GINS1 Antibody
-
中文名稱:GINS1兔多克隆抗體
-
貨號:CSB-PA945809
-
規格:¥1100
-
圖片:
-
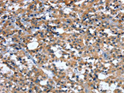
The image on the left is immunohistochemistry of paraffin-embedded Human liver cancer tissue using CSB-PA945809(GINS1 Antibody) at dilution 1/25, on the right is treated with synthetic peptide. (Original magnification: ×200)
-
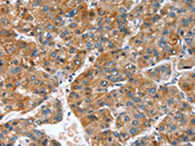
The image on the left is immunohistochemistry of paraffin-embedded Human thyroid cancer tissue using CSB-PA945809(GINS1 Antibody) at dilution 1/25, on the right is treated with synthetic peptide. (Original magnification: ×200)
-
-
其他:
產品詳情
-
Uniprot No.:
-
基因名:GINS1
-
別名:DNA replication complex GINS protein PSF1 antibody; GINS complex subunit 1 (Psf1 homolog) antibody; GINS complex subunit 1 antibody; GINS1 antibody; partner of sld five-1 antibody; partner of sld5 antibody; PSF1 homolog antibody; PSF1_HUMAN antibody; RP4-691N24.2 antibody
-
宿主:Rabbit
-
反應種屬:Human,Mouse
-
免疫原:Synthetic peptide of Human GINS1
-
免疫原種屬:Homo sapiens (Human)
-
標記方式:Non-conjugated
-
抗體亞型:IgG
-
純化方式:Antigen affinity purification
-
濃度:It differs from different batches. Please contact us to confirm it.
-
保存緩沖液:-20°C, pH7.4 PBS, 0.05% NaN3, 40% Glycerol
-
產品提供形式:Liquid
-
應用范圍:ELISA,IHC
-
推薦稀釋比:
Application Recommended Dilution ELISA 1:1000-1:2000 IHC 1:25-1:100 -
Protocols:
-
儲存條件:Upon receipt, store at -20°C or -80°C. Avoid repeated freeze.
-
貨期:Basically, we can dispatch the products out in 1-3 working days after receiving your orders. Delivery time maybe differs from different purchasing way or location, please kindly consult your local distributors for specific delivery time.
-
用途:For Research Use Only. Not for use in diagnostic or therapeutic procedures.
相關產品
靶點詳情
-
功能:Required for correct functioning of the GINS complex, a complex that plays an essential role in the initiation of DNA replication, and progression of DNA replication forks. GINS complex seems to bind preferentially to single-stranded DNA.
-
基因功能參考文獻:
- The authors show that GINS is a compact tetramer in solution as observed in crystal structures, but also forms a double-tetrameric population, detectable by electron microscopy. PMID: 28071757
- Autosomal recessive, partial GINS1 deficiency impairs DNA replication and underlies intra-uterine (and postnatal) growth retardation, chronic neutropenia, and NK cell deficiency. PMID: 28414293
- PSF1 mRNA expression was an independent factor associated with prognosis of colorectal cancer. PMID: 21713706
- These results suggest that PSF1 over-expression is specifically involved in breast cancer cell growth. PMID: 20825491
- Findings implicate PSF1 in tumorigenesis and offer initial evidence of its potential as a theranostic target. PMID: 20103637
- expression of mammalian GINS is regulated by 17beta-Estradiol-stimulated estrogen receptor alpha, and PSF3 acts as a gene responsive to transcription factor E2F1 PMID: 17127213
- the C-terminal domain of Psf1 does not contribute to the stability of the GINS complex but is crucial for chromatin binding and replication activity PMID: 17417653
顯示更多
收起更多
-
亞細胞定位:Nucleus. Chromosome.
-
蛋白家族:GINS1/PSF1 family
-
數據庫鏈接:
Most popular with customers
-
-
YWHAB Recombinant Monoclonal Antibody
Applications: ELISA, WB, IHC, IF, FC
Species Reactivity: Human, Mouse, Rat
-
-
-
-
-
-















