GPR1 Antibody
-
中文名稱:GPR1兔多克隆抗體
-
貨號:CSB-PA009728LA01HU
-
規格:¥440
-
圖片:
-
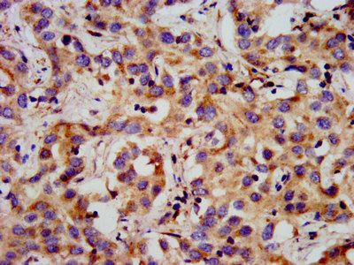
IHC image of CSB-PA009728LA01HU diluted at 1:300 and staining in paraffin-embedded human liver cancer performed on a Leica BondTM system. After dewaxing and hydration, antigen retrieval was mediated by high pressure in a citrate buffer (pH 6.0). Section was blocked with 10% normal goat serum 30min at RT. Then primary antibody (1% BSA) was incubated at 4°C overnight. The primary is detected by a biotinylated secondary antibody and visualized using an HRP conjugated SP system.
-
Immunofluorescence staining of Hela cells with CSB-PA009728LA01HU at 1:100, counter-stained with DAPI. The cells were fixed in 4% formaldehyde, permeabilized using 0.2% Triton X-100 and blocked in 10% normal Goat Serum. The cells were then incubated with the antibody overnight at 4°C. The secondary antibody was Alexa Fluor 488-congugated AffiniPure Goat Anti-Rabbit IgG(H+L).
-
-
其他:
產品詳情
-
產品名稱:Rabbit anti-Homo sapiens (Human) GPR1 Polyclonal antibody
-
Uniprot No.:
-
基因名:
-
別名:CMKLR2; GPR1; Chemerin-like receptor 2; Chemerin chemokine-like receptor 2; Chemokine-like receptor 2; G-protein coupled receptor 1
-
宿主:Rabbit
-
反應種屬:Human
-
免疫原:Recombinant Human G-protein coupled receptor 1 protein (308-355AA)
-
免疫原種屬:Homo sapiens (Human)
-
標記方式:Non-conjugated
本頁面中的產品,GPR1 Antibody (CSB-PA009728LA01HU),的標記方式是Non-conjugated。對于GPR1 Antibody,我們還提供其他標記。見下表:
-
克隆類型:Polyclonal
-
抗體亞型:IgG
-
純化方式:>95%, Protein G purified
-
濃度:It differs from different batches. Please contact us to confirm it.
-
保存緩沖液:Preservative: 0.03% Proclin 300
Constituents: 50% Glycerol, 0.01M PBS, pH 7.4 -
產品提供形式:Liquid
-
應用范圍:ELISA, IHC, IF
-
推薦稀釋比:
Application Recommended Dilution IHC 1:200-1:500 IF 1:50-1:200 -
Protocols:
-
儲存條件:Upon receipt, store at -20°C or -80°C. Avoid repeated freeze.
-
貨期:Basically, we can dispatch the products out in 1-3 working days after receiving your orders. Delivery time maybe differs from different purchasing way or location, please kindly consult your local distributors for specific delivery time.
-
用途:For Research Use Only. Not for use in diagnostic or therapeutic procedures.
相關產品
靶點詳情
-
功能:Receptor for chemoattractant adipokine chemerin/RARRES2 suggesting a role for this receptor in the regulation of inflammation and energy homesotasis. Signals mainly via beta-arrestin pathway. Binding of RARRES2 activates weakly G proteins, calcium mobilization and MAPK1/MAPK3 (ERK1/2) phosphorylation too. Acts also as a receptor for TAFA1, mediates its effects on neuronal stem-cell proliferation and differentiation via the activation of ROCK/ERK and ROCK/STAT3 signaling pathway.; (Microbial infection) Coreceptor for HIV-1.
-
基因功能參考文獻:
- CMKLR1 and GPR1 were widely expressed in vascular smooth muscle. PMID: 27742615
- The Gene-based analyses revealed four significant associations in the WT1, ZC3H12C, DLGAP2, and GPR1 genes at p < 0.05. in this study. PMID: 25391383
- GPR1 gene is imprinted and paternally expressed in human and mouse. PMID: 20385583
- identified homologous amino acid sequences in amino-terminal regions between CCR5 and GPR1/ sequences are important for G protein-coupled receptors to make the conformation critical for the interaction with the Env protein of HIV-1. PMID: 20334567
- GPR1 is a senescence-associated gene in normal human oral keratinocytes. PMID: 12837283
- Data report that a synthetic peptide derived from the NH2-terminal extracellular region of an orphan GPCR, GPR1, inhibited infection of not only an HIV-1 variant that uses GPR1 as a co-receptor, but also X4, R5, and R5X4 viruses. PMID: 15919664
顯示更多
收起更多
-
亞細胞定位:Cell membrane; Multi-pass membrane protein.
-
蛋白家族:G-protein coupled receptor 1 family
-
組織特異性:Expressed in hippocampus.
-
數據庫鏈接:
Most popular with customers
-
-
YWHAB Recombinant Monoclonal Antibody
Applications: ELISA, WB, IHC, IF, FC
Species Reactivity: Human, Mouse, Rat
-
Phospho-YAP1 (S127) Recombinant Monoclonal Antibody
Applications: ELISA, WB, IHC
Species Reactivity: Human
-
-
-
-
-















