GSTA1 Antibody
-
中文名稱:GSTA1兔多克隆抗體
-
貨號:CSB-PA009970HA01HU
-
規格:¥440
-
圖片:
-
Western Blot
Positive WB detected in: Mouse liver tissue
All lanes: Gsta1 antibody at 2.7μg/ml
Secondary
Goat polyclonal to rabbit IgG at 1/50000 dilution
Predicted band size: 26 kDa
Observed band size: 26 kDa -
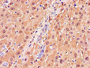
Immunohistochemistry of paraffin-embedded human liver tissue using CSB-PA009970HA01HU at dilution of 1:100
-
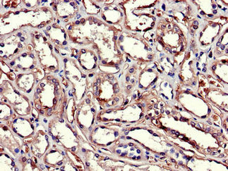
Immunohistochemistry of paraffin-embedded human kidney tissue using CSB-PA009970HA01HU at dilution of 1:100
-
Immunofluorescent analysis of HepG2 cells using CSB-PA009970HA01HU at dilution of 1:100 and Alexa Fluor 488-congugated AffiniPure Goat Anti-Rabbit IgG(H+L)
-
-
其他:
產品詳情
-
產品名稱:Rabbit anti-Homo sapiens (Human) GSTA1 Polyclonal antibody
-
Uniprot No.:
-
基因名:GSTA1
-
別名:Glutathione S alkyltransferase A1 antibody; Glutathione S aryltransferase A1 antibody; Glutathione S transferase 2 antibody; Glutathione S transferase A1 antibody; Glutathione S transferase alpha 1 antibody; Glutathione S transferase Ha subunit 1 antibody; Glutathione S-transferase A1 antibody; GST class-alpha member 1 antibody; GST epsilon antibody; GST HA subunit 1 antibody; GST; class alpha; 1 antibody; GST-epsilon antibody; GST2 antibody; GSTA1 1 antibody; GSTA1 antibody; GSTA1-1 antibody; GSTA1_HUMAN antibody; GTH1 antibody; HA subunit 1 antibody; MGC131939 antibody; OTTHUMP00000016611 antibody; S (hydroxyalkyl)glutathione lyase A1 antibody
-
宿主:Rabbit
-
反應種屬:Human, Mouse
-
免疫原:Recombinant Human Glutathione S-transferase A1 protein (2-222AA)
-
免疫原種屬:Homo sapiens (Human)
-
標記方式:Non-conjugated
本頁面中的產品,GSTA1 Antibody (CSB-PA009970HA01HU),的標記方式是Non-conjugated。對于GSTA1 Antibody,我們還提供其他標記。見下表:
-
克隆類型:Polyclonal
-
抗體亞型:IgG
-
純化方式:>95%, Protein G purified
-
濃度:It differs from different batches. Please contact us to confirm it.
-
保存緩沖液:Preservative: 0.03% Proclin 300
Constituents: 50% Glycerol, 0.01M PBS, PH 7.4 -
產品提供形式:Liquid
-
應用范圍:ELISA, WB, IHC, IF
-
推薦稀釋比:
Application Recommended Dilution WB 1:1000-1:5000 IHC 1:20-1:200 IF 1:50-1:200 -
Protocols:
-
儲存條件:Upon receipt, store at -20°C or -80°C. Avoid repeated freeze.
-
貨期:Basically, we can dispatch the products out in 1-3 working days after receiving your orders. Delivery time maybe differs from different purchasing way or location, please kindly consult your local distributors for specific delivery time.
-
用途:For Research Use Only. Not for use in diagnostic or therapeutic procedures.
相關產品
靶點詳情
-
功能:Glutathione S-transferase that catalyzes the nucleophilic attack of the sulfur atom of glutathione on the electrophilic groups of a wide range of exogenous and endogenous compounds (Probable). Involved in the formation of glutathione conjugates of both prostaglandin A2 (PGA2) and prostaglandin J2 (PGJ2). It also catalyzes the isomerization of D5-androstene-3,17-dione (AD) into D4-androstene-3,17-dione and may therefore play an important role in hormone biosynthesis. Through its glutathione-dependent peroxidase activity toward the fatty acid hydroperoxide (13S)-hydroperoxy-(9Z,11E)-octadecadienoate/13-HPODE it is also involved in the metabolism of oxidized linoleic acid.
-
基因功能參考文獻:
- GSTA1 Expression Is Correlated With Aldosterone Level in KCNJ5-Mutated Adrenal Aldosterone-Producing Adenoma. PMID: 29165597
- Data (including data from studies using single-molecule fluorescence imaging) suggest that, for GSTA1, there are at least two conformations of the protein, consistent with model that ligand binding promotes closure of carboxy-terminal helix over active site; study involved binding of glutathione analogs and enzyme inhibitors. PMID: 28677395
- Combined GSTM1, GSTT1, GSTA1 and GSTP1 polymorphisms might be associated to the risk of clear cell renal cell carcinoma. PMID: 27500405
- Data show that the glutathione S-transferase alpha 1(GSTA1) TT genotype was more frequent in hepatocellular carcinoma (HCC) than in non-HCC patients, suggesting that individuals carrying this genotype could be associated with 2-fold higher risk of developing HCCs. PMID: 27936036
- Nrf-2 and Gst-a were more abundant in bone morrow of chronic myeloid leukemia(CML) patients compared with that of healthy donors. In addition, Nrf-2 and Gst-a were further up-regulated in samples of patients with weak response to IM. In conclusion, our study shows that rapid clearance of 4-HNE by Nrf-2/GST may represents a novel molecular basis of IM resistance in CML. PMID: 28267438
- Study found an association, although not statistically significant between GSTA1 gene variants and perioperative serum alpha-GST level, an indicator for liver hepatotoxicity. PMID: 27179909
- common polymorphisms in GSTA1, GSTM1 and GSTT1 are associated with susceptibility to bladder cancer in individuals from Balkan endemic nephropathy areas of Serbia. PMID: 27568660
- Data show that a higher concentration of fluoride in the saliva was detected in children with a higher glutathione S-transferase (GST) activity. PMID: 27449362
- polymorphisms not associated with bladder cancer susceptibility [meta-analysis] PMID: 27631264
- Influence of glutathione S-transferase gene polymorphisms on busulfan pharmacokinetics and outcome of hematopoietic stem-cell transplantation in thalassemia pediatric patients. PMID: 26691424
- The frequency of GSTA1, GSTM1 and GSTP1 genotypes was not significantly different between progressive myoclonus epilepsy patients and controls PMID: 26552558
- GSTA1 polymorphism is associated with different pregnancy-related conditions PMID: 26321410
- this is the first population pharmacokinetic study to suggest that GSTA1 polymorphisms in adults are associated with busulfan pharmacokinetics PMID: 26419450
- GST genotyping before hematopoietic stem cell transplantation may allow better prediction of busulfan pharmacokinetics and drug toxicity, and thereby improve outcome after busulfan and cyclophosphamide conditioning PMID: 25565670
- the differences of PK in BU among different ethnic groups existed because of the different distribution frequencies of GST gene polymorphism in Chinese patients and Caucasian patients. PMID: 25730183
- Data show that the distribution of the glutathione S-transferases alleles GSTA1*A/*B and GSTP1*A, *B, and *C in the Polish population correspond to the results of studies in Caucasians. PMID: 25867434
- Patients with a GSTA1*A heterozygous variant had a lower exposure to 4-hydroxycyclophosphamide (4OHCTX) during cyclophosphamide treatment of lupus nephritis compared to wild-type patients. PMID: 26222310
- Our data indicated that GSTA1 expression may be a target molecule in early diagnosis and treatment of lung cancer PMID: 25374180
- Data suggest that cytochrome P450 3A4- and glutathione S-transferase A1-transfected -hepatoma cell line C3A may become a cell material in the biochemical artificial liver system. PMID: 24782212
- The study found that GSTA1 polymorphism was associated with increased risk of Balkan endemic nephropathy. PMID: 25111321
- Review/Meta-analysis: suggest that GSTA1 BB genotype was a risk factor for colorectal cancer, especially in Caucasian populations. PMID: 25778330
- The distribution of genotype frequencies of the polymorphism GSTA1 was statistically different between cases and controls, and the presence of genotypes A / B and B / B suggests a protective role against the risk of PCa compared to genotype A / A. PMID: 25251951
- The role of the glutathione S-transferase A1, M1, P1 and T1 gene polymorphisms and potential effect modification by occupational exposure to different chemicals in Serbian bladder cancer male patients, was investigated. PMID: 24914957
- Increased GSTA1 levels are associated with delayed graft function. PMID: 24612768
- The GSTA1*-69T and GSTO2*D142 variants are both associated with a significantly increased risk of asthma. PMID: 24471578
- High expression of GSTA1 is associated with chronic obstructive pulmonary disease. PMID: 24344877
- The polymorphism of GSTA1 (rs3957357) may not be associated with the risk of recurrent spontaneous abortion in Chinese Han population. PMID: 24390679
- Combined GSTM1*0/GSTA1*A genotypes might be considered as genetic markers for cardiovascular death risk in ESRD patients, which may permit targeting of preventive and early intervention. PMID: 24423050
- GSTA1 and CYP39A1 were found to be associated with busulfan clearance. When combined, the two haplotypes explained 17% of the variability in busulfan clearance. PMID: 24192117
- Polymorphisms in GSTA1 gene is associated with secondary mixed phenotype acute leukemia. PMID: 24276031
- Data indicate that genotypes of the GSTA1, GSTM1, GSTT1, and GSTP1 did not contribute independently towards the risk of bladder cancer, but in association with smoking, both GSTA1 and GSTM1 increase individual susceptibility to bladder cancer. PMID: 24075358
- Data indicate that GSTA1 genotype may be predictive for doxorubicin efficacy but warrants further study. PMID: 24215845
- GSTA1*A2 haplotype was associated with lower drug levels and higher drug clearance (P = 0.03). Gene-dosage effect was also observed (P = 0.007). GSTA1 haplotypes were associated with HSCT outcomes. PMID: 23292236
- Report increased GSTA1 in airways of asthmatics. PMID: 23647087
- GSTA1 low or intermediate genoytpe was associated with a non-significant protective effect for esophageal adenocarcinoma and esophageal squamous cell carcinoma. PMID: 23731957
- GST-a levels significantly correlated with exposure from mercury-containing dental amalgams in a dose-dependent fashion. PMID: 22893351
- Ceramide may increase resistance to chemotherapeutics in Caco-2 cells by up-regulating the expression of GSTA1. PMID: 22993865
- Data indicate that the GSTA1-1 catalytic promiscuity correlates strongly with characteristics of the thermodynamic partition function. PMID: 23649628
- The interaction of the chemotherapeutic drug chlorambucil (CBL) with human GSTA1-1 (hGSTA1-1) using kinetic analysis, protein crystallography and molecular dynamics, is reprted. PMID: 23460799
- GSTM1 and GSTA1 polymorphisms significantly impact the malignant potential of transitional cell carcinoma of the urinary bladder. PMID: 23394311
- The GST genetic variants examined were not associated with susceptibility to coronary artery disease in our Taiwanese cohort. PMID: 23570881
- GSTA1 levels may play a role in modulating enterocyte proliferation but do not influence differentiation or apoptosis. PMID: 23251616
- Variability in GST genes (GSTA1, GSTT1, GSTP1, GSTA1) is not a major determinant of colorectal cancer susceptibility in the Central European population. PMID: 22697302
- Results confirmed that patients with schizophrenia who were carriers of the GSTA1 *B risk allele had an increased MD in bilateral thalami and increased severity of auditory and global hallucinations in comparison with non-B carriers. PMID: 22959778
- Polymorphisms in genes encoding interleukin-10 and drug metabolizing enzymes GSTP1, GSTT1, GSTA1 and UGT1A1 influence risk and outcome in Hodgkin lymphoma. PMID: 22475179
- The data suggest that menadione-induced JNK activation involves the production of reactive oxygen species, likely superoxide anion, and intracellular GSH levels play an important role in preventing GSTA1-JNK complex dissociation. PMID: 22906494
- Tyr-9-induced localisation of a C-terminal helix (alpha9)of glutathione transferase A1-1 was ligand dependent, suggesting that the phenolic hydroxyl group of the active site tyrosine influences alpha9 dynamics by mediating the orientation of the bound ligand. PMID: 21530062
- A significant association is found between the GSTA1 gene and an increased risk of recurrent miscarriage. PMID: 22633257
- GSTA1 and the GSTO2 are asthma susceptible genes involved in increasing the risk of asthma development in the Italian population PMID: 22040239
- After adjustment of confounding factors, GSTP1 Ile105Val, GSTA1 C-69T, and TGFbeta1 T869C polymorphisms were found to be significantly associated with the risk of Grade 2-3 radiation-induced fibrosis. PMID: 22079734
顯示更多
收起更多
-
亞細胞定位:Cytoplasm.
-
蛋白家族:GST superfamily, Alpha family
-
組織特異性:Liver.
-
數據庫鏈接:
Most popular with customers
-
-
YWHAB Recombinant Monoclonal Antibody
Applications: ELISA, WB, IHC, IF, FC
Species Reactivity: Human, Mouse, Rat
-
Phospho-YAP1 (S127) Recombinant Monoclonal Antibody
Applications: ELISA, WB, IHC
Species Reactivity: Human
-
-
-
-
-















