FGL1 Antibody
-
中文名稱:FGL1兔多克隆抗體
-
貨號:CSB-PA008653LA01HU
-
規格:¥440
-
圖片:
-
Western Blot
Positive WB detected in: K562 whole cell lysate
All lanes: FGL1 antibody at 5.8µg/ml
Secondary
Goat polyclonal to rabbit IgG at 1/50000 dilution
Predicted band size: 37 kDa
Observed band size: 37 kDa -
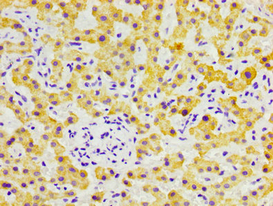
IHC image of CSB-PA008653LA01HU diluted at 1:300 and staining in paraffin-embedded human liver cancer performed on a Leica BondTM system. After dewaxing and hydration, antigen retrieval was mediated by high pressure in a citrate buffer (pH 6.0). Section was blocked with 10% normal goat serum 30min at RT. Then primary antibody (1% BSA) was incubated at 4°C overnight. The primary is detected by a biotinylated secondary antibody and visualized using an HRP conjugated SP system.
-
-
其他:
產品詳情
-
產品名稱:Rabbit anti-Homo sapiens (Human) FGL1 Polyclonal antibody
-
Uniprot No.:
-
基因名:FGL1
-
別名:FGL 1 antibody; Fgl1 antibody; FGL1_HUMAN antibody; Fibrinogen like 1 antibody; Fibrinogen like protein 1 antibody; Fibrinogen related protein 1 antibody; Fibrinogen-like protein 1 antibody; Hepassocin antibody; Hepatocellular carcinoma related sequence antibody; Hepatocyte derived fibrinogen related protein 1 antibody; Hepatocyte-derived fibrinogen-related protein 1 antibody; HFREP 1 antibody; HFREP-1 antibody; HFREP1 antibody; HP 041 antibody; HP-041 antibody; HP041 antibody; LFIRE 1 antibody; LFIRE-1 antibody; LFIRE1 antibody; Liver fibrinogen related protein 1 antibody; Liver fibrinogen-related protein 1 antibody; MFIRE 1 antibody; MGC108569 antibody; MGC12455 antibody; MGC37822 antibody; OTTHUMP00000122468 antibody
-
宿主:Rabbit
-
反應種屬:Human
-
免疫原:Recombinant Human Fibrinogen-like protein 1 protein (179-282AA)
-
免疫原種屬:Homo sapiens (Human)
-
標記方式:Non-conjugated
本頁面中的產品,FGL1 Antibody (CSB-PA008653LA01HU),的標記方式是Non-conjugated。對于FGL1 Antibody,我們還提供其他標記。見下表:
-
克隆類型:Polyclonal
-
抗體亞型:IgG
-
純化方式:>95%, Protein G purified
-
濃度:It differs from different batches. Please contact us to confirm it.
-
保存緩沖液:Preservative: 0.03% Proclin 300
Constituents: 50% Glycerol, 0.01M PBS, pH 7.4 -
產品提供形式:Liquid
-
應用范圍:ELISA, WB, IHC
-
推薦稀釋比:
Application Recommended Dilution WB 1:500-1:5000 IHC 1:200-1:500 -
Protocols:
-
儲存條件:Upon receipt, store at -20°C or -80°C. Avoid repeated freeze.
-
貨期:Basically, we can dispatch the products out in 1-3 working days after receiving your orders. Delivery time maybe differs from different purchasing way or location, please kindly consult your local distributors for specific delivery time.
-
用途:For Research Use Only. Not for use in diagnostic or therapeutic procedures.
相關產品
靶點詳情
-
功能:Immune suppressive molecule that inhibits antigen-specific T-cell activation by acting as a major ligand of LAG3. Responsible for LAG3 T-cell inhibitory function. Binds LAG3 independently from MHC class II (MHC-II). Secreted by, and promotes growth of, hepatocytes.
-
基因功能參考文獻:
- FGL1 promotes invasion and metastasis of gastric cancer and is associated with poor prognosis. PMID: 29845203
- findings highlight the crucial role of HFREP1 in insulin resistance and diabetes, and provide a potential strategy and biomarker for developing therapeutic approaches to combat these diseases. PMID: 27221093
- Hepassocin plays an important role in non-alcoholic fatty liver disease and induces hepatic lipid accumulation through an ERK1/2-dependent pathway. PMID: 23792031
- Here, the application of small ubiquitin-related modifier (SUMO) fusion technology in combination with four different chaperone teams on the soluble expression of recombinant HPS protein was explored and analyzed. PMID: 24084006
- Findings suggest that hepassocin promotes hepatic cell line L02 cells proliferation via an autocrine mechanism and inhibits HCC cells proliferation by an intracrine pathway. PMID: 21618590
- data demonstrated that liver-specific gene LFIRE-1/HFREP-1 was frequently downregulated and might possess growth suppressor activity in HCC PMID: 14981537
- HFREP-1 in plasma almost completely bound to the fibrin matrix during clot formation PMID: 16996032
- The enhancement of FGL1 levels in vitro by IL-6 and its induction after turpentine oil injection suggest that it is an acute phase reactant. PMID: 18039467
- HNF1 binding site and HNF1alpha are critical to liver-specific expression of HPS, and down-regulation or loss of HNF1alpha causes, at least in part, the transcriptional down-regulation of HPS in HCC. PMID: 19304666
顯示更多
收起更多
-
亞細胞定位:Secreted.
-
組織特異性:Under normal conditions, liver-specific.
-
數據庫鏈接:
Most popular with customers
-
-
YWHAB Recombinant Monoclonal Antibody
Applications: ELISA, WB, IHC, IF, FC
Species Reactivity: Human, Mouse, Rat
-
Phospho-YAP1 (S127) Recombinant Monoclonal Antibody
Applications: ELISA, WB, IHC
Species Reactivity: Human
-
-
-
-
-















