GJA1 Antibody
-
中文名稱:GJA1兔多克隆抗體
-
貨號:CSB-PA009443ESR2HU
-
規格:¥440
-
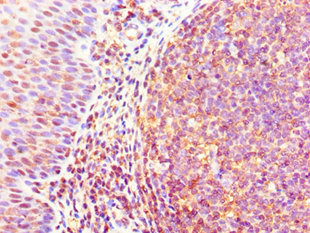
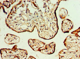
圖片:
-
其他:
產品詳情
-
產品名稱:Rabbit anti-Homo sapiens (Human) GJA1 Polyclonal antibody
-
Uniprot No.:
-
基因名:
-
別名:GJA1; GJAL; Gap junction alpha-1 protein; Connexin-43; Cx43; Gap junction 43 kDa heart protein
-
宿主:Rabbit
-
反應種屬:Human
-
免疫原:Recombinant Human Gap junction alpha-1 protein (233-382AA)
-
免疫原種屬:Homo sapiens (Human)
-
標記方式:Non-conjugated
-
克隆類型:Polyclonal
-
抗體亞型:IgG
-
純化方式:Antigen Affinity Purified
-
濃度:It differs from different batches. Please contact us to confirm it.
-
保存緩沖液:PBS with 0.02% sodium azide, 50% glycerol, pH7.3.
-
產品提供形式:Liquid
-
應用范圍:ELISA, IHC
-
推薦稀釋比:
Application Recommended Dilution IHC 1:20-1:200 -
Protocols:
-
儲存條件:Upon receipt, store at -20°C or -80°C. Avoid repeated freeze.
-
貨期:Basically, we can dispatch the products out in 1-3 working days after receiving your orders. Delivery time maybe differs from different purchasing way or location, please kindly consult your local distributors for specific delivery time.
-
用途:For Research Use Only. Not for use in diagnostic or therapeutic procedures.
相關產品
靶點詳情
-
功能:Gap junction protein that acts as a regulator of bladder capacity. A gap junction consists of a cluster of closely packed pairs of transmembrane channels, the connexons, through which materials of low MW diffuse from one cell to a neighboring cell. May play a critical role in the physiology of hearing by participating in the recycling of potassium to the cochlear endolymph. Negative regulator of bladder functional capacity: acts by enhancing intercellular electrical and chemical transmission, thus sensitizing bladder muscles to cholinergic neural stimuli and causing them to contract. May play a role in cell growth inhibition through the regulation of NOV expression and localization. Plays an essential role in gap junction communication in the ventricles.
-
基因功能參考文獻:
- The LB2003 cells, devoid of three key K(+) uptake transport mechanisms, cannot grow in low-[K(+)] medium, but expression of Cx26, Cx43, or Cx46 rescues their growth defect (growth complementation PMID: 27789753
- Novel role for Cx43-formed unidirectional gap junctional intercellular communication was in mediating metabolic coupling between cancer-associated fibroblasts and non-small cell lung cancer cells and thereby facilitating malignant progression of NSCLC by enhancing oxidative phosphorylation and increasing ATP-activated PI3K/Akt and MAPK/ERK signaling pathways. PMID: 30453281
- Study demonstrated overexpression of Ubc9 protein in osteosarcoma. Silencing Ubc9 in osteosarcoma cell lines induced decoupling of SUMO1 from Cx43, generating increased free Cx43 levels, which is important for reconstructing gap junction intercellular communication and recovering cellular functions. PMID: 29956745
- These results demonstrate that the Cx43 SH3-binding domain, in addition to the CT9 region, critically controls hemichannel activity at high [Ca(2+)]i, which may be involved in pathological hemichannel opening. PMID: 29218600
- Pinocembrin alleviated ventricular arrhythmia in I/R rats via enhancing Na+-K+ATPase and Ca+-Mg2+ATPase activity and upregulating Cx43 and Kir2.1 protein expression. PMID: 30022020
- A Tunisian family with ODDD marked by neurologic signs with anticipation which is uncommon in this disease and extends the mutational spectrum of the GJA1 gene by a novel mutation in the L2 region of Cx43. PMID: 30204976
- Our understanding of these interactions is, by far, most well developed for connexin 43 (Cx43) and the scope of this review is to summarize our current knowledge of their functional and regulatory roles. The significance of these interactions is further exemplified by demonstrating their importance at the intercalated disc, a major hub for Cx43 regulation and Cx43 mediated effects PMID: 29748463
- In progesterone control of myometrial contractility during pregnancy and labour, while liganded nuclear progesterone receptor B can suppress the expression of Cx43, unliganded progesterone receptor A paradoxically translocates to the nucleus where it acts as a transcriptional activator of this labour gene. PMID: 27220952
- Ezrin-anchored PKA phosphorylates serine 369 and 373 on connexin 43 to enhance gap junction assembly, communication, and cell fusion. PMID: 29259079
- Study found a significant difference in the expression of Cx43 and SUMO1 between cancer stem cells and non-cancer stem cells in liver cancer. By the co-expression of Cx43 and SUMO1 in cancer stem cells, the gap junction intercellular communication of liver cancer stem cells was obviously improved. PMID: 29393359
- The frequency of the single nucleotide polymorphism rs2071166 was significantly higher in atrial septal defect cases than in healthy controls. The CC genotype at rs2071166 site in Cx43 was correlated with an increased risk for atrial septal defect and the C allele was positively correlated with atrial septal defect. PMID: 29198211
- inhibition of Connexin43 signalling plays a more significant role in regulating cell proliferation than cell migration. PMID: 29463027
- Our results suggest that keratinization in the hair follicle is closely related to the decrease in Cx43 expression PMID: 28960405
- Human Cx46 V44M mutant causing cataracts result in abnormally decreased formation of gap junction plaques and impaired gap junction channel function. PMID: 29321356
- Abnormal expression of Cx43 in the cerebral arteries may play an important role in the formation of vascular intima thickening in patients with moyamoya disease. PMID: 29395647
- Findings demonstrate how SRC3 and Cx43 regulation between BMSCs and myeloma cells mediate cell growth and disease progression. PMID: 29075794
- We generated mutations of known conserved regulatory serine (S) residues 255, 279/282, 365, 368, and 373. S365A, S365E, S368A, S368E, and S373A mutants bound ZO-1 throughout the GJ plaques, while the S373E mutant did not bind ZO-1 at all. our results suggest that 1) S365 and S373 phosphorylation promote forward trafficking, In addition, phosphorylation on these residues appears to prevent premature binding of ZO-1 PMID: 29021339
- These data suggest that chronic exposure to glucose-evoked TGFbeta1 induce an increase in CX26 and CX43 expression, consistent with changes observed in tubular epithelia from patients with diabetic nephropathy. PMID: 29587265
- Cx43, a transmembrane protein initially described as a gap junction protein, participates in all forms of communication including extracellular vesicles, tunnelling nanotubes or gap junctions. (Review) PMID: 29025971
- One novel homozygous variant c.169C>T and one heterozygous SNP c.624C>T (rs530633057) were determined in 124 SUNDS cases (one case for each detected variant) and none of the 125 healthy controls. This is the first report of GJA1 gene variations in SUNDS in the Chinese Han population, which suggests a novel susceptibility gene for Chinese sudden unexplained nocturnal death syndrome. PMID: 27992820
- The functional modulation of connexin 43 (Cx43) indicate its involvement in olfactory ensheathing cells-conditioned medium (OEC-CM) mediated neuroprotection. PMID: 28488330
- To determine the role of connexin43 hemichannels in diabetic retinopathy, changes in cytokine and ATP release were evaluated after treatment with Peptide5, a connexin43 hemichannel blocker. Co-application of glucose and cytokines increased the secretion of IL-6, IL-8, MCP-1, sICAM-1, VEGF and ATP. Peptide 5 blocked this and prevented ATP release, indicating a role for connexin-43 hemichannels. PMID: 29158134
- human Cx40/Cx45 and Cx43/Cx45 heterotypic gap junctions were investigated by recombinant expression in GJ deficient cells. PMID: 28760564
- The results of this study show that total (whole-cell) Cx43, but not Cx30, protein levels are upregulated in the sclerotic hippocampus, both in human and experimental experimental temporal lobe epilepsy. PMID: 28795432
- Data suggest that the level of CX43 expression in breast tumors is altered when compared to the normal tissue. While some reports show that its levels decrease, other evidence suggests that its levels are increased and protein localization shifts from the plasma membrane to cytoplasm. In either case, the prevailing theory is that breast tumor cells have reduced gap junction communication within primary tumors. [review] PMID: 28902343
- an oncogenic E3 ubiquitin ligase promotes loss of gap junctions and Cx43 degradation in human carcinoma cells. PMID: 28733455
- Administration metformin can protect the H9c2 cells against hyperglycemia-induced apoptosis and Cx43 down-regulation, in part, mediated through the induction of autophagy pathway PMID: 28824303
- DNA methylation of GJA-1 of human hippocampus and prefrontal cortex in major depression is unchanged in comparison to healthy individuals. PMID: 28645745
- hepaCAM associates with connexin 43, a main component of gap junctions, and enhances connexin 43 localization to the plasma membrane at cellular junctions. PMID: 27819278
- a region of CX43 (amino acids 266-283) exerts an important anti-tumor effect in patient-derived glioblastoma models that includes impairment of GSC migration and invasion. PMID: 28712848
- The low connexin 43 expression levels may reflect both a reduction in astroglial functional gap junctions and semicanals and a decrease in the amount of the protein itself that has independently antioncogenic properties. PMID: 28418351
- Cx43 inhibited the growth of U251 cells, promoted morphological changes and migration, and inhibited apoptosis via a mitochondria-associated pathway. PMID: 28615614
- MIF is involved in the pathogenesis of AF, probably by down-regulating the protein and gene expression of Cx43 via ERK1/2 kinase activation PMID: 28429502
- These studies highlight the importance of Cx43 expression and function during osteoblast and chondrocyte differentiation. PMID: 28177159
- The observations identify a novel strategy of prostate cancer cell diapedesis, which depends on the activation of intercellular Cx43/ERK1/ERK2/Cx43 signaling axis at the interfaces between Cx43-high prostate cancer and endothelial cells. PMID: 28396058
- we present an overview of the key phosphatases known to interact with Cx43 or modulators of Cx43, as well as some possible therapeutic targets to regulate phosphatase activity in the heart. PMID: 28478048
- many of the known non-canonical roles of Cx43 can be attributed to the recently identified six endogenous Cx43 truncated isoforms which are produced by internal translation. In general, alternative translation is a new leading edge for proteome expansion and therapeutic drug development. PMID: 28576298
- Spatio-temporal regulation of connexin43 phosphorylation and gap junction dynamics. PMID: 28414037
- the complex regulatory and signalling networks controlled by the Cx43 CT, including the extensive protein interactome that underlies both gap junction channel-dependent and -independent functions. PMID: 28526583
- Cx43 role in the regulation of the metastatic potential and migration of prostate cancer cells PMID: 28651025
- Results showed that connexin 43 enhanced oxaliplatin cytotoxicity through gap junctional communication function and high concentration of oxaliplatin inhibited connexin 43 expression to counteract its cytotoxicity PMID: 28478804
- Connexin 43 expression was significantly reduced or lost in prostate cancer tissues, which was associated with advanced clinicopathological features and poor biochemical recurrence-free survival of patients after radical prostatectomy PMID: 27623212
- To match the stimulatory effect on acid uptake, cell-to-cell coupling in NHDF-Ad and CCD-112-CoN cells was strengthened with TGFbeta1.Importantly, the activities of stromal AE2 and connexin-43 do not place an energetic burden on cancer cells, allowing resources to be diverted for other activities PMID: 27543333
- Study highlights the role of polyamines in the regulation of connexin 43 (Cx43) gap junctions. The study found that polyamines augment cell-to-cell communication and prevent uncoupling of Cx43 gap junctions induced by acidification and high [Ca2+]i. PMID: 28134630
- Cx43 expression which may positively regulate cell migration is ER-dependent in ER-positive breast cancer cells. PMID: 29180066
- This study observed a progressive increase in Cx43 expression in the SOD1(G93A) mouse model of ALS during the disease course. Notably, this increase in Cx43 was also detected in the motor cortex and spinal cord of ALS patients. PMID: 27083773
- We suggest that lymph node metastatic adenoid cystic carcinoma cells (AdCC) acquire cancer stem cell features involving the up-regulation of nicotinamide N-Methyltransferase and the loss of gap junction protein alpha-1, leading to epithelial-mesenchymal transition and consequent AdCC metastasis PMID: 29277772
- Data show that Cx43 was inhibited predominantly via IL-1beta-activated ERK1/2 and p38 MAP kinase cascades. PMID: 28938400
- BMP2 decreases gap junction intercellular communication of luteinized human granulosa cells by downregulating Cx43 expression through an ALK2/ALK3-mediated SMAD-dependent signaling pathway. PMID: 27986931
- NO controls the calcium signal propagation through Cx37-containing gap junctions. The tyrosine phosphatase SHP-2 is the essential mediator and NO target. PMID: 29025706
顯示更多
收起更多
-
相關疾?。?/div>Oculodentodigital dysplasia (ODDD); Oculodentodigital dysplasia, autosomal recessive (ODDD-AR); Syndactyly 3 (SDTY3); Hypoplastic left heart syndrome 1 (HLHS1); Hallermann-Streiff syndrome (HSS); Atrioventricular septal defect 3 (AVSD3); Craniometaphyseal dysplasia, autosomal recessive (CMDR); Erythrokeratodermia variabilis et progressiva 3 (EKVP3); Palmoplantar keratoderma and congenital alopecia 1 (PPKCA1)亞細胞定位:Cell membrane; Multi-pass membrane protein. Cell junction, gap junction. Endoplasmic reticulum.蛋白家族:Connexin family, Alpha-type (group II) subfamily組織特異性:Expressed in the heart and fetal cochlea.數據庫鏈接:
Most popular with customers
-
-
YWHAB Recombinant Monoclonal Antibody
Applications: ELISA, WB, IHC, IF, FC
Species Reactivity: Human, Mouse, Rat
-
Phospho-YAP1 (S127) Recombinant Monoclonal Antibody
Applications: ELISA, WB, IHC
Species Reactivity: Human
-
-
-
-
-















