GPA33 Antibody
-
中文名稱:GPA33兔多克隆抗體
-
貨號:CSB-PA055320
-
規格:¥1100
-
圖片:
-
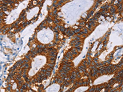
The image on the left is immunohistochemistry of paraffin-embedded Human colon cancer tissue using CSB-PA055320(GPA33 Antibody) at dilution 1/30, on the right is treated with fusion protein. (Original magnification: ×200)
-
The image on the left is immunohistochemistry of paraffin-embedded Human thyroid cancer tissue using CSB-PA055320(GPA33 Antibody) at dilution 1/30, on the right is treated with fusion protein. (Original magnification: ×200)
-
Gel: 15%SDS-PAGE, Lysate: 40 μg, Lane 1-3: 293T cells, human colon cancer tissue, 231 cells, Primary antibody: CSB-PA055320(GPA33 Antibody) at dilution 1/600, Secondary antibody: Goat anti rabbit IgG at 1/8000 dilution, Exposure time: 5 seconds
-
-
其他:
產品詳情
-
Uniprot No.:
-
基因名:
-
別名:A33 antibody; Cell surface A33 antigen antibody; Cell surface A33 antigen precursor antibody; Glycoprotein A33 (transmembrane) antibody; Glycoprotein A33 antibody; Gpa33 antibody; GPA33_HUMAN antibody; MGC129986 antibody; MGC129987 antibody; OTTHUMP00000032346 antibody; Transmembrane glycoprotein A33 antibody
-
宿主:Rabbit
-
反應種屬:Human
-
免疫原:Fusion protein of Human GPA33
-
免疫原種屬:Homo sapiens (Human)
-
標記方式:Non-conjugated
-
抗體亞型:IgG
-
純化方式:Antigen affinity purification
-
濃度:It differs from different batches. Please contact us to confirm it.
-
保存緩沖液:-20°C, pH7.4 PBS, 0.05% NaN3, 40% Glycerol
-
產品提供形式:Liquid
-
應用范圍:ELISA,WB,IHC
-
推薦稀釋比:
Application Recommended Dilution ELISA 1:2000-1:5000 WB 1:500-1:2000 IHC 1:50-1:200 -
Protocols:
-
儲存條件:Upon receipt, store at -20°C or -80°C. Avoid repeated freeze.
-
貨期:Basically, we can dispatch the products out in 1-3 working days after receiving your orders. Delivery time maybe differs from different purchasing way or location, please kindly consult your local distributors for specific delivery time.
-
用途:For Research Use Only. Not for use in diagnostic or therapeutic procedures.
相關產品
靶點詳情
-
功能:May play a role in cell-cell recognition and signaling.
-
基因功能參考文獻:
- A33 shows similar sensitivity to but is more specific than CDX2 as an immunomarker of colorectal carcinoma PMID: 28226180
- A33 expression is directly correlated to colorectal tumor differentiation. PMID: 27272411
- Data indicate that EpCAM- and A33-Exos were released from the apical and basolateral surfaces, respectively. PMID: 23230278
- Data indicate positive staining was observed for both A33 expression and KRN330 binding from patients biopsied on Day 8, 9 or 14 following initial dosing of 3 mg/kg. PMID: 23294608
- The A33-dependent incorporation of B5 into extracellular enveloped vaccinia virions is mediated through an interaction between their lumenal domains. PMID: 22623777
- Increased interaction between vaccinia virus proteins A33 and B5 is detrimental to infectious extracellular enveloped virion production. PMID: 22623782
- cloning, chromosomal localizations, exon-intron structures and transcription start sites - target gene for the intestine-specific homeobox transcription factor, CDX1. PMID: 12114523
- Regulation of A33 antigen expression by GKLF. PMID: 12853980
- This work has demonstrated that the antigen is both highly immobile and extremely persistent-retaining its surface localization for a turnover halflife of greater than 2 days. PMID: 18236042
顯示更多
收起更多
-
亞細胞定位:Membrane; Single-pass type I membrane protein.
-
組織特異性:Expressed in normal gastrointestinal epithelium and in 95% of colon cancers.
-
數據庫鏈接:
Most popular with customers
-
-
YWHAB Recombinant Monoclonal Antibody
Applications: ELISA, WB, IHC, IF, FC
Species Reactivity: Human, Mouse, Rat
-
Phospho-YAP1 (S127) Recombinant Monoclonal Antibody
Applications: ELISA, WB, IHC
Species Reactivity: Human
-
-
-
-
-















