GLI1 Antibody
-
中文名稱:GLI1兔多克隆抗體
-
貨號:CSB-PA12989A0Rb
-
規格:¥440
-
圖片:
-
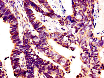
IHC image of CSB-PA12989A0Rb diluted at 1:400 and staining in paraffin-embedded human ovarian cancer performed on a Leica BondTM system. After dewaxing and hydration, antigen retrieval was mediated by high pressure in a citrate buffer (pH 6.0). Section was blocked with 10% normal goat serum 30min at RT. Then primary antibody (1% BSA) was incubated at 4°C overnight. The primary is detected by a biotinylated secondary antibody and visualized using an HRP conjugated SP system.
-
Immunofluorescence staining of HepG2 cells with CSB-PA12989A0Rb at 1:133, counter-stained with DAPI. The cells were fixed in 4% formaldehyde, permeabilized using 0.2% Triton X-100 and blocked in 10% normal Goat Serum. The cells were then incubated with the antibody overnight at 4°C. The secondary antibody was Alexa Fluor 488-congugated AffiniPure Goat Anti-Rabbit IgG(H+L).
-
-
其他:
產品詳情
-
產品名稱:Rabbit anti-Homo sapiens (Human) GLI1 Polyclonal antibody
-
Uniprot No.:
-
基因名:
-
別名:Gli 1 antibody; GLI antibody; GLI family zinc finger 1 antibody; GLI Kruppel family member 1 antibody; gli1 antibody; GLI1_HUMAN antibody; Glioma associated oncogene 1 antibody; Glioma associated oncogene homolog 1 (zinc finger protein) antibody; Glioma associated oncogene homolog antibody; Glioma-associated oncogene antibody; Oncogene GLI antibody; Zfp 5 antibody; Zfp5 antibody; Zinc finger protein GLI 1 antibody; Zinc finger protein GLI1 antibody
-
宿主:Rabbit
-
反應種屬:Human
-
免疫原:Recombinant Human Zinc finger protein GLI1 protein (921-1106AA)
-
免疫原種屬:Homo sapiens (Human)
-
標記方式:Non-conjugated
本頁面中的產品,GLI1 Antibody (CSB-PA12989A0Rb),的標記方式是Non-conjugated。對于GLI1 Antibody,我們還提供其他標記。見下表:
-
克隆類型:Polyclonal
-
抗體亞型:IgG
-
純化方式:>95%, Protein G purified
-
濃度:It differs from different batches. Please contact us to confirm it.
-
保存緩沖液:Preservative: 0.03% Proclin 300
Constituents: 50% Glycerol, 0.01M PBS, PH 7.4 -
產品提供形式:Liquid
-
應用范圍:ELISA, IHC, IF
-
推薦稀釋比:
Application Recommended Dilution IHC 1:200-1:500 IF 1:50-1:200 -
Protocols:
-
儲存條件:Upon receipt, store at -20°C or -80°C. Avoid repeated freeze.
-
貨期:Basically, we can dispatch the products out in 1-3 working days after receiving your orders. Delivery time maybe differs from different purchasing way or location, please kindly consult your local distributors for specific delivery time.
-
用途:For Research Use Only. Not for use in diagnostic or therapeutic procedures.
相關產品
靶點詳情
-
功能:Acts as a transcriptional activator. Binds to the DNA consensus sequence 5'-GACCACCCA-3'. Regulates the transcription of specific genes during normal development. Plays a role in craniofacial development and digital development, as well as development of the central nervous system and gastrointestinal tract. Mediates SHH signaling. Plays a role in cell proliferation and differentiation via its role in SHH signaling.; Acts as a transcriptional activator, but activates a different set of genes than isoform 1. Activates expression of CD24, unlike isoform 1. Mediates SHH signaling. Promotes cancer cell migration.
-
基因功能參考文獻:
- Study showed the expression levels of Gli1 and HER2 were significantly higher in gastric cancer, and they are positively related. Gli1 positive patients live a shorter survival time independently of HER2 status. In addition, suppressing the expression level of Gli1 can decrease the cell viability and migration ability in cells and subcutaneous tumors. PMID: 29321573
- The results provide new evidence of Numb and Gli1 on the clinical characteristics of Malignant pleural mesothelioma, which may be helpful in clinical diagnosis and targeted therapy. Further research with larger sample size is needed PMID: 30197333
- Frameshift Mutation of GLI1 is associated with Colorectal Cancer. PMID: 28664474
- Histone deacetylase 6 (HDAC6) inhibition enhanced glioma stem cells (GSCs) radiosensitivity via inactivating sonic hedgehog protein (SHH)/glioma-associated oncogene homolog 1 (Gli1) pathway. PMID: 29222038
- HPI-1 worked more effectively than GANT-58 against breast carcinoma cells. In conclusion, HPI-1 could inhibit cell proliferation, reduce cell invasion and decrease cancer stem cell population in breast cancer cells. To target Gli-1 could be a potential strategy to suppress breast cancer stem cells. PMID: 29734730
- High GLI1 expression is associated with unfavorable OS and FPS in patients with gastric cancer. As a member of the Hedgehog signaling pathway, GLI1 co-expressed genes are also largely enriched in PI3K/AKT pathway in gastric cancer. PMID: 29596399
- the results suggest that aberrant expression of Gli1 serves a role in HSCR by targeting EDNRB. PMID: 29484400
- Abnormal elevation of Gli1 and decrease of miR-361 were found in esophageal cancer tissues. MiR-361 weakened invasion of cancer cells and impeded EMT process via the inhibition of Gli1. PMID: 29125483
- Data show that miR-150 inhibits glioma-associated oncogene homolog 1 (Gli1) expression via targeting 3'-UTR of Gli1 gene. PMID: 29081413
- Downregulation of miR-150 and elevation of Gli1 promote the development and invasion of colorectal cancer cell Epithelial-mesenchymal transition (EMT). MiR-150 attenuated the progression of colorectal cancer cell EMT via inhibiting Gli1. PMID: 29164577
- data collectively suggest that silencing of PRMT1 exerts anti-catabolic and anti-inflammatory effects on IL-1beta-induced chondrocytes via suppressing the Gli-1 mediated Hedgehog signaling pathway, indicating that PRMT1 plays a critical role in OA development and serves as a promising therapeutic target for OA. PMID: 28744817
- Shh and Gli1 expression were associated with lymph node metastasis, TNM stage and tumor recurrence, suggesting Shh and Gli1 protein could become the valuable biomarker in evaluating the lymph node metastasis in oral squamous cell carcinoma. PMID: 28886265
- we have identified an oncogenic MALAT1-GLI1 fusion gene in all cases of gastroblastoma that may serve as a diagnostic biomarker. PMID: 28731043
- Analysis of fibroblasts from a patient with homozygous C-terminal truncation of GLI1 demonstrated that the corresponding mutant GLI1 protein is fabricated by patient cells and becomes upregulated in response to Hh signaling. PMID: 28973407
- The results showed that Shh and Gli1 were upregulated in prostate cancer tissues and were targeted by a phytogenic neoplastic compound carnosol. PMID: 28886322
- Our finding demonstrated that triple phosphorylation of GLI1 by AMPK on Ser-102, Ser-408 and Thr-1074 increases the cytoplasmic localization and binding stability to E3 ligase beta-TrCP, ultimately driving GLI1 protein degradation. PMID: 28562331
- Our results identify a new molecular mechanism involving miR-326 and Arrb1 as regulators of Sonic hedgehog medulloblastoma Cancer stem cells . Specifically, low levels of Arrb1 and miR-326 trigger and maintain Hh/Gli signaling and self-renewal PMID: 28716052
- study reveals that the USP48-Gli1 regulatory axis is critical for glioma cell proliferation and glioblastoma tumorigenesis. PMID: 28623188
- Gli-1 is a credible indicator for highly aggressive tumor with poor prognosis in gastric cancer patients [meta-analysis] PMID: 27634907
- Gli may be critical for lung adenocarcinoma metastasis. A novel Gli inhibitor shows promise as a therapeutic agent by preventing cell migration and invasion in vitro and significantly reducing tumor growth and increasing E-Cadherin expression in vivo. PMID: 27533453
- Hedgehog pathway dysregulation contributes to the pathogenesis of human gastrointestinal stromal tumors via GLI-mediated activation of KIT expression. PMID: 27793025
- Data demonstrate involvement of transcription and of DNA replication licensing factors by non-transcriptional and transcriptional mechanisms in the GLI-dependent mechanism of action of GANT61 in Ht29 cells. PMID: 27863397
- Oxytocin receptor signaling promoted the angiogenic behaviors of HUVECs via Gli1-indcued transcription of HIF-1alpha. PMID: 28445928
- Galectin-1 promotes invasion and epithelial mesenchymal transformation in gastric cancer cells via activation of the non-canonical Hh pathway in Gli-1 dependent manner. PMID: 27835885
- The mechanism by which GLI1 loss of function sensitized tumor cells to vorinostat-induced apoptosis is at least in part through interactions with vorinostat to alter gene expression in a manner that favored apoptosis. PMID: 26868908
- these findings propose that A3AR agonist induces cell cycle arrest and apoptosis in breast cancer stem cells by inhibition of ERK1/2 and GLI-1 cascade. PMID: 28230290
- Gli1 could be a stem cell marker and an indicator of poor prognosis in patients with ductal breast carcinoma. PMID: 28965964
- Expression of SHH and GLI1 may be useful prognostic markers of Merkel cell carcinoma because increased expression was associated with better prognosis. Report high rate of silent mutations in GLI1 exon 5. PMID: 28551328
- Results found that GLI1 expression is regulated by GAL1 in gastric cancer tissue specimen and cell lines. PMID: 27836001
- Results indicated that GLI1 activation in TN-IBC as in TNBC, plays a vital role in promoting cell proliferation, motility, tumor growth, and formation of tumor emboli. PMID: 28965853
- High gli1 expression is associated with Small Cell Lung Cancer. PMID: 28870922
- This inhibitory effect on cell growth was partially rescued by exogenous KRT17 expression. In the KRT17-positive regions in OSCCs, GLI-1 or GLI-2 was frequently detected, and the number of cells with cleaved caspase-3 positive was decreased. CONCLUSIONS: KRT17 promotes tumor cell growth, at least partially, through its anti-apoptotic effect as a result of the KRT17 overexpression by GLIs in OSCC PMID: 28342001
- Results indicate that GLI1 is important for maintaining the invasive and mesenchymal-like properties of melanoma cells independent of MITF. PMID: 28635133
- The data described herein provide the first identification of a DYRK1A-mediated site of phosphorylation on GLI1 within its NLS and may serve as a valuable mechanism for further understanding Hh signaling modulation. PMID: 28735864
- Case Report: gastric pericytoma harboring the exceptionally rare translocation t(7;12) resulting in ACTB-GLI1 gene fusion. PMID: 26980027
- USP21 recruits and stabilises Gli1 at the centrosome. PMID: 27621083
- Gli1 expression was significantly correlated with T stage lymph node metastasis, and clinical stage of lung squamous cell carcinoma. PMID: 28286162
- Gli1 role in cell proliferation and differentiation PMID: 28458545
- Gli1 inhibitor GANT61 and SHH siRNA synergistically enhanced cytotoxicity induced by itraconazole in MCF-7 cells. PMID: 27810405
- Hedgehog pathway activation in T-cell acute lymphoblastic leukemia predicts response to SMO and GLI1 inhibitors. PMID: 27694322
- Our studies demonstrate an important role for smoothened and glioma-associated oncogene homology-1 in gastric cancer and suggest inhibition of hedgehog pathway as a novel and potent strategy to treat gastric cancer patients PMID: 28675107
- GANT61, which is a targeted inhibitor of Gli1 and Gli2, decreased cell viability and promoted cell apoptosis. Thus, TGF-b1 induced EMT in neuroblastoma cells to increase their migration. Specifically, EMT induced by TGF-b1 in neuroblastoma cells did not depend on the Smad signaling pathway, and the transcription factor Gli participated in TGF-b1-induced EMT independent of Smad signaling. PMID: 28393230
- Gli1 expression was detected in most ERM specimens. Patients who had DR or OCT findings indicating chronic retinal insults showed higher Gli1 expression. Gli1 may have a role in the pathogenesis of ERM after chronic retinal insults. PMID: 28134963
- Overexpression of GLI1 through a recurrent MALAT1-GLI1 translocation or GLI1 up-regulation delineates a pathogenically distinct subgroup of plexiform fibromyxomas with activation of the Sonic Hedgehog signalling pathway. PMID: 27101025
- Gli1 and Gli2 exhibited different functions in the regulation of p63 expression or proliferation of p63(+) cells in Kras-AR driven tumors. PMID: 27760825
- The results from this study demonstrate the potential importance of the two-stem-loop motif as a target region for the inhibition of the CRD-BP-GLI1 RNA interaction and Hedgehog signaling pathway. PMID: 27036131
- High expression of gli1 is associated with glioma chemoresistance. PMID: 27662839
- High Gli-1 expression is associated with pancreatic cancer. PMID: 26815504
- Our study is the first to demonstrate the associations of high nuclear Gli1 expression with resistance to trastuzumab-based NAT and subsequent worse prognosis in HER2-positive disease. These findings suggest that the nuclear Gli1 protein may be a novel target of NAT for HER2-positive breast cancer. PMID: 26526577
- GLI is an oncogenic transcription factor in the SHH pathway, and targeting GLI with GANT61 results in favourable antitumour activity and targeted therapy. PMID: 27601167
顯示更多
收起更多
-
亞細胞定位:Cytoplasm. Nucleus.; [Isoform 2]: Cytoplasm. Nucleus.
-
蛋白家族:GLI C2H2-type zinc-finger protein family
-
組織特異性:Detected in testis (at protein level). Testis, myometrium and fallopian tube. Also expressed in the brain with highest expression in the cerebellum, optic nerve and olfactory tract. Isoform 1 is detected in brain, spleen, pancreas, liver, kidney and place
-
數據庫鏈接:
Most popular with customers
-
-
YWHAB Recombinant Monoclonal Antibody
Applications: ELISA, WB, IHC, IF, FC
Species Reactivity: Human, Mouse, Rat
-
-
-
-
-
-















