FOXRED1 Antibody
-
中文名稱:FOXRED1兔多克隆抗體
-
貨號:CSB-PA822192ESR1HU
-
規格:¥440
-
圖片:
-
Western blot
All lanes: FOXRED1 antibody at 5.28µg/ml + A549 whole cell lysate
Secondary
Goat polyclonal to rabbit IgG at 1/10000 dilution
Predicted band size: 54, 31, 53 kDa
Observed band size: 54 kDa -
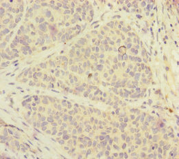
Immunohistochemistry of paraffin-embedded human colon cancer using CSB-PA822192ESR1HU at dilution of 1:100
-
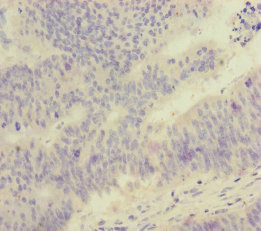
Immunohistochemistry of paraffin-embedded human ovarian cancer using CSB-PA822192ESR1HU at dilution of 1:100
-
-
其他:
產品詳情
-
產品名稱:Rabbit anti-Homo sapiens (Human) FOXRED1 Polyclonal antibody
-
Uniprot No.:
-
基因名:FOXRED1
-
別名:FOXRED1; FP634; FAD-dependent oxidoreductase domain-containing protein 1
-
宿主:Rabbit
-
反應種屬:Human
-
免疫原:Recombinant Human FAD-dependent oxidoreductase domain-containing protein 1 protein (307-486AA)
-
免疫原種屬:Homo sapiens (Human)
-
標記方式:Non-conjugated
-
克隆類型:Polyclonal
-
抗體亞型:IgG
-
純化方式:Antigen Affinity Purified
-
濃度:It differs from different batches. Please contact us to confirm it.
-
保存緩沖液:PBS with 0.02% sodium azide, 50% glycerol, pH7.3.
-
產品提供形式:Liquid
-
應用范圍:ELISA, WB, IHC
-
推薦稀釋比:
Application Recommended Dilution WB 1:1000-1:5000 IHC 1:20-1:200 -
Protocols:
-
儲存條件:Upon receipt, store at -20°C or -80°C. Avoid repeated freeze.
-
貨期:Basically, we can dispatch the products out in 1-3 working days after receiving your orders. Delivery time maybe differs from different purchasing way or location, please kindly consult your local distributors for specific delivery time.
-
用途:For Research Use Only. Not for use in diagnostic or therapeutic procedures.
相關產品
靶點詳情
-
功能:Required for the assembly of the mitochondrial membrane respiratory chain NADH dehydrogenase (Complex I). Involved in mid-late stages of complex I assembly.
-
基因功能參考文獻:
- Results show that depletion of FOXRED1 in myoblasts results in decreased levels of fully assembled complexes I and II. FOXRED1 associates with the ND1-containing subcomplexes of ~370 kDa and ~620 kDa and that FOXRED1 activity is required for the formation of a 550-kDa subcomplex of complex I. PMID: 27215383
- Loss of FOXRED1, coupled with protein, choline and/or folate-deficient diets results in the depletion of glutathione, the dysregulation of nitric oxide metabolism and the peroxynitrite-mediated inactivation of complex I. PMID: 26235939
- A structural model of FOXRED1 reveals a large substrate-binding cavity and a putative oxygen-binding site. PMID: 25765152
- FOXRED1 is a crucial component in the productive assembly of respiratory chain complex I and that mutations in FOXRED1 leading to partial loss of function cause defects in complex I biogenesis. PMID: 25678554
- Mutations in FOXRED1 are associated with complex I deficiency. PMID: 20818383
顯示更多
收起更多
-
相關疾病:Mitochondrial complex I deficiency (MT-C1D)
-
亞細胞定位:Mitochondrion inner membrane; Single-pass membrane protein.
-
數據庫鏈接:
Most popular with customers
-
-
YWHAB Recombinant Monoclonal Antibody
Applications: ELISA, WB, IHC, IF, FC
Species Reactivity: Human, Mouse, Rat
-
Phospho-YAP1 (S127) Recombinant Monoclonal Antibody
Applications: ELISA, WB, IHC
Species Reactivity: Human
-
-
-
-
-















