FRMD5 Antibody
-
中文名稱:FRMD5兔多克隆抗體
-
貨號:CSB-PA773602LA01HU
-
規格:¥440
-
圖片:
-
Western blot
All lanes: FRMD5 antibody at 16 μg/ml
Lane 1: Mouse kidney tissue
Lane 2: Mouse heart tissue
Lane 3: Mouse skeletal muscle tissue
Lane 4: Mouse lung tissue
Secondary
Goat polyclonal to rabbit IgG at 1/10000 dilution
Predicted band size: 66, 64 kDa
Observed band size: 65 kDa -
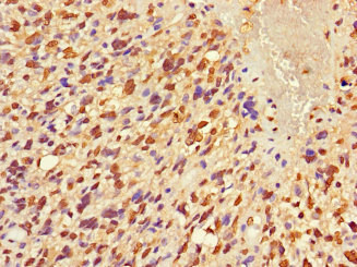
Immunohistochemistry of paraffin-embedded human glioma using CSB-PA773602LA01HU at dilution of 1:100
-
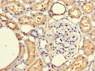
Immunohistochemistry of paraffin-embedded human kidney tissue using CSB-PA773602LA01HU at dilution of 1:100
-
Immunofluorescent analysis of HepG2 cells using CSB-PA773602LA01HU at dilution of 1:100 and Alexa Fluor 488-congugated AffiniPure Goat Anti-Rabbit IgG(H+L)
-
-
其他:
產品詳情
-
產品名稱:Rabbit anti-Homo sapiens (Human) FRMD5 Polyclonal antibody
-
Uniprot No.:
-
基因名:FRMD5
-
別名:FRMD5; FERM domain-containing protein 5
-
宿主:Rabbit
-
反應種屬:Human, Mouse
-
免疫原:Recombinant Human FERM domain-containing protein 5 protein (295-504AA)
-
免疫原種屬:Homo sapiens (Human)
-
標記方式:Non-conjugated
本頁面中的產品,FRMD5 Antibody (CSB-PA773602LA01HU),的標記方式是Non-conjugated。對于FRMD5 Antibody,我們還提供其他標記。見下表:
-
克隆類型:Polyclonal
-
抗體亞型:IgG
-
純化方式:>95%, Protein G purified
-
濃度:It differs from different batches. Please contact us to confirm it.
-
保存緩沖液:Preservative: 0.03% Proclin 300
Constituents: 50% Glycerol, 0.01M PBS, PH 7.4 -
產品提供形式:Liquid
-
應用范圍:ELISA, WB, IHC, IF
-
推薦稀釋比:
Application Recommended Dilution WB 1:1000-1:5000 IHC 1:20-1:200 IF 1:50-1:200 -
Protocols:
-
儲存條件:Upon receipt, store at -20°C or -80°C. Avoid repeated freeze.
-
貨期:Basically, we can dispatch the products out in 1-3 working days after receiving your orders. Delivery time maybe differs from different purchasing way or location, please kindly consult your local distributors for specific delivery time.
-
用途:For Research Use Only. Not for use in diagnostic or therapeutic procedures.
相關產品
靶點詳情
-
功能:May be involved in regulation of cell migration. May regulate cell-matrix interactions via its interaction with ITGB5 and modifying ITGB5 cytoplasmic tail interactions such as with FERMT2 and TLN1. May regulate ROCK1 kinase activity possibly involved in regulation of actin stress fiber formation.
-
基因功能參考文獻:
- We conclude that integrative variants, haplotypes and diplotypes of the CAPN3 rs4344713 and FRMD5 rs524908, as well as DBP and BMI are associated with serum lipid variables in the Jing and Han populations. PMID: 28332615
- Data show that FERM domain-containing protein 5 (FRMD5) is regulated by both beta-catenin and transcription factor 7-Like 2 protein (TCF7L2) in colon cancer cells. PMID: 28117551
- FRMD5 regulates tumor cell motility via a dual pathway involving FRMD5 binding to integrin beta5 tail and to ROCK1 PMID: 25448675
- FRMD5 may play a role in p120-catenin-based cell-cell contact and is involved in the regulation of tumor progression PMID: 22846708
-
亞細胞定位:Membrane; Single-pass membrane protein. Cell junction, adherens junction.
-
數據庫鏈接:
Most popular with customers
-
-
YWHAB Recombinant Monoclonal Antibody
Applications: ELISA, WB, IHC, IF, FC
Species Reactivity: Human, Mouse, Rat
-
Phospho-YAP1 (S127) Recombinant Monoclonal Antibody
Applications: ELISA, WB, IHC
Species Reactivity: Human
-
-
-
-
-















