FOSB Antibody
-
中文名稱:FOSB兔多克隆抗體
-
貨號:CSB-PA585956
-
規格:¥1100
-
圖片:
-
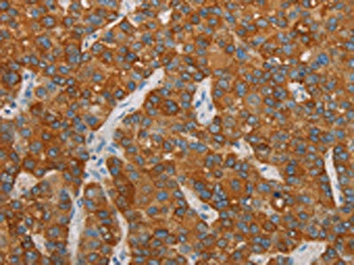
The image on the left is immunohistochemistry of paraffin-embedded Human liver cancer tissue using CSB-PA585956(FOSB Antibody) at dilution 1/20, on the right is treated with synthetic peptide. (Original magnification: ×200)
-
The image on the left is immunohistochemistry of paraffin-embedded Human thyroid cancer tissue using CSB-PA585956(FOSB Antibody) at dilution 1/20, on the right is treated with synthetic peptide. (Original magnification: ×200)
-
Gel: 8%SDS-PAGE, Lysate: 40 μg, Lane 1-3: Human kidney cancer tissue, Human lung cancer tissue, human placenta tissue, Primary antibody: CSB-PA585956(FOSB Antibody) at dilution 1/200, Secondary antibody: Goat anti rabbit IgG at 1/8000 dilution, Exposure time: 10 minutes
-
-
其他:
產品詳情
-
Uniprot No.:
-
基因名:
-
別名:Activator protein 1 antibody; AP 1 antibody; DKFZp686C0818 antibody; FBJ murine osteosarcoma viral oncogene homolog B antibody; fosB antibody; FOSB_HUMAN antibody; G0/G1 switch regulatory protein 3 antibody; G0S3 antibody; GOS 3 antibody; GOS B antibody; GOS3 antibody; GOSB antibody; MGC42291 antibody; Oncogene FOS B antibody; Oncogene FOSB antibody; Protein fos B antibody; Protein fosB antibody
-
宿主:Rabbit
-
反應種屬:Human,Mouse
-
免疫原:Synthetic peptide of Human FOSB
-
免疫原種屬:Homo sapiens (Human)
-
標記方式:Non-conjugated
-
抗體亞型:IgG
-
純化方式:Antigen affinity purification
-
濃度:It differs from different batches. Please contact us to confirm it.
-
保存緩沖液:-20°C, pH7.4 PBS, 0.05% NaN3, 40% Glycerol
-
產品提供形式:Liquid
-
應用范圍:ELISA,WB,IHC
-
推薦稀釋比:
Application Recommended Dilution ELISA 1:2000-1:5000 WB 1:200-1:1000 IHC 1:50-1:200 -
Protocols:
-
儲存條件:Upon receipt, store at -20°C or -80°C. Avoid repeated freeze.
-
貨期:Basically, we can dispatch the products out in 1-3 working days after receiving your orders. Delivery time maybe differs from different purchasing way or location, please kindly consult your local distributors for specific delivery time.
-
用途:For Research Use Only. Not for use in diagnostic or therapeutic procedures.
相關產品
靶點詳情
-
功能:FosB interacts with Jun proteins enhancing their DNA binding activity.
-
基因功能參考文獻:
- miR-144-3p plays an important role in pancreatic cancer cell proliferation, migration, and invasion by targeting FOSB PMID: 28653602
- FOSB immunohistochemistry is sensitive in the diagnosis of angiolymphoid hyperplasia with eosinophilia, and allows differentiation from its histological mimics PMID: 29527734
- FOSB overexpression results in TNBC cell death, whereas inhibition of calcium signaling eliminates FOSB induction and blocks TP4-induced TNBC cell death PMID: 27248170
- results shows the involvement of Spry2 in regulation of FosB and Runx2 genes, MAPK signaling and proliferation of mesenchymal stem cells. PMID: 28387432
- the mechanism underlying redox-regulation of AP-1 Fos/Jun transcription factors and provide structural insight for therapeutic interventions targeting AP-1 proteins. PMID: 28981703
- The NFATc3 first induced the expression of its interaction partner FosB before forming the heterodimeric NFATc3-FosB transcription factor complex, which bound the proximal AP-1 site in the TF gene promoter and activated TF expression. PMID: 28724635
- FosB expression in the prefrontal cortex and hippocampus of the cocaine addicted and depression patients PMID: 27494187
- FOSB is a highly sensitive and diagnostically useful marker for pseudomyogenic hemangioendothelioma. PMID: 28009608
- our findings show that DeltaFosB increases the expression of MMP-9 and exhibits a significantly high survival and proliferation in MCF-7 cells. PMID: 26608367
- Diffuse and strong FOSB expression was specific for pseudomyogenic hemangioendothelioma in the current series and FOSB immunohistochemistry is an effective tool for differentiating between PHE and its histological mimics. PMID: 27515856
- Our results using a number of approaches, such as promoter reporter assay, FosB knock down and Chip assay, suggest that the expression of miR-22 is regulated transcriptionally by FosB. PMID: 27889568
- These results suggest that SETDB1- mediated FosB expression is a common molecular phenomenon, and might be a novel pathway responsible for the increase in cell proliferation that frequently occurs during anticancer drug therapy. PMID: 26949019
- studies of FosB are providing new insight into the molecular basis of depression and antidepressant action. PMID: 25446562
- The abnormalities were screened by FISH in 44 epithelioid hemangioma (EH) from different locations with seven additional EH revealing FOSB gene rearrangements, all except one being fused to ZFP36. PMID: 25043949
- This study describing the expres-sion pattern of FosB/ FosB immunoreactivity inpost mortem basal ganglia sections from Parkinson disease patients. PMID: 23933656
- Pseudomyogenic haemangioendothelioma consistently displays a SERPINE1-FOSB fusion gene, resulting from a translocation between chromosomes 7 and 19. PMID: 24374978
- Data indicate a significant correlation in miR-181b, FOS and miR-21 expression glioma tissues. PMID: 23810250
- Report Fos-B expression in skin keratinocytes/fibroblasts and keloid fibroblasts exposed to genistein. PMID: 23614275
- AP-1 protein induction during monopoiesis favors C/EBP: AP-1 heterodimers over C/EBP homodimerization and stimulates FosB transcription. PMID: 21543584
- Induction of a DeltaFOSB mediated transcriptional pattern in the prefrontal cortex is opposite to the down-regulation observed in the nucleus accumbens in patients with major depressive disorder PMID: 21616539
- Findings indicate that neurobehavioral stress leads to FosB-driven increases in IL8, which is associated with increased tumor growth and metastases. PMID: 20826776
- transcription factor FosB/activating protein-1 (AP-1) activation is a prominent downstream signal of the extracellular nucleotide receptor P2RX7 in monocytic and osteoblastic cells PMID: 20813842
- RGS16 and FosB are underexpressed in pancreatic cancer with lymph node metastasis and associated with reduced survival PMID: 20571966
- demonstrated that a functional AP-1 site mediates MMP-2 transcription in cardiac cells through the binding of distinctive Fra1-JunB and FosB-JunB heterodimers. The synthesis of MMP-2 is considered to be independent of the AP-1 transcriptional complex PMID: 12371906
- AP-1 (c-Jun & FosB) binds to a site in the 5' untranslated region of the CD95L gene. Transdominant negative Jun mutants reduce CD95L promoter activity. FosB dimerized with c-Jun has an important role in TCR/CD3-mediated activation-induced cell death. PMID: 12618758
- In hepatoma-associated anorexia-cachexia FpsB was induced in several brain areas of thes forebrain. PMID: 15926923
- activation of protein kinase A elicits an immediate response through induction of genes such as ID2 and FosB, followed by sustained secretion of bone-related cytokines such as BMP-2, IGF-1, and IL-11 PMID: 18490653
- DeltaFosB was able to trigger partial Pref-1-mediated de-differentiation of adipocytes, which also retained their adipocytic cell phenotype. PMID: 18491952
- An IFN-gamma-mediated homeostatic loop limits the potential for tissue damage associated with inflammation and identifies transcriptional factor AP-1 that regulates matrix metalloproteinase expression in myeloid cells in inflammatory settings. PMID: 18802113
- MicroRNA-101, which is aberrantly expressed in hepatocellular carcinoma, could repress the expression of the FOS oncogene. PMID: 19133651
- FosB is induced in PMA treated K562 cells in a sustained manner and forms an active AP-1 protein-DNA complex. Down-regulation of FosB with specific shRNAs inhibited the induction of CD41, a specific cell surface marker of megakaryocytes. PMID: 19381435
- Results suggest that in addition to clinically prognostic factors, FOS-B expression has a debatable impact on patient survival. PMID: 19795327
顯示更多
收起更多
-
亞細胞定位:Nucleus.
-
蛋白家族:BZIP family, Fos subfamily
-
數據庫鏈接:
Most popular with customers
-
-
YWHAB Recombinant Monoclonal Antibody
Applications: ELISA, WB, IHC, IF, FC
Species Reactivity: Human, Mouse, Rat
-
Phospho-YAP1 (S127) Recombinant Monoclonal Antibody
Applications: ELISA, WB, IHC
Species Reactivity: Human
-
-
-
-
-















