GAB1 Antibody
-
中文名稱:GAB1兔多克隆抗體
-
貨號:CSB-PA614416LA01HU
-
規格:¥440
-
圖片:
-
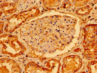
Immunohistochemistry of paraffin-embedded human kidney tissue using CSB-PA614416LA01HU at dilution of 1:100
-
Immunohistochemistry of paraffin-embedded human breast cancer using CSB-PA614416LA01HU at dilution of 1:100
-
Immunofluorescence staining of HepG2 cells with CSB-PA614416LA01HU at 1:133, counter-stained with DAPI. The cells were fixed in 4% formaldehyde, permeabilized using 0.2% Triton X-100 and blocked in 10% normal Goat Serum. The cells were then incubated with the antibody overnight at 4°C. The secondary antibody was Alexa Fluor 488-congugated AffiniPure Goat Anti-Rabbit IgG(H+L).
-
-
其他:
產品詳情
-
產品名稱:Rabbit anti-Homo sapiens (Human) GAB1 Polyclonal antibody
-
Uniprot No.:
-
基因名:
-
別名:Gab 1 antibody; GAB1 antibody; GAB1_HUMAN antibody; GRB 2 associated binder 1 antibody; GRB 2 associated binding protein 1 antibody; GRB2 associated binding protein 1 isoform a antibody; GRB2 associated binding protein 1 isoform b antibody; GRB2-associated binder 1 antibody; GRB2-associated-binding protein 1 antibody; Growth factor receptor bound protein 2-associated protein 1 antibody
-
宿主:Rabbit
-
反應種屬:Human
-
免疫原:Recombinant Human GRB2-associated-binding protein 1 protein (119-329AA)
-
免疫原種屬:Homo sapiens (Human)
-
標記方式:Non-conjugated
本頁面中的產品,GAB1 Antibody (CSB-PA614416LA01HU),的標記方式是Non-conjugated。對于GAB1 Antibody,我們還提供其他標記。見下表:
-
克隆類型:Polyclonal
-
抗體亞型:IgG
-
純化方式:>95%, Protein G purified
-
濃度:It differs from different batches. Please contact us to confirm it.
-
保存緩沖液:Preservative: 0.03% Proclin 300
Constituents: 50% Glycerol, 0.01M PBS, pH 7.4 -
產品提供形式:Liquid
-
應用范圍:ELISA, IHC, IF
-
推薦稀釋比:
Application Recommended Dilution IHC 1:20-1:200 IF 1:50-1:200 -
Protocols:
-
儲存條件:Upon receipt, store at -20°C or -80°C. Avoid repeated freeze.
-
貨期:Basically, we can dispatch the products out in 1-3 working days after receiving your orders. Delivery time maybe differs from different purchasing way or location, please kindly consult your local distributors for specific delivery time.
-
用途:For Research Use Only. Not for use in diagnostic or therapeutic procedures.
相關產品
靶點詳情
-
功能:Adapter protein that plays a role in intracellular signaling cascades triggered by activated receptor-type kinases. Plays a role in FGFR1 signaling. Probably involved in signaling by the epidermal growth factor receptor (EGFR) and the insulin receptor (INSR). Involved in the MET/HGF-signaling pathway.
-
基因功能參考文獻:
- These results suggested that Gab1 induced malignant progression of oral squamous carcinoma cells. PMID: 28893350
- Gab1 is required for H2O2-induced Akt activation in OB-6 osteoblasts. miR-29a inhibition upregulates Gab1 to protect OB-6cells from H2O2. Gab1 over-expression promotes Akt activation to inhibit H2O2-induced OB-6cell death. PMID: 29902453
- onstitutive Gab1-dependent signalling in Jak2-V617F-expressing cells does not occur due to the constitutive association of Gab1 with PIP3 at the plasma membrane. PMID: 28365441
- Gab1/SHP2/p38MAPK signaling pathway and Ang-2 have an essential role in regulating thrombin-induced monocyte adhesion and vascular leakage PMID: 27241812
- Knockdown of GAB1 mimicked the tumor-suppressive effects of miR-150 overexpression on HCC cells, whereas restoration of GAB1 expression partially abolished the inhibitory effects. PMID: 26871477
- The model showed agreement at several key nodes, involving scaffolding proteins Gab1, Gab2 and their complexes with Shp2. VEGFR2 recruitment of Gab1 is greater in magnitude, slower, and more sustained than that of Gab2. As Gab2 binds VEGFR2 complexes more transiently than Gab1, VEGFR2 complexes can recycle and continue to participate in other signaling pathways. PMID: 23805312
- data suggested that miR-141-3p decreased the proliferation and migration of keloid fibroblasts by repressing GAB1 expression, providing a useful target for keloid management PMID: 28619509
- Gab1 expression is correlated with poor prognosis of Epithelial ovarian cancer patients. PMID: 27302321
- these data provide novel information for comprehending the tumor-suppressive role of miR-200a in HCC pathogenesis through inhibition of GAB1 translation. PMID: 28081727
- Gab1 has a role in regulating SDF-1-induced progression via inhibition of apoptosis pathway induced by PI3K/AKT/Bcl-2/BAX pathway in human chondrosarcoma (CS). Gab1 can be recommended as a novel biomarker for diagnosis and prognosis in patients with CS. PMID: 26276357
- These results demonstrate that cardiomyocyte Gab1 is a critical regulator of the compensatory cardiac response to aging and hemodynamic stress. PMID: 26517531
- We found that expression of Gab1, VEGFR-2, and MMP-9 was highly and positively correlated with each other and with lymph node metastasis and TNM stage in intrahepatic cholangiocarcinoma tissues PMID: 26014518
- Gab1 protein was upregulated in cyanotic compared to acyanotic hearts suggesting that Gab1 upregulation is a component of the survival program initiated by hypoxia in cyanotic children PMID: 26090437
- CVB3 targets host GAB1 to generate a GAB1-N1-174 fragment that enhances viral infectivity, at least in part, via activation of the ERK pathway PMID: 26183772
- EGFR-activated Src family kinases maintain GAB1-SHP2 complexes distal from EGFR. PMID: 25969544
- Data demonstrate that miR-409-3p is a metastatic suppressor, and post-transcriptional inhibition of the oncoprotein GAB1 is one of its mechanisms of action. PMID: 25991585
- Results suggest that Gab1 is an essential regulator of the EGF-mediated mTORC pathways and may potentially be used as a biomarker for urothelial carcinoma PMID: 25596749
- Studied the pleckstrin homology (PH) domain of GAB1 for cancer treatment. Using homology models we derived, high-throughput virtual screening of five million compounds resulted in five hits which exhibited strong binding affinities to GAB1 PH domain. PMID: 25569504
- C-SH3 of Grb2 mediates the interaction with mutant Htt and this interaction being stronger could replace Gab1, with mutant Htt becoming the preferred partner. This would have immense effect on downstream signaling events. PMID: 25041730
- Upregulations of Gab1 and Gab2 proteins associate with tumor progression of human gliomas. PMID: 24998422
- This study suggests potential effects of SNPs of Gab1 on the onset and susceptibility of biliary tract cancer. PMID: 25217982
- Galphai1/3 proteins lie downstream of KGFR, but upstream of Gab1-mediated activation of PI3K-AKT-mTORC1 signaling. PMID: 25078664
- Endometrial GAB1 protein and mRNA expression are reduced in women with PCOS, suggesting that the endometrium of PCOS women have a defect in insulin signaling due to GAB1 down-regulation. PMID: 25144631
- expression of Gab1, VEGFR-2, and MMP-9 are significantly related to the malignant biological behavior of hilar cholangiocarcinoma PMID: 24312291
- Gab1 as major target in linoleic acid-induced enhancement of tumorigenesis. PMID: 24374147
- The combined GRB2 and GAB1 protein expression was significantly associated with aggressive tumor progression and poor prognosis in patients with hepatocellular carcinoma. PMID: 24391994
- miR-150 can influence the relative expression of GAB1 and FOXP1 and the signaling potential of the B-cell receptor PMID: 24787006
- Gab1 is an essential component of NRG1-type III signaling during peripheral nerve development. PMID: 24872569
- Although Sos1 and Gab1 recognize two non-overlapping sites within the Grb2 adaptor, allostery promotes the formation of two distinct pools of Grb2-Sos1 and Grb2-Gab1 binary signaling complexes in lieu of a composite Sos1-Grb2-Gab1 ternary complex. PMID: 23334917
- the acquired substrate preference for GAB1 is critical for the ERBB2 mutant-induced oncogenesis. PMID: 23612964
- that aberrant Gab1 signaling can directly contribute to breast cancer progression, and that negative feedback sites in docking proteins can be targeted by oncogenic mutations. PMID: 22751113
- GAB1 plays an important role as part of the mechanism of by which EGFR induces induced activation of the MAPK and AKT pathway. PMID: 22865653
- these data underscore the critical roles of Gab1 and Gab2 in IL-22-mediated HaCaT cell proliferation, migration, and differentiation. PMID: 22851227
- Met signals through a cortactin-Gab1 scaffold complex, to mediate invadopodia. PMID: 22366451
- an anti-apoptotic role of caspase-cleaved GAB1 in HGF/SF-MET signaling. PMID: 22915589
- Data show that bivalent binding drives the formation of the Grb2-Gab1 signaling complex in a noncooperative manner. PMID: 22536782
- These data demonstrate that GAB1 is ubiquitinated by CBL and degraded by the proteasome, and plays a role in negative-feedback regulation of HGF/SF-MET signaling. PMID: 21782801
- PECAM-1-mediated inhibition of GPVI-dependent platelet responses result from recruitment of SHP-2-p85 complexes to tyrosine-phosphorylated PECAM-1, which diminishes the association of PI3K with activatory signaling molecules Gab1 and LAT PMID: 20723025
- Gab1 is a critical upstream signaling component in VEGF-induced eNOS activation and tube formation, which is dependent on protein kinase A. PMID: 21282639
- We could not confirm a major association between Gab1 SNP (rs3805246) and the predisposition to H. pylori infection and CAG in this study populat PMID: 20602450
- the phosphorylation of Gab1 by c-Src is important for hepatocyte growth factor -induced DNA synthesis PMID: 19881549
- The binding of Grb2 adaptor to its downstream partners Sos1 and Gab1 docker is under tight allosteric regulation. PMID: 20005866
- Gab1 couples PI3K-mediated Erythropoietin signals with the Ras/Erk pathway and plays an important role in erythropoietin receptor-mediated signal transduction involved in the proliferation and survival of erythroid cells. PMID: 19665053
- comparative FISH mapping of Gab1 and Gab2 genes in human, mouse and rat PMID: 11701952
- ERK negatively regulates the epidermal growth factor-mediated interaction of Gab1 and the phosphatidylinositol 3-kinase PMID: 11896055
- Results indicate that Gab1 and SHP-2 promote the undifferentiated epidermal cell state by facilitating Ras/MAPK signaling. PMID: 12370245
- Gab1 and the Met receptor interact in a novel manner, such that the activated kinase domain of Met and the negative charge of phosphotyrosine 1349 engage the Gab1 MBD as an extended peptide ligand PMID: 12766170
- Gab1 is an integrator of cell death versus cell survival signals in oxidative stress PMID: 12808090
- Gab1-SHP2 interaction plays a crucial role in gp130-dependent longitudinal elongation of cardiomyoctes and cardiac hypertrophy through activation of ERK5 PMID: 12855672
- results reveal that Gab1 protein recruits SHP2 protein tyrosine phosphatase to dephosphorylate paxillin PMID: 14665621
顯示更多
收起更多
-
蛋白家族:GAB family
-
數據庫鏈接:
Most popular with customers
-
-
YWHAB Recombinant Monoclonal Antibody
Applications: ELISA, WB, IHC, IF, FC
Species Reactivity: Human, Mouse, Rat
-
Phospho-YAP1 (S127) Recombinant Monoclonal Antibody
Applications: ELISA, WB, IHC
Species Reactivity: Human
-
-
-
-
-















