GDF7 Antibody
-
中文名稱:GDF7兔多克隆抗體
-
貨號:CSB-PA768769LA01HU
-
規格:¥440
-
圖片:
-
Western Blot
Positive WB detected in: A549 whole cell lysate
All lanes: GDF7 antibody at 7.9µg/ml
Secondary
Goat polyclonal to rabbit IgG at 1/50000 dilution
Predicted band size: 47 kDa
Observed band size: 47 kDa -
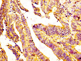
IHC image of CSB-PA768769LA01HU diluted at 1:300 and staining in paraffin-embedded human colon cancer performed on a Leica BondTM system. After dewaxing and hydration, antigen retrieval was mediated by high pressure in a citrate buffer (pH 6.0). Section was blocked with 10% normal goat serum 30min at RT. Then primary antibody (1% BSA) was incubated at 4°C overnight. The primary is detected by a biotinylated secondary antibody and visualized using an HRP conjugated SP system.
-
IHC image of CSB-PA768769LA01HU diluted at 1:300 and staining in paraffin-embedded human lung cancer performed on a Leica BondTM system. After dewaxing and hydration, antigen retrieval was mediated by high pressure in a citrate buffer (pH 6.0). Section was blocked with 10% normal goat serum 30min at RT. Then primary antibody (1% BSA) was incubated at 4°C overnight. The primary is detected by a biotinylated secondary antibody and visualized using an HRP conjugated SP system.
-
-
其他:
產品詳情
-
產品名稱:Rabbit anti-Homo sapiens (Human) GDF7 Polyclonal antibody
-
Uniprot No.:
-
基因名:
-
別名:bmp12 antibody; bone morphogenetic protein 12 antibody; GDF-7 antibody; Gdf7 antibody; GDF7_HUMAN antibody; growth differentiation factor 7 antibody; Growth/differentiation factor 7 antibody
-
宿主:Rabbit
-
反應種屬:Human
-
免疫原:Recombinant Human Growth/differentiation factor 7 protein (322-450AA)
-
免疫原種屬:Homo sapiens (Human)
-
標記方式:Non-conjugated
本頁面中的產品,GDF7 Antibody (CSB-PA768769LA01HU),的標記方式是Non-conjugated。對于GDF7 Antibody,我們還提供其他標記。見下表:
-
克隆類型:Polyclonal
-
抗體亞型:IgG
-
純化方式:>95%, Protein G purified
-
濃度:It differs from different batches. Please contact us to confirm it.
-
保存緩沖液:Preservative: 0.03% Proclin 300
Constituents: 50% Glycerol, 0.01M PBS, pH 7.4 -
產品提供形式:Liquid
-
應用范圍:ELISA, WB, IHC
-
推薦稀釋比:
Application Recommended Dilution WB 1:500-1:5000 IHC 1:200-1:500 -
Protocols:
-
儲存條件:Upon receipt, store at -20°C or -80°C. Avoid repeated freeze.
-
貨期:Basically, we can dispatch the products out in 1-3 working days after receiving your orders. Delivery time maybe differs from different purchasing way or location, please kindly consult your local distributors for specific delivery time.
-
用途:For Research Use Only. Not for use in diagnostic or therapeutic procedures.
相關產品
靶點詳情
-
功能:May play an active role in the motor area of the primate neocortex.
-
基因功能參考文獻:
- BMP-12 activates tenogenic pathway in human adipose stem cells. PMID: 28214472
- The Barrett-associated variants at GDF7 and TBX5 also increase esophageal adenocarcinoma risk. PMID: 26783083
- closest protein-coding genes were respectively GDF7 (rs3072), which encodes a ligand in the bone morphogenetic protein pathway, and TBX5 (rs2701108), which encodes a transcription factor that regulates esophageal and cardiac development PMID: 25447851
- BMP12 induces tenogenic differentiation of adipose-derived stromal cells via the Smad1/5/8 pathway. PMID: 24155967
- studies show that even though tenogenic (BMP 12 and BMP 13) and osteogenic (BMP2) BMPs bind the same receptors with high affinity they signal much differently and result in differential activation of osteogenic and tenogenic markers PMID: 21702718
- induces ligamentogenic differentiation in mesenchymal progenitors PMID: 20334610
- stimulates expression of both chondrogenic and osteoblstic markers in pluripotent mesenchymal C3H10T1/2 cells. PMID: 20102312
- In mouse, the expression of Gdf7 in roof plate cells is required for the fidelity of commissural axon growth. PMID: 12741987
顯示更多
收起更多
-
亞細胞定位:Secreted.
-
蛋白家族:TGF-beta family
-
數據庫鏈接:
Most popular with customers
-
-
YWHAB Recombinant Monoclonal Antibody
Applications: ELISA, WB, IHC, IF, FC
Species Reactivity: Human, Mouse, Rat
-
Phospho-YAP1 (S127) Recombinant Monoclonal Antibody
Applications: ELISA, WB, IHC
Species Reactivity: Human
-
-
-
-
-















