GRK1 Antibody
-
中文名稱:GRK1兔多克隆抗體
-
貨號:CSB-PA909936
-
規格:¥1100
-
圖片:
-
The image on the left is immunohistochemistry of paraffin-embedded Human thyroid cancer tissue using CSB-PA909936(GRK1 Antibody) at dilution 1/30, on the right is treated with synthetic peptide. (Original magnification: ×200)
-
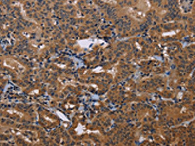
The image on the left is immunohistochemistry of paraffin-embedded Human liver cancer tissue using CSB-PA909936(GRK1 Antibody) at dilution 1/30, on the right is treated with synthetic peptide. (Original magnification: ×200)
-
-
其他:
產品詳情
-
Uniprot No.:
-
基因名:
-
別名:EC=2.7.11.14 antibody; G protein-coupled receptor kinase 1 antibody; GPRK1 antibody; Grk1 antibody; Rhodopsin kinase antibody; RHOK antibody; RK antibody; RK_HUMAN antibody
-
宿主:Rabbit
-
反應種屬:Human,Mouse,Rat
-
免疫原:Synthetic peptide of Human GRK1
-
免疫原種屬:Homo sapiens (Human)
-
標記方式:Non-conjugated
-
抗體亞型:IgG
-
純化方式:Antigen affinity purification
-
濃度:It differs from different batches. Please contact us to confirm it.
-
保存緩沖液:-20°C, pH7.4 PBS, 0.05% NaN3, 40% Glycerol
-
產品提供形式:Liquid
-
應用范圍:ELISA,IHC
-
推薦稀釋比:
Application Recommended Dilution ELISA 1:2000-1:5000 IHC 1:50-1:200 -
Protocols:
-
儲存條件:Upon receipt, store at -20°C or -80°C. Avoid repeated freeze.
-
貨期:Basically, we can dispatch the products out in 1-3 working days after receiving your orders. Delivery time maybe differs from different purchasing way or location, please kindly consult your local distributors for specific delivery time.
-
用途:For Research Use Only. Not for use in diagnostic or therapeutic procedures.
相關產品
靶點詳情
-
功能:Retina-specific kinase involved in the signal turnoff via phosphorylation of rhodopsin (RHO), the G protein- coupled receptor that initiates the phototransduction cascade. This rapid desensitization is essential for scotopic vision and permits rapid adaptation to changes in illumination. May play a role in the maintenance of the outer nuclear layer in the retina.
-
基因功能參考文獻:
- In conclusion, in the present report, a novel missense mutation in GRK1 gene in homozygous state was reported in an Italian patient affected with Oguchi disease. PMID: 28511019
- Gene analysis determined a novel GRK1 mutation c.923T>C, which caused Oguchi disease in all siblings. This mutation, was demonstrated by amino acid alignment analysis to be in a phylogenetically conserved region and resulted in an amino acid change from leucine to proline at position 308. Thus, the present study reports a novel missense mutation of GRK1 in the affected members of a consanguineous Turkish family. PMID: 27511724
- AAMP Regulates Endothelial Cell Migration and Angiogenesis Through RhoA/Rho Kinase Signaling. PMID: 26350504
- In the Ca(2+)/NCS-1.D2R peptide complex, the C-terminal region adopts a 310 helix-turn-310 helix, whereas in the GRK1 peptide complex it forms an a-helix PMID: 25979333
- The identification of the c.1607_1610delCGGA mutation in a patient with Oguchi disease confirms the pathogenicity of this variant. PMID: 26349155
- Rho-kinase activity exhibits distinct circadian variation associated with alterations in coronary vasomotor responses and autonomic activity in VSA patients. PMID: 24670923
- The selective thinning of the inner retinal layers in patients with GRM6 mutations suggests either reduced bipolar or ganglion cell numbers or altered synaptic structure in the inner retina. PMID: 22959359
- Defects in GRK1 or GRK7 cause patients to suffer from an inability to properly deactivate rhodopsin leading to problems with recovery and dark adaptation. PMID: 22183412
- There are two genes that cause Oguchi disease: the G protein-coupled receptor kinase 1 gene and the S antigen gene. There is evidence that Oguchi disease and retinitis pigmentosa (RP) can coexist in the same family or even in the same individual PMID: 21922265
- Phosphorylation of GRK1 and GRK7 by PKA occurs in the dark, when cAMP levels in photoreceptor cells are elevated. PMID: 15946941
- The disease in the Pakistani family localizes to 13q34 and is caused by a novel deletion including Exon 3 of the GRK1 gene. PMID: 16319817
- G protein-coupled receptor kinase site serine cluster has a role in beta2-adrenergic receptor internalization, desensitization, and beta-arrestin translocation PMID: 16407241
- RhoK activation in brain microvascular endothelial cells could be a cause of blood-brain barrier impairment during HIV-1 encephalitis. PMID: 16478881
- A novel homozygous GRK1 mutation (p.P391H) was found in 2 Japanese siblings with Oguchi disease. PMID: 17070587
- Conserved bicoid homeodomain factors thus appear to be the key factors governing localization of GRK1 Enhancer/Promoter activity in retina and photoreceptors. PMID: 17524610
- The authors found two different novel mutations in Japanese patients. The results indicate that a considerable number of GRK1 mutations exist in the Japanese population. PMID: 17765441
- Genetic mapping supported the diagnosis of typical Oguchi disease in a Pakistani family and also resulted in the identification of a novel nonsense mutation (c.614C>A; p.S205X) in exon 1 of GRK1. PMID: 19753316
顯示更多
收起更多
-
相關疾病:Night blindness, congenital stationary, Oguchi type 2 (CSNBO2)
-
亞細胞定位:Membrane; Lipid-anchor. Cell projection, cilium, photoreceptor outer segment.
-
蛋白家族:Protein kinase superfamily, AGC Ser/Thr protein kinase family, GPRK subfamily
-
組織特異性:Retinal-specific. Expressed in rods and cones cells.
-
數據庫鏈接:
Most popular with customers
-
-
YWHAB Recombinant Monoclonal Antibody
Applications: ELISA, WB, IHC, IF, FC
Species Reactivity: Human, Mouse, Rat
-
Phospho-YAP1 (S127) Recombinant Monoclonal Antibody
Applications: ELISA, WB, IHC
Species Reactivity: Human
-
-
-
-
-















