GLRA1 Antibody
-
中文名稱:GLRA1兔多克隆抗體
-
貨號:CSB-PA933792
-
規格:¥1100
-
圖片:
-
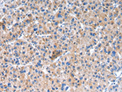
The image on the left is immunohistochemistry of paraffin-embedded Human liver cancer tissue using CSB-PA933792(GLRA1 Antibody) at dilution 1/20, on the right is treated with synthetic peptide. (Original magnification: ×200)
-
Gel: 8%SDS-PAGE, Lysate: 40 μg, Lane: Human placenta tissue, Primary antibody: CSB-PA933792(GLRA1 Antibody) at dilution 1/250 dilution, Secondary antibody: Goat anti rabbit IgG at 1/8000 dilution, Exposure time: 2 minutes
-
-
其他:
產品詳情
-
Uniprot No.:
-
基因名:GLRA1
-
別名:GLRA1 antibody; GLRA1_HUMAN antibody; Glycine receptor 48 kDa subunit antibody; Glycine receptor alpha 1 antibody; Glycine receptor strychnine-binding subunit antibody; Glycine receptor subunit alpha-1 antibody; Glycine receptor; alpha 1 subunit antibody; HKPX1 antibody; STHE antibody
-
宿主:Rabbit
-
反應種屬:Human,Mouse,Rat
-
免疫原:Synthetic peptide of Human GLRA1
-
免疫原種屬:Homo sapiens (Human)
-
標記方式:Non-conjugated
-
抗體亞型:IgG
-
純化方式:Antigen affinity purification
-
濃度:It differs from different batches. Please contact us to confirm it.
-
保存緩沖液:-20°C, pH7.4 PBS, 0.05% NaN3, 40% Glycerol
-
產品提供形式:Liquid
-
應用范圍:ELISA,WB,IHC
-
推薦稀釋比:
Application Recommended Dilution ELISA 1:2000-1:5000 WB 1:500-1:2000 IHC 1:10-1:50 -
Protocols:
-
儲存條件:Upon receipt, store at -20°C or -80°C. Avoid repeated freeze.
-
貨期:Basically, we can dispatch the products out in 1-3 working days after receiving your orders. Delivery time maybe differs from different purchasing way or location, please kindly consult your local distributors for specific delivery time.
-
用途:For Research Use Only. Not for use in diagnostic or therapeutic procedures.
相關產品
靶點詳情
-
功能:Glycine receptors are ligand-gated chloride channels. Channel opening is triggered by extracellular glycine. Channel opening is also triggered by taurine and beta-alanine. Channel characteristics depend on the subunit composition; heteropentameric channels are activated by lower glycine levels and display faster desensitization. Plays an important role in the down-regulation of neuronal excitability. Contributes to the generation of inhibitory postsynaptic currents. Channel activity is potentiated by ethanol. Potentiation of channel activity by intoxicating levels of ethanol contribute to the sedative effects of ethanol.
-
基因功能參考文獻:
- Results support the notion that the efficacies of ligands for the alpha1 GlyR are determined by conformational changes that occur within and near the ligand-binding domain: disruption of the D97-R119 interaction may be an important element in receptor activation and that agonists may break this putative intersubunit bond in order to destabilize the initial shut state and facilitate transitions towards the open state. PMID: 27923639
- The E103K startle mutation reduces the sensitivity of glycine receptor alpha 1 to both glycine and sarcosine and impairs channel gating. PMID: 28174298
- gain-of-function GLRA1 mutations also cause hyperekplexia, although the mechanism is unknown. Here we identify two new gain-of-function mutations (I43F and W170S) and characterize these along with known gain-of-function mutations (Q226E, V280M, and R414H) to identify how they cause hyperekplexia. PMID: 27226610
- GLRA1 and GLRB mutations are responsible for abnormal startled reactions in humans. (Review) PMID: 26845851
- in two sisters with hyperekplexia a compound heterozygosis of 2 novel mutations of GLRA1 gene was found - heterozygous for a C-to-G base transition resulting in a phenylalanine to leucine amino acid change in position 235 and for a T-to-C base transition resulting in a cysteine to arginine amino acid change in position 237 PMID: 25079583
- the TM3-4 loop length is critical for glycine receptor alpha1 desensitization and a direct neighborhood of both basic stretches changes receptor properties from non-desensitizing to desensitizing. PMID: 26079326
- Self-declared ethnicity can predict gene-screening outcomes. Cultural practices influence the inheritance patterns and a Caucasian founder is postulated for R271 mutations. PMID: 24970905
- Mutations in the GLRA1 were identified in 16 Japanese patients with hyperekplexia. PMID: 25356525
- Data indicate that alpha1Q-26'E-containing glycine receptors have longer active periods and lower conductances. PMID: 25572390
- The first X-ray structure of the TMD of the alpha1GlyR solved here using GLIC as a scaffold paves the way for mechanistic investigation and design of allosteric modulators of a human receptor. PMID: 25730860
- In GlyRA1 mutants, a portion of them can be transported to the plasma membrane but don't form funtional channels; a possible cause for hyperekplexia. PMID: 25568133
- Comparison of glycine-mediated conformational changes in the extracellular M2-M3 domain finds significantly different structures between GlyR alpha3 and GlyR alpha1 isoforms. PMID: 23834509
- Conformation and function of the human GLRA1 chloride channel. PMID: 23994010
- Analysis of hyperekplexia mutations identifies transmembrane domain rearrangements that mediate glycine receptor activation. PMID: 24097980
- p.E375X truncated subunits are incorporated into functional hGlyRs together with unmutated alpha1 or alpha1 plus beta subunits. PMID: 24108130
- Normal-mode analysis shows that a glycine alpha-1 receptor suspended in a fully hydrated lipid bilayer continues to demonstrate an iris-like channel gating motion as a low-frequency, high-amplitude natural harmonic vibration consistent with channel gating. PMID: 22816018
- Glycine receptor alpha1 subunit specific-autoantibody study aids identification of autoimmune brainstem/spinal cord hyperexcitability disorders and may extend to the glycinergic visual system. PMID: 23090334
- Ethanol mediated potentiation of GlyR is in part by Gbetagamma activation. PMID: 23035114
- TM3-4 loop subdomains are important for functional reconstitution of glycine receptors by independent domains PMID: 22995908
- A 12-amino-acid segment incorporating the 271 residue on the glycine receptor alpha1271Q/L subunit was replaced by the homologous segment from the glycine receptor beta subunit (alpha1(Ch) 271Q/L). The function of the alpha1(Ch) 271Q/L glycine receptor was examined. PMID: 21955162
- a novel p.W170S mutation in the extracellular ligand binding domain of glycine receptor alpha1 subunit was detected in patients with hyperekplexia and mild mental retardation. PMID: 22264702
- Mutations in the GlyR alpha-1 subunit, M287L and Q266I, resulted in a small but general impairment of glycine action, that is most evident in the glycine-induced maximal currents. PMID: 22037201
- Hereditary hyperekplexia-causing mutations that modify alpha1 beta GlyR channel function are almost exclusively located in the alpha1 to the exclusion of the beta subunit. PMID: 22132222
- By slowing and impairing channel gating in GLRA1, the K276E mutation facilitates the detection of closed reaction intermediates in the activation pathway of glycine channels. PMID: 22279218
- Activation and desensitization induce distinct conformational changes at the extracellular-transmembrane domain interface of the glycine receptor PMID: 21917927
- ethanol appears to stabilize the GlyR model built on a presumably open form of the ligand-gated channel. PMID: 21463577
- Selective alterations in GlyRalpha1 subunit function contribute to inhibitory insufficiency in motoneurons early in the disease process of amyotrophic lateral sclerosis. PMID: 21414903
- Depolarization of GlyCl-expressing cells induces these drastic changes in melanocyte behavior via a serotonin-transporter-dependent increase of extracellular serotonin PMID: 20959630
- the coordination environment of Cu(2)(+) in the human alpha1-glycine receptor PMID: 20959090
- sequencing of GLRA1 in 88 new unrelated hyperekplexia patients revealed 19 sequence variants in 30 index cases, of which 21 were inherited in recessive or compound heterozygote modes; investigated functional effects of 11 novel and 2 recurrent mutations PMID: 20631190
- Presence of an impermeant Ca(2+) ion in the Glra1 channel pore region just external to the selectivity filter tends to electrostatically retard outward movement of Na(+) ions and to enhance movement of Cl(-) ions down their energy gradients. PMID: 20198385
- Results indicate that the multifunctional basic motif of the TM3-4 loop is capable of mediating a karyopherin-dependent intracellular sorting of full-length GlyRs. PMID: 19959465
- Sequencing analysis of all exons of the alpha1 subunit of the glycine receptor (GLRA1) gene revealed a G1158A base transition in affected, heterozygous patients. PMID: 11781706
- A novel recessive hyperekplexia allele GLRA1 (S231R): genotyping by MALDI-TOF mass spectrometry and functional characterisation PMID: 11973623
- A single substitution at the intracellular mouth of the alpha 1 glycine receptor M2 domain converts the channel charge selectivity to cations over anions, providing evidence of critical electrostatic interactions between permeating ions and pore residues. PMID: 11981020
- Ion charge selectivity mutation of the alpha 1 homomeric glycine receptor inverts the electrostatic profile of the channel pore by introducing a negatively charged ring at the putative selectivity filter. PMID: 11981021
- Probing the topology of the glycine receptor alpha1 by chemical modification coupled to mass spectrometry. PMID: 11994009
- NMR of GLRA1 reveals a pore architecture in which simultaneous tilting movements of entire TM2 helices by a mere 10 degrees may be sufficient to account for the channel gating PMID: 12080117
- variations in glycine receptor alpha1(GlyR) density during cluster formation result from a change in GlyR efficiency due to modifications in their desensitization properties. PMID: 12237328
- Results provide evidence for a conserved pore opening mechanism in anion-selective members of the ligand-gated ion channel family, including glycine receptors (GlyR) and gamma-aminobutyric acid, type A receptors (GABA(A)R). PMID: 12239220
- Effects of phosphorylation on glycine receptor kinetics. with phosphorylators or with phosphatases. Phosphorylation accelerated desensitisation, but slowed deactivation and recovery from desensitisation. PMID: 12356883
- Treatment of the glycine receptor alpha 1 channel with ginsenoside Rf enhances glycine-induced inward peak current (IGly) in a dose dependent and reversible manner but ginsenoside Rf itself did not elicit membrane currents. PMID: 12661758
- We propose a kinetic scheme with three independent open states, where the opening rates are dependent upon the activating agonist, while the closing rates are an intrinsic characteristic of the receptor. PMID: 12679369
- binding of zinc at the interface between adjacent glycine receptor alpha1 subunits could restrict intersubunit movements, providing a feasible mechanism for the inhibition of channel activation by zinc PMID: 12740384
- novel GLRA1 mutation, occurring de novo in a patient with hyperekplexia, which results in the substitution of the arginine at position 218 with a glutamine (R218Q) PMID: 12746425
- findings indicate that pressure directly and selectively antagonizes ethanol potentiation of alpha(1)glycine receptor function PMID: 12766618
- a highly conserved aspartic acid residue in the signature disulfide loop of the alpha 1 subunit is a determinant of gating in the glycine receptor PMID: 12826676
- We produced knock-in mice bearing the human GlyR alpha1 S267Q dominant-negative point mutation in GlyR, disrupting normal function and producing a more dramatic phenotype than the corresponding recessive null mutation PMID: 12954867
- loops 2 and 7 in the extracellular domain play an important role in the mechanism of activation of the glycine receptor although not by a direct electrostatic mechanism PMID: 14525990
- proton modulation of glycine receptor function is determined by extracellular domain in both the alpha1 and beta subunits PMID: 14563849
顯示更多
收起更多
-
相關疾病:Hyperekplexia 1 (HKPX1)
-
亞細胞定位:Cell junction, synapse, postsynaptic cell membrane; Multi-pass membrane protein. Cell junction, synapse. Perikaryon. Cell projection, dendrite. Cell membrane; Multi-pass membrane protein.
-
蛋白家族:Ligand-gated ion channel (TC 1.A.9) family, Glycine receptor (TC 1.A.9.3) subfamily, GLRA1 sub-subfamily
-
數據庫鏈接:
Most popular with customers
-
-
YWHAB Recombinant Monoclonal Antibody
Applications: ELISA, WB, IHC, IF, FC
Species Reactivity: Human, Mouse, Rat
-
Phospho-YAP1 (S127) Recombinant Monoclonal Antibody
Applications: ELISA, WB, IHC
Species Reactivity: Human
-
-
-
-
-















