GPR39 Antibody
-
中文名稱:GPR39兔多克隆抗體
-
貨號:CSB-PA009812LA01HU
-
規格:¥440
-
圖片:
-
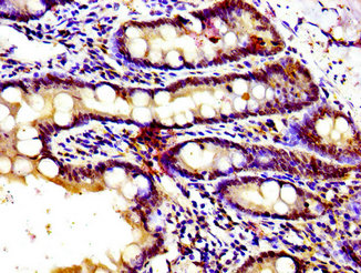
Immunohistochemistry of paraffin-embedded human small intestine tissue using CSB-PA009812LA01HU at dilution of 1:100
-
Immunofluorescence staining of HepG2 cells with CSB-PA009812LA01HU at 1:266, counter-stained with DAPI. The cells were fixed in 4% formaldehyde, permeabilized using 0.2% Triton X-100 and blocked in 10% normal Goat Serum. The cells were then incubated with the antibody overnight at 4°C. The secondary antibody was Alexa Fluor 488-congugated AffiniPure Goat Anti-Rabbit IgG(H+L).
-
-
其他:
產品詳情
-
產品名稱:Rabbit anti-Homo sapiens (Human) GPR39 Polyclonal antibody
-
Uniprot No.:
-
基因名:
-
別名:GPR39; G-protein coupled receptor 39
-
宿主:Rabbit
-
反應種屬:Human
-
免疫原:Recombinant Human G-protein coupled receptor 39 protein (345-453AA)
-
免疫原種屬:Homo sapiens (Human)
-
標記方式:Non-conjugated
本頁面中的產品,GPR39 Antibody (CSB-PA009812LA01HU),的標記方式是Non-conjugated。對于GPR39 Antibody,我們還提供其他標記。見下表:
-
克隆類型:Polyclonal
-
抗體亞型:IgG
-
純化方式:>95%, Protein G purified
-
濃度:It differs from different batches. Please contact us to confirm it.
-
保存緩沖液:Preservative: 0.03% Proclin 300
Constituents: 50% Glycerol, 0.01M PBS, pH 7.4 -
產品提供形式:Liquid
-
應用范圍:ELISA, IHC, IF
-
推薦稀釋比:
Application Recommended Dilution IHC 1:20-1:200 IF 1:200-1:500 -
Protocols:
-
儲存條件:Upon receipt, store at -20°C or -80°C. Avoid repeated freeze.
-
貨期:Basically, we can dispatch the products out in 1-3 working days after receiving your orders. Delivery time maybe differs from different purchasing way or location, please kindly consult your local distributors for specific delivery time.
-
用途:For Research Use Only. Not for use in diagnostic or therapeutic procedures.
相關產品
靶點詳情
-
功能:Zn(2+) acts as an agonist. This receptor mediates its action by association with G proteins that activate a phosphatidylinositol-calcium second messenger system. Its effect is mediated mainly through G(q)-alpha and G(12)/G(13) proteins. Involved in regulation of body weight, gastrointestinal mobility, hormone secretion and cell death.
-
基因功能參考文獻:
- data indicate that Zn(2+) acting via ZnR/GPR39 has a direct role in controlling Cl(-) absorption via upregulation of basolateral KCC1 in the colon. Moreover, colonocytic ZnR/GPR39 and KCC1 reduce water loss during diarrhea and may therefore serve as effective drug targets. PMID: 28093242
- G protein-coupled receptor 39 (ZnR/GPR39) was shown to regulate the activity of ion transport mechanisms that are essential for the physiological function of epithelial and neuronal cells [Review]. PMID: 29389900
- Data suggest that expression of GPR39 undergoes Rho kinase-dependent desensitization following activation by zinc. PMID: 28619258
- This study demonstrated that zinc upregulates PKCzeta by activating GPR39 to enhance the abundance of ZO-1, thereby improving epithelial integrity in S. typhimurium-infected Caco-2 cells. PMID: 28515165
- obestatin/GPR39 system in the pathogenesis and/or clinical outcome of human gastric adenocarcinomas and highlight the potential usefulness of GPR39 as a prognostic marker in gastric cancer. PMID: 26716511
- Chronic administration of many antidepressants induces GPR39 up-regulation, which suggests that the Zn(2+)-sensing receptor may be considered as a new target for drug development in the field of depression. PMID: 25490458
- Taken together, our results provided a novel regulatory mechanism for GPR39-1b in NTRS1 signaling. PMID: 24512471
- ZnR/GPR39-dependent expression of tight junctional proteins, thereby leading to formation of a sealed intestinal epithelial barrier. PMID: 24967969
- Data suggests alterations (down-regulation) of the GPR39 receptor and involvement of CREB-BDNF pathway, possibly triggered by GPR39, as a new pathomechanism of depression PMID: 24333148
- Zn(2+) -dependent activation of ZnR/GPR39 also enhances the expression of the Ca(2+) -binding protein S100A4 that is linked to invasion of prostate cancer cells. PMID: 24264723
- GPR39 was present in thyroid autoimmune disease, non-toxic nodular goiter and toxic nodular goiter at band p51(kDa). PMID: 23485550
- ZnR/GPR39 is tuned to sense physiologically relevant changes in extracellular pH that regulate ZnR-dependent signaling and ion transport activity PMID: 22879599
- GPR39 activation increased the expression of the anti-apoptotic protein clusterin in butyrate-treated cells. GPR39 mediates Zn2+-dependent cell growth. PMID: 22545109
- GPR39 plays an important tumorigenic role in the development and progression of esophageal squamous cell carcinoma. PMID: 21352519
- extracellular Zn(2+), either applied or released following injury, activates ZnR/GPR39 to promote signaling leading to epithelial repair PMID: 20522546
- Data show that Phe-V:13 can serve as an aromatic lock for the proposed active conformation of the Trp-VI:13 rotameric switch, being involved in the global movement of TM-V and TM-VI in 7TM receptor activation. PMID: 19920139
- GPR39 is probably not the obestatin receptor PMID: 16959833
- could activate GPR39 by high concentrations of Zn(2+), demonstrating cell surface expression of a functional receptor that could elicit a Ca(2+) response. PMID: 17054911
- GPR39 functions as a Gq-coupled Zn2+-sensing receptor PMID: 17885920
- GPR39 protects from cell death by increasing secretion of pigment epithelium-derived growth factor PMID: 18180304
- It is proposed that Zn2+ acts as an agonist for GPR39, not in the classical manner by directly stabilizing an active conformation of the transmembrane domain, but instead by binding to His17 and His19 in the extracellular domain. PMID: 18588883
顯示更多
收起更多
-
亞細胞定位:Cell membrane; Multi-pass membrane protein.
-
蛋白家族:G-protein coupled receptor 1 family
-
組織特異性:Expressed in many tissues, including the stomach, intestine and hypothalamus.
-
數據庫鏈接:
Most popular with customers
-
YWHAB Recombinant Monoclonal Antibody
Applications: ELISA, WB, IHC, IF, FC
Species Reactivity: Human, Mouse, Rat
-
Phospho-YAP1 (S127) Recombinant Monoclonal Antibody
Applications: ELISA, WB, IHC
Species Reactivity: Human
-
-
-
-
-
-















