FZD8 Antibody
-
中文名稱:FZD8兔多克隆抗體
-
貨號:CSB-PA360153
-
規格:¥1100
-
圖片:
-
The image on the left is immunohistochemistry of paraffin-embedded Human esophagus cancer tissue using CSB-PA360153(FZD8 Antibody) at dilution 1/50, on the right is treated with synthetic peptide. (Original magnification: ×200)
-
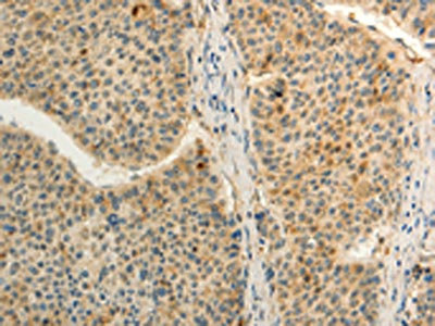
The image on the left is immunohistochemistry of paraffin-embedded Human liver cancer tissue using CSB-PA360153(FZD8 Antibody) at dilution 1/50, on the right is treated with synthetic peptide. (Original magnification: ×200)
-
-
其他:
產品詳情
-
Uniprot No.:
-
基因名:
-
別名:FZD8; Frizzled-8; Fz-8; hFz8
-
宿主:Rabbit
-
反應種屬:Human,Mouse,Rat
-
免疫原:Synthetic peptide of Human FZD8
-
免疫原種屬:Homo sapiens (Human)
-
標記方式:Non-conjugated
-
抗體亞型:IgG
-
純化方式:Antigen affinity purification
-
濃度:It differs from different batches. Please contact us to confirm it.
-
保存緩沖液:-20°C, pH7.4 PBS, 0.05% NaN3, 40% Glycerol
-
產品提供形式:Liquid
-
應用范圍:ELISA,IHC
-
推薦稀釋比:
Application Recommended Dilution ELISA 1:2000-1:10000 IHC 1:50-1:200 -
Protocols:
-
儲存條件:Upon receipt, store at -20°C or -80°C. Avoid repeated freeze.
-
貨期:Basically, we can dispatch the products out in 1-3 working days after receiving your orders. Delivery time maybe differs from different purchasing way or location, please kindly consult your local distributors for specific delivery time.
-
用途:For Research Use Only. Not for use in diagnostic or therapeutic procedures.
相關產品
靶點詳情
-
功能:Receptor for Wnt proteins. Component of the Wnt-Fzd-LRP5-LRP6 complex that triggers beta-catenin signaling through inducing aggregation of receptor-ligand complexes into ribosome-sized signalosomes. The beta-catenin canonical signaling pathway leads to the activation of disheveled proteins, inhibition of GSK-3 kinase, nuclear accumulation of beta-catenin and activation of Wnt target genes. A second signaling pathway involving PKC and calcium fluxes has been seen for some family members, but it is not yet clear if it represents a distinct pathway or if it can be integrated in the canonical pathway, as PKC seems to be required for Wnt-mediated inactivation of GSK-3 kinase. Both pathways seem to involve interactions with G-proteins. May be involved in transduction and intercellular transmission of polarity information during tissue morphogenesis and/or in differentiated tissues. Coreceptor along with RYK of Wnt proteins, such as WNT1.
-
基因功能參考文獻:
- FZD8 forms a TGF-beta-regulated complex with TGF-beta receptors that is mediated by the extracellular domains of FZD8 and TGFBR1 PMID: 29717114
- In OS tissues, miR-520b was inversely correlated with FZD8 expression. FZD8 was upregulated in human spinal OS tissues and cell lines. PMID: 28247840
- miR-375 functions as a tumor-suppressive microRNA by directly acting upon FZD8, which may serve as a new therapeutic target to inhibit tumor metastasis in colorectal cancer PMID: 27276676
- Elevated expression of TP53 target FZD8 promoted prostate cancer bone metastasis by activating the canonical Wnt/beta-catenin signaling pathway. PMID: 28602974
- these findings suggest that miR-100 suppresses the migration and invasion of breast cancer cells by targeting FZD-8 and inhibiting Wnt/b-catenin signaling pathway and manipulation of miR-100 may provide a promoting therapeutic strategy for cancer breast treatment. PMID: 26537584
- Frizzled-8 has an important pro-inflammatory role and suggest that its expression is related to chronic bronchitis. PMID: 26797711
- report the discovery of a human-accelerated regulatory enhancer (HARE5) of FZD8, a receptor of the Wnt pathway implicated in brain development and size PMID: 25702574
- Study concludes that expression of Fzd8 is repressed in multiple cancers and suggest it may have a role as a tumor suppressor. PMID: 26590425
- c-Met upregulated FZD8 through the ERK/c-Fos cascade in HN-CSC. Taken together, our results offer a preclinical proof-of-concept for targeting the c-Met/FZD8 signaling axis as a CSC-directed therapy to improve HNSCC treatment PMID: 25320014
- These observations suggest that c-Jun is involved in APF-mediated inhibition for bladder tumor cell growth PMID: 21872498
- APF has been shown to be a nine-residue frizzled-8 protein-related sialoglycopeptide. Subsequent research has gradually clarified the molecular mechanisms underlying the profound antiproliferative effect of APF. PMID: 22738385
- analysis of the frizzled8.Wnt3a.LRP6 signaling complex reveals multiple Wnt and Dkk1 binding sites on LRP6 PMID: 20093360
- molecular model of the Wnt protein binding site on the surface of dimeric CRD domain of the Fzd8 receptor PMID: 18505162
顯示更多
收起更多
-
亞細胞定位:Membrane; Multi-pass membrane protein. Golgi apparatus. Cell membrane; Multi-pass membrane protein.
-
蛋白家族:G-protein coupled receptor Fz/Smo family
-
組織特異性:Most abundant in fetal kidney, followed by brain and lung. In adult tissues, expressed in kidney, heart, pancreas and skeletal muscle.
-
數據庫鏈接:
Most popular with customers
-
-
YWHAB Recombinant Monoclonal Antibody
Applications: ELISA, WB, IHC, IF, FC
Species Reactivity: Human, Mouse, Rat
-
Phospho-YAP1 (S127) Recombinant Monoclonal Antibody
Applications: ELISA, WB, IHC
Species Reactivity: Human
-
-
-
-
-















