GDF9 Antibody
-
中文名稱:GDF9兔多克隆抗體
-
貨號:CSB-PA009352EA01HU
-
規格:¥440
-
圖片:
-
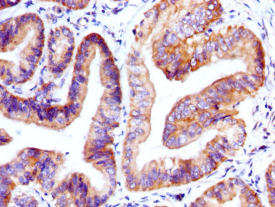
IHC image of CSB-PA009352EA01HU diluted at 1:400 and staining in paraffin-embedded human endometrial cancer performed on a Leica BondTM system. After dewaxing and hydration, antigen retrieval was mediated by high pressure in a citrate buffer (pH 6.0). Section was blocked with 10% normal goat serum 30min at RT. Then primary antibody (1% BSA) was incubated at 4°C overnight. The primary is detected by a biotinylated secondary antibody and visualized using an HRP conjugated SP system.
-
-
其他:
產品詳情
-
產品名稱:Rabbit anti-Homo sapiens (Human) GDF9 Polyclonal antibody
-
Uniprot No.:
-
基因名:
-
別名:GDF9Growth/differentiation factor 9 antibody; GDF-9 antibody
-
宿主:Rabbit
-
反應種屬:Human
-
免疫原:Recombinant Human Growth/differentiation factor 9 protein (320-454AA)
-
免疫原種屬:Homo sapiens (Human)
-
標記方式:Non-conjugated
本頁面中的產品,GDF9 Antibody (CSB-PA009352EA01HU),的標記方式是Non-conjugated。對于GDF9 Antibody,我們還提供其他標記。見下表:
-
克隆類型:Polyclonal
-
抗體亞型:IgG
-
純化方式:>95%, Protein G purified
-
濃度:It differs from different batches. Please contact us to confirm it.
-
保存緩沖液:Preservative: 0.03% Proclin 300
Constituents: 50% Glycerol, 0.01M PBS, PH 7.4 -
產品提供形式:Liquid
-
應用范圍:ELISA, IHC
-
推薦稀釋比:
Application Recommended Dilution IHC 1:200-1:500 -
Protocols:
-
儲存條件:Upon receipt, store at -20°C or -80°C. Avoid repeated freeze.
-
貨期:Basically, we can dispatch the products out in 1-3 working days after receiving your orders. Delivery time maybe differs from different purchasing way or location, please kindly consult your local distributors for specific delivery time.
-
用途:For Research Use Only. Not for use in diagnostic or therapeutic procedures.
相關產品
靶點詳情
-
功能:Required for ovarian folliculogenesis. Promotes primordial follicle development. Stimulates granulosa cell proliferation. Promotes cell transition from G0/G1 to S and G2/M phases, through an increase of CCND1 and CCNE1 expression, and RB1 phosphorylation. It regulates STAR expression and cAMP-dependent progesterone release in granulosa and thecal cells. Attenuates the suppressive effects of activin A on STAR expression and progesterone production by increasing the expression of inhibin B. It suppresses FST and FSTL3 production in granulosa-lutein cells.
-
基因功能參考文獻:
- The present mini-review provides an overview of recent findings relating GDF-9 and BMP-15 as fundamental factors implicated in the regulation of ovarian function and discusses their potential role as markers of oocyte quality in women. PMID: 30039232
- Data suggest that GDF9 and BMP15 are oocyte-secreted factors with leading roles in control of ovarian function in female reproduction, modulating both fate of somatic granulosa cells and quality/developmental competence of the egg. (GDF9 = growth and differentiation factor-9; BMP15 = bone morphogenetic protein-15) [REVIEW] PMID: 29544636
- GDF9 single nucleotide polymorphism is not associated with Endometriosis-associated infertility. PMID: 28831646
- GDF9 single nucleotide polymorphism is associated with fecundity. PMID: 28762037
- Asiaticoside hindered the invasive growth of KFs by inhibiting the GDF-9/MAPK/Smad pathway. PMID: 28346732
- Human GDF9 and BMP15 act synergistically to stimulate granulosa cell proliferation, a response that also involves species-specific non-SMAD signalling pathways. PMID: 25155366
- these results indicated that the GDF9 C447T SNP is a possible candidate genetic risk factor for female infertility in the Polish population. PMID: 27035733
- GDF-9 promotes the proliferation and migration of keloid fibroblasts via a mechanism involving the Smad2/3 pathway. PMID: 27855376
- GDF9 c.169G>T (D57Y), c.546G>A (rs1049127), and BMP15 rs79377927 (788_789insTCT) were associated with premature ovarian failure in the Chinese Hui population. PMID: 25954833
- results support a model of activation for human GDF9 dependent on cumulin formation through heterodimerization with BMP15. Oocyte-secreted cumulin is likely to be a central regulator of fertility in mono-ovular mammals. PMID: 26254468
- GDF-9 and GDF-15 levels may influence bone parameters in polycystic ovary syndrome PMID: 24430093
- GDF9 and BMP15 expression is reduced in primordial, primary, and secondary follicles in ovarian tissues of PCOS patients. PMID: 25172094
- The arginine residue in the pre-helix loop of GDF9 homodimer may prevent the inhibition from its pro-domain or directly alter receptor binding, but this residue in GDF9 does not significantly affect the heterodimer activity. PMID: 25253739
- Eleven unique copy number changes are identified in a total of 11 patients, including a tandem duplication of 475 bp, containing part of the GDF9 gene promoter region. PMID: 24939957
- Data suggest up-regulation of mRNA for GDF9 and BMP15 (bone morphogenetic protein 15) in cumulus granulosa cells serves as biomarker for oocyte maturation, fertilization, embryo quality, and pregnancy in couples undergoing ICSI for male infertility. PMID: 25139161
- These results suggest that COCs cultured with recombinant GDF9 in oocyte maturation medium improve oocyte developmental competence and subsequent developmental competence of cloned embryo in cattle. PMID: 24840335
- Reduced expression of growth and differentiation factor-9 is associated with aggressive behaviour of clear-cell renal cell carcinoma. PMID: 25368253
- Oocyte-derived GDF9 does not alter gap junction intercellular communication activity between human granulosa cells. PMID: 24413384
- Alterations to hGDF9 synthesis and activity can contribute to the most common ovarian pathologies. PMID: 24438375
- genetic association studies in population of Han women in China: Data suggest that a mutation in precursor region of GDF9 (R146C) is associated with premature ovarian failure (POF); R146C mutation found in 3 women with POF but absent in controls. PMID: 23851219
- FOXL2 expression is required for GDF-9 stimulation of follistatin transcription. PMID: 23523567
- BMP15 and GDF9 transcript levels increase in mature oocytes from women with polycystic ovary syndrome after ovarian stimulation, and might inhibit the progesterone secretion by follicular cells PMID: 22825968
- findings that GDF9:BMP15 heterodimers are the most bioactive ligands in mice and humans compared with homodimers explain many puzzling genetic and physiological data and have important implications for improving female fertility in mammals PMID: 23382188
- CDC6 and GDF-9 might be closely related to the carcinogenesis, clinical biological behaviors, and prognosis of gallbladder adenocarcinoma. PMID: 23011157
- It was shown that human kidney tumours have a reduced or loss of expression of GDF9. In vitro, GDF9 overexpression suppresses the invasiveness, growth and migration of kidney cancer cells. PMID: 23060562
- GDF-9 levels are inversely correlated with the growth, adhesion and migration of bladder cancer cells in vitro. PMID: 22159313
- GDF9 may contribute to the variation observed in follicular development, ovulation rate, and fecundity between mammals PMID: 22234469
- GDF9 decreases basal and activin A-induced FST and FSTL3 expression, and this explains, in part, its enhancing effects on activin A-induced inhibin beta(B)-subunit mRNA expression and inhibin B production in hGL cells PMID: 21829661
- In the samples from girls/women, the number of developing follicles was greater with GDF9 or BMP15 alone than with no BMP15 or GDF9. PMID: 21632818
- The expression of GDF9 and BMP15 in oocytes from patients with polycystic ovary syndrome cannot reach the normal level even after ovarian stimulation. PMID: 21669410
- Higher mature GDF9 levels in the follicular fluid were significantly correlated with oocyte nuclear maturation and embryo quality. PMID: 21496799
- GDF-9 signaling via ALK-5, can promote cell invasiveness PMID: 21116689
- Integral role of GDF-9 and BMP-15 in ovarian function. PMID: 21226076
- GDF-9 can promote the motile and adhesive capacity of PC-3 prostate cancer cells by up-regulating expression of FAK and paxillin in a Smad dependent manner, suggesting a pro-tumourigenic role for GDF-9 in prostate cancer. PMID: 21042764
- Impaired production of BMP15 and GDF9 mature proteins derived from proproteins with mutation in the proregion. PMID: 20547206
- Mutational analysis of the coding region of GDF9 among 216 Chinese polycystic ovary syndrome patients. Five novel missense mutations were discovered namely c.15C>G, c.118T>G, c.133A>G, c.1025A>T and c.1275C>A. PMID: 20705511
- The detection of GDF9 and TGFbetaR1 at both at the protein and mRNA levels suggests that GDF9 may have functions in human preantral follicles. PMID: 20427239
- GDF-9 c.G546A, but not c.G169A or c.C447T, is correlated with the poor ovarian stimulation and in vitro fertilization outcomes in women with diminished ovarian reserve. PMID: 20451184
- GDF9 attenuates the suppressive effects of activin A on StAR expression and progesterone production by increasing the expression of inhibin B, which acts as an activin A competitor. PMID: 20660033
- Cell growth was significantly increased in the GDF9 over-expressing cells compared to the two controls; apoptosis was decreased in the presence of GDF9. PMID: 20458753
- GDF-9 concentration in women with severe endometriosis was lower than in those without PMID: 19931079
- data demonstrate that polymorphisms in major folliculogenesis genes, GDF9, BMP15, AMH, and AMHR2, are not associated with polycystic ovary syndrome susceptibility. PMID: 20236105
- Reduced GDF-9 expression in cumulus granulosa cells of patients with polycystic ovary syndrome (PCOS) appears to be associated with decreased long-term developmental potential of the oocytes of patients with PCOS. PMID: 19376510
- Data show that Golgi apparatus casein kinase (G-CK) catalyzes the phosphorylation of rhBMP-15 and rhGDF-9. PMID: 20067794
- 2 synonymous mutations (c.447C>T, c.546G>A) & a novel missense variant (c.169G>T) were found in both premature ovarian failure patients & control subjects in the coding region of GDF9, indicating them as a novel polymorphism PMID: 19438907
- Bone morphogenetic protein receptor type II is a receptor for growth differentiation factor-9 PMID: 12135884
- interaction with bone morphogenetic protein-15 PMID: 12446716
- BMP-15 and GDF-9 have roles in fertility; critical sequences are determined by mutagenesis PMID: 14970198
- This case-control study revealed eight mutations in the GDF9 gene in women with premature ovarian failure PMID: 16278619
- although mutations in BMP15 and GDF9 are not a major cause of ovarian insufficiency, they may be involved in premature ovarian failure PMID: 16645022
顯示更多
收起更多
-
相關疾病:Altered GDF9 function may be involved in ovarian disorders. Rare variants in GDF9 have been found in patients with premature ovarian failure and mothers of dizygotic twins.
-
亞細胞定位:Secreted.
-
蛋白家族:TGF-beta family
-
組織特異性:Expressed in ovarian granulosa cells. Present in oocytes of primary follicles (at protein level).
-
數據庫鏈接:
Most popular with customers
-
-
YWHAB Recombinant Monoclonal Antibody
Applications: ELISA, WB, IHC, IF, FC
Species Reactivity: Human, Mouse, Rat
-
Phospho-YAP1 (S127) Recombinant Monoclonal Antibody
Applications: ELISA, WB, IHC
Species Reactivity: Human
-
-
-
-
-















