GDF5 Antibody
-
中文名稱:GDF5兔多克隆抗體
-
貨號:CSB-PA009349ESR1HU
-
規格:¥440
-
圖片:
-
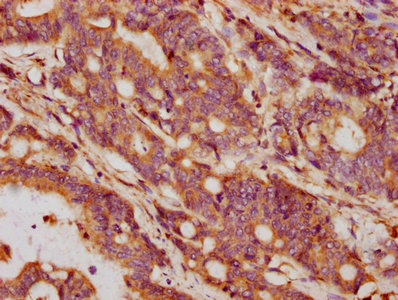
Immunohistochemistry of paraffin-embedded human ovarian cancer using CSB-PA009349ESR1HU at dilution of 1:100
-
Western Blot
Positive WB detected in: NIH/3T3 whole cell lysate
All lanes: GDF5 antibody at 2.64μg/ml
Secondary
Goat polyclonal to rabbit IgG at 1/50000 dilution
Predicted band size: 56 kDa
Observed band size: 56 kDa -
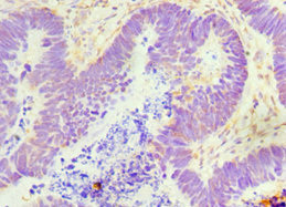
IHC image of CSB-PA009349ESR1HU diluted at 1:132 and staining in paraffin-embedded human endometrial cancer performed on a Leica BondTM system. After dewaxing and hydration, antigen retrieval was mediated by high pressure in a citrate buffer (pH 6.0). Section was blocked with 10% normal goat serum 30min at RT. Then primary antibody (1% BSA) was incubated at 4°C overnight. The primary is detected by a biotinylated secondary antibody and visualized using an HRP conjugated SP system.
-
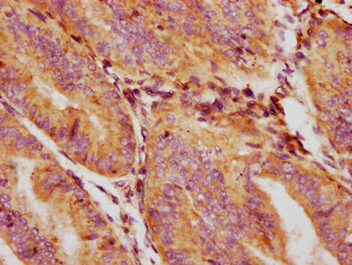
IHC image of CSB-PA009349ESR1HU diluted at 1:132 and staining in paraffin-embedded human colon cancer performed on a Leica BondTM system. After dewaxing and hydration, antigen retrieval was mediated by high pressure in a citrate buffer (pH 6.0). Section was blocked with 10% normal goat serum 30min at RT. Then primary antibody (1% BSA) was incubated at 4°C overnight. The primary is detected by a biotinylated secondary antibody and visualized using an HRP conjugated SP system.
-
Immunofluorescence staining of A549 cells with CSB-PA009349ESR1HU at 1:44, counter-stained with DAPI. The cells were fixed in 4% formaldehyde, permeabilized using 0.2% Triton X-100 and blocked in 10% normal Goat Serum. The cells were then incubated with the antibody overnight at 4°C. The secondary antibody was Alexa Fluor 488-congugated AffiniPure Goat Anti-Rabbit IgG(H+L).
-
-
其他:
產品詳情
-
產品名稱:Rabbit anti-Homo sapiens (Human) GDF5 Polyclonal antibody
-
Uniprot No.:
-
基因名:
-
別名:BMP14 antibody; Cartilage derived morphogenetic protein 1 antibody; Cartilage-derived morphogenetic protein 1 antibody; CDMP-1 antibody; CDMP1 antibody; GDF-5 antibody; Gdf5 antibody; GDF5_HUMAN antibody; Growth differentiation factor 5 antibody; Growth/differentiation factor 5 antibody; LAP4 antibody; OS5 antibody; Radotermin antibody; SYNS2 antibody
-
宿主:Rabbit
-
反應種屬:Human
-
免疫原:Recombinant Human Growth/differentiation factor 5 protein (202-501AA)
-
免疫原種屬:Homo sapiens (Human)
-
標記方式:Non-conjugated
-
克隆類型:Polyclonal
-
抗體亞型:IgG
-
純化方式:Antigen Affinity Purified
-
濃度:It differs from different batches. Please contact us to confirm it.
-
保存緩沖液:PBS with 0.02% sodium azide, 50% glycerol, pH7.3.
-
產品提供形式:Liquid
-
應用范圍:ELISA, WB, IHC, IF
-
推薦稀釋比:
Application Recommended Dilution WB 1:500-1:5000 IHC 1:20-1:200 IF 1:20-1:200 -
Protocols:
-
儲存條件:Upon receipt, store at -20°C or -80°C. Avoid repeated freeze.
-
貨期:Basically, we can dispatch the products out in 1-3 working days after receiving your orders. Delivery time maybe differs from different purchasing way or location, please kindly consult your local distributors for specific delivery time.
-
用途:For Research Use Only. Not for use in diagnostic or therapeutic procedures.
相關產品
靶點詳情
-
功能:Growth factor involved in bone and cartilage formation. During cartilage development regulates differentiation of chondrogenic tissue through two pathways. Firstly, positively regulates differentiation of chondrogenic tissue through its binding of high affinity with BMPR1B and of less affinity with BMPR1A, leading to induction of SMAD1-SMAD5-SMAD8 complex phosphorylation and then SMAD protein signaling transduction. Secondly, negatively regulates chondrogenic differentiation through its interaction with NOG. Required to prevent excessive muscle loss upon denervation. This function requires SMAD4 and is mediated by phosphorylated SMAD1/5/8. Binds bacterial lipopolysaccharide (LPS) and mediates LPS-induced inflammatory response, including TNF secretion by monocytes.
-
基因功能參考文獻:
- We found a strong association between the TT genotype and the risk of developing Knee Osteoarthritis (OR = 1.7, 95% CI = 1.12-2.8, p = 0.014), but not in the heterozygous TC state (OR = 1.56, CI 95% = 0.58-4.17, p = 0.367). PMID: 30044130
- study shows that there exists a relationship between GDF5 (SNP rs143383) and Developmental dysplasia of the hip (DDH) in our population. Second, we found for the first time that the genotype TT and the T allele were overly expressed in the patients and the fathers. More studies on the confirmation of this genetic marker for DDH are called for. PMID: 29797005
- Two Pakistani families with sequence variants in GDF5 and TRPS1 causing brachydactyly type C and tricho-rhino-phalangeal syndrome type III are described. PMID: 29436063
- The dysfunctional gene GDF5 was successfully corrected in adipose tissue-derived mesenchymal stem cells using a pair of transcription activatorlike effector nucleases. PMID: 29393424
- No association has been found between GDF5 +104 T/C promoter polymorphism and osteoarthritis in the Eastern Turkey population. PMID: 28886316
- The results of the current study revealed that SNP rs143383 of GDF5 is a compelling risk factor for knee OA [Osteoarthritis] and that GDF5 has an etiological effect on the development of OA [Osteoarthritis]. PMID: 29056119
- A Study of IL-1beta, MMP-3, TGF-beta1, and GDF5 Polymorphisms and Their Association with Primary Frozen Shoulder in a Chinese Han Population PMID: 28676856
- BMP-14 rs143383 polymorphism reduced the susceptibility to knee osteoarthritis (OA) and hand OA not only in total analysis but also in subgroup analysis; BMP-14 rs143383 polymorphism may be a protective factor against OA occurrence PMID: 29049177
- The structure of Grem2-GDF5 complex has revealed a number of key findings for DAN-family mediated BMP2 inhibition. PMID: 27524626
- miR-615-3p negatively regulates the osteogenic differentiation of hLF cells through post-transcriptionally suppressing osteogenic regulators GDF5 and FOXO1. PMID: 28460412
- p38, c-jun, and NFkappaB pathways activated during intervertebral disc degeneration by IL-1beta but not GDF-5 PMID: 27391542
- GDF5 elicited significant (p < 0.05) changes in the expression of anabolic, catabolic and hypertrophic genes with several consistent effects in healthy donors and in OA patients PMID: 28481944
- GDF5 was up regulated in patients after chronic rhinosinusitis developing osteitis. PMID: 27888647
- Titanium (Ti) surface modification with the combination of hBMP-2 and hGDF-5 for the two growth factor-coated Ti implants can improve the clinical properties of implants for orthopedic and dental applications. PMID: 28124978
- he large array of modular enhancers for Gdf5 provide a new foundation for studying the spatial specificity of joint patterning in vertebrates, as well as new candidates for regulatory regions that may also influence osteoarthritis risk in human population PMID: 27902701
- The purpose of this study is to investigate the immunohistochemical expression of cytokeratin 18 (CK18) and the reactivity to GDF5 (CDMP-1), called the morphogenetic protein-1, cartilage-derived, in lingual squamous cell carcinoma. PMID: 27151703
- homozygous sequence variants in the GDF5 gene underlie acromesomelic dysplasia type-grebe in consanguineous families PMID: 27577507
- The prevention of IL-1Beta-induced nucleus pulposus extracellular matrix degeneration by miR-7 silencing was attenuated by GDF5 siRNA. PMID: 27583982
- Mutations in three genes (GDF5, NPR2, BMPR1B) have been reported to cause different forms of acromesomelic dysplasia PMID: 26926249
- we demonstrate that the transforming growth factor-beta1 and the growth differentiation factor 5 synergistically drive the nucleopulpogenic differentiation process. The commitment of the hASCs was robust and highly specific as attested by the expression of NP-related genes characteristic of young healthy human NP cells PMID: 26661057
- The data suggest that Ad-GDF-5 gene therapy is a potential treatment for IDD, which restores the functions of degenerative intervertebral disc through enhancing the ECM production of human NP cells. PMID: 26739524
- An association of SNP in GDF5 with temporomandibular joint osteoarthritis in female Han Chinese. PMID: 25757091
- results demonstrate that SNP rs143383 of GDF5 is a compelling risk factor for both knee and hand osteoarthritis (OA) and provide further support for GDF5 in the etiology of OA [meta-analysis] PMID: 25894512
- Two novel homozygous missense mutations in the GDF5 gene cause brachydactyly type C. PMID: 25820810
- our results showed that GDF-5 and BMPRII expressed both in normal and degenerated intervertebral disc tissues, and GDF-5 might have an inhibition effect on degenerated lumbar intervertebral discs PMID: 25755766
- This meta-analysis finds that the C allele and CC genotype of the GDF5 gene are protective for knee osteoarthritis susceptibility. PMID: 25467786
- Our results revealed that the GDF5 SNP was associated with susceptibility to the meniscus injury and postoperative function recovery in Chinese male soldiers. PMID: 24227118
- missense mutations p.T201P and p.L263P interfere with the protein structure and thereby reduce the amount of fully processed, biologically active GDF5, finally causing the clinical loss of function phenotype. PMID: 25092592
- The proregion is stabilized by an intramolecular disulfide bond. The isolated proregion folds independently of the mature domain. PMID: 25174448
- Growth differentiation factor 5 and canonical Wnt signaling may contribute to molecular mechanisms of osteoarthritis. PMID: 24561281
- These results suggest that obesity leads to upregulation of GDF5 expression responsible for the promotion of brown adipogenesis through a mechanism relevant to activation of the NF-kappaB pathway. PMID: 25223801
- results suggested that GDF5 polymorphism is associated with susceptibility to symptomatic lumbar disc herniation in Chinese Han population and type II collagen in the nucleus pulposus may be a factor in susceptibility to symptomatic lumbar disc herniation PMID: 24105021
- Osteoarthritis chondrocytes do not respond in a predictable manner to culture with exogenous GDF5. PMID: 24466161
- High GDF5 expression is associated with osteoarthritis. PMID: 24861163
- The expression of growth differentiation factor 5 (GDF5) and aggrecan in 15 cases of salivary gland pleomorphic adenomas, was investigated. PMID: 24398992
- established an association between two SNPs (rs224332 and rs224333) of GDF5 and DDH development in a female Chinese population. PMID: 24114442
- In vitro findings suggest that the degenerating disc milieu, with high proinflammatory cytokine levels, may limit expression of GDF-5, resulting in limited regenerative capacity of the intact disc. PMID: 24582800
- These novel insights into the biology of GDF5 might also provide further clues on the pathophysiology of OA. PMID: 24098149
- The novel missense mutation p.Leu176Pro causes impaired secretion of GDF5 in Brachydactyly type C and mild Grebe type chondrodyslplasia. PMID: 23812741
- GDF5 is the only osteoarthritis susceptibility gene so far identified with definite evidence.[Review] PMID: 24003854
- Overall, a statistically significant association was found between the +104T/C polymorphism of GDF5 and risk of knee osteoarthritis PMID: 23151597
- GDF5 harbors a C/A transversion located -41 bp relative to the transcription start site that leads to increased gene expression. PMID: 22929025
- GDF5 polymorphisms are associated with susceptibility to low back pain during military training in Chinese soldiers. PMID: 23725396
- In conclusion, the rs143383 variant was not found to associate with the risk of ACL rupture. PMID: 23090674
- we have identified four trans-acting factors that are binding to GDF5, three of which are modulating GDF5 expression via the OA susceptibility locus rs143383. PMID: 23825960
- Although the effect size of the association between OA and GDF5 is small, there is suggestive evidence for an association. PMID: 23423687
- GDF5 regulates TGF-beta-dependent angiogenesis in breast carcinoma cells. PMID: 23226264
- Growth differentiation factor 5 modulation of chondrogenesis of self-assembled constructs involves gap junction-mediated intercellular communication. PMID: 23121099
- analysis of positive selection on the osteoarthritis-risk and decreased-height associated variants at the GDF5 gene in East Asians PMID: 22905146
- Our findings in 5 population cohorts from Northern Europe indicate that a variant in the GDF5 gene is a risk factor for lumbar disc degeneration in women. PMID: 21360499
顯示更多
收起更多
-
相關疾病:Acromesomelic chondrodysplasia, Grebe type (AMDG); Acromesomelic chondrodysplasia, Hunter-Thompson type (AMDH); Brachydactyly C (BDC); Du Pan syndrome (DPS); Symphalangism, proximal 1B (SYM1B); Multiple synostoses syndrome 2 (SYNS2); Brachydactyly A2 (BDA2); Osteoarthritis 5 (OS5); Brachydactyly A1, C (BDA1C)
-
亞細胞定位:Secreted. Cell membrane.
-
蛋白家族:TGF-beta family
-
組織特異性:Predominantly expressed in long bones during embryonic development. Expressed in monocytes (at protein level).
-
數據庫鏈接:
Most popular with customers
-
-
YWHAB Recombinant Monoclonal Antibody
Applications: ELISA, WB, IHC, IF, FC
Species Reactivity: Human, Mouse, Rat
-
-
-
-
-
-















