GPRC5A Antibody
-
中文名稱:GPRC5A兔多克隆抗體
-
貨號:CSB-PA818781DSR1HU
-
規格:¥440
-
圖片:
-
Western blot
All lanes: GPRC5A antibody at 8μg/ml
Lane 1: Hela whole cell lysate
Lane 2: HepG2 whole cell lysate
Lane 3: MCF-7 whole cell lysate
Secondary
Goat polyclonal to rabbit IgG at 1/10000 dilution
Predicted band size: 40 kDa
Observed band size: 40 kDa -
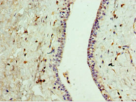
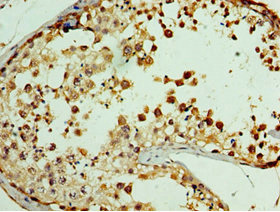
Immunohistochemistry of paraffin-embedded human breast cancer using CSB-PA818781DSR1HU at dilution of 1:100
-
Immunohistochemistry of paraffin-embedded human testis tissue using CSB-PA818781DSR1HU at dilution of 1:100
-
-
其他:
產品詳情
-
產品名稱:Rabbit anti-Homo sapiens (Human) GPRC5A Polyclonal antibody
-
Uniprot No.:
-
基因名:
-
別名:GPRC5A; GPCR5A; RAI3; RAIG1; Retinoic acid-induced protein 3; G-protein coupled receptor family C group 5 member A; Phorbol ester induced gene 1; PEIG-1; Retinoic acid-induced gene 1 protein; RAIG-1
-
宿主:Rabbit
-
反應種屬:Human
-
免疫原:Recombinant Human Retinoic acid-induced protein 3 protein (258-357AA)
-
免疫原種屬:Homo sapiens (Human)
-
標記方式:Non-conjugated
-
克隆類型:Polyclonal
-
抗體亞型:IgG
-
純化方式:Antigen Affinity Purified
-
濃度:It differs from different batches. Please contact us to confirm it.
-
保存緩沖液:PBS with 0.02% sodium azide, 50% glycerol, pH7.3.
-
產品提供形式:Liquid
-
應用范圍:ELISA, WB, IHC
-
推薦稀釋比:
Application Recommended Dilution WB 1:500-1:5000 IHC 1:20-1:200 -
Protocols:
-
儲存條件:Upon receipt, store at -20°C or -80°C. Avoid repeated freeze.
-
貨期:Basically, we can dispatch the products out in 1-3 working days after receiving your orders. Delivery time maybe differs from different purchasing way or location, please kindly consult your local distributors for specific delivery time.
-
用途:For Research Use Only. Not for use in diagnostic or therapeutic procedures.
相關產品
靶點詳情
-
功能:Orphan receptor. Could be involved in modulating differentiation and maintaining homeostasis of epithelial cells. This retinoic acid-inducible GPCR provide evidence for a possible interaction between retinoid and G-protein signaling pathways. Functions as a negative modulator of EGFR signaling. May act as a lung tumor suppressor.
-
基因功能參考文獻:
- GPRC5a was upregulated in pancreatic cancer (PaCa) leading to an enhanced drug resistance in PaCa cells. PMID: 29949874
- under-expressed GPRC5A during lung tumorigenesis enhances any transcriptional stimulation through an active translational status. PMID: 27273304
- findings reveal an unprecedented role for GPRC5A in regulation of the ITGB1-mediated cell adhesion and it's downstream signaling, thus indicating a potential novel role for GPRC5A in human epithelial cancers. PMID: 27715394
- miR-204 inhibits cell proliferation in gastric cancer by targeting CKS1B, CXCL1 and GPRC5A. PMID: 29283424
- p53 overexpression and GPRC5A induction markedly inhibited tumor cell viability and induced apoptosis. PMID: 28849235
- GPRC5A is a potential oncogene in pancreatic ductal adenocarcinoma cells that is upregulated by gemcitabine with help from HuR. PMID: 27415424
- These results suggest RAI3 plays an important role in adipogenesis of hASCs and may have a potential use in the future application. PMID: 28870805
- Study underscores genomic alterations that represent early events in the development of Kras mutant LUAD following Gprc5a loss and tobacco carcinogen exposure. PMID: 28653505
- Suppression of GPRC5a results in decreased cell growth, proliferation and migration in pancreatic cancer cell lines via a STAT3 modulated pathway, independent from ERK activation PMID: 28114355
- our results implicate GPRC5A as a tumor suppressor in breast cancer cells, and GPRC5A exerts its tumor-suppressive function by inhibiting EGFR and its downstream pathway PMID: 27599526
- elevated levels of GPRC5A played significant roles in gastric cancer progression PMID: 26227221
- Results show how GPRC5A deficiency leads to dysregulated EGFR and STAT3 signaling and lung tumorigenesis. PMID: 25744720
- EGFR interacted with GPRC5A and phosphorylated it in two conserved double-tyrosine motifs, Y317/Y320 and Y347/ Y350, at the C-terminal tail of GPRC5A. PMID: 25311788
- The interaction of miR-103a-3p with each of the two 5' UTR targets reduces the expression levels of both GPRC5A mRNA and GPRC5A protein in one normal epithelial and two pancreatic cancer cell lines. PMID: 24984703
- RAI3 may contribute to the malignant progression of hepatocellular carcinoma PMID: 23632812
- Data indicate that in mammary tumors, the mRNA expression of GPRC5A significantly correlated with that of BRCA1. PMID: 24470238
- Decreased GPRC5A expression is associated with non-small cell lung cancers and lung inflammation. PMID: 23154545
- Loss of GPRC5A is associated with lung adenocarcinomas. PMID: 20563252
- RAI3 is a cell growth-promoting gene and a novel P53 transcriptional target PMID: 15659406
- This evidence explains one of the mechanisms of the GPRC5A-regulated cell growth in some cancer cell lines. PMID: 17055459
- Gprc5a functions as a tumor suppressor in mouse lung, and human GPRC5A may share this property. PMID: 18000218
- Mechanisms underlying the induction of the putative human tumor suppressor GPRC5A are reported. PMID: 19279407
- analysis of RAI3 expression in normal and cancerous human breast tissue at both the mRNA and protein levels PMID: 19552806
顯示更多
收起更多
-
亞細胞定位:Cell membrane; Multi-pass membrane protein. Cytoplasmic vesicle membrane; Multi-pass membrane protein.
-
蛋白家族:G-protein coupled receptor 3 family
-
組織特異性:Expressed at high level in fetal and adult lung tissues but repressed in most human lung cancers. Constitutively expressed in fetal kidney and adult placenta, kidney, prostate, testis, ovary, small intestine, colon, stomach, and spinal chord at low to mod
-
數據庫鏈接:
Most popular with customers
-
-
YWHAB Recombinant Monoclonal Antibody
Applications: ELISA, WB, IHC, IF, FC
Species Reactivity: Human, Mouse, Rat
-
-
-
-
-
-















