GRM4 Antibody
-
中文名稱:GRM4兔多克隆抗體
-
貨號:CSB-PA116412
-
規格:¥1100
-
圖片:
-
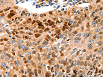
The image on the left is immunohistochemistry of paraffin-embedded Human lung cancer tissue using CSB-PA116412(GRM4 Antibody) at dilution 1/20, on the right is treated with synthetic peptide. (Original magnification: ×200)
-
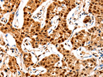
The image on the left is immunohistochemistry of paraffin-embedded Human ovarian cancer tissue using CSB-PA116412(GRM4 Antibody) at dilution 1/20, on the right is treated with synthetic peptide. (Original magnification: ×200)
-
-
其他:
產品詳情
-
Uniprot No.:
-
基因名:
-
別名:Glutamate receptor metabotropic 4 antibody; GPRC1D antibody; Grm4 antibody; GRM4_HUMAN antibody; Metabotropic glutamate receptor 4 antibody; mGlu4 antibody; mGluR4 antibody
-
宿主:Rabbit
-
反應種屬:Human,Mouse,Rat
-
免疫原:Synthetic peptide of Human GRM4
-
免疫原種屬:Homo sapiens (Human)
-
標記方式:Non-conjugated
-
抗體亞型:IgG
-
純化方式:Antigen affinity purification
-
濃度:It differs from different batches. Please contact us to confirm it.
-
保存緩沖液:-20°C, pH7.4 PBS, 0.05% NaN3, 40% Glycerol
-
產品提供形式:Liquid
-
應用范圍:ELISA,IHC
-
推薦稀釋比:
Application Recommended Dilution ELISA 1:1000-1:5000 IHC 1:25-1:100 -
Protocols:
-
儲存條件:Upon receipt, store at -20°C or -80°C. Avoid repeated freeze.
-
貨期:Basically, we can dispatch the products out in 1-3 working days after receiving your orders. Delivery time maybe differs from different purchasing way or location, please kindly consult your local distributors for specific delivery time.
-
用途:For Research Use Only. Not for use in diagnostic or therapeutic procedures.
相關產品
靶點詳情
-
功能:G-protein coupled receptor for glutamate. Ligand binding causes a conformation change that triggers signaling via guanine nucleotide-binding proteins (G proteins) and modulates the activity of down-stream effectors. Signaling inhibits adenylate cyclase activity.
-
基因功能參考文獻:
- EGR1 and CTCF are probably involved in the transcriptional regulation of GRM4, which participates in the progress of osteosarcoma by interacting with chemokines and their receptors. PMID: 29339716
- Results suggest that variant rs2229901 of glutamate receptor 4 is associated with major depressive disorder risk. This variant probably impacts the interaction between GRM4 and miR-1202. PMID: 27792966
- Our data suggest that GRM4 gene polymorphism is closely related to the morbidity and metastasis of osteosarcoma in a Chinese population. PMID: 26276359
- The GRM4 gene polymorphism was associated with the susceptibility and metastasis of osteosarcoma in a Chinese Han population. PMID: 24984297
- study found that only one of the five SNPs tested showed a moderate but statistically significant association with juvenile myoclonic epilepsy in an Indian population PMID: 24840839
- The major depression subjects exhibited significantly higher expression level in the metabotropic receptor genes GRM4 in Locus coeruleus neurons. PMID: 24925192
- explored the relationship between the binding pockets of mGlu4-positive allosteric modulators with different chemical scaffolds and their functional properties PMID: 25342125
- Data show that mGlu2 and mGlu4 subunits (but not mGlu2 and mGlu1) can heteromerize. PMID: 20826542
- GRM4 sequence variants might confer low-risk effects to the etiology of idiopathic generalized epilepsies. PMID: 20338729
- residues shaping the binding pocket determine ligand selectivity for mGLUR4 PMID: 15184361
- mGluR4 has a role in 5-FU resistance in colonic neoplasms PMID: 15217955
- Results suggest that overexpression of mGluR4 is associated with poor prognosis. PMID: 15867225
- mGluR4 internalization and desensitization are agonist-independent unless pathways leading to the activation of PKC are induced. PMID: 16582932
- These data suggest that mGlu4 receptor enhancers are promising drugs for the treatment of medulloblastomas. PMID: 16899734
- the effects of P-Ser (inhibition of neural stem cell proliferation and self-renewal, enhanced neurogenic fate commitment, and improved neuronal survival) are mediated bymGluR4. PMID: 17884634
顯示更多
收起更多
-
亞細胞定位:Cell membrane; Multi-pass membrane protein.
-
蛋白家族:G-protein coupled receptor 3 family
-
組織特異性:Strongly expressed in the cerebellum. Expressed at low levels in hippocampus, hypothalamus and thalamus. No expression detected in liver.
-
數據庫鏈接:
Most popular with customers
-
YWHAB Recombinant Monoclonal Antibody
Applications: ELISA, WB, IHC, IF, FC
Species Reactivity: Human, Mouse, Rat
-
Phospho-YAP1 (S127) Recombinant Monoclonal Antibody
Applications: ELISA, WB, IHC
Species Reactivity: Human
-
-
-
-
-
-















