GOSR1 Antibody
-
中文名稱:GOSR1兔多克隆抗體
-
貨號:CSB-PA009677ESR2HU
-
規格:¥440
-
圖片:
-
Western blot
All lanes: GOSR1 antibody at 16μg/ml + Mouse liver tissue
Secondary
Goat polyclonal to rabbit IgG at 1/10000 dilution
Predicted band size: 29, 22 kDa
Observed band size: 29 kDa -
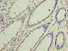
Immunohistochemistry of paraffin-embedded human colon cancer using CSB-PA009677ESR2HU at dilution of 1:100
-
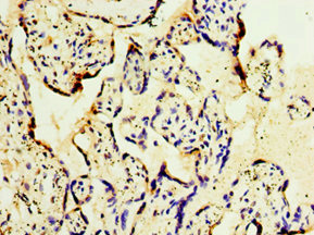
Immunohistochemistry of paraffin-embedded human placenta tissue using CSB-PA009677ESR2HU at dilution of 1:100
-
-
其他:
產品詳情
-
產品名稱:Rabbit anti-Homo sapiens (Human) GOSR1 Polyclonal antibody
-
Uniprot No.:
-
基因名:GOSR1
-
別名:GOSR1; GS28; Golgi SNAP receptor complex member 1; 28 kDa Golgi SNARE protein; 28 kDa cis-Golgi SNARE p28; GOS-28
-
宿主:Rabbit
-
反應種屬:Human, Mouse
-
免疫原:Recombinant Human Golgi SNAP receptor complex member 1 protein (1-115AA)
-
免疫原種屬:Homo sapiens (Human)
-
標記方式:Non-conjugated
-
克隆類型:Polyclonal
-
抗體亞型:IgG
-
純化方式:Antigen Affinity Purified
-
濃度:It differs from different batches. Please contact us to confirm it.
-
保存緩沖液:PBS with 0.02% sodium azide, 50% glycerol, pH7.3.
-
產品提供形式:Liquid
-
應用范圍:ELISA, WB, IHC
-
推薦稀釋比:
Application Recommended Dilution WB 1:500-1:2000 IHC 1:20-1:200 -
Protocols:
-
儲存條件:Upon receipt, store at -20°C or -80°C. Avoid repeated freeze.
-
貨期:Basically, we can dispatch the products out in 1-3 working days after receiving your orders. Delivery time maybe differs from different purchasing way or location, please kindly consult your local distributors for specific delivery time.
-
用途:For Research Use Only. Not for use in diagnostic or therapeutic procedures.
相關產品
靶點詳情
-
功能:Involved in transport from the ER to the Golgi apparatus as well as in intra-Golgi transport. It belongs to a super-family of proteins called t-SNAREs or soluble NSF (N-ethylmaleimide-sensitive factor) attachment protein receptor. May play a protective role against hydrogen peroxide induced cytotoxicity under glutathione depleted conditions in neuronal cells by regulating the intracellular ROS levels via inhibition of p38 MAPK (MAPK11, MAPK12, MAPK13 and MAPK14). Participates in docking and fusion stage of ER to cis-Golgi transport. Plays an important physiological role in VLDL-transport vesicle-Golgi fusion and thus in VLDL delivery to the hepatic cis-Golgi.
-
基因功能參考文獻:
- these results indicate that GS28 nuclear predominant expression could serve as a prognostic marker for colorectal cancer (CRC) and may help in identifying aggressive forms of CRC PMID: 28638266
- High nuclear expression of GS28 is associated with poor prognosis in early-stage cervical cancer patients. GS28 might be a novel prognostic marker and a potential therapeutic target in cervical cancer treatment. PMID: 27611086
- Golgi vesicles, presumably with COPI, serve to inhibit intra-Golgi transport by the extraction of GS27 and GS28 from the Golgi cisternae, which blocks the formation of inter-cisternal connections PMID: 23387339
- GS28 may potentiate cells to DNA-damage-induced apoptosis by inhibiting the ubiquitination and degradation of p53. PMID: 22397410
- ORP7 negatively regulates GS28 protein stability via sequestration of GATE-16, and may mediate the effect of 25-OH on GS28 and Golgi function. PMID: 21669198
- Apolipoprotein E, growth factor receptor-bound protein 2, Golgi SNAP receptor complex member 1, and glucosidase, beta, acid may play a neurodegenerative role in stress urinary incontinence development. PMID: 20700730
- Data suggest that GS15 exists in a distinct SNARE complex that contains syntaxin5, GS28, and Ykt6, and may be involved in both ER-to-Golgi and intra-Golgi transport. PMID: 12388752
顯示更多
收起更多
-
亞細胞定位:Golgi apparatus membrane; Single-pass type IV membrane protein.
-
蛋白家族:GOSR1 family
-
數據庫鏈接:
Most popular with customers
-
YWHAB Recombinant Monoclonal Antibody
Applications: ELISA, WB, IHC, IF, FC
Species Reactivity: Human, Mouse, Rat
-
Phospho-YAP1 (S127) Recombinant Monoclonal Antibody
Applications: ELISA, WB, IHC
Species Reactivity: Human
-
-
-
-
-
-















