GNA11 Antibody
-
中文名稱:GNA11兔多克隆抗體
-
貨號:CSB-PA201320
-
規格:¥1100
-
圖片:
-
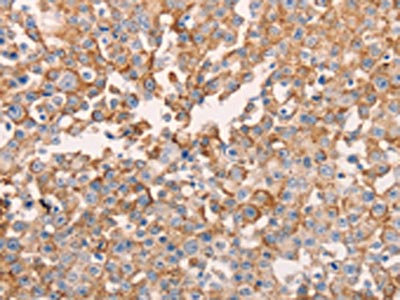
The image on the left is immunohistochemistry of paraffin-embedded Human breast cancer tissue using CSB-PA201320(GNA11 Antibody) at dilution 1/40, on the right is treated with fusion protein. (Original magnification: ×200)
-
Gel: 10%SDS-PAGE, Lysate: 40 μg, Lane: Mouse eyes tissue, Primary antibody: CSB-PA201320(GNA11 Antibody) at dilution 1/550, Secondary antibody: Goat anti rabbit IgG at 1/8000 dilution, Exposure time: 10 seconds
-
-
其他:
產品詳情
-
Uniprot No.:
-
基因名:
-
別名:G alpha-11 antibody; G-protein subunit alpha-11 antibody; GA11 antibody; GNA11 antibody; GNA11_HUMAN antibody; guanine nucleotide binding protein (G protein); alpha 11 (Gq class) antibody; Guanine nucleotide-binding protein G(y) subunit alpha antibody; Guanine nucleotide-binding protein subunit alpha-11 antibody; guanine nucleotide-binding protein; alpha 11 antibody; guanine nucleotide-binding protein; Gq class; GNA11 antibody
-
宿主:Rabbit
-
反應種屬:Human,Mouse,Rat
-
免疫原:Fusion protein of Human GNA11
-
免疫原種屬:Homo sapiens (Human)
-
標記方式:Non-conjugated
-
抗體亞型:IgG
-
純化方式:Antigen affinity purification
-
濃度:It differs from different batches. Please contact us to confirm it.
-
保存緩沖液:-20°C, pH7.4 PBS, 0.05% NaN3, 40% Glycerol
-
產品提供形式:Liquid
-
應用范圍:ELISA,WB,IHC
-
推薦稀釋比:
Application Recommended Dilution ELISA 1:2000-1:5000 WB 1:500-1:2000 IHC 1:50-1:200 -
Protocols:
-
儲存條件:Upon receipt, store at -20°C or -80°C. Avoid repeated freeze.
-
貨期:Basically, we can dispatch the products out in 1-3 working days after receiving your orders. Delivery time maybe differs from different purchasing way or location, please kindly consult your local distributors for specific delivery time.
-
用途:For Research Use Only. Not for use in diagnostic or therapeutic procedures.
相關產品
靶點詳情
-
功能:Guanine nucleotide-binding proteins (G proteins) are involved as modulators or transducers in various transmembrane signaling systems. Acts as an activator of phospholipase C. Transduces FFAR4 signaling in response to long-chain fatty acids (LCFAs).
-
基因功能參考文獻:
- Results show that postzygotic mosaicism for GNA11 mutations causes an overlapping phenotypic spectrum of vascular and melanocytic birthmarks. PMID: 28083870
- GNAQ/GNA11Q209 mutations characterized a distinct, albeit uncommon subtype of non-uveal melanoma (0.5-1%). These mutations were essentially melanoma-specific, occurred in all subtypes of this disease (including cutaneous, mucosal, uveal, and unknown primary), and were mutually exclusive with other common melanoma mutations. PMID: 27089234
- GNA11 mutations are associated with extremity capillary malformations causing overgrowth. PMID: 28120216
- There were no significant differences in the prevalence of GNAQ and GNA11 mutations between patients with or without metastatic disease PMID: 28444874
- a novel germline gain-of-function Galpha11 mutation, Val340Met, causing Autosomal Dominant Hypocalcemia Type 2 demonstrates the importance of the Galpha11 C-terminal region for G-protein function and CaSR signal transduction. PMID: 26818911
- studies have identified a third Galpha11 mutation (Thr54Met) causing Familial Hypocalciuric Hypercalcemia Type 2 and reveal a critical role for the Galpha11 interdomain interface in CaSR signaling and Ca(2+) o homeostasis. PMID: 26729423
- Adenocarcinomas or adenomas derived from pigmented ciliary epithelium is distinguished from uveal melanoma by the absence of SOX10 expression and presence of the BRAF V600E mutation. PMID: 29059311
- Mutations in GNAQ and GNA11 genes in Greek uveal melanoma population present frequencies that qualify them as potential targets for customized therapy. PMID: 28982892
- Sporadic melanotic schwannoma with overlapping features of melanocytoma bearing a GNA11 mutation in an adolescent girl. PMID: 28012237
- we find iris melanomas to be related genetically to choroidal and ciliary body melanomas, frequently harboring GNAQ, GNA11, and EIF1AX mutations. PMID: 28700778
- GNAQ and GNA11 mutations occur frequently in mucosal melanoma and may be a prognostic factor for MM. Our data implicate that GNAQ/11 may be potential targets for targeted therapy of mucosal melanoma. PMID: 27498141
- CGRP family of receptors displays both ligand- and RAMP-dependent signaling bias among the Galphas, Galphai, and Galphaq/11 pathways. PMID: 27566546
- The identified GNA11 mutation results in biochemical abnormalities typical for autosomal dominant hypocalcemia. Additional features, including short stature and early intracranial calcifications, cosegregated with the mutation. PMID: 27334330
- In 33 CASR-negative patients with suspected FHH, Data found two (~6%) with a mutation in AP2S1 (p.Arg15Leu and p.Arg15His). Family screening confirmed the genotype-phenotype correlations. Data did not identify any pathogenic mutations in GNA11. PMID: 27913609
- Driver mutations are rare in mutational hotspots of BRAF, NRAS, KIT, and GNAQ/GNA11 in oral mucosal melanoma. PMID: 26399561
- These findings demonstrate that CaSR-targeted compounds can rectify signaling disturbances caused by germline and somatic Galpha11 mutations, which respectively lead to calcium disorders and tumorigenesis; and that ADH2-causing Galpha11 mutations induce non-constitutive alterations in MAPK signaling. PMID: 26994139
- Mutations in GNA11 gene is associated with malignant uveal melanoma. PMID: 26462151
- extensive dermal melanocytosis and phakomatosis pigmentovascularis are associated with activating mutations in GNA11 and GNAQ, genes that encode Galpha subunits of heterotrimeric G proteins PMID: 26778290
- Melanomas associated with blue nevi or mimicking cellular blue nevi commonly have GNA11 mutations. PMID: 26645730
- Distribution of GNAQ and GNA11 Mutation Signatures in Uveal Melanoma Points to a Light Dependent Mutation Mechanism. PMID: 26368812
- Oncogenic GNA11 mutation is associated with uveal melanoma. PMID: 25280020
- Involved in the MAPK/ERK, PI3K/AKT, and GNAQ/11 pathways. PMID: 25695059
- review discusses the multiple activated signaling targets downstream of mutant GNAQ and GNA11 in uveal melanoma, including MEK, PI3-kinase/Akt, protein kinase C, and YAP PMID: 25304237
- Identification of Distinct Conformations of the Angiotensin-II Type 1 Receptor Associated with the Gq/11 Protein Pathway and the beta-Arrestin Pathway Using Molecular Dynamics Simulations. PMID: 25934394
- melanopsin is a powerful optogenetic tool for the investigation of spatial and temporal aspects of Gq signalling in cardiovascular research PMID: 24576953
- Our findings indicate that the germline gain-of-function mutation of GNA11 is a cause of autosomal dominant hypoparathyroidism and implicate a novel role for GNA11 in skeletal growth. PMID: 24823460
- Metastatic uveal melanoma with GNAQ or GNA11 mutations is responsive to PKC inhibitors. PMID: 24141786
- There was a significant association of GNA11 mutation status with metastatic status in uveal melanoma. PMID: 24970262
- Increasing Galpha11 protein expression in osteoblasts can alter gene expression and result in a dual mechanism of trabecular bone loss. PMID: 24308950
- This study identifies HRAS mutations in deep penetrating nevi. The presence of HRAS mutations and absence of GNAQ or GNA11 mutations in deep penetrating nevi suggests classification of these nevi within the Spitz rather than the blue nevus category. PMID: 23599145
- the PECAM-1.Galphaq/11 mechanosensitive complex contains an endogenous heparan sulfate proteoglycan with HS chains that is critical for junctional complex assembly and regulating the flow response PMID: 24497640
- There is a specific Egr-1 binding site at nt-475/-445. Egr-1 evoked an increased GNA11 transcription. PMID: 23802749
- Mutant alleles of the GNA11 or GNAQ genes, which are highly specific for uveal melanoma, were identified in cell-free DNA of 9 of 22 (41%) patients. PMID: 23634288
- In primary melanocytic tumours, GNA11 and N-RAS mutations represent a mechanism of MAPK pathway activation alternative to the common GNAQ mutations PMID: 22758774
- GNAQ and GNA11 mutations are, in equal matter, not associated with uveal melanoma patient outcome. PMID: 23778528
- Letter/Case Report: role of GNAQ/GNA11 mutational analysis in management of choroidal melanoma metastatic to the contralateral orbit. PMID: 23572068
- Galpha11 mutants with loss of function cause familial hypocalciuric hypercalcemia type 2, and Galpha11 mutants with gain of function cause a clinical disorder designated as autosomal dominant hypocalcemia type 2. PMID: 23802516
- Genomewide linkage analysis, combined with whole-exome sequencing, revealed two different heterozygous mutations affecting Galpha11 as novel causes of autosomal dominant isolated hypoparathyroidism. PMID: 23802536
- The vast majority of primary large uveal melanomas harbor mutually-exclusive mutations in GNAQ or GNA11, but very rarely have the oncogenic mutations that are reported commonly in other cancers. PMID: 22977135
- The results expand the spectrum of GNA11 mutations that may occur in melanocytomas. PMID: 22307269
- The presumed association of TRH-R with G(q/11)alpha proteins in plasma membranes was verified by RNAi experiments PMID: 22240728
- [review] Gq transgene activation mediates cardiac hypertrophy in vivo in response to pressure overload; transgenic mice with cardiac-specific deletion of Galphaq family proteins show no ventricular hypertrophy in response to pressure overload PMID: 20531218
- The DNA obtained is of sufficient quality to carry out genotyping for markers on chromosome 3, 6 and 8, as well as screening for somatic mutations in GNAQ and GNA11 genes. PMID: 21945171
- Regulation of the epithelial Na+ channel by the RH domain of G protein-coupled receptor kinase, GRK2, and Galphaq/11. PMID: 21464134
- Benign and malignant blue nevi harbor frequent mutations in the Galphaq class of G-protein alpha subunits, Gnaq and Gna11 proteins. PMID: 21366456
- Of the uveal melanomas we analyzed, 83% had somatic mutations in GNAQ or GNA11. PMID: 21083380
- the C-terminal domain participates intimately in the efficacy of B1R and B2R G(q/11) coupling by contributing both positive and negative regulatory epitopes. PMID: 12130679
- GNA11 is involved in signalling of gonadotropin-releasing hormone receptor, which negatively regulates cell growth. Down-regulation is suggested to be involved in human breast cancers. PMID: 12759536
- a new signaling pathway by which G alpha(q/11)-coupled receptors specifically induce Rho signaling through a direct interaction of activated G alpha(q/11) subunits with p63RhoGEF. PMID: 15632174
- regulation of the PLC pathway through the PTH1R is significantly increased by elevating expression of G(11)alpha in osteoblastic cells. PMID: 15693018
顯示更多
收起更多
-
相關疾病:Hypocalciuric hypercalcemia, familial 2 (HHC2); Hypocalcemia, autosomal dominant 2 (HYPOC2)
-
亞細胞定位:Cell membrane; Lipid-anchor. Cytoplasm. Note=In testicular cells, expressed exclusively in the cytoplasm.
-
蛋白家族:G-alpha family, G(q) subfamily
-
組織特異性:Expressed in testis.
-
數據庫鏈接:
Most popular with customers
-
YWHAB Recombinant Monoclonal Antibody
Applications: ELISA, WB, IHC, IF, FC
Species Reactivity: Human, Mouse, Rat
-
Phospho-YAP1 (S127) Recombinant Monoclonal Antibody
Applications: ELISA, WB, IHC
Species Reactivity: Human
-
-
-
-
-
-















