GOT1 Antibody
-
中文名稱:GOT1兔多克隆抗體
-
貨號:CSB-PA009679HA01HU
-
規格:¥440
-
圖片:
-
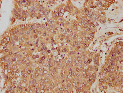
IHC image of CSB-PA009679HA01HU diluted at 1:250 and staining in paraffin-embedded human liver cancer performed on a Leica BondTM system. After dewaxing and hydration, antigen retrieval was mediated by high pressure in a citrate buffer (pH 6.0). Section was blocked with 10% normal goat serum 30min at RT. Then primary antibody (1% BSA) was incubated at 4°C overnight. The primary is detected by a biotinylated secondary antibody and visualized using an HRP conjugated SP system.
-
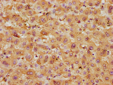
IHC image of CSB-PA009679HA01HU diluted at 1:250 and staining in paraffin-embedded human liver tissue performed on a Leica BondTM system. After dewaxing and hydration, antigen retrieval was mediated by high pressure in a citrate buffer (pH 6.0). Section was blocked with 10% normal goat serum 30min at RT. Then primary antibody (1% BSA) was incubated at 4°C overnight. The primary is detected by a biotinylated secondary antibody and visualized using an HRP conjugated SP system.
-
Western Blot
Positive WB detected in: HepG2 whole cell lysate, Mouse liver tissue, Mouse skeletal muscle tissue
All lanes: GOT1 antibody at 4.5µg/ml
Secondary
Goat polyclonal to rabbit IgG at 1/50000 dilution
Predicted band size: 47, 45 kDa
Observed band size: 47 kDa -
Immunofluorescence staining of HepG2 cells with CSB-PA009679HA01HU at 1:166, counter-stained with DAPI. The cells were fixed in 4% formaldehyde, permeabilized using 0.2% Triton X-100 and blocked in 10% normal Goat Serum. The cells were then incubated with the antibody overnight at 4°C. The secondary antibody was Alexa Fluor 488-congugated AffiniPure Goat Anti-Rabbit IgG(H+L).
-
-
其他:
產品詳情
-
產品名稱:Rabbit anti-Homo sapiens (Human) GOT1 Polyclonal antibody
-
Uniprot No.:
-
基因名:GOT1
-
別名:AATC_HUMAN antibody; Aspartate aminotransferase 1 antibody; Aspartate aminotransferase antibody; Aspartate aminotransferase cytoplasmic antibody; Aspartate aminotransferase cytosolic antibody; ASTQTL1 antibody; cAspAT antibody; cCAT antibody; cysteine aminotransferase; cytoplasmic antibody; cysteine transaminase; cytoplasmic antibody; cytoplasmic antibody; ec 2.6.1.1 antibody; GIG 18 antibody; GIG18 antibody; Glutamate oxaloacetate transaminase 1 antibody; Glutamate oxaloacetate transaminase soluble antibody; Glutamic oxaloacetic transaminase 1 soluble antibody; GOT 1 antibody; GOT1 antibody; Growth inhibiting protein 18 antibody; SGOT antibody; Transaminase A antibody
-
宿主:Rabbit
-
反應種屬:Human, Mouse
-
免疫原:Recombinant Human Aspartate aminotransferase, cytoplasmic protein (2-411AA)
-
免疫原種屬:Homo sapiens (Human)
-
標記方式:Non-conjugated
本頁面中的產品,GOT1 Antibody (CSB-PA009679HA01HU),的標記方式是Non-conjugated。對于GOT1 Antibody,我們還提供其他標記。見下表:
-
克隆類型:Polyclonal
-
抗體亞型:IgG
-
純化方式:>95%, Protein G purified
-
濃度:It differs from different batches. Please contact us to confirm it.
-
保存緩沖液:Preservative: 0.03% Proclin 300
Constituents: 50% Glycerol, 0.01M PBS, PH 7.4 -
產品提供形式:Liquid
-
應用范圍:ELISA, WB, IHC, IF
-
推薦稀釋比:
Application Recommended Dilution WB 1:500-1:5000 IHC 1:200-1:500 IF 1:50-1:200 -
Protocols:
-
儲存條件:Upon receipt, store at -20°C or -80°C. Avoid repeated freeze.
-
貨期:Basically, we can dispatch the products out in 1-3 working days after receiving your orders. Delivery time maybe differs from different purchasing way or location, please kindly consult your local distributors for specific delivery time.
-
用途:For Research Use Only. Not for use in diagnostic or therapeutic procedures.
相關產品
靶點詳情
-
功能:Biosynthesis of L-glutamate from L-aspartate or L-cysteine. Important regulator of levels of glutamate, the major excitatory neurotransmitter of the vertebrate central nervous system. Acts as a scavenger of glutamate in brain neuroprotection. The aspartate aminotransferase activity is involved in hepatic glucose synthesis during development and in adipocyte glyceroneogenesis. Using L-cysteine as substrate, regulates levels of mercaptopyruvate, an important source of hydrogen sulfide. Mercaptopyruvate is converted into H(2)S via the action of 3-mercaptopyruvate sulfurtransferase (3MST). Hydrogen sulfide is an important synaptic modulator and neuroprotectant in the brain.
-
基因功能參考文獻:
- high transaminase elevations do not predict severe complications or reflect remnant ischemic area. PMID: 29553104
- Missense variant (p.Gln208Glu, rs374966349) in glutamate oxaloacetate transaminase 1 (GOT1) was found, as a putative causal variant predisposing to Familial Macro-aspartate aminotransferase . PMID: 28716744
- HIF-2a regulates non-canonical glutamine metabolism via activation of PI3K/mTORC2 pathway and GOT1 expression in human pancreatic ductal adenocarcinoma. PMID: 28544376
- ALT is a more suitable index than AST for developing a regression model. PMID: 28628604
- High AST1 expression is associated with high mortality in hemodialysis patients. PMID: 26333544
- GOT1 plays an important role in energy metabolism and ROS balance in chronic acidosis stress in pancreatic tumor cells. PMID: 28455244
- Early abnormal liver enzyme levels of aspartate aminotransferase and alanine aminotransferase may increase the prevalence of human cytomegalovirus antigenemia after hematopoietic stem cell transplantation. PMID: 28415934
- Elevated preoperative aspartate aminotransferase-to-platelet ratio index may be independently associated with poor overall survival and disease-free survival in hepatocellular carcinoma patients following curative resection PMID: 28351330
- Elevated levels of ALT are Associated with Cardiovascular disease. PMID: 27872510
- Elevated aspartate aminotransferase level was associated with hepatocellular carcinoma. PMID: 26881519
- The serum hepcidin, ferritin, alanine transaminase, aspartate transaminase, gamma-glutamyltransferase and bilirubin were examined in two independent Chinese cohorts consisted of 3455 individuals. PMID: 26290281
- Data suggest that, in context of abnormal hepatic lipid accumulation in nonalcoholic fatty liver disease, circulating GOT1 rises due to up-regulation of hepatic expression of GOT1 associated with greater gluconeogenesis and insulin resistance. PMID: 26791191
- Human GOT1 was expressed in E coli, purified by affinity chromatography and preliminary crystallographic studies were done. PMID: 26003525
- We propose the GOT1 expression status as a simple and reliable prognostic biomarker in pancreatic ductal adenocarcinoma PMID: 25595905
- Significantly higher GOT levels were found in the 1-20 year age group of type 1 PMID: 24849491
- The aim of this study was to establish the reference intervals (RIs) of total bilirubin (TBIL), alanine aminotransferase (ALT), aspartate transaminase (AST), and creatinine (CREA) for apparently healthy elderly (Han ethnicity) in Shuyang, China. PMID: 25272068
- APRI and AST/ALT are independent predictors for significant fibrosis in chronic hepatitis C patients. PMID: 22352690
- This study highlights the necessity of intensive follow-up for those with elevated AST and ALT levels and comorbid alcohol use disorder for preventing excessive natural deaths. PMID: 22242166
- we discovered a rare in-frame deletion in GOT1 gene, which inactivates cAST enzyme in the Old Order Amish. PMID: 21900944
- Data indicate that the percentages of CD4(+)CXCR5(+) TFH in IA patients were positively correlated with AST. PMID: 21750724
- liver enzymes, including AST, were significantly associated with IR according to direct clamp assessment, which were independent of the traditional risk factors in diabetic patients PMID: 20972737
- Elevated serum LDH isoenzymes and AST indicate a disturbance (of uncertain clinical significance) within multiple extraosseous tissues when there is CLCN7 deficiency. PMID: 20499337
- mildly elevated in severe acute respiratory syndrome patients during second week after onset of fever. PMID: 15306699
- saliva AST and ALP may have roles in development of periodontal diseases PMID: 16681433
- PTLP activity is positively associated with serum ALT1, GOT1 and GOT2 in type 2 diabetes mellitus and metabolic syndrome. PMID: 17877759
- Abnormal serum aminotransferase values are uncommon in severely obese children in France. PMID: 17907318
- Data revealed higher aspartate aminotransferase for women with a family history of diabetes, when adjusted for age and BMI. PMID: 18242760
- Serum bilirubin, alkaline phosphatase, and aspartate aminotransferase are an efficient set of biochemistries to identify UDCA-treated patients with primary biliary cirrhosis at risk of death or liver transplantation (LT). PMID: 18752324
- Neither ALT nor GGT concentrations were correlated with ALP concentration, but AST concentration was moderately correlated with ALP concentration. PMID: 19012630
- Results suggest that alanine and aspartate aminotransferase levels and AST/ALT ratio do not seem to be reliable predictors for non-alcoholic steatohepatitis. PMID: 19370784
- the management of patients with pyelonephritis should take into account that moderate and self-limited abnormalities in aminotransferase levels are frequent during the acute phase of the disease PMID: 19393479
顯示更多
收起更多
-
亞細胞定位:Cytoplasm.
-
蛋白家族:Class-I pyridoxal-phosphate-dependent aminotransferase family
-
數據庫鏈接:
Most popular with customers
-
-
YWHAB Recombinant Monoclonal Antibody
Applications: ELISA, WB, IHC, IF, FC
Species Reactivity: Human, Mouse, Rat
-
Phospho-YAP1 (S127) Recombinant Monoclonal Antibody
Applications: ELISA, WB, IHC
Species Reactivity: Human
-
-
-
-
-















