a potent physiological regulator of intestinal fluid and electrolyte transport. May be an autocrine/paracrine regulator of intestinal salt and water transport.
-
基因功能參考文獻:
- The simulations suggested that all missense SNPs considered as convergent deleterious caused some kind of structural change to the uroguanylin peptide. Additionally, four of these SNPs were also shown to cause modifications in peptide flexibility, possibly resulting in functional changes. PMID: 27620667
- Uroguanylin concentrations are increased in patients with chronic renal failure, nephrotic syndrome, or those on dialysis. PMID: 15780094
- The occurrences of the C-A haplotype (rs883062-rs1047047) and the C-A-G haplotype (rs883062-rs1047047-rs2297566) were significantly higher in the essential hypertension group than in the controls. PMID: 18037771
-
亞細胞定位:Secreted.
-
蛋白家族:Guanylin family
-
組織特異性:Stomach and intestine.
-
數據庫鏈接:
Most popular with customers
-
-
YWHAB Recombinant Monoclonal Antibody
Applications: ELISA, WB, IHC, IF, FC
Species Reactivity: Human, Mouse, Rat
-
Phospho-YAP1 (S127) Recombinant Monoclonal Antibody
Applications: ELISA, WB, IHC
Species Reactivity: Human
-
-
-
-
-















