FZD9 Antibody
-
中文名稱:FZD9兔多克隆抗體
-
貨號:CSB-PA618747
-
規格:¥1090
-
圖片:
-
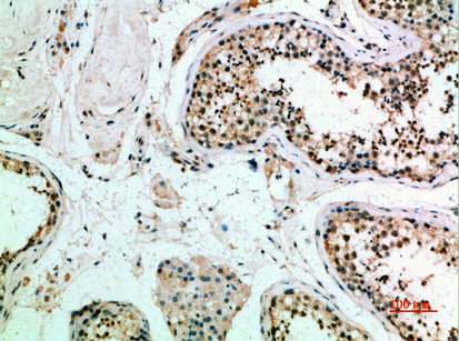
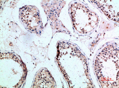
Immunohistochemical analysis of paraffin-embedded human-testis, antibody was diluted at 1:200
-
Immunohistochemical analysis of paraffin-embedded human-testis, antibody was diluted at 1:200
-
Immunohistochemical analysis of paraffin-embedded human-brain, antibody was diluted at 1:200
-
Immunohistochemical analysis of paraffin-embedded human-brain, antibody was diluted at 1:200
-
-
其他:
產品詳情
-
Uniprot No.:
-
基因名:
-
別名:FZD9; FZD3; Frizzled-9; Fz-9; hFz9; FzE6; CD antigen CD349
-
宿主:Rabbit
-
反應種屬:Human,Mouse,Rat
-
免疫原:Synthetic peptide from Human protein at AA range: 1-50
-
免疫原種屬:Homo sapiens (Human)
-
標記方式:Non-conjugated
-
純化方式:The antibody was affinity-purified from rabbit serum by affinity-chromatography using specific immunogen.
-
濃度:It differs from different batches. Please contact us to confirm it.
-
保存緩沖液:Liquid in PBS containing 50% glycerol, 0.5% BSA and 0.02% sodium azide.
-
產品提供形式:Liquid
-
應用范圍:IHC,ELISA
-
推薦稀釋比:
Application Recommended Dilution IHC IHC-p:1:50-300 ELISA 1:10000-20000 -
Protocols:
-
儲存條件:Upon receipt, store at -20°C or -80°C. Avoid repeated freeze.
-
貨期:Basically, we can dispatch the products out in 1-3 working days after receiving your orders. Delivery time maybe differs from different purchasing way or location, please kindly consult your local distributors for specific delivery time.
-
用途:For Research Use Only. Not for use in diagnostic or therapeutic procedures.
相關產品
靶點詳情
-
功能:Receptor for WNT2 that is coupled to the beta-catenin canonical signaling pathway, which leads to the activation of disheveled proteins, inhibition of GSK-3 kinase, nuclear accumulation of beta-catenin and activation of Wnt target genes. Plays a role in neuromuscular junction (NMJ) assembly by negatively regulating the clustering of acetylcholine receptors (AChR) through the beta-catenin canonical signaling pathway. May play a role in neural progenitor cells (NPCs) viability through the beta-catenin canonical signaling pathway by negatively regulating cell cycle arrest leading to inhibition of neuron apoptotic process. During hippocampal development, regulates neuroblast proliferation and apoptotic cell death. Controls bone formation through non canonical Wnt signaling mediated via ISG15. Positively regulates bone regeneration through non canonical Wnt signaling.
-
基因功能參考文獻:
- the present study indicated that the methylation profile of the FZD9 gene corresponded to that of a candidate tumorsuppressor gene in acute myeloid leukemia. PMID: 27314612
- The presence of nanog, Oct-4, SSEA-1, and SSEA-4 suggests that periodontal ligament mesenchymal stem cells are less differentiated than bone marrow-derived MSCs, and the frizzled-9/Wnt pathway is important in proliferation and differentiation. PMID: 20458727
- The activity of the Sprouty4 promoter is increased by Wnt7A/Fzd9 signaling through peroxisome proliferator-activated receptor gamma in lung cancer cells. PMID: 20501643
- The presence of nanog, Oct-4, SSEA-1, and SSEA-4 suggests that periodontal ligament mesenchymal stem cells are less differentiated than bone marrow-derived MSCs, and that the frizzled-9/Wnt pathway is important in proliferation and differentiation. PMID: 20458727
- transfection of Fzd-9 into a Wnt-7a-insensitive NSCLC cell line established Wnt-7a sensitivity PMID: 15705594
- Aberrant DNA methylation of frizzled 9 protein is associated with myelodysplastic syndrome progression to acute myeloid leukemia. PMID: 18832655
- SiRNA of frizzled-9 suppresses proliferation and motility of hepatoma cells. PMID: 19724923
顯示更多
收起更多
-
亞細胞定位:Cell membrane; Multi-pass membrane protein.
-
蛋白家族:G-protein coupled receptor Fz/Smo family
-
組織特異性:Expressed predominantly in adult and fetal brain, testis, eye, skeletal muscle and kidney. Moderately expressed in pancreas, thyroid, adrenal cortex, small intestine and stomach. Detected in fetal liver and kidney. Expressed in neural progenitor cells.
-
數據庫鏈接:
Most popular with customers
-
-
YWHAB Recombinant Monoclonal Antibody
Applications: ELISA, WB, IHC, IF, FC
Species Reactivity: Human, Mouse, Rat
-
Phospho-YAP1 (S127) Recombinant Monoclonal Antibody
Applications: ELISA, WB, IHC
Species Reactivity: Human
-
-
-
-
-















